Trabajos Originales

El paciente respirador bucal una propuesta para el estado Nueva Esparta 1996-2001

Recibido para arbitraje:11/11/2002
Aceptado para publicación: 02/06/2003


RESUMEN
El presente trabajo trata sobre un estudio piloto realizado en un grupo de escolares en edades comprendidas de 5 a 14 años de edad en la población de Manzanillo Municipio Antolín del Campo, Estado Nueva Esparta, Venezuela para evaluar desde el punto de vista epidemiologico el Síndrome de Insuficiente Respirador Nasal IRN. Para lo cual se utilizó como metodología un examen Clínico Inicial, un examen Clínico Complementario y Entrevista para los padres o representantes. Encontrando un 63% de niños con características de Insuficiente Respirador Nasal, una incompetencia labial con 68%, la característica mas resaltante al examen esqueletal resultó la presencia de escápulas aladas en un 95%, lo que deja planteado la realización de un estudio mas amplio en los distintos distritos sanitarios del Estado Nueva Esparta, a fin de precisar la valides y significancia de estas observaciones antes citadas

PALABRAS CLAVE: Respiración, Respiración nasal, Respiración bucal

SUMMARY
The present work tries on a study pilot carried out in a group of school in understood ages from 5 to 14 years of age in the population of Manzanillo Municipio Antolín del Campo, Edo.Nueva Esparta, Venezuela to evaluate from the epidemic point of view the Syndrome of Insufficient Nasal Breather IRN. For that which was used as methodology an exam Clinical Initial, a Complementary Clinical exam and she/he Interviews for the parents or representatives. Finding 63% of children with characteristic of Insufficient Nasal Breather, a labial incompetence with 68%, the characteristic but significant to the bony exam was the presence of winged scapulas in 95%, what leaves outlined the realization of a study but wide in the different sanitary districts of the Edo. nueva Esparta, in order to specify the you validate and important of these observations before mentioned.

KEY WORDS: Mouthbreathing - Oral breathing - Oral respiration.


INTRODUCCIÓN
Dada la alta prevalencia de enfermedades respiratorias comunes como el asma y la rinitis alérgica en el Estado Nueva Esparta y de acuerdo a investigaciones y datos arrojados por la Fundación para el control del asma del Estado (FUNDASNE) 1 se plantea la presente investigación con la finalidad de obtener información, en niños escolares de 5 a 14 años de edad que presentan algunas característica del Síndrome de Insuficiencia Respiración Nasal (IRN) en la población de Manzanillo, Municipio Antolín del Campo, del Estado Nueva Esparta, República Bolivariana de Venezuela, esperando que los resultados obtenidos constituyan un valioso aporte al conocimiento de los distintos profesionales relacionados con esta problemática de salud.

Con los resultados encontrados se plantea continuar investigaciones mucho más amplias a nivel de los distintos Distritos Sanitarios del Estado Nueva Esparta, para así obtener el perfil adecuado del problema y posteriormente aportar sugerencias en el manejo multidisciplinario de dicho trastorno; orientando planes de atención preventivos y curativos a edades tempranas aprovechando la incorporación de la Facultad de Odontología de la U.C.V. a través de sus programas Docencia - Servicio en la región insular.

PROPÓSITO Y OBJETIVOS
Caracterizar al paciente Insuficiente Respirador Nasal que acude a los Servicios Odontológicos e instituciones escolares correspondientes para diagnosticar o reconocer su condición y conducirlo bajo un enfoque de tratamiento multidisciplinario.

CONTEXTUALIZACION Y DELIMITACION DEL PROBLEMA
En 1995 con el inicio de las primeras pasantías de la Facultad de Odontología de la U.C.V. en este territorio y en mi carácter de Coordinadora Docente de las mismas, me permiten relacionarme profesionalmente con el Doctor Miguel Palenque, inmunólogo y director de la Clínica del Asma ubicada en la isla de Coche, (auspiciada por Fondene, fondo para el desarrollo del estado Nueva Esparta); en conjunto con los pasantes de la Facultad de Odontología de la U.C.V. y el dr. Miguel Palenque organizamos una investigación sobre la relación entre la "Rinitis Alérgica y el Respirador Bucal"; ésta fue realizada en una muestra de 110 niños escolares de la Unidad Básica " Víctor Manuel Salazar " ubicada en Guinima, isla de Coche. A cada uno de los niños se les sometió a un examen físico para evaluar la Rinitis Alérgica y la Respiración Bucal, para la rinitis alérgica se estableció como criterio de selección la presencia de hipertrofia de cornetes y del Surco de Monroe surco que atraviesa el puente de la nariz en el extremo distal del tabique, pudiendo estar presente uno o ambos criterios; y para el respirador bucal se estableció como criterio la presencia de tres o más signos como, incompetencia labial, hipertonía de labio inferior, hipotonía de labio superior, paladar profundo, maloclusión clase II y resequedad labial. Los resultados arrojaron un 97.3% de pacientes con Rinitis Alérgica y un 71.8% de los pacientes con Respiración Bucal, observándose una coexistencia entre ambas patologías en un 49% de los casos. 2

A partir de 1996 se amplia el programa de atención odontológica para las comunidades de Antolín del Campo, gracias al convenio con la Alcaldía de ese Municipio y la Facultad de Odontología de la U.C.V. y es así, como se establecen servicios en Paraguachí La Plaza, el Tirano y Manzanillo. Considerando lo anteriormente señalado se plantea la realización de la presente investigación en la escuela "Cayetano Salazar García" ubicada en la población de Manzanillo en el mismo municipio.

