Luna M: Estudiante postgraduado de la Maestría de Medicina Estomatológica
De Guglielmo: Investigador del Instituto de Oncología y Hematología, Ministerio de Salud
Garassini M: Médico Gastroenterólogo. Servicio de Gastroenterología del Hospital Universitario Caracas.
Perrone M: Profesor Titular, Jefe de Laboratorio de Microbiología Instituto de Investigaciones Odontológicas Raúl Vincentelli, Facultad de Odontología, Universidad Central de Venezuela
Correnti M. Profesor Agregado, Jefe del Laboratorio de Genética Molecular, Instituto de Oncología y Hematología, Ministerio de Salud, Jefe del Centro de Biotecnología aplicada a la Odontología, Facultad de Odontología, Universidad Central de Venezuela.
RESUMEN |
INTRODUCCION
La infección por Virus de Hepatitis C, representa uno de los mayores problemas de salud pública en la actualidad, a nivel mundial.(1) Diversos estudios epidemiológicos han demostrado que otros fluidos además de la sangre, pueden constituir vías potenciales de infección por VHC, incluyendo la saliva. La posibilidad de que la transmisión de este agente viral pueda ocurrir por una vía no parenteral, es avalada por investigaciones que han demostrado la presencia de VHC en la saliva y otros fluidos como lágrimas. (1-3)
Virus de Hepatitis C (VHC) es considerado el principal agente etiológico de la hepatitis postransfusional y hepatitis no A no B, con una prevalencia global estimada cerca del 3%. (4). Aproximadamente del 60 al 80% de los individuos expuestos podrían desarrollar una infección crónica y hepatitis, y cerca del 20% de estos, pueden eventualmente progresar a cirrosis y daño hepático.
La infección crónica está asociada con un alto riesgo de carcinoma hepatocelular primario, así como con manifestaciones extrahepáticas. (4) y ha sido también relacionada con enfermedades autoinmunes con manifestaciones orales, tales como liquen plano y Síndrome de Sjogren. (5,6,7).
Algunos estudios han demostrado la presencia de HCV-RNA en la saliva de pacientes infectados por hepatitis C, pero los resultados son muy variables, reflejando esto la heterogeneidad de las poblaciones estudiadas, y la diversidad de las técnicas empleadas.(7-10)
Los resultados obtenidos al respecto son muy contrastantes, con tasas de detección del virus que oscilan entre 0-100%, así como trabajos donde no ha sido posible demostrar su presencia, a nivel de saliva. (11, 12, 16-21)
Ha sido reportada una relación directa entre la presencia del virus en la saliva y la carga viral en sangre. (22,23) Esto podría sugerir una transferencia de partículas a partir de la saliva, vía gradiente de concentración, a la circulación sanguínea. Sin embargo, algunos autores puntualizan que la detección del ARN viral, no es necesariamente una contaminación sanguínea secundaria a
lesiones en la mucosa, o enfermedad periodontal. (14-24) También se ha propuesto que VHC podría entrar a la saliva vía surco gingival (13), pero ello no explicaría la presencia del virus en pacientes edéntulos como ha sido previamente demostrado.(25)
El objetivo del presente estudio fue determinar la presencia de ARN de Virus Hepatitis C, en la saliva de un grupo de pacientes con Hepatitis C Crónica.
MATERIALES Y METODOS
Pacientes: En el presente estudio se evaluaron 24 pacientes con Hepatitis C Crónica, seleccionados al azar del Departamento de Hepatología del Hospital Clínico Universitario. Los siguientes criterios de inclusión fueron aplicados: presencia de ARN-VHC en sangre diagnosticada por ELISA (tercera generación), confirmada por Reacción en Cadena de la Polimerasa (RCP), ausencia de enfermedad hepática concomitante (hepatitis A, hepatitis B), ausencia de infección por VIH-SIDA, no haber recibido tratamiento previo con interferon, ausencia de embarazo y la participación voluntaria en el estudio, manifestada a través del consentimiento informado, obtenido de cada uno de los pacientes.
TOMA DE LA MUESTRA: 5 ml de saliva no estimulada fue obtenida de cada uno de los pacientes escupiendo directamente dentro del tubo y mantenidas a -70°C hasta el momento de su procesamiento.
