Trabajos Originales

Ortodoncia ¿funcionalidad o estética?

  • Oscar Quirós Álvarez, Especialista en Ortodoncia, Profesor Asociado de la Universidad Central de Venezuela, Maestro invitado permanente de la Universidad Autónoma de Ciudad Juárez, México.
Una sonrisa vale mas que mil palabras.
Anónimo


RESUMEN
En este trabajo se presenta la aplicación de la Ortodoncia como especialidad en la corrección de problemas de maloclusiones y malformaciones dentoesqueletales, destacando su coparticipación que en la funcionalidad y en la estética mantiene con otras especialidades.


ABSTRACT
In this paper it is presented the application of the Orthodontics like specialty in the correction of problems of malocclusions or dental and skeletal malformations, highlighting their copartnership that in the functionality and in the aesthetics it maintains with other specialties.


Una de las especialidades en odontología más ligada a la estética y a la funcionalidad del aparato masticatorio, ya sea de una manera directa o indirecta es la Ortodoncia, pero en si la estética es un valor muy subjetivo que puede variar de una localidad geográfica a otra o de una generación a la siguiente. Sin embargo la búsqueda de la normalización de una forma y función alteradas para tratar de mantener un equilibrio armónico entre la cara y la dentadura es en la actualidad un punto de convergencia común entre la mayoría de los humanos.


LA INFLUENCIA DEL FACTOR ESTÉTICO
Es inevitable establecer el valor socio cultural que en las culturas occidentales posee una dentadura atractiva, una sonrisa seductora, independientemente del sexo, edad o raza de la persona que la posea, este solo argumento ha sido estudiado por sociólogos, publicistas, especialistas en mercadotecnia, diseñadores, psicólogos entre otros para determinar el impacto de admiración o de rechazo hacia un individuo o hacia el producto que el representa en un momento determinado.

Una dentadura integra, bien alineada, es en apariencia sinónimo de salud dental, característica que explotan todas las empresas publicitarias, Ud. Nunca verá una cuña publicitaria de una crema dental con una modelo con dientes apiñados, diastemas, mordidas abiertas o cualquier otra deformidad dentofacial. Pero no es exclusivo para este tipo de publicidad, observe cualquier pauta publicitaria de una bebida refrescante, de jabón de tocador, de perfumes o de ropa intima o inclusive un limpiador de pisos y sus modelos siempre lucirán una sonrisa radiante.

Lo anteriormente expuesto evidencia la influencia en la imagen pública de los individuos que tiene una dentadura funcionalmente alineada, "sinónimo de una sonrisa sana". Esa característica de los occidentales que ha ido transculturizandose y que cada día se difunde en otras latitudes, estando presente ya en el continente asiático, en Oceanía y con mas timidez en el continente africano, quizás mas por razones religiosas y de idiosincrasia.

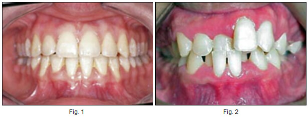
Al establecer una escala de valores dentro de los patrones de imagen corporal y atractivo físico, la dentadura alcanza valores preponderantes como signo de juventud, de atractivo sexual, de éxito social y económico; imagínese por un momento que es el responsable de seleccionar a la persona que representará un producto de consumo masivo, en pautas publicitarias por medios televisivos, avisos de prensa etc. entre cual de las dos sonrisas que mostramos a continuación estaría su selección. Fig 1 fig. 2.
Fig 1 fig. 2
Por supuesto que esto es solo un ejercicio de valorización, quizás la sonrisa menos agraciada pertenezca a una persona muy inteligente, sumamente preparada, estudiosa que domine cinco idiomas y cualquier otra cantidad de cualidades que Ud desee agregar, sin embargo desde el punto de vista estético, la primera impresión es siempre la visual y es una de las razones que hacen de los tratamientos de ortodoncia una necesidad mas que un lujo en las épocas actuales.

"Cuando un hombre está en casa y abre los ojos en seguida se dará cuenta de lo que hay en el interior de su habitación y solo después, de lo que está mas allá de la ventana....."(1)


LA FUNCIONALIDAD POR ENCIMA DE TODO.
Si bien realmente el más alto porcentaje de consultas espontáneas al Ortodoncista es realizado por motivaciones de tipo estético, las remisiones por parte de odontólogos de distintas disciplinas, desde el general hasta los especialistas, es cada día mayor en el afán de preservar el equilibrio oclusal del paciente y contribuir a una armonía de estética y salud.