MARCO TEORICO. REVISIÓN BIBLIOGRAFICA
La respiración es un proceso fisiológico por el cual los organismos vivos toman oxígeno del medio circundante y desprenden dióxido de carbono. Muchas veces se hace una distinción entre respiración interna, es decir, el intercambio de gases entre las células y la sangre o en el interior de las células, y respiración externa que se refiere al intercambio gaseoso entre el medio circundante, ya se trate de agua o de aire y el organismo. Ahora bien, el término respiración, utilizado en un contexto médico, se refiere a la respiración externa o sea a la captación de oxígeno y la eliminación de anhídrido carbónico entre el aire del ambiente y la sangre en los capilares pulmonares. 3

En la inspiración, el aire debe pasar por las fosas nasales, que son las verdaderas vías de acceso fisiológico, pero en caso de obstrucciones, deformaciones o mal hábito, la respiración también se hace bucal. Este cambio puede tener graves consecuencias morfológicas, faciales, bucales, esqueléticas, fisiológicas y mentales, ocasionando en unos casos la insuficiencia respiratoria, que tiende a predisponer al organismo al ataque microbiano y en otros casos conducen a la pereza intelectual. 4-5

La respiración bucal ha sido definida como la respiración que el individuo efectúa a través de la boca, en lugar de hacerlo por la nariz, sin embargo la respiración bucal exclusiva es sumamente rara ya que generalmente se utilizan ambas vías, es decir, la bucal y la nasal. 5-6

Cuando se obstruye la nariz es necesaria la respiración buconasal por lo que algunos autores como Stefanelli 1987; Gomez 1997 la denominan IRN. Rara vez se obstruye por completo, de modo que incluso cuando la boca se encuentra abierta también pasa cierta cantidad de aire por la nariz. 7

Fisiología de la respiración
La respiración es un acto reflejo; el aire entra en el organismo a través de las fosas nasales (sin esfuerzo y con un cierre simultaneo de la cavidad bucal), allí se calienta y humedece, los cilios ubicados en su revestimiento interior protegen la vía respiratoria frente al daño que podría causar algún cuerpo extraño. La mayor actividad del área nasal estimula los tejidos de la nariz, de los senos y la circulación paranasal y puede tener una influencia favorable sobre el crecimiento de las estructuras óseas contiguas. La parte posterior de la lengua se pone en contacto con el paladar blando, al igual que los dientes durante la deglución, la punta de la lengua hace contacto con la cara lingual de los incisivos inferiores y de allí sube a las rugosidades palatinas, en este momento los labios están en contacto. El hueso hioides se mueve hacia arriba sobre el nivel del borde inferior de la mandíbula. El aire inspirado sigue por la faringe (garganta), laringe (caja de resonancia) traquea hasta llegar a los bronquios y una vez allí en los pulmones se realiza el intercambio gaseoso : oxigeno y anhídrido carbónico. 6-8

Planas citado por Duarte 9 sostiene que el paso del aire por las fosas nasales, como hecho mecánico excita a las terminaciones nerviosas allí situadas, generando determinadas respuestas. Entre las más importantes podemos citar la amplitud del movimiento torácico, el desarrollo tridimensional de los fosas nasales, cuya base es el techo ó bóveda palatina, la ventilación y el tamaño de los senos maxilares e innumerables estímulos vitales para todo el organismo. Continua diciendo el citado autor, que cuando el recién nacido sufre un catarro de las vía respiratorias altas, automáticamente y como medida de defensa pasa a respirar por la boca, dejando de excitar las terminaciones neurales de las fosas nasales. Por tanto el aire va a llegar a los pulmones por una vía mecánicamente más corta y fácil, lo que puede iniciar una falta de desarrollo de la capacidad respiratoria. En el caso de que el niño no recupere la respiración nasal quedarán anuladas las respuestas del desarrollo espacial de las fosas nasales y de los senos maxilares, así como la excitación de ciertas hormonas endocrinas y el control de la amplitud torácica. Cuando el niño sana de su afección respiratoria pueden ocurrir dos cosas: que recupere espontáneamente la respiración nasal, o bien que la olvide por haber encontrado un mecanismo más fácil e instaure definitivamente una respiración bucal, lo que en general, pasa inadvertido por padres y pediatras.5

La respiración normal involucra la utilización adecuada del tracto nasal y nasofaríngeo. Si hay un aumento de volumen de las estructuras que se encuentran dentro de esos espacios (tejido adenoideo y/o amígdalas consecuencia de una enfermedad infecciosa o de tipo alérgico), se está impidiendo el paso del aire por estos conductos y el resultado puede ser que el individuo respire por la boca y sea también acompañado por una postura adaptativa de las estructuras de la cabeza y la región del cuello, pudiendo afectar la relación de los maxilares y el desarrollo normal de la oclusión.10

Etiología del Insuficiente Respirador Nasal
Según Aristiguieta 11, la respiración puede realizarse por la vía oral como consecuencia de: obstrucción funcional o anatómica y por hábito.