Transcripción Reversa y Reacción en cadena de la Polimerasa (RCP): El ARN fué extraído de la saliva usando precipitación con cloroformo-isopropanol. El cADN fue sintetizado por transcripción reversa en una mezcla que contenía el ácido nucleico, 500µl de inhibidor de ARNasa, 50 µM de cada dNTP, 5 pmol del primer CA: CAACACTACTCGGCTAGCAGT (nucleótidos 229-329) (26), 4µl de buffer de transcripción reversa (BRL) y 20 U de transcriptasa reversa M-MLV (BRL).
Posteriormente se realizó la RCP con 10 µl de esta muestra en una solución que contenía 50 mM KCl, 10 mM Tris HCl pH 8,3, 2mM Mgcl2, 200µM de cada dNTP (dATP, dCTP, dGTP, dUTP), 10 pmol de los iniciadores C3: GGC-GACACTCCACCATAGAT (nucleótidos 1-20) (26) y C4. Se realizaron 35 ciclos (90 seg, 94°C/2min, 40°C/2min, 68°C) en un termociclador (Perkin Elmer Thermal cycler), usando 2 U Taq polimerasa. El producto final amplificado, fue separado por electroforesis en geles de agarosa al 2%, y coloreados con bromuro de etidio para su visualización bajo luz ultravioleta, para apreciar las bandas correspondientes
ANALISIS ESTADISTICO: Para tal fin los resultados se analizaron aplicando el t de Student y Chi cuadrada
RESULTADOS
Detección de ARN-VHC: De las muestras analizadas por TR-RCP, se obtuvo que de las 24 muestras de saliva estudiadas, 7/24 (29%) fueron positivas para la presencia del genoma viral, mientras que 17/24 (71%) fueron negativas. (Gráfico N°1).
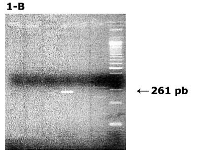
En las figs. 1a, 1b, 1c, y 1d, es posible apreciar las muestras positivas para la presencia del genoma viral de VHC en la saliva. Se puede visualizar una banda entre 260 y 300 pares de base (pb), característica de la amplificación de la región 5' delimitada por los oligonucleótidos iniciadores. Además, se pudo observar una banda de 261 pb, correspondiente al producto de amplificación del control positivo
Detección de ARN-VHC en saliva mediante la técnica TR-RCP
![]() |
|
Carril 1: Marcador de Peso Molecular lambda
leader 100 pb Carril 2: Control positivo Carril 4: Muestra de saliva positiva para VHC Carril 3, 5, 6: Muestra de saliva negativas para VHC Carril 7: Control negativo |
![]() |
|
Carril 1: Marcador de Peso Molecular lambda
leader 100 pb Carril 4: Muestra de saliva positiva para VHC Carril 2, 3, 5, 6, 7: Muestra negativa |
![]() |
|
Carril 1: Marcador de Peso Molecular lambda
leader 100 pb Carril 11: Muestra de saliva positiva para VHC Carril 15: Control positivo |
![]() |
|
Carril 1: Marcador de Peso Molecular lambda
leader 100 pb Carril 5, 9, 10: Muestra de saliva positiva para VHC |
Con respecto a la edad es posible observar que de los 7 pacientes en cuyas muestras de saliva se detectó el genoma de VHC, el 57% (4/7) se ubicó en el rango de edad entre 34-55 años, seguido por el 43% (3//) entre 56-67 años.
