Casos Clínicos

Tratamiento ortodóntico-quirúrgico de los dientes supernumerarios: Presentación de un caso clínico

Recibido para arbitraje: 06/11/2006
Aprobado para publicación: 07/05/2007


  • Di Santi Juana. Profesora Agregado de la Facultad de Odontología de la Universidad Central de Venezuela. Miembro activo de la Sociedad Venezolana de Ortodoncia.

  • Betancourt, Omar. Profesor Asociado de la Cátedra de Ortodoncia. Facultad de Odontología Universidad Central de Venezuela. Miembro activo de la Sociedad Venezolana de Ortodoncia.

RESUMEN:
La presencia de supernumerarios se ha clasificado dentro del grupo de factores locales de tipo dentario que altera el desarrollo oclusal normal y contribuye al establecimiento de una maloclusión. La prevalencia de estos dientes varía entre 0,1 y 3% y de allí su importancia, ya que es posible que entre nuestros pacientes, tanto adultos como niños, existan casos similares. Se presenta un caso clínico que fue atendido en el Postgrado de Ortodoncia de la Facultad de Odontología de la Universidad Central de Venezuela.

PALABRAS CLAVES: Dientes Supernumerarios, Hiperodoncia, Diente suplementario, Tratamiento de ortodoncia.


SUMMARY:
Supernumerary teeth are in the group of dental local factors that affect normal development and help malocclusion. It is important to present this case, since the incidence of supernumerary teeth is 0. 1-3% and therefore it is possible that among our patients, adults and children, we have similar cases. A clinic case of a patient of the Orthodontic Postgraduate Course of the Central University of Venezuela is presented.

KEYWORDS:
Supernumerary teeth, hyperodontia, Supplementary teeth, orthodontics treatment.




INTRODUCCIÓN.
La prevalencia de las maloclusiones es un tema que ha sido ampliamente estudiado, así como la posible etiología asociada a esas maloclusiones; sin embargo hasta el momento ha sido difícil establecer una clasificación de la etiopatogenia, universalmente aceptada.

Barrachina (1.988)(1) clasifica los factores causales de las maloclusiones en:

  • factores generales: donde incluye los factores esqueléticos como relación basal y relación dentoalveolar; factores musculares en los que considera los músculos masticatorios, la expresión y la lengua y los factores dentales como la relación entre tamaño dentario y tamaño maxilar y las maloclusiones funcionales de origen dentario.

  • Factores locales: que incluyen anomalías en el número de dientes, en el tamaño dentario y en la forma dentaria, además de pérdidas prematuras, hábitos anómalos, presencia de frenillo labial superior inadecuado ó caries dentales.

Proffit (1.992)(2) concibe la maloclusión como resultado de una compleja interacción entre varios factores entre los que se encuentran las influencias hereditarias, ambientales y las causas específicas.

Moyers (1.992)(3) por su parte sostiene que más importante que clasificar una maloclusión es el poder conocer su origen, ya que a pesar de tener varios casos de Clase II, por ejemplo, el pronóstico y tratamiento del caso podría variar dependiendo de su génesis. De aquí que propone la clasificación de acuerdo al tejido afectado primariamente; dividiendo a las maloclusiones en óseas, musculares, dentarias.

A pesar de la gran diversidad de criterios, la presencia de supernumerarios se ha clasificado dentro del grupo de factores locales de tipo dentario que altera el desarrollo oclusal normal y contribuye al establecimiento de una maloclusión. Podría observarse dientes impactados, erupción retardada o ectópica de los dientes adyacentes, apiñamiento dental, diastemas y formación de quistes foliculares.(4)

En el 2.005, Khalaf y cols.(5) publicaron un estudio comparativo donde midieron el tamaño dental de pacientes con supernumerarios y un grupo control, sus observaciones clínicas indican que los dientes de pacientes con supernumerarios son de mayor tamaño que lo normal Así mismo encontraron que el diente de mayor tamaño era el incisivo central superior, por lo que se podría decir que los dientes cercanos a un supernumerario muestran la mayor variación de tamaño.