  1. La Obstrucción Funcional o Anatómica ocurre cuando existe la presencia de un obstáculo que impide el flujo normal de aire a través de fosas nasales o nasofaringe; como por ejemplo la presencia de adenoides hipertroficas, cornetes hipertróficos y tabiques desviados. La Inflamación de la mucosa por infecciones o alergias (rinitis), produce resistencia a la inhalación del aire, por lo que el paciente debe completar sus necesidades de forma oral.7

    En Nueva Esparta, Venezuela; Rodrigo Ordaz1, pediatra nemunólogo, refiere que patologías como el Asma y la Rinitis Aguda constituyen el primer motivo de consulta en la emergencia de hospital "Luis Ortega" en Porlamar y representan el 80% de los pacientes que acuden a las consultas privadas, convirtiéndose estas patologías en un problema de salud en la región, razón por la cual se crea Fundasne (Fundación para el control del asma del Estado Nueva Esparta) siendo Ordaz el presidente actual de ésta fundación. Además afirma que "el Asma es la enfermedad pediátrica más frecuente en Latinoamérica; las estadísticas indican que aproximadamente 1 de cada 3 o 4 niños que haya padecido bronquitis será asmático".

    El respirador naso-bucal o insuficiente respirador nasal IRN, se ha relacionado con ciertas obstrucciones en las vías aéreas superiores, como también con la existencia de

  2. Hábitos bucales, entre los que se pueden encontrar: deglución atípica , succión del tete , succión del pulgar entre otros.8

    Para Aristiguietta "El individuo pasa a respirar también por la boca, como consecuencia de obstrucciones anatómicas patologicas o funcionales, que a pesar de haber sido eliminadas ya se establece el habito de utilizar la vía oral como complemento de la nasal transformándose en costumbre". 11
Fisiopatología de la respiración
Los cambios en las dimensiones del tracto respiratorio (constricción u obstrucción) pueden disminuir el flujo del aire, como ocurre en los casos de adenoides y amígdalas hipertróficas, procesos alérgicos, pólipos nasales entre otros. La respiración por la boca ocurre siempre que el organismo capte que la resistencia nasal es inadecuadamente alta. La nariz normalmente es el elemento más resistente del sistema respiratorio. Cuando los cambios en la resistencia de las vías aéreas modifican el flujo de aire, los músculos respiratorios pueden incrementar su trabajo y se implementa el flujo del aire por la cavidad bucal, lo que trae como consecuencia una alteración de la función de los músculos cráneo-faciales, que altera la posición de la mandíbula y la lengua, influyendo en la forma cráneo- facial. 7-12-13
Fig. 1: Respiración Buco-nasal. A. Oclusión Habitual. B. Posición de Reposo Tomado de Rakosi. 1992.
Fig. 1: Respiración Buco-nasal. A. Oclusión Habitual. B. Posición de Reposo Tomado de Rakosi. 1992.
Manifestaciones clínicas del Insuficiente Respirador Nasal (IRN)
Por muchos años distintos autores tales como Linder-Aronson, Ricketts, Bushey 14 entre otros, han estudiado la respiración y su relación en el desarrollo facial, distintos términos como Síndrome de Obstrucción Respiratoria (Ricketts) 14 , Síndrome de Cara Larga (Schendel) 14 e Insuficiente Respirador Nasal IRN (Gómez) 15 lo describen y para efectos del presente trabajo se empleará el término del Síndrome del Insuficiente Respirador Nasal (IRN), porque describe las características bucales, faciales, esqueletales, fisiológicas y psicológicas encontradas en aquellos pacientes con Insuficiencia Respiratoria Nasal. 15

