Casos Clínicos

Mucinosis bucal focal - Reporte de un caso

Recibido para arbitraje: 30/04/2008
Aceptado para publicación: 22/07/2008

  • Lorena Dávila Barrios. Profesora Titular. Cátedra de Periodoncia. Coordinadora del Grupo de Bioseguridad. Facultad de Odontología. Universidad de Los Andes. Mérida- Venezuela

  • Susana Arteaga Altuve. Profesora Asociada. Cátedra de Periodoncia. Miembro del Grupo de Bioseguridad. Facultad de Odontología. Universidad de Los Andes. Mérida- Venezuela

  • Belkis Quiñónez Márquez. Profesora Titular. Cátedra de Farmacología y Terapéutica. Facultad de Odontología. Universidad de Los Andes. Mérida- Venezuela

  • Manuel Molina Barreto. Profesor Asociado. Cátedra de Cirugía Bucal y Estomatológica. Miembro del Grupo de Bioseguridad. Facultad de Odontología. Universidad de Los
  • Andes. Mérida- Venezuela

  • Leonel Castillo Cáceres. Profesor Asociado. Cátedra de Cirugía Bucal y Estomatológica. Miembro del Grupo de Bioseguridad. Facultad de Odontología. Universidad de Los Andes. Mérida- Venezuela

    Reconocimiento: a la Dra. Rosalba Florido. Medico Patólogo. Profesora de la Cátedra de Anatomía Patológica, por su colaboración en el reporte histológico

    Agradecimiento: a las Brs. Lisbeth Sosa y Erika González, estudiantes de 5to y 4to año, respectivamente, por su valiosa colaboración en la digitalización de las imágene
ABSTRACT:
Mucinosis are dermatosis characterised by mucin deposit on the dermis. Mucinosis in the oral cavity are not frequent and until this date 38 cases have been reported in literature. Clinically it is presented as an asymptomatic elevation, of firm consistency, more frequently localized in the gum or alveolar mucous. A 19 year old patient case was reported. He had a voluminous mass with an edema aspect, a smooth surface, localized on the vestibular gum between 23 and 24, firm consistency, painless and with three years evolution, with a pyogenic granuloma or gingival hyperplasia alleged diagnose. After the biopsy sample was taken, the hystopatological study revealed fibrillar processes of a mixoid aspect and inflammatory cell accumulations consisting of neutrophiles, lymphocytes, plasmocytes, polymorphonuclear leukocytes. A focused oral mucinosis and gingivitis was definitively diagnosed. No recurrence was observed after it was removed.

KEY WORDS: Mucinosis, focused oral mucinosis, gingival growth, gingival hyperplasia


RESUMEN
Las mucinosis son dermatosis caracterizadas por el depósito de mucina en la dermis. La mucinosis en la cavidad bucal es poco frecuente y hasta la fecha se han reportado en la literatura 38 casos. Clínicamente se presenta como una elevación asintomática, de consistencia firme, localizada con mayor frecuencia en la encía y en la mucosa alveolar. Se reporta el caso de una paciente de 19 años de edad que presentaba una masa voluminosa de aspecto edematoso, superficie lisa, localizada en la encía vestibular entre 23 y 24, de consistencia firma, indolora y de tres años de evolución, con diagnóstico presuntivo de granuloma piógeno o hiperplasia gingival. El estudio de la biopsia reveló procesos fibrilares de aspecto mixoide y acúmulos de células inflamatorias consistentes en neutrófilos, linfocitos, plasmocitos y leucocitos polimorfonucleares. Se estableció el diagnóstico definitivo de mucinosis bucal focal y gingivitis. No se ha observado recurrencia un año después de su remoción.

PALABRAS CLAVE: Mucinosis, mucinosis bucal focal, agrandamiento gingival, hiperplasia gingival.


INTRODUCCION

Las mucinosis constituyen un grupo muy heterogéneo de dermatosis caracterizadas por el depósito anormal de mucina en la dermis 1,2 Las mucinosis se han clasificado como metabólicas (mixedema difuso o pretibial; liquen mixedematoso y gargolismo) secundarias o catabólicas (degeneraciones en varios tipos de neoplasmas) y localizados (folicular, papular, focal y quiste sinovial mixoide). (1)

La mucina está compuesta por mucopolisacaridos ácidos, en particular ácidos hialurónico y condroitín sulfúrico, normalmente se encuentra en pequeñas cantidades en la dermis papilar. Por tanto, si en el hallazgo histológico se observa un aumento de la presencia de mucina, en estos lugares se hablaría de mucinosis (1).