DEFINICIÓN, SINONIMIA Y ETIOLOGÍA.
El diente supernumerario es un germen dentario más o menos dismórfico o eumórfico (diente suplementario) en número excesivo sobre la arcada dentaria maxilar o mandibular. (6) Conocido también como hiperodoncia. Su origen se debe a alteraciones durante las fases de inicio y proliferación del desarrollo dental. (2)

Para Canut (1.988)(6) la etiología no está suficientemente aclarada, aunque diversos mecanismos han sido implicados como posible causa de hiperodoncia:

  • Hiperactividad localizada de la lámina dental epitelial

  • Dicotomía de los gérmenes dentales, que ha sido comprobada experimentalmente mediante cultivos in vitro de gérmenes dentales divididos

  • Anomalías del desarrollo: es notoria la alta incidencia de dientes supernumerarios que se observan en casos de labio leporino, fisura palatina y disostosis cleidocraneal.

Por su parte Kangowska-Adamczÿk y Karmariska (2.001)(7) refieren que el factor genético es importante en la etiología de los dientes supernumerarios. Otros autores suponen la existencia de un gen autonómico dominante, mientras que otros creen que se encuentra ligado al sexo.

En un caso en el cual tanto hermanos gemelos como su madre presentaban dientes supernumerarios, concluyeron que existe una influencia genética en la hiperodoncia. Sin embargo, la observación de diferencias en las denticiones de esos hermanos puede sugerir que, factores ambientales pueden afectar la formación del fenotipo.

Khalaf y cols. (2.005)(5) sugieren que la etiología es multifactorial, donde se combinan factores genéticos y ambientales.


CLASIFICACIÓN.
Canut (1.988)(6) y Moyers (1.992)(3) distinguen tres tipos de dientes supernumerarios en la dentición permanente:

  • Diente suplementario: diente extra de morfología y tamaño normal. Suponen un aumento del material dentario y cuyo efecto en la oclusión es un incremento del potencial de apiñamiento. Se presentan en dentición permanente como incisivos laterales superiores extras o como incisivos inferiores; y en dentición primaria en los incisivos centrales.

  • Diente cónico: diente con corona cónica y raíz más pequeña que un diente normal. Se localiza en la premaxila, cerca de la línea media, entre los incisivos centrales superiores, y se conoce con el nombre de mesiodens. Se originan por el desarrollo de un solo lóbulo en la época de la odontogénesis. El ejemplo más común es el incisivo lateral "en clavija", el cual tiene el lóbulo medio de desarrollo.

  • Diente tuberculado: diente con tubérculo o invaginado. Su desarrollo es tardío y se considera un diente representativo de una tercera dentición. Se localizan en la superficie palatina de los incisivos centrales superiores y normalmente impiden su erupción. Puede ser unilateral o bilateral. Pueden presentarse también en la zona molar, especialmente del maxilar superior.

    Generalmente presentan un tamaño reducido y no suelen presentar la morfología típica de los molares. Se localizan en la cara vestibular de los molares a nivel de los espacios interdentarios.

    En algunas ocasiones se pueden observar cuatro molares, sobre todo en el maxilar superior; este cuarto molar se conoce como distomolar.

    Foster y Taylor (1.969)(8) han señalado varias características específicas del mesiodens que le diferencian del diente tuberculado:

  • El mesiodens tiene una forma cónica, cuya corona puede apuntar a cualquier dirección, incluso hacia el suelo nasal

  • Aproximadamente el 75% de los casos no hacen erupción, y aunque producen malposiciones localizadas a nivel de los incisivos centrales superiores (diastemas o giroversiones), no suelen impedir su erupción

  • El diente cónico presenta un desarrollo temprano, su formación radicular comienza a la vez e incluso antes que la de los incisivos centrales superiores; se considera un diente extra que se forma en la segunda dentición.

EPIDEMIOLOGÍA.
Canut (1.988)(6) refiere que la frecuencia de dientes supernumerarios varía según el tipo de población estudiada, oscilando entre 0,1% y 3,6% en dientes permanentes, y de 0,2% a 1,9% en la dentición primaria.