CAMBIOS FACIALES DEL IRN:
  • Facies adenoideas, hipodesarrollo de los huesos propios de la nariz, ojeras, boca abierta, incompetencia labial.
  • Narinas estrechas del lado de la deficiencia respiratoria con hipertrofia de la otra narina o las dos estrechas.
  • Piel pálida.
  • Hipertrofia del músculo borla del mentón
  • Labio superior hipotónico, flácido en forma de arco.
  • Labio inferior hipertónico.
  • Labios agrietados, resecos, con presencia de fisuras en las comisuras (queilitis angular) podria conseguirse candidiasis.
CAMBIOS BUCALES:
  • Mordida abierta anterior con o sin interposición lingual.
  • Mordida cruzada posterior, uni o bilateral.
  • Estrechez transversal del maxilar superior, es decir paladar profundo y estrecho .
  • Presencia de hábitos secundarios (deglución atípica, succión labial).
  • Retrognatismo del maxilar inferior o rotación mandibular hacia abajo y atrás.
  • Vestibuloversión de incisivos superiores.
  • Linguoversión de incisivos inferiores.
  • Linguoversión de dientes posteriores superiores.
  • Egresión de dientes anteriores superiores e inferiores o posteriores.
  • Gingivitis crónica.
CAMBIOS A NIVEL ESQUELÉTICO:
  • Hundimiento del esternón "Pectus escavatum" y "Escápulas aladas" (en forma de alas). Estas dos características se deben a una falta de desarrollo torácico en sentido anteroposterior; tórax estrecho.
  • Pronunciamiento costal por la misma razón.
  • Hipomotilidad diafragmática.
  • Cifosis (dorsal). Lordosis lumbar.Visto el paciente de lado, la columna tiene forma de S.
  • Pies hacia adentro "pie vago", por la posición de la columna.
CAMBIOS FISIOLÓGICOS:
  • Hipoacusia, por variación en la posición del cóndilo al mantener la boca abierta, la onda sonora se hace débil: esto ocasiona una aparente "Aprosexia" falta de memoria. El niño no fija porque no oye bien.
  • Anorexia falsa, (come mal por la dificultad de coordinar la respiración con la masticación al momento de tragar).
    Ronquidos.
CAMBIOS PSICOSOCIALES:
Niño aperezado al levantarse. Duerme mal, por la mala respiración. Deficiente rendimiento escolar. 15

CRITERIOS METODOLOGICOS:
Se seleccionó la Unidad Educativa "Cayetano Salazar García", ubicada en la población de Manzanillo, municipio Antolin del Campo por formar parte del programa de asistencia Odontológica de SANAMOS (Instituto autónomo de la Alcaldía de Antolín del Campo en convenio con la Facultad de Odontología UCV) para desarrollar ésta investigación descriptiva exploratoria. La matricula escolar es de 389 alumnos (186 hembras y 203 varones), en edades comprendidas entre 5 y 14 años distribuidos de primero a sexto grado de educación básica.

Primera fase: Elaboración del instrumento. Para la recolección de la información, se elaboraron previamente tres instrumentos que contemplan: 1-Examen clínico inicial 2- Examen clínico complementario 3- Entrevista a padres o representantes.

Segunda fase: Calibración del instrumento. Con la finalidad de calibrar a los operadores responsables de recoger la muestra, a fin de obtener unificación en los criterios clínicos, se procedió a seleccionar 30 escolares, realizándose el primer examen y el segundo a los 15 días siguientes para comparar las observaciones realizadas, tomando a la Dra. Doris Méndes (Odontopediatra) como experta en la calibración.(Prueba piloto) 16

A continuación se describen los criterios establecidos en el examen en clínico inicial:
  1. Respiración: Fig.2
    Observar cuidadosamente la cara del paciente cuando este respira. Los respiradores nasales, habitualmente mantienen en contacto los labios durante la respiración relajada, mientras que los labios del Insuficiente Respirador Nasal (IRN) se observan separados.

    Pedir al paciente que inspire profundamente, observando que la mayoría de los IRN responden inspirando por la boca, aun cuando alguno de ellos puede efectuarlo por la nariz con los labios levemente cerrados.

    Para observar el "reflejo alar" se pide al paciente que cierre sus labios e inspire profundamente por la nariz; los respiradores nasales, normalmente demuestran buen control reflejo de los músculos alares, los cuales regulan el tamaño y forma de las narinas externas, por lo tanto las dilatan al inspirar. El Insuficiente Respirado Nasal (IRN), aun cuando es capaz de respirar por la nariz, no cambia el tamaño o forma externas de las narinas, y ocasionalmente, contraen los orificios nasales mientras inspiran. 17
    Fig. 2. Paciente Insuficiente Respirador Nasal (IRN). A: Respiración relajada. B: Respiración forzada.
    Fig. 2. Paciente Insuficiente Respirador Nasal (IRN).
    A: Respiración relajada.
    B: Respiración forzada.
  2. Altura Facial Inferior: Se trazan tres perpendiculares al plano sagital medio, que son tangentes a estructuras bien visibles: las crestas superciliares, el punto subnasal y el gnatión, lo que permite observar un área superior o naso-orbitaria y la inferior o área bucal. Ambas zonas deben tener idéntica altura para que exista proporcionabilidad. Una alteración de la proporción establecida en el tercio inferior facial permitirá determinar si es largo o corto con relación al resto de la cara. Puede apreciarse directamente al analizar visualmente la cara. Fig 3 18
    Fig 3. Altura Facial Inferior. Tomado de Duarte 1998.
    Fig 3. Altura Facial Inferior. Tomado de Duarte 1998.
  3. Incompetencia Labial: La incompetencia labial se refiere a la falta de sellado o de cierre de los labios; al no haber un sellado labial se produce una pérdida de tonicidad del labio superior que se hace hipotónico, flácido con forma de arco, mientras que el labio inferior tratando de alcanzar al antagonista se vuelve hipertónico, mostrándose ambos, resecos y agrietados por el continuo fluir de aire entre ellos y algunos casos pueden presentar fisuras en las comisuras (queilosis angular). Fig. 4 11-15
    Fig. 4 Incompetencia Labial.
    Fig. 4 Incompetencia Labial.
  4. Borla del Mentón y Surco Mentoniano marcado: Se pide al paciente que cierre los labios, obsevándose entonces la presencia más marcada del surco Mentoniano debido a la hipertrofia del músculo borla del mentón, el cual se observa bien definido y con puntillado. Fig 5 B 11

