Casos Clínicos

Análisis bioético de un paciente con un caso clínico Periodoncia-Ortodoncia

Recibido para publicación: 28/11/2008
Aceptado para publicación: 16/06/2009
    Autores: Zamora, Mariana Odontólogo-Periodoncista; Jarpa, Tatum Odontólogo; Ferro, María J. Profesor asociado de la Cátedra de Psicología; Pbro. Rodríguez, William Profesor asistente de la Cátedra de Psicología.
RESUMEN:
En el ejercicio diario, nos enfrentamos con situaciones en las cuales debemos aplicar no solamente nuestros conocimientos científicos y técnicos que competen a la odontología, sino también nuestra condición humana y vocación de servicio para atender, con responsabilidad y ética profesional, a nuestros pacientes.

El propósito de este estudio surgió para concientizar la importancia de conocer los principios bioéticos, así como la actitud integral del odontólogo general y el especialista cuando se presenta un paciente por primera vez o de emergencia a la consulta, y atenderlo no solo por la "emergencia" por la cual asiste, sino como un ser bio-psico-social.

En nuestro caso, si el odontólogo general se hubiese limitado a atender al paciente solo por la emergencia que presentó y no hubiese orientado al paciente desde los principios bioéticos de benevolencia, beneficencia, no maleficencia, autonomía, consentimiento informado de tipo verbal y remitido al periodoncista, el paciente hubiese seguido en desconocimiento del estado real de sus condiciones bucales, evitando consecuencias indeseables.

Los procedimientos básicos realizados en este artículo fueron la revisión bibliográfica y el estudio clínico del caso.

Igualmente hacemos énfasis en realizar todos los estudios diagnósticos necesarios para realizar nuestro protocolo de tratamiento, ya que si no diagnosticamos correctamente, no podremos planificar el tratamiento correctamente y remitirlo al especialista si lo requiere.

Concluimos en este estudio la importancia a que, tanto odontólogos generales como especialistas, aprendan a ver al paciente como un ser integral bajo los principios bio-éticos y aplicar el consentimiento informado de manera habitual en nuestra consulta.


ABSTRACT:
In exercising daily, we are faced with situations in which we must apply not only our scientific and technical knowledge that fall within dentistry, but also our human condition and vocation of service to meet with responsibility and professional ethics, to our patients.

The purpose of this study was to raise awareness of the importance of knowing the bio-ethical principles, as well as the attitude and parcel of clinicians and experts when a patient presents for the first time or emergency consultation, and caring not only for the "Emergency" by which assists, but like a bio-psycho-social.

In our case, if the general dentist had been limited to meet the patient only by the emergency and had not submitted oriented to the patient from the bioethical principles of benevolence, charity, not maleficencia, informed consent type of verbal and sent to periodontist The patient had remained in ignorance of the real state of their oral conditions, avoiding undesirable consequences.

The basic procedures in this article were the literature review and clinical study of the case.

Likewise make all the emphasis on conducting diagnostic studies needed to carry out our treatment protocol, because if not properly diagnose, treat, we can't plan properly and know refer to a specialist if required.

We conclude this study in the importance to both general dentists and specialists, learn to see the patient as an integral be under the bio-ethical principles and applying the informed consent on a regular basis in our consultation.


INTRODUCCION:
En el mundo actual en que vivimos, los conceptos de valor, moral y ética lamentablemente se han menospreciado, lo cual podemos observarlo cuando leemos el periódico, vemos la televisión, cuando salimos a la calle en nuestra rutina diaria y aun peor y más triste en nuestras propias actitudes de vida o en nuestro desempeño en el trabajo.
Cuando hablamos de moral y ética vemos la necesidad de hacer siempre y en todo momento el bien y evitar el mal en toda su plenitud, en cada acción que realicemos en nuestra vida personal y en nuestro trabajo.

En la actualidad la demanda de pacientes que requieren tratamientos de ortodoncia en adultos se ha incrementado significativamente, esto es debido a múltiples causas entre ellas, la enfermedad periodontal, que puede alterar la estabilidad del sistema masticatorio por la movilidad de los dientes, alterando así la oclusión y provocando diastemas que afectan la estética del paciente y por lo tanto su autoestima, para lo cual recurre a un tratamiento de ortodoncia.