EL ASPECTO PSICOLÓGICO
Es inevitable relacionar al paciente odontológico y primordialmente al paciente Ortodóncico con el aspecto psicológico que pudiera derivarse de una malposición dentaria o una maloclusión evidente, según lo expresado por Peñaranda "El significado Psicológico de la boca y de la cara planteados en diversos artículos, expresan como estas dos (2) áreas pueden ser blanco de las manifestaciones y alteraciones de carácter psicológico...". señala el investigador que alteraciones de carácter como: afectos deprimidos, pérdida del sentido del humor, fácil irritabilidad, caída de los nexos afectivos, Anhedonia (incapacidad para obtener placer), retardo Psicomotor. (lentitud de pensamiento, de la palabra y de la mímica) Sentimientos de minusvalía, culpa impotencia, contenidos negativos en la conversación, descuido personal, pesimismo y a veces ideas de suicidio. Pueden estar relacionados con problemas de tipo odontológico, "La Ortodoncia juega un importante papel en mejorar la salud general de la boca obteniendo además de una relación armoniosa entre los dientes y la cara, una sonrisa bonita y saludable, que realza la autoestima, lo que efectivamente desde el punto de vista psicológico mejora la calidad de vida....."(3).

Los cambios que pueden producirse en un paciente luego de mejorar su apariencia estética con un tratamiento de Ortodoncia desde su introversión a extroversión, cambios de apariencia física, vestuario hasta estado anímico autoestima y otros cuya lista seria larga de enumerar. El caso que a continuación se presenta evidencia cambios físicos ,de apariencia y de reforzamiento de autoestima


Ortodoncia y Prostodoncia.
El tratamiento de los dientes que fungirán como pilares en prótesis para obtener el paralelismo de raíces que pueda augurar el éxito y estabilidad de las mismas, obteniendo buenas relaciones oclusales en céntrica y movimientos protrusivos y laterales(4), con el permiso del lector he de remontarme a la década de los setenta en los que siendo estudiante de odontología trabajaba en un pequeño laboratorio dental y puedo recordar aquellas prótesis fijas que eran confeccionadas sobre pilares que habían sido tallados para tratar de dar paralelismo a sus coronas para facilitar su inserción, pero cuyas raíces por supuesto permanecían completamente inclinadas, esta era una de las razones por la que tantas prótesis fijas fracasaban en esa época, la mayoría de los odontólogos no tomaban en cuenta la oclusión del paciente, ni siquiera pensaban en trazar mentalmente aunque fuese un paralelogramo de descomposición de fuerzas, que explicara el movimiento de inclinación a que eran sometidos esos pilares cada vez que el paciente presionaba esa prótesis al masticar sus alimentos, produciéndose en el mejor de los casos una fractura del material con el que estaba cementada la prótesis con las consiguientes filtraciones e inminente pérdida en un tiempo relativamente corto de la integridad física del pilar en cuestión, generalmente por caries, o en otros casos por una movilidad creciente del mismo, producto de las cargas mal distribuidas en esa prótesis. En la figura 3 se observa la disposición de los pilares inclinados, que pueden llevar al fracaso a corto o mediano plazo de la prótesis. En la figura 4 la prótesis confeccionada sobre unos pilares en los que se observa mas paralelismo, soportando mejor las cargas ejercidas sobre los mismos al momento de la masticación, teniendo mejores pronósticos de estabilidad a mediano y largo plazo
Igualmente sucedía con las dentaduras parciales removibles, existía toda una colección de diseños de ganchos para tratar de retener una prótesis removible en boca cuando los pilares estaban rotados o inclinados, aun recuerdo los llamados planos guía, que en ocasiones eran casi un corte en tajada para tratar de facilitar la inserción de la prótesis y evitar que se trabara en boca, desgaste por demás innecesario que buscaba aliviar la falta de paralelismo de las coronas de los dientes soportes de las mencionadas restauraciones protésicas.

Aun en las casos de tratamientos para rehabilitación de prótesis removibles cuyos antagonistas sean dentaduras totales, se indica la corrección de las malposiciones de los dientes remanentes para tratar de ofrecer una mayor funcionalidad y un mayor tiempo de vida a los dientes presentes en boca.