  5. Flacidez y tamaño de narinas: Para determinar la flacidez o no de las narinas (hipotonía muscular) se busca el "Reflejo Narinario", dándole instrucciones al niño a tomar una respiración y contener la exhalación unos segundos, mientras se le mantienen comprimidas entre sí ambas narinas; posteriormente se les sueltan para observar si una o ambas se separaban rápidamente o si por el contrario se mantienen pegadas para posteriormente abrirse muy lentamente, signo este de flacidez. Además, las narinas se presentan deprimidas del lado de la deficiencia respiratoria con hipertrofia de la otra narina o ambas deprimidas. Esto las hace evidentemente diferentes. Fig.5 y 6 9-15
    Fig. 5:. A: Flácidez en una narina. B: Flácidez en ambas narinas.
    Fig. 5:. A: Flácidez en una narina. B: Flácidez en ambas narinas.
    Fig. 6:Tamaño y Forma de Narina. A: Narinas diferentes. B: Narinas iguales. Tomado de Rakosi.1992.
    Fig. 6:Tamaño y Forma de Narina. A: Narinas diferentes. B: Narinas iguales. Tomado de Rakosi.1992.
  6. Presencia de ojeras: Se observa el cambio de coloración del párpado inferior y del surco periorbitario, desde un tono violáceo hasta marrón oscuro que se presenta bilateralmente. Fig. 2 2

  7. Presencia de moco: rinorrea hialina, serosa (transparente y muy fluída). 2
  8. Para este trabajo al igual que Aristiguietta se considero Paladar profundo: la bóveda palatina alta u ojival. 11

  9. Gingivitis marginal crónica localizada en el sector anterior: Las encías en el sector anterior por el constante paso del aire a través de ellas se tornan resecas, observándose cambios de coloración y agrandamiento a nivel de la encía libre, marginal y/o adherida. 11

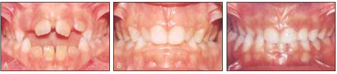
  10. Malposición dentaria y relación anterior: Para observar la malposición dentaria se evaluó el segmento posterior considerando o no la presencia de la llave de Angle o relación molar clase I, de tal manera que si está presente, el caso se considerara normal y si por el contrario no está, se considerara como malposición dentaria; para el sector anterior se consideró la existencia o no de a) Mordida abierta: cuando no existia contacto entre los incisivos superiores e incisivos inferiores, b) Mordida profunda: cuando los incisivos superiores sobre pasan a los inferiores en el plano vertical; para su medición se obtuvo la oclusión habitual y se marco con un lápiz de punta fina en las caras vestibulares de los incisivos inferiores, el nivel al cual llegaban los bordes incisales de los antagonistas. Al abrir la boca podíamos apreciar la marca hecha y se tomó como sobre mordida si los incisivos superiores cubrían más de la mitad de la corona clínica de los incisivos inferiores, c) Mordida cruzada: se tomo la oclusión habitual y se observo si existía una relación inversa de uno o más dientes del sector anterosuperior con relación a los dientes inferiores, d) Borde a borde: cuando se establecio una relación de contacto entre los bordes incisales de los incisivos superiores y los bordes incisales de los incisivos inferiores. Fig. 7. 19-20-21
    Fig. 7. A: Mordida Abierta; B : Mordida Profunda; C: Mordida Cruzada. Tomado de Varela 1999
    Fig. 7. A: Mordida Abierta; B : Mordida Profunda; C: Mordida Cruzada. Tomado de Varela 1999
Tercera fase: Aplicación de Examen clínico inicial.
Del total de la población escolar de 389 alumnos, sólo se examinaron 213 (101 hembras y 112 varones), que a la observación inicial visual presentaban algunas características faciales típicas del Insuficiente Respirador Nasal (IRN).A estos se les aplicó el instrumento descrito anteriormente.