Otros refieren una prevalencia en dentición permanente entre 0,1 a 3,8% en caucásicos y son menos frecuentes que los congénitamente ausentes (3,5).

En la dentición primaria, los dientes supernumerarios generalmente presentan la morfología de un diente normal y suelen estar localizados en la región incisiva y canina del maxilar. Un 30% de los casos, en dentición primaria, van acompañados de hiperodoncias en la dentición permanente.(6)

En la dentición permanente el 90% se encuentran en la parte anterior del maxilar. (6, 2,7) y en la arcada inferior se sitúan principalmente a nivel de premolares (6)

En cuanto a las diferencias sexuales se observan más a menudo en los varones que en las mujeres, variando en una proporción de 2:1 a 10:1. (3, 5, 6,9)

Los dientes suplementarios en poblaciones asiáticas y africanas, son más frecuentes en segmentos bucales, y en Europa, en la zona incisiva. (6)

En un estudio de 11.400 niños, entre los 7 y 15 años, Billberg y Lind (1.965)(9) encontraron mesiodens en 1,4% de los sujetos: 80% presentaban uno sólo y 20% tenían dos o más; y agregaron que los varones presentaban mesiodens más largos que las mujeres.


DIAGNÓSTICO.
Muchos supernumerarios son asintomáticos y son descubiertos solo durante el examen clínico o el examen radiográfico. La no erupción de uno o dos centrales, cuando ya han salido los laterales, obliga a una exploración completa junto con la medición cuidadosa de los dientes. (3,4, 6)

El diagnóstico puede hacerse con radiografías periapicales, panorámicas u oclusales para ubicar y conocer el tipo de diente supernumerario; sin embargo no nos da información tridimensional. Es por eso que en ocasiones debemos utilizar técnicas más sofisticadas como es el caso de la Tomografía computarizada.(3, 4)

Como norma general, cuantos más supernumerarios existan, más anormal será su morfología, y cuanto más elevados se encuentren, más trabajo costará resolver el problema.(2)


TRATAMIENTO.
El tratamiento consiste en extraer los supernumerarios antes de que aparezcan los problemas, o en limitar sus consecuencias si los dientes ya han resultado desplazados. Los casos más sencillos son aquellos en los que existe un solo diente supernumerario y se localiza superficialmente. Si el diente no está invertido, a menudo erupciona antes que el diente normal y puede extraerse antes de que interfiera con los dientes adyacentes. Por lo general cuanto antes se extraigan los supernumerarios, más probabilidades habrá de que los dientes erupcionen normalmente sin ayuda.(2)

Canut (1.988)(6) sostiene que la extracción y eliminación de la causa (diente supernumerario) hace que el incisivo haga erupción espontáneamente en el 75% de los casos.

El tiempo que transcurre entre la exodoncia del supernumerario y la erupción espontánea del diente permanente varía entre 16 meses y 3 años.(7, 4)

En dentición primaria su presencia es muy rara, estando bien formados; siendo la conducta a seguir dejarlos en su lugar, a menos que estén causando una maloclusión. En dentición permanente también debe considerarse si son causa de maloclusión.(3); de ser así se decide la extracción. Para esto habrá que considerar, por una parte el ancho mesiodistal de los dientes (para determinar cual es el diente accesorio) y por otra debe estudiarse la formación radicular, tamaño y posición de la corona. En caso de supernumerarios con variaciones de tamaño y forma, estos dientes deben ser extraídos lo más pronto posible, sin dañar los dientes que se encuentran normales.

Para Rizzuti y Scotti (1.997)(10) el tratamiento se hace más fácil cuando se trabaja con varios especialistas en equipo, más sencillo cuando se cuenta con un cirujano que tiene conocimientos de ortodoncia y con un ortodoncista familiarizado con los procedimientos quirúrgicos. El hecho de que los miembros del equipo compartan el mismo lenguaje y espíritu de cooperación, facilita el desenvolvimiento del caso.