Tomamos como premisa el mantener la salud periodontal antes, durante y posterior a todo tratamiento ortodóncico, no solo por la preservación de esas estructuras sino para lograr una mejor estabilidad y retención una vez finalizado el tratamiento.

Como personal de salud y como ser ético social, estamos en la obligación moral de hacerle el bien por sobre todas las cosas a nuestro paciente (directa o indirectamente) sin causarle algún tipo de daño por ninguna razón o motivo, al igual que debemos incluir en nuestro protocolo de tratamiento el atender a nuestro paciente como un ser integral , que siente, sufre y padece, y así darnos y darle un poco de tiempo al apoyo psicológico , creando así en nuestra consulta un ambiente de confianza, confidencialidad , justicia y equidad.

En el campo de la odontología muchas veces nuestro paciente no sabe por desconocimiento teórico cual es la mejor decisión que debe tomar con respecto al tratamiento, de allí que nosotros como profesionales apegados a la ética, debemos informarle a nuestro paciente sobre los diferentes tipos de tratamiento, ventajas y desventajas de cada uno para así poder realizar el que sea mejor para el paciente bajo una concientización mutua, respetando el principio de autonomía hacia el paciente.

Nos motivó realizar este trabajo de investigación del caso clínico a manera de reflexión para el gremio en general para así dar a conocer la importancia de tomar en cuenta el manejo de los principios bióeticos por parte del odontólogo general y del especialista.

Junto a la información que le demos a nuestro paciente sobre la patología que tiene y los diferentes protocolos o alternativas de tratamiento debe estar implícito el principio de beneficencia, no maleficencia y benevolencia hacia nuestro paciente incluyendo el consentimiento informado.


DESCRIPCION DEL CASO:
Se presenta a consulta del odontólogo general un paciente de sexo femenino, de 30 años de edad, refiriendo dolor en zona superior derecha porque se le fracturó un diente.

Al examen clínico se observó fractura parcial de la corona clínica del 15 por amalgama defectuosa. Adicionalmente a esto, se observó periodontitis del adulto generalizada de moderada a severa, con exudado hemorrágico y purulento y presencia de abundantes irritantes locales.

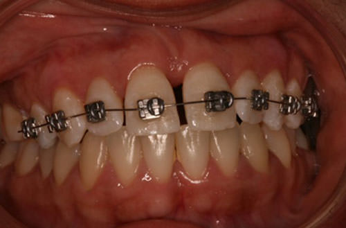
También presentaba ortodoncia fija únicamente en maxilar superior de segundo premolar a segundo premolar, refiriendo la paciente que les fueron colocados desde hacía un mes y medio (Fig. 1)

Fig. 1
Fotografía inicial con la ortodoncia colocada. Vista frontal

Al indagar en el interrogatorio la paciente refiere haber acudido a una evaluación con una "supuesta ortodoncista" por presentar movilidad y diastemas en los dientes antero superiores para así mejorar su estética, proponiéndole este un tratamiento corto de aproximadamente 6 meses para el cierre de diastemas sin evaluar su situación periodontal para ese momento.

De igual forma la paciente refiere que la "supuesta ortodoncista" no le indicó estudio radiográfico periapical completo, ni modelos, ni fotografías, sólo panorámica y cefálica lateral.

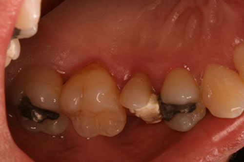
El odontólogo general le realiza la emergencia endodóntica en el 15, para aliviar el dolor, y la refiere de inmediato al periodoncista, quien posterior a la evaluación periodontal de rutina le sugirió la remoción de la aparatología fija, hasta tanto se estabilice el proceso periodontal activo (Figs. 2, 3 y 4).

Fig. 2
Vista palatina zona ant-sup. Nótese la gran inflamación gingival en 21.

Fig. 3
Vista palatina de la inflamación gingival en los dientes 15 y 16.

La paciente aceptó la remoción de la aparatología fija y en los actuales momentos se encuentra en la fase inicial del tratamiento periodontal, posteriormente se evidenció, que la "supuesta ortodoncista" era una odontólogo general que audazmente incursiona en la ortodoncia y sobre quien recaen numerosos reclamos por mala praxis.