Cuarta fase: Examen clínico complementario y entrevista: Una vez realizada el examen clínico inicial, se analizaron los resultados, encontrando que en 40 escolares, se presentaron cinco o más características faciales típicas de Insuficiente Respirador Nasal IRN, tales como: incompetencia labial, labio superior hipotónico, labio inferior hipertónico, resequedad labial, ojeras, paladar profundo entre otros. En consecuencia se les realizó el examen clínico complementario para determinar el grado de severidad del síndrome, realizando mediciones con instrumentos más precisos que serán descritos a continuación:

Altura Facial Inferior: Se utilizo el compás Vernier, para medir el área superior o nasoorbitaria (línea superciliar-subnasal ), y el área inferior o área oral (sub-nasal y gnatión); ambas zonas deben tener idéntica altura para que el tercio medio e inferior de la cara estén debidamente proporcionados. Una desviación de la proporción establecida permite expresar si el tercio inferior facial, es largo o corto con relación al resto de la cara. Fig. 8 18
Fig. 8
Fig. 8
Permeabilidad de narinas: Con la ayuda de la "mariposa de algodón" se registró la permeabilidad de las narinas para verificar si el niño respira por la boca y/o por la nariz e identificar si existe obstrucción nasal (parcial o total) en alguna de las narinas. La técnica se desarrollo así: se abre un rollo de algodón, se coloca en la punta de la nariz y se sostiene con el pulpejo de alguno de los dedos ; se indica al paciente que cierre la boca y respire por la nariz, para observar, si la salida del aire es por una o ambas fosas nasales. Si se mueve el algodón que está en la entrada de la fosa nasal, se considera que existe permeabilidad del aire a través de ellas y cuando no se mueve, estamos en presencia de una obstrucción nasal. Fig. 9 17
Fig.9 Prueba de Permeabilidad de narinas con la ayuda de la mariposa de algodón. A: Inspiración. B: Expiración.
Fig.9 Prueba de Permeabilidad de narinas con la ayuda de la mariposa de algodón. A: Inspiración. B: Expiración.
El examen esquelético: para observar la morfología y desviaciones de la columna vertebral y las alteraciones especificas que tienen relación con el paciente insuficiente respirador nasal como son: Pectus escavatus o tórax en embudo, condición que afecta el esternón y a las costillas apreciándose en la parte central del tórax anterior una fosa oval. Escápulas u omóplatos (salientes): se observa su parte posterior que es como un hueso saliente aplanado de forma triangular. Lordosis: es la curvatura de concavidad posterior que se encuentra en el tramo lumbar de la columna vertebral y si es excesiva se considera patológica. Cifosis: curva de convexidad posterior que se encuentra en la porción dorsal de la columna vertebral. Fig. 10 22-23-24
Figura 10: Examen Esquelético: A. Petus escavatus. B: Escápulas Aladas, C: Cifosis y Lordosis.
Figura 10: Examen Esquelético: A. Petus escavatus. B: Escápulas Aladas, C: Cifosis y Lordosis.
También se realizó entrevista a los padres y representantes de estos niños (ficha 3 anexos) buscando información adicional relacionada al tipo de respiración, sueño, trastornos sistémicos, alergias, asma, así como también la evidencia de hábitos en el niño y la frecuencia de los mismos.

RESULTADOS
A continuación se presentan los resultados observados según sexo y edad, en el universo de los 213 alumnos examinados así como también los términos porcentuales que representan:

Tipo de respiración
En cuanto al tipo de respiración se encontró, el respirar por ambas vías (nasal- bucal) prevaleció, sobre las otras formas observándose 63 casos para hembras y 71 casos para varones (Gráfico # 1).


De acuerdo a la distribución por edades, el grupo etáreo más afectado fue el comprendido entre 8-10 años, siendo el sexo masculino el más afectado (Gráfico # 2) lo que representa en términos porcentuales, el 47% para hembras y el 53% para varones.


Altura facial inferior
Se observaron 56 casos en hembras y 62 casos en varones, con dicha altura aumentada y su mayor frecuencia se encontró en las edades comprendidas entre 8 a 10 años, siendo el sexo masculino el predominante, representando en términos porcentuales el 56% de los casos. (Gráfico 3)


Incompetencia labial
La incompetencia labial se observó en 65 casos en hembras y 79 en varones. El grupo etáreo más afectado sigue siendo entre 8 y 10 años de edad, al igual que en el sexo masculino. (Gráfico 4)


En relación a los labios se estudiaron las siguientes características detalladas de la siguiente manera: a) según la tonicidad: hipertónico - hipotónico - normal; (Gráfico 5) siendo la condición hipotónica del labio superior la de mayor frecuencia con 51 casos en hembras y 68 para varones, mientras que en el inferior para la condición hipertónica prevaleció en 60 casos para hembras y 74 casos para varones. (Gráfico 6) lo que representa el 56 % y 63% respectivamente.



Narinas
En la observación de las narinas se consideraron dos aspectos: flácidez y diferencia de tamaño entre ellas. Se encontró 59 casos en hembras y 57 casos en varones con narinas flácidas lo que representa el 55% del total de los casos estudiados y 48% con narinas de diferentes tamaño. (Gráfico 7).