En referencia al sexo, del total de los pacientes a los que se les detectó la presencia del genoma viral, 71% (5/7) pertenecían al género masculino, y el 29% (2/) al género femenino, en contraste con los pacientes negativos para el agente viral, de los cuales, el 41% ( 7/17) fueron del género masculino, y el resto, 59% (10/17) al femenino
DISCUSION
La hepatitis es una inflamación del hígado que puede ser causada por bacterias, alcohol, traumas y virus, entre ellos VHC, el cual pertenece a la familia Flaviviridae, siendo un virus pequeño con genoma ARN monocatenario; es hepatotrópico y linfotrópico; se replica lentamente en el hepatocito, con una extraordinaria variabilidad genética que posiblemente le permite escapar de la respuesta inmunológica del hospedero. Se conocen varios genotipos de este virus. (27,28)
Las rutas de adquisición de la infección por este virus son principalmente por vía parenteral. (27). Otros autores reportan otras formas de contagio tales como, accidentes laborales, transfusiones sanguíneas, hemodiálisis, tatuajes y compartir jeringas; esta última en relación con el hábito de consumo de drogas intravenosas. (13, 29, 30)
De igual forma, ha sido reportado (10), que otros fluidos pueden actuar como portadores del virus, planteando la posibilidad de que la saliva sea una importante vía de contaminación por sus características y contenido. Asimismo, ha sido señalado que el contacto sexual y las relaciones sexuales con múltiples parejas pueden constituir otra vía de contagio. (31,32)
La identificación de VHC en otros fluidos diferentes a la sangre es importante para evaluar las posibles vías de transmisión no parenterales. El papel que juegan los fluidos de la cavidad bucal en la transmisión de este agente viral, es muy controversial, por ello nos propusimos en el presente trabajo la detección del genoma viral en muestras de saliva de pacientes con Hepatitis C crónica.
Nuestros resultados, empleando la TR-RCP, una técnica altamente sensible y específica, demostraron la presencia del ARN-VHC en el 29% de las muestras evaluadas. Al respecto, otros grupos de investigación han reportado resultados similares a los nuestros, (12, 16, 18, 20, 21, 33) habiéndose también señalado su presencia a nivel del fluido crevicular. (13).
Aunque VHC es un virus hepatotrópico, existen evidencias convincentes del linfotropismo de este virus, observado en tejidos de cultivo (33). VHC ha sido ampliamente detectado en células mononucleares sanguíneas en pacientes con infección crónica por el virus, y las diferencias en la identificación de especies dentro del suero y las células mononucleares sanguíneas, sugieren que la replicación ocurre dentro de estas últimas. (29,30,34).
Las células mononucleares infectadas con el virus, podrían transferirse a la saliva a través de lesiones en las mucosas, o por enfermedad periodontal, o a través de un gradiente de concentración hacia el surco gingival.(35)
La detección de ARN-VHC en muestras de la mucosa bucal de pacientes con Hepatitis C crónica, indica que esta puede ser una puerta de entrada para la infección por este virus, el cual infecta las células epiteliales y se replica dentro de ellas.
La replicación viral en la mucosa bucal, es probablemente un factor en la etiopatogénesis de algunas manifestaciones extrahepáticas intraorales, asociadas con VHC, como el liquen plano.(28)
Estudios epidemiológicos sugieren que la capacidad infectiva de las partículas virales de VHC en la saliva, es baja (11, 24) y no existen evidencias de que el virus se puede diseminar por estornudos, tos, besos o utensilios compartidos. Además la prevalencia de la infección es similar entre trabajadores de la salud expuestos a la saliva, y la población general (3, 6).
Ha sido sugerido que VHC aislado de la saliva, puede derivarse de las glándulas salivales, (25) ya que se ha demostrado la replicación viral dentro de las glándulas.(28) Esto podría explicar el porque, VHC es ocasionalmente detectado en la saliva, pero no en el suero de algunos pacientes. También existe una posibilidad de que el virus exista dentro de las células de la mucosa epitelial. Así, VHC ha sido identificado en el tejido de la mucosa, como de glándulas salivales de pacientes con liquen plano bucal, usando varias técnicas tales como hibridización in situ y TR-RCP. (10, 28)
Podrían entonces, existir varios mecanismos implicados en la penetración de VHC dentro de la saliva y el fluido crevicular. Estos hallazgos tienen importantes implicaciones desde el punto de vista médico, considerando la importancia de la transmisión del virus para los trabajadores de salud, así como su epidemiología.
En este estudio, observamos la presencia de ARN-VHC en la saliva de pacientes con infección crónica por VHC. El hecho de que el genoma viral este presente en la saliva de pacientes con hepatitis crónica, provee bases biológicas para la potencial transmisión de este virus vía saliva contaminada. Es necesario realizar estudios epidemiológicos a gran escala, para clarificar el significado de la presencia de este agente viral en la saliva, incluyendo la posible fuente de diseminación de la infección, por la exposición con este fluido.
REFERENCIAS BIBLIOGRAFICAS
|