La Mucinosis Bucal Focal (MBF) es una enfermedad rara de etiología desconocida y patogénesis incierta (3) donde el tejido conectivo presenta una degeneración focal. Esta entidad fue descrita por primera vez por Tomich en 1974 (4), quien establece que la MFB es la contraparte de la mucinosis focal cutánea y del quiste mixoide cutáneo (5-7). Soda y col (8) y Etges y col (3), indican que esta lesión clínicamente aparece como una elevación asintomática, benigna de coloración similar a la mucosa subyacente (3,7) de consistencia firme y de base sésil o pediculada (9). Su localización más frecuente es a nivel de la encía y en la mucosa alveolar (5,6).

Saito y col en 1985 (7) reportan un caso en paciente masculino de 35 años de edad, con una masa localizada en la encía vestibular y lingual del incisivo lateral inferior y un segundo caso en paciente de 50 años, femenino, con una lesión edematosa en la encía del incisivo central inferior izquierdo que se extendía hasta el canino derecho. Iezzi y col en 2001 (5) reportan un caso en paciente masculino de 48 años de edad, con lesión localizada en la encía del incisivo central inferior izquierdo. Sin embargo, se conocen reportes de mucinosis que han presentado otra localización, tal es el caso publicado por Gnepp 1990 (2) de una niña de 4 años de edad que presentó mucinosis en el paladar. Soda y col en 1998 (8) reportaron una lesión, en un hombre de 68 años de edad, localizada en la región ventral anterior de la lengua. Talacko y col en 2004 (10) reportan el caso de un paciente de 24 años de edad que presentaba una masa de tejido ulcerada localizada en el opérculo de un tercer molar inferior derecho parcialmente erupcionado y un caso de una paciente de 63 años quien presento mucinosis en la mucosa bucal derecha (carrillo)

Histológicamente, según descripción original de Tomich en 1974 (4), la MFB presenta un área localizada de tejido conectivo mixoide con una acumulación de ácido hialurónico, rodeada de tejido conectivo fibroso denso. Se observa un estroma mixoide con contenido de husos dispersos y fibroblastos estrellados, estos a su vez, presentan citoplasmas escasos, desde los cuales se extienden delicados procesos fibrilares. Tomich (4) sugirió aplicar el término de mucinosis focal a esta alteración, en vez del término quiste mixoide, debido a que la lesión se desarrolla como resultado de una sobreproducción fibroblástica de ácido hialurónico sin que exista un estimulo definido.


REPORTE DEL CASO

Paciente femenina de 19 años de edad acude a consulta manifestando que presenta sangrado gingival y que desde hace tres años tiene un agrandamiento en la encía. Como antecedentes personales refiere que actualmente está en tratamiento endocrinológico, por hiperinsulinismo, el cual consiste en controlar la ingesta de carbohidratos. Dentro de los antecedentes familiares, la paciente refiere que el abuelo paterno padeció de cáncer en la garganta, la abuela materna de cáncer gástrico y los abuelos paternos fueron diabéticos.

En los antecedentes odontológicos recibió tratamiento de extracción de los cuatro terceros molares, tartrectomías (siendo la última 6 meses antes de asistir a consulta por primera vez) y presenta resinas en 16 y 26 por oclusal.

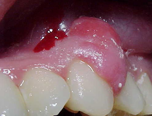
Al examen clínico se observó que la encía vestibular superior presentaba un aspecto ligeramente edematoso con una masa voluminosa localizada entre 23 y 24, de superficie lisa, con cambios de coloración hacia apical de la lesión, hacia la zona incisal de la misma el color es igual a la encía circunvecina, de consistencia firme, base sésil de 10mm en sentido apical-incisal y de 6mm en sentido distal-mesial, indolora (Fig.1). La encía por palatino presenta un aspecto aparentemente sano. La encía vestibular inferior y la encía lingual presentan un aspecto moderadamente edematoso, localizado en la zona antero inferior. Al sondaje periodontal la profundidad osciló entre 1 y 2mm, excepto entre 23 y 24 donde el sondaje fue de 5mm debido a que la papila llegaba hasta el punto de contacto. Se presentó leve sangrado en esta zona y en la zona antero inferior. Pocos irritantes locales tipo cálculo dental localizado en la zona antero inferior. Índice de O´Leary (mide la cantidad de depósitos teñidos de placa acumulada en las superficies libres dentales utilizando soluciones reveladoras como la fuccina) de 15%. No se detectó movilidad dental. Radiográficamente no se observaron cambios en la cortical ósea, nivel óseo y trabeculado óseo.