CASO CLÍNICO.
Paciente femenino de 21 años de edad que acude a la Faculta de Odontología de la Universidad Central de Venezuela para realizarse un chequeo odontológico de rutina.

No refiere antecedentes personales ni familiares de importancia.

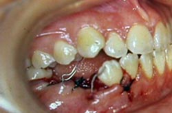
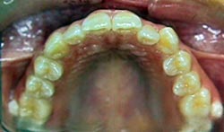
Al examen clínico se observa (Figuras 1,2,3,4,5)

  • leve y generalizada inflamación de las encías, que se manifiesta con cambios de coloración

  • perdida de sustancia calcificada en 17, 36, 37, 46 y 47

  • presencia de dientes primarios: 84, 85

  • presencia de supernumerarios entre 17-16 y 26-27 (vestibular)

  • mordida cruzada entre 12-43 y 24-44

  • ruido articular derecho sin sintomatología

  • no presenta guía canina del lado de trabajo derecho.

FIGURA 1 Foto Intrabucal lateral derecha
FIGURA 1 Foto Intrabucal lateral derecha
FIGURA 2 Foto Intrabucal frontal
FIGURA 2 Foto Intrabucal frontal
FIGURA 3 Foto Intrabucal lateral izquierda
FIGURA 3 Foto Intrabucal lateral izquierda
FIGURA 4 Foto Intrabucal Oclusal superior
FIGURA 4 Foto Intrabucal Oclusal superior
FIGURA 5 Foto Intrabucal Oclusal inferior
FIGURA 5 Foto Intrabucal Oclusal inferior
En la radiografías periapicales, panorámicas y oclusal inferior se observó (Figuras 6 y 7)
  • Presencia de dientes incluidos: 18,28,38,44,45

  • Imágenes radiopacas compatibles con restauraciones metálicas en 46 y 47

  • Presencia de supernumerarios localizados apicalmente al 34, 35, 44 y 45 (dientes suplementarios) vestibular entre 17-16 y 27-26 y oclusal del 28 (dientes tuberculados)

  • Reabsorción radicular del 34, 35, 84 y 85.

FIGURA 6 Radiografía panorámica
FIGURA 6 Radiografía panorámica
FIGURA 7 Radiografía oclusal inferior
FIGURA 7 Radiografía oclusal inferior

El paciente se clasificó cefalométricamente como Clase I de Angle, con biprotrusión dental y dentariamente, siguiendo el esquema de Angle modificado por Dewey Anderson, el paciente fue ubicado como Clase 1 Tipo 1, 3 y 4.

Se realizó la interconsulta con la Cátedra de Cirugía bucal donde se realizó el referente Plan de tratamiento:

  • exodoncia de los dientes 84 y 85, de los premolares ubicados mas oclusalmente en esa misma zona para evitar la pérdida excesiva de hueso y permitir la erupción forzada de los premolares restantes

  • exodoncia del 34 y 35 para permitir la erupción forzada de los supernumerarios de esa zona

  • exodoncia de los supernumerarios ubicados en vestibular de las zonas posterosuperiores

  • exodoncia de los terceros molares y del supernumerario ubicado oclusal al 28

  • tratamiento ortodóntico para guiar la erupción de los premolares inferiores de ambos lados, alineación y nivelación, eliminación de las mordidas cruzadas.

El tratamiento se inició en marzo de 2.001 con las extracciones quirúrgicas planteadas y colocación de botones de cementado directo con ligadura al arco en los premolares incluidos para forzar la erupción de esos dientes y en abril del mismo año, se inicia el tratamiento ortodóntico. (Figuras 8, 9, 10 y 11)

FIGURA 8 Dientes supernumerarios extraídos
FIGURA 8 Dientes supernumerarios extraídos
FIGURA 9 Botones cementados en 44 y 45
FIGURA 9 Botones cementados en 44 y 45
FIGURA 10 Ligadura metálica para erupción forzada
FIGURA 10 Ligadura metálica para erupción forzada
FIGURA 11 Ligadura amarrada al arco
FIGURA 11 Ligadura amarrada al arco