Tratamiento en pacientes edéntulos parciales con dificultades de anclaje
La rehabilitación protésica de pacientes edéntulos totales monomaxilares "pareciera" ser una tarea fácil aun cuando están combinados con antagonistas con dentición incompleta, pero aún los protesistas experimentados saben lo que significa obtener buena estabilidad y relaciones oclusales favorables que permitan la buena función masticatoria de los pacientes, sumado a los requisitos de exigencia estética, si agregamos a esto una posible malposición dentaria que favorezca la acumulación de alimentos, abriendo las posibilidades para la implantación de problemas periodontales que pudieran augurarnos un pronostico poco favorable a la estabilidad futura de los dientes del paciente y de la restauración protésica que le sea realizada, la preocupación del protesista será mayor.

La Ortodoncia actúa en estos casos como preparadora para la distribución de los dientes y el alineamiento de los mismos en la arcada, minimizando de esta manera las posibilidades de afecciones de tipo peridontal y la presencia de caries dentales. Y mejorando la oclusión del paciente al momento de su rehabilitación protésica definitiva.

El siguiente caso pertenece a un paciente de 57 años de edad, edéntulo total superior, edéntulo parcial inferior, referido por un protesista para desapiñar los dientes inferiores alinearlos y desinclinar el molar, con fines protésicos. Aun cuando las condiciones de anclaje no son las ideales, puede el ortodoncista hacer uso de diversos elementos para tratar de equilibrar la falta de anclaje suficiente, aun a sabiendas de que los resultados nunca serán los ideales, pero pudiendo mejorar sustancialmente la malposición dentaria del paciente y preparar los pilares para una rehabilitación protésica adecuada Fig. 5 al 9
En otros casos puede el ortodoncista combinar aparatologías para obtener el anclaje necesario para movilizar los dientes, tal como se puede observar en el siguiente caso clínico donde se combina el uso de aparatos fijos con aparatos removibles con la finalidad de obtener el anclaje necesario para distalizar los premolares.

En este caso observamos una placa acrílica a la cual le fue soldado hacia distal del retenedor de Adams un aditamento que nos permita utilizar elásticos en clase II para producir la distalización de premolar y canino superior, para proceder a la retracción del segmento anterior disminuyendo así la protrusión de los dientes anterosuperiores, los cuales estaban en posición apiñada y protruídos. Figuras 10, 11 y 12
Ortodoncia e Implantodontología
Ortodoncia en la preparación de espacios para la instalación de implantes

Los implantes óseo-integrados forman parte del quehacer diario de muchos prostodoncistas, pero para su instalación se requiere que los espacios sean acordes al tamaño del diente a sustituir, el cual ha de ser del mismo ancho mesio-distal de su homólogo de la arcada correspondiente. Para ello debe el ortodoncista abrir las brechas necesarias del tamaño justo para que el cirujano pueda colocar el implante en el sitio adecuado, y al mismo tiempo crear paralelismo entre los dientes adyacentes a la brecha para disminuir las posibilidades de empaquetamiento de alimentos que pudieran ocasionar problemas de tipo periodontal; para ello luego de evaluar la calidad y cantidad de hueso se miden los espacios y se determina con el protesista el ancho necesario para el diente a sustituir, pudiéndose utilizar dobleces en los arcos, elásticos o resortes de acero o de níquel-titanio para abrir las brechas. Fig. 13 y 14
Tratamiento de las alteraciones dentarias y faciales producidas por mordidas profundas
Las mordidas profundas además de producir trastornos oclusales, pueden influir en el asentamiento y/o acrecentamiento de problemas en la articulación temporomandibular fig. 15 para ello los ortodoncistas han tratado desde muchos años atrás de reducir la profundidad de la mordida utilizando diversos tipos de aparatología que va desde el uso de los aparatos extraorales tan temidos por los pacientes por el efecto estético que conlleva su uso hasta los mas recientes elementos descritos en la literatura producto de la investigación clínica, con basamento en la bio-ingeniería aplicada al diseño de elementos para controlar los movimientos dentarios. Los estudios de la física y la bio-mecánica de los Ortodoncistas han permitido que cada día los diseños de arcos y elementos activos y pasivos sean más efectivos y de mayor pluralidad.
El caso ilustrado a continuación pone en evidencia la utilidad de estos principios biomecánicos con la utilización del "arco de intrusión de Quirós"( ) Fig.16, 17, 18
Otros casos donde la estética facial del paciente está alterada por mordidas profundas y el tercio inferior de la cara está disminuido creando el efecto de avejentamiento en la cara del paciente, podemos utilizar tratamientos combinados de aparatos fijos y removibles para conseguir nuestros objetivos. En este caso se combinó la aparatología fija con placas de Planas para obtener la extrusión del segmento posterior y así nivelar la curva de Spee, corrigiendo la mordida profunda y aumentando la altura facial anterior inferior, mejorando de esta forma la estética facial del paciente. Figuras 19 a 26
Ortodoncia y Periodoncia.
Tratamiento de dientes periodontalmente afectados