Fig 1
Características clínicas: masa voluminosa localizada entre 23 y 24, de superficie lisa, con cambios de coloración hacia apical de la lesión; consistencia firme y base sésil. De 10mm en sentido apico-incisal y de 6mm en sentido mesio-distal, indolora

Se procedió a realizar una biopsia excisional de la lesión que se envió al laboratorio para el estudio histopatológico de la misma, con diagnóstico presuntivo de un granuloma piogénico o de una hiperplasia gingival. Una vez eliminada la lesión se procedió a realizar desbridamiento y gingivoplastía para devolver contornos anatómicos en la zona. La herida cicatrizó por segunda intención, a los 8 días postoperatorios se observó la reepitelización del área.

El tejido cicatrizó adecuadamente, se le indicó a la paciente fase de mantenimiento periodontal en la que se realizó tartrectomía y profilaxis cada 3 meses. El estudio histopatológico reportó la presencia de un tejido tapizado por epitelio plano estratificado con cambios de acantosis; en el corion se observó una respuesta inflamatoria crónica (tejido de granulación) dispuesta en la periferia de una matriz mucinosa (Figura 2 y 3), en cuyo seno se identifican células estrelladas y otras alargadas, con pequeñas prolongaciones que se emiten a la periferia (Figura 4), El epitelio estaba recubierto por una capa delgada de paraqueratina, la capa espinosa presentó un espesor variable y una maduración normal, mientras que la capa de células basales permaneció intacta. Los mamelones epiteliales se mostraron moderadamente acentuados. El tejido conjuntivo subyacente presentó fibras colágenas entremezcladas con fibroblastos y fibrocitos. Dentro de este tejido conjuntivo se observaron espacios vasculares recubiertos de células endoteliales, llenos de eritrocitos y algunos glóbulos rojos extravasados. También se apreciaron acúmulos de células inflamatorias consistentes en neutrófilos, linfocitos y plasmocitos. El diagnóstico histopatológico fue mucinosis focal bucal y gingivitis.

Fig 2
Microfotografía (HE) donde se identifica tejido tapizado por un epitelio plano estratificado con cambios de acantosis (A), en el corion se identifica a bajo aumento, (Lupa), una respuesta inflamatoria crónica (tejido de granulación) el cual se dispone a la periferia de una de una sustancia de aspecto mucinoso la cual se observa de un color basófilo.

Fig 3
A mayor aumento (10X) se identifica el área central de aspecto mucinoso (M).

Fig 4
La Lesión observada a 40X donde identificamos una matriz mucinosa (M) en cuyo seno se identifica células estrelladas y otras alargadas, con pequeñas prolongaciones que se emiten a la periferia (C).

DISCUSIÓN

Son muy pocos los casos de MBF reportados en la literatura. Tomich en 1974 (4) reporta 8 casos, Saito y col en 1985 (7) describe 2 casos, Buchner en 1990 (6) informa sobre 15, Soda y col en 1998 (8) reportan 1 caso, Aldred y col 2003 (9) publican 15 casos en un periodo de 22 años de seguimiento, Talacko y col en 2004 (10) reportan 2 casos, Halliday y col. 2007 (11) reportan solo un caso, lo cual confirma la poca frecuencia de la lesión (Cuadro Nº 1)

Cuadro Nº 1
Casos clínicos de MFB reportados en la literatura.
Fuente: autores

Iezzi en 2001 (5) indica que es posible que las lesiones en la encía se presenten en un 80% y en un 20% en paladar duro, mucosa alveolar y lengua. Aldred y col en 2003 (9) reportan 15 casos de mucinosis de los cuales 10 se ubicaban en encía, 2 en el labio, 2 en mucosa bucal y 1 en la lengua. De los 10 casos presentes en encía 8 se ubicaron en la mandíbula, específicamente, en el cuadrante izquierdo. La MBF reportada por Halliday y col 2007 (11) se localiza también en encía. No obstante, Saito y col 1985 (7) indican que esta lesión no tiene sitio de predilección, tal como se observó en un segundo caso reportado por Gnepp en 1990 (2) de un niño de 2 años de edad que desarrolló una MBF en la laringe después de haber sido intubado por infecciones respiratorias frecuentes a los 2 meses de nacido.