Fig. 4
Vista lingual de la zona post-inf-der. Además de presentar inflamación gingival moderada, se evidencia el abundante acúmulo de irritantes locales

Fig. 5
detalle de radiografía panorámica donde se evidencia la perdida de soporte óseo

MARCO LEGAL:
En la revisión de los diferentes instrumentos legales que rigen nuestra profesión y nuestra conducta ciudadana, encontramos que en los Principios Internacionales de Ética para la Profesión Dental, están contemplados aspectos y pautas para todos los odontólogos, que en síntesis, se pudieran resumir en la frase que dice: "trata como te gustaría ser tratado". El odontólogo tiene la obligación de trabajar en pro de la ciencia dental a favor del paciente, la comunidad y la profesión (1).

En lo que al paciente se refiere, uno de los aspectos referidos es el que "el odontólogo debe tener presente que, por el beneficio del paciente, se habrá de habilitar todo el tratamiento factible proveniente de la ayuda de otro colega de título dental o médico, de necesitarlo" (1,2,3). Consideramos que este aspecto fue violado puesto que no hubo evaluaciones radiográficas apropiadas correspondientes al caso ni una interconsulta con un periodoncista previo al tratamiento de ortodoncia, que alejado de toda ética profesional intentaba realizar esta odontólogo general, en perjuicio del paciente

En cuanto a la profesión, estos principios refieren que "los odontólogos mantendrán al día sus conocimientos y pericias profesionales por medio de la educación continuada" (1), y el Código de Deontología Odontológica en su art. 2, habla de "… procurar estar informado de los avances del conocimiento científico. La actitud contraria no es ética, ya que limita en alto grado su capacidad para suministrar al paciente la ayuda requerida" (2). Igualmente, la Ley del Ejercicio de la Odontología en su art. 16 establece que "los profesionales que ejerzan la odontología deberán estar debidamente capacitados y legalmente autorizados según esta ley para prestar sus servicios a la comunidad…" (3).

Con esto nos referimos a que el manejo del caso presentado se hubiera llevado correctamente desde el principio, estando claros del alcance de nuestros conocimientos, en este caso, del ortodoncista si se hubiera percatado de la presencia de la enfermedad periodontal activa que presentaba la paciente. Además de esto, se violó el art. 18 del código de deontología odontológica, en uno de sus puntos establece que "son actos contrarios a la dignidad profesional y violatoria del presente código…. Indicar al paciente tratamientos inútiles con fines lucrativos"; con esto expresamos que, en este caso se le estaba realizando un tratamiento de ortodoncia que era inútil para la paciente y lucrativo para el odontólogo que engañosamente se hacía pasar por ortodoncista (2).

En el Código de Deontología Odontológica también se refieren a la "elaboración del diagnóstico recurriendo a los procedimientos científicos a su alcance" (art. 11), a "actuar con la seriedad y la delicadeza a que obliga la dignidad profesional" y a "tener como objetivo primordial la conservación de la salud" (art. 12). En el caso de "dudas en el diagnóstico o tratamiento de algún caso, estará en la obligación de hacer todas las consultas a que hubiere lugar con sus colegas (especialista o no) en beneficio del paciente" (art. 13) (2).

En conclusión, si se hubiesen realizado las evaluaciones radiográficas correspondientes, un sondaje periodontal e interconsulta con un periodoncista previamente a la planificación del tratamiento de ortodoncia con la apropiada remisión a un especialista, se le hubiese ahorrado tiempo y dinero al paciente y no se hubiese puesto en entredicho la profesionalidad del odontólogo general quien sin ninguna ética incursionaba en un área de tratamiento que debe corresponder a un Ortodoncista, quien ha recibido la preparación apropiada para este tipo de tratamientos.


ANALISIS BIOETICO:
Analizando las conductas desde el punto de vista bioético de los diferentes profesionales que manejaron este caso, notamos que se aplicaron algunos principios y paradigmas bioéticos, mientras que otros fueron violados.

Cuando nos referimos a la conducta del odontólogo general quien se hacía pasar por ortodoncista, pudiéramos pensar en un paternalismo médico puesto que toma para si la decisión del tratamiento a realizar, y propone 1 solo tipo de tratamiento sin tomar en consideración otras alternativas de tratamiento en base a las condiciones generales del paciente, pero profundizando un poquito más, vemos que la impericia, la negligencia y la iatrogenia están presente, por lo que los aspectos en que se basa el paternalismo médico en cuanto al principio de beneficencia, que se refiere a obrar en función del mayor beneficio posible para el paciente, no maleficencia no causando daño alguno en el tratamiento a realizar.