Ojeras
Esta característica fue una de las más representativa por el alto número de casos que se pudo evidenciar; así tenemos 83 y 88 casos para hembras y varones respectivamente. Las edades más afectadas siguen siendo de 8 a 10 años con predominio del sexo masculino, lo que representa un 80% del total de los casos. (Gráfico 8)


Gingivitis Marginal Crónica
La gingivitis marginal se encontró en 23 casos para hembras y 36 casos para varones. El mayor número se consiguió entre los 8 y 10 años, con predominio del sexo masculino, lo que significa en términos porcentuales 39% en hembras y 61% para varones. (Gráfico 9)


Malposición dentaria y relación anterior
  • Relación molar: 93 casos con malposición.
  • Relación Anterior: Mordida abierta 31 casos, Borde a borde 35 casos, Mordida profunda 11 casos, Mordida cruzada 8 casos.Para un total de 178 casos en hembras y varones lo que representa un 84% con signos de maloclusión. (Grafico 10)

Los resultados que a continuación se presentan son producto de la ficha 2 que fue utilizada en el grupo de 40 alumnos que reunían 5 o más características del Insuficiente Respiración Nasal IRN, buscando profundizar en la severidad del síndrome, así tenemos a continuación:

Altura facial inferior
Se encontró 32 casos con Altura facial inferior aumentada, 18 de los cuales fueron en hembras y 14 en varones, lo que representa porcentualmente un 80% del total de los casos. (Gráfico 11)


Permeabilidad de narinas
En relación a esta característica se encontró 30 casos con obstrucción parcial de 1 narina, 2 casos con obstrucción parcial de ambas narinas y 8 casos sin obstrucción aparente, lo que representa porcentualmente un 80 % de los casos con algún tipo de obstrucción. (Gráfico 12)

Obstrucción parcial de una narina Obstrucción parcial de ambas narina Sinobstrucción

Examen esquelético
En el examen físico del niño se contempló la presencia o no de cifosis, lordosis, petus escavatum, escápulas aladas; sus resultados se describiran a continuación:25 casos con cifosis, 20 con lordosis, 26 con petus 50%, 65%, 97% respectivamente. (Gráfico escavatus, 39 con escapular aladas, lo que representa porcentualmente el 63%, 13)


DISCUSIÓN
La presente investigación plantea reconocer las características más resaltante del Insuficiente Respirador Nasal (I.R.N.), coincidiendo nuestros resultados con lo señalado por Gudiño y Peraza 5, Segovia 6, Simoés 9, Linder-Aronson 14 Canut 18; quienes reportaron características clínicas especificas para el tipo de respiración que combina la vía nasal y bucal.

El Síndrome de Insuficiencia Respiratoria Nasal (I.R.N.)15 lo hemos tomado para presente estudio, por considerarlo la descripción más completa que define la respiración naso-bucal. Sin embargo, la respiración bucal ha sido descrita por algunos autores tales como : Fernández y Acosta 8, Aristiguietta11, Fundacredesa 25, quienes consideran el término como la consecuencia de un hábito o costumbre, que persiste, a pesar de haber sido eliminada la causa de obstrucción u otro hábito bucal.

Nuestros resultados arrojaron un 63% de casos con Síndrome de I.R.N. lo que hace posible relacionarlo con los datos presentados por Epidemiología regional 26, que señala a las enfermedades respiratorias entre las 10 principales causas de morbilidad en el Municipio Antolín del Campo, estado Nueva Esparta, lo que representa en términos porcentuales el 16.8 % para el périodo Enero- Septiembre 2001.Así como también, los datos presentados por Palenque y Col.2 en Guinima Isla de Coche, del mismo Estado, donde el 49% de los casos estudiados establecieron la coexistencia de Rinitis Alérgica y respiración bucal; a su vez, lo anteriormente señalado apoya lo manifestado por Ordáz 1en relación a la frecuencia que presentan estas enfermedades en la Región Neoespartana.

Las características faciales del Síndrome que se presentaron con mayor frecuencia fueron: Altura facial inferior aumentada, Incompetencia labial, Labio superior Hipotónico delgado, Labio inferior hipertónico grueso/normal, encontrándose ambos resecos; el borla del mentón hipertónico, narinas flácidas, con tamaños diferentes y parcialmente obstruidas, presencia de ojeras, paladar profundo, malposición dentaria y escápulas aladas.

Estos resultados coinciden con lo señalado por los distintos autores que describen está condición, ya citados en la revisión bibliográfica.

Es de hacer notar que se observó la prevalencia de estás características en el grupo etáreo de 8 a 10 años de edad, lo cual puede explicarse porque este grupo reunió mayor número de niños. Adicionalmente al analizar los resultados en relación al sexo se encontró, mayor frecuencia en el masculino (aunque no en lo referente a narinas flácidas y parcialmente obstruidas, donde predomino el sexo femenino), relacionándose está situación con la presentada en el "Estudio nacional de crecimiento y desarrollo humano de la República de Venezuela. Proyecto Venezuela", en la región Nor-Oriental que señala al sexo masculino como el más afectado. Lo que pudiera explicarse, porque el desarrollo hormonal del sexo femenino ocurre a edad más temprana, en relación con el masculino lo que implica un aumento de crecimiento de las estructuras anatómicas involucradas en la respiración.

Las escápulas aladas se mostraron como la alteración más evidente al examen físico esquelético, lo que nos lleva a reflexionar en la posibilidad de incluir este examen en la rutina del reconocimiento del I.R.N.