El caso que se reporta al igual que los presentados por Iezzi en 2001 (5) y Halliday y col 2007 (11) se localizó en la encía, particularmente en el maxilar, a diferencia de los reportados por Aldred y col en 2003 (9) en los cuales las MBF se ubican preferentemente en la mandíbula.

Con respecto a la edad, la literatura no reporta predilección por un grupo etario en particular, se puede presentar tanto en infantes como en adultos mayores; tampoco existen diferencias significativas en cuanto al sexo.

La literatura no establece con precisión las características clínicas de la MBF, debido a que presenta rasgos similares a otras lesiones, como aumento de volumen, consistencia firme, color rosado intenso, base sésil o pediculada, asintomática, entre otras. Esa particularidad hace difícil el diagnóstico clínico inicial, confundiéndose con un absceso periodontal (5), épulis fibroso, hiperplasia fibrosa, granuloma de células gigantes y granuloma piogénico (9,11). Debido a que las lesiones mencionadas son benignas y su tratamiento es excisional, en algunos casos la MBF puede no haber sido diagnosticada, siendo la posible razón del por qué existen pocos reportes de esta patología en la literatura.

Con relación a las características histopatológicas de la MBF, el presente caso coincide con la descripción original reportada por Tomich en 1974 (4), quien refiere la presencia de un área localizada de tejido conectivo mixoide con un predominio de ácido hialurónico; en nuestro caso además de la matriz mucinosa, se observó una respuesta inflamatoria crónica dispuesta en la periferia de dicha matriz, vale resaltar que no aplicamos técnicas inmunohistoquímicas para determinar la presencia de ácido hialurónico. Córdova en 1999 (1), reporta un caso de mucinosis folicular en el que también se observó infiltrado celular inflamatorio periférico, aun cuando la localización de la mucinosis es distinta, en ambos casos existe similitud en esta característica, confirmándose que la MBF es la contraparte de la mucinosis cutánea según Tomich en 1974 (4). Esta respuesta inflamatoria podría deberse a que la presencia de mucina en los tejidos actúa como un cuerpo extraño induciendo la acumulación de células inflamatorias, hecho que puede explicar la presencia de una gingivitis (no inducida por placa) con un Índice de O´leary de 15% considerado bajo, tomando en cuenta que este índice refiere que más del 30% indica abundante acumulo de placa.

Debido a que la MBF puede confundirse con otras lesiones y los estudios reportados indican que su diagnostico es histológico, se confirma la necesidad e importancia de realizar un estudio histopatológico a toda lesión hiperplásica.


BIBLIOGRAFÍA
  1. Córdova M.A.: Mucinosis folicular. Dermatol Peru. (1999); 9: 20-3.

  2. Gnepp D, Vogler C, Sotelo-Avila C, Kielmovitch I.: Focal mucinosis of the upper aerodigestive tract in children. Hum Pathol. (1990); 21: 856-8.

  3. Etges A, Sobral A, Santos J, Silva M, Araújo V.: Oral focal mucinosis: clinical, histopathological and histochemical study. RPG rev pos-grad. (2000); 7: 141- 4.

  4. Tomich CE.: Oral focal mucinosis. A clinicophatologic and histochemical study of eight cases. Oral Surg Oral Med Oral Pathol. (1974); 38: 714-24.

  5. Iezzi G, Rubini C, Fioroni M, Piattelli A.: Oral focal mucinosis of the gingiva: case report. J Periodontol (2001); 72 : 1100-2.

  6. Buchner A, Merrell PW, Leider AS, Hansen LS.: Oral focal mucinosis. Int J Oral Maxillofac Surg. (1990); 19: 337-40.

  7. Saito I, Ide F, Enomoto T, Kudo I.: Oral focal mucinosis. J Oral Maxillofac Surg. (1985); 43: 372-4.

  8. Soda G, Baiocchini A, Bosco D, Nardoni S, Melis M.: Oral focal mucinosis of the tongue.Pathol Oncol Res. (1998); 4: 304-7.

  9. Aldred MJ, Talacko AA, Ruljancich K, Store R, Newland S, Chen S.: Oral focal mucinosis: report of 15 cases and review of the literature. Pathology. (2003); 35: 393-6.

  10. Talacko AA, Lacy MF, Besly WJ, Aldred MJ.: Oral focal mucinosis: report of two cases with ulceration. Pathology. (2004); 36: 581-3

  11. Halliday H, Gordon S, Bhola M.: Case report: an unusually large epulis on the maxillary gingiva of a 24-year-old woman. Gen Dent. (2007); 55:232-5