En noviembre del mismo año se podían observar clínicamente el 34, 35, 44 y 45; observándose en éste último una deficiencia de esmalte en la cara vestibular por lo que se procedió a la reconstrucción con resina y al cementado de bracketts en todos los premolares para lograr su nivelación y alineación. (Figuras 12 y 13) Posteriormente se colocaron arcos 0,016": el inferior se estrechó para mejorar la relación interarcos. (Figura 14)

FIGURA 12 Cementado de bracketts en 44 y 45 y arco de nivelación
FIGURA 12 Cementado de bracketts en 44 y 45 y arco de nivelación
FIGURA 13 Restauración del defecto de esmalte en 45
FIGURA 13 Restauración del defecto de esmalte en 45
FIGURA 14 Arcos acero 0,016”
FIGURA 14 Arcos acero 0,016”

Las fotos finales de este caso se observan a continuación (Figuras 15, 16, 17, 18, 19)

FIGURA 15 Foto Intrabucal Frontal
FIGURA 15 Foto Intrabucal Frontal
FIGURA 16 Foto Intrabucal Lateral Derecha
FIGURA 16 Foto Intrabucal Lateral Derecha
FIGURA 17 Foto Intrabucal Lateral Izquierda
FIGURA 17 Foto Intrabucal Lateral Izquierda
FIGURA 18 Foto Intrabucal Oclusal superior
FIGURA 18 Foto Intrabucal Oclusal superior
FIGURA 19 Foto Intrabucal Oclusal Inferior
FIGURA 19 Foto Intrabucal Oclusal Inferior

Se ha querido reflejar una maloclusión cuya prevalencia, según los diferentes autores consultados, no es muy común, pero que puede presentarse con más probabilidad en nuestra población por la gran mezcla de razas que existe y que debemos conocer para decidir como resolver satisfactoriamente. De gran importancia la interconsulta y la participación de un equipo multidisciplinario para la resolución de estos casos.


BIBLIOGRAFÍA.
  1. Barrachina, C. (1.988) Etiopatogenia: factores locales. En: Medfödda antalsvariationer i permanenta dentitionen. B. Den. Overtaliga tanden i överkäkens mittparti, mesiodens. Odont Rev, 16:258-272.

  2. Proffit,W. (1.996) Ortodoncia. Teoría y Práctica. Mosby-Doyma Libros S.A. Madrid, España.

  3. Moyers, R. (1.992) Manual de Ortodoncia. Editorial Médica Panamericana. Buenos Aires, Argentina.

  4. Bayrak S., Dalei K y Sari S. (2.005) Case report: Evaluation of supernumerary teeth with computerized tomography. Ankara University online.

  5. Khalaf K., Robinson DL, Elcock C, Smith RN y Brook AH. (2.005) Tooth size in patients with supernumerary teeth and a control group measured by image analysis system. Oral Surgery, Oral Medicine, Oral Pathology, Oral Radiology and Endodontology. 50:243-248

  6. Canut, J.A. (1.988) Ortodoncia Clínica. Capítulo 13. Salvat Editores. Barcelona, España.

  7. Kangowska-Adamczÿk H. y Karmariska B. (2.001) Similar loctions of impacted and supernumerary teeth in monozygotic twin: A report of 2 cases. Am J Orthod Dentofac Orthop, 119:67-70.

  8. Foster, T. y Taylor, G. (1.969) Characteristics of supernumerary teeth in the upper central incisor region. Dent Pract, 20: 8-12.

  9. Billberg, B. y Lind, V. (1.965) Medfodda antalsvariationer i permanenta dentitionen. B Den overtaliga tanden i overkakens mittparti, mesiodens Odont Rev, 16, 258-272 En: Canut, J.A. (1.988) Ortodoncia Clínica. Capítulo 13. Salvat Editores. Barcelona, España.

  10. Rizzuti N. y Scotti St. (1.997) A case of hyperodontia with twenty-two supernumareries: Its surgical-orthodontic treatment. Am J Orthod Dentofac Orthop, 111:471-480.