El apiñamiento dentario y la presencia de molares inclinados son algunas de las causas comunes de problemas periodontales, como inflamación de las encías y formación de sacos o bolsas periodontales, con la corrección ortodóncica estos problemas pueden ser enfrentados con mayor posibilidad de éxito y el mantenimiento de la salud periodontal del paciente podrá ser mas eficientemente conservada. Fig. 27 y 28
Ortodoncia y Endodoncia
Son numerosos los casos de dientes no vitales que deben ser movidos por el ortodoncista, pero también a veces se requiere tratamiento endodóntico durante o después del tratamiento ortodóncico y es allí donde el binomio de ortodoncia - Endodoncia actúa para la preservación de la presencia en boca de los dientes del paciente fig. 29 a y b
Ortodoncia y Cirugía Ortognática
En los tratamientos de cirugía ortognática para la corrección de maloclusiones dento - esquelétales, es indispensable el tratamiento ortodóncico pre y post quirúrgico para la correcta posición de los dientes previa a la fase quirúrgica y para la interdigitación y oclusión armonica posterior a la cirugía. Figuras 30, 31, 32 y 33
Ortodoncia y Odontología Pediátrica
La ortodoncia preventiva e interceptiva deben estar primordialmente a la mano del odontopediatra, a quien acuden más tempranamente los pacientes, cuando aún no se han instaurado totalmente las maloclusiones y es en estas edades cuando podremos realizar un tratamiento de ortodoncia interceptiva o de ortopedia buco maxilo facial mas eficaz y con resultados mas estables. Figuras 34, 35 y 36
Tratamientos mutidisciplinarios
En muchos casos la participación de varias disciplinas se hace necesaria como en aquellos casos de pacientes con traumatismo oclusal por algún accidente en cuya rehabilitación estarán involucrados el odontólogo general, cirujano, ortodoncista, periodoncista, endodoncista y protesista. Fig. 37, 38, 39 y 40
Conclusiones:
La Ortodoncia es una especialidad que tiene íntima relación con la funcionalidad y con la estética, siendo a su vez coadyudante de multiples disciplinas en la obtención de buenas relaciones oclusales y armonía en la sonrisa. De allí que nuestra premisa ha de ser realizar los tratamientos de Ortodoncia con FE (Funcionalidad y Estética)


Agradecimientos:
Dra. Irama Alvarez, Dra. Giselle Vizcarrondo, por su colaboración al suministrarme imágenes de 2 casos clínicos realizados por ellas durante sus estudios de postgrado, bajo mi tutoría.

Referencias bibliográficas
  1. La enseñanza de Buda, Bukkyo Dendo Kyokai, Kosaido Printing Co.,Ltd. Tokio, Japón; 1984
  2. Peñaranda P. Psicología Odontológica, Interdisciplinaridad entre la Psicología y la Odontología, Universidad Central de Venezuela, Ediciones de la Biblioteca. Caracas; 2000.
  3. Quirós O. ABC de Ortodoncia y Ortopedia maxilar. Actualidades Médico Odontológicas Latinoamérica C.A. Caracas; 1997
  4. Howat A.P., Capp N.J., Barrett N.V.J Oclusión y maloclusión Mosby-Year Book Wolfe Publishing England; 1992
  5. Quirós, Oscar. Arco de Intrusión para la técnica de arco de canto, presentación de un nuevo diseño, Acta Odontológica Venezolana vol. 36 Nº 3; 1998
  6. Nakata M., Wey S.H.Y. Guia oclusal en Odontopediatría, Actualidades médico odontológicas Latinoamérica Caracas; 1989