Los datos obtenidos en la entrevista no son lo suficientemente consistentes para explicar la relación del Síndrome de Insuficiencia Respiratoria Nasal con problemas de orden sistémicos u otro hábito bucal, y pudiera pensarse que el nivel educativo de la población resultó una limitante.

CONCLUSIONES
La evaluación de los niños Insuficientes Respiradores Nasales debe ser realizado a edades tempranas, ya que es valioso para detectar trastornos funcionales de la respiración.

El tratamiento de estos trastornos debe estar enfocado desde un punto de vista multidisciplinario, integrado por odontólogos, ortodoncistas, foniatras, inmunólogos, neumonólogos, otorrinolaringólogos, para obtener óptimos resultados.

Estudios más amplios sobre este tema deben ser realizados para determinar con mas detalles la importancia odontológica del IRN.

REFERENCIA
  1. Ordaz, R. "El Asma es la enfermedad pediátrica más frecuente en Latinoamérica". (Fundasne). Sol de Margarita 2001 May.15.

  2. Palenque M., Parra Y. y Pasantes de la Pasantes de la Facultad de Odontología U.C.V. Publicado en Informe final de pasantía Proyecto Margarita-Coche: "Relación entre Rinitis Alérgica y respiración bucal". 1996.

  3. Murray J., Smith T. "Principios Biológicos de la Enfermedad, Fisiopatológica". 2da edición. Edit. Medica Panamericana S.A. Buenos Aires. 1988.

  4. Marín M.G., Masson B.R. y Permuy F.S. "El Examen Funcional en Ortodoncia". 1998.

  5. Gudiño S., Peraza E., "Posición Radiográfica del Hueso Hioides y la Fosa Pterigo-Maxilar en Paciente Respirador Bucal". Monografía.Universidad de Carabobo. 1991

  6. Segovia M. "Interrelaciones entre la Odonto-estomatología y la Fonoaudiobiología. La Deglución Atípica". Edit. Médica Panamericana. Buenos Aires.1977.

  7. Kimmelman Ch. "El Problema de la Obstrucción Nasal". Clinica Otorrinolaringológicas de Norteamérica". Edit. Nueva Editorial Interamericana. 1989.

  8. Fernández C., Acosta A. "Hábitos deformantes en escolares de primaria". Rev. Cubana Ortod. 1997.

  9. Duarte A. "Insuficiencia Respiratoria Nasal IRN. y sus alteraciones clinicas faciales derivadas". Monografía. Universidad Santa Maria.1998.

  10. Cooper B. "Función Nasorespiratoria y Desarrollo Bucofacial". Clinica Otorrinolaringológicas de Norteamèrica. Edit. Nueva Editorial Interamericana. México. 1989.

  11. Aristiguietta R. "Ortodoncia Preventiva Clínica". 2da. Edición. Edit. Monserrate. Colombia. 1989.

  12. Warren D. "Aerodynamic Studies of Upper Airway: Implications for Growth, Breathing and Speech". McNamara J. "Naso-Respiratory Function and Craniofacial Growth". Monograph. Michigan. 1979.

  13. Riccio R. "Alteración Muscular en el Respirador Bucal". Monografía. U.C.V.1990.

  14. Linder-Aronson S. "Naso- Respiratory Function and Craniofacial Growth". McNamara J. "Naso-Respiratory function and craniofacial growth". Monograph. Michigan. 1979.

  15. Gómez B. "Examen Clínico Integral en Estomatopediatria. Metodología". Edit. Corporación CDI. 1997.

  16. Tamayo y Tamayo M. "El proceso de la investigación científica fundamentos de investigación con manual de evaluación de proyectos". 2da edición. Edit. Limusa, S.A. México. 1990.

  17. Moyers R. "Manual de Ortodoncia". 4ta edición. Edit. Médica Panamericana. 1992.

  18. Canut J. "Ortodoncia Clínica". Edit. Masson, S.A. España.1988.

  19. Betancourt O. "Estudio Epidemiológico de las Maloclusiones en dos Zonas Rurales". Trabajo de ascenso. Mimeografiado. Caracas. Facultad de Odontología. U.C.V. 1986.

  20. Pearlman D. "Chronic Rhinitis in Children". International Symposium on Allergy and Associated Disorders in Otolaryngology Seattle. Washington.1987. Allergy Clin. Inmunol. 1988.

  21. Varela M. "Etiología de la Maloclusiones". "Problemas Bucodentales en Pediatria". Edit. Ergon. España. 1999.

  22. Corrado C. " Hombre, Medicina y Salud. Enciclopedia Médica Británica". Tomo I - II - III. Edit. Enciclopaedia Britannica. 1982.

  23. Felson B. "Felson de Radiología Toraxica". Edit. Científico Médico. España. 1985.

  24. Degoin E. L. "Examen y Diagnostico Clínico". Edit. Científico la Prensa Médico Mexicana S.A. México. 1982.

  25. Fundacredesa. "Estudio nacional de crecimiento y desarrollo humanos de la República de Venezuela. Proyecto Venezuela" Volumen II .1990

  26. Archivos de Epidemiología Regional. M.S.D.S. Estado Nueva Esparta. Ene-Sep.2001.