Adicionalmente a estos principios bioéticos mencionados anteriormente, también fueron violados los principios de benevolencia que se refiere a que no basta con hacerle el bien al paciente, sino que hay que desearle positivamente el bien; el de equidad y justicia, puesto que no se le dio un trato debido, merecido o justo a la paciente, ya que, al no realizar los estudios diagnósticos correspondientes no se realizó el protocolo de tratamiento adecuado a la condición del paciente, ni tampoco se advirtió de los riesgos de la realización de un tratamiento de ortodoncia fija bajo las condiciones periodontales presentes y mucho menos se le informó a la paciente que la odontólogo que realizaría el tratamiento no poseía título de especialista ni había cursado estudios de cuarto nivel en esa especialidad. La paciente refiere que no se le realizó consentimiento informado ni verbal ni escrito por parte de la "supuesta ortodoncista", en el cual se le plantearan las alternativas de tratamiento y se le diera la oportunidad de tomar una decisión (principio de autonomía).

La relación odontólogo-paciente por parte del periodoncista se basó en el paradigma bioético del paternalismo médico, ya que indica la remoción inmediata de la aparatología fija y posponer el tratamiento de ortodoncia, hasta tanto se estabilicen los tejidos periodontales para lograr así mejorar su condición periodontal, basándose en el principio de beneficencia, benevolencia, no maleficencia, equidad y justicia ya descritos, puesto que su prioridad se basaba en la salud periodontal de la paciente. Además, el periodoncista basa su indicación en la evidencia científica de los cambios tisulares en los movimientos de ortodoncia, específicamente en el ligamento periodontal, en la cual la presencia de inflamación dificulta el movimiento dentario por la formación de zonas de hialinización (4,5).

Cabe destacar que el periodoncista realizó un consentimiento informado de tipo verbal comunicándole lo beneficios y riesgos que implicaba el continuar en ese momento bajo esas condiciones específicas el tratamiento de ortodoncia fija. No se realizó consentimiento informado escrito.

La conducta del odontólogo general con respecto a la paciente fue de tipo horizontal, ya que la paciente fue informada de manera verbal de las condiciones periodontales presentes, los riesgos y beneficios de continuar con la aparatología fija, sugiriéndole la interconsulta con el periodoncista respetando el principio de autonomía del paciente, puesto que este pudo perfectamente elegir acudir a la "supuesta ortodoncista" tratante y no al periodoncista, actuando de esta manera bajo los principios de autonomía, beneficencia, benevolencia, no maleficencia, equidad y justicia y confidencialidad.


CONCLUSIONES:
La Bioética es una "Ciencia de Vida" en la que vemos al hombre como a un ser Bio-psico-social "integral" para eliminar así el distanciamiento entre la ciencia y la ética. En el momento en cada uno de nosotros como persona y como profesional de la salud concienticemos la visión integral y la dignidad especial que tenemos como seres humanos inigualables, en esa misma medida habrá cabida para términos fundamentales como beneficencia, respeto a la vida y equidad dentro de nuestro mundo.

Es importante en nuestro ejercicio profesional actuar bajo los principios bioéticos aplicando igualmente los conocimientos, tanto científicos como humanos, con el fin de lograr una acción diagnóstica y terapéutica adecuados, conociendo las consecuencias que estos puedan conllevar para así evitar violar los principios bioéticos de autonomía, beneficencia, no maleficencia, benevolencia, equidad y justicia.

Concluimos que es aconsejable implementar en la consulta odontológica la aplicación del consentimiento informado verbal para que el paciente conozca de primera línea las condiciones en que se encuentra y las alternativas de tratamiento, y del consentimiento informado escrito y firmado por el paciente como constancia en la historia clínica odontológica con toda la información recibida de manera verbal, junto con la decisión tomada por el paciente referente a su tratamiento. De esta manera se hace evidente la importancia que tiene dicho documento, en el que se toman en cuenta factores de importancia como son los principios bioéticos en nuestra cotidianidad en nuestros consultorios, siendo con esto mejores profesionales desde una manera integral.


BIBLIOGRAFÍA:
  1. Principios Internacionales de Ética para la Profesión Dental. Instrumentos normativos reguladores del ejercicio de la Odontología en Venezuela. Facultad de Odontología UCV, Caracas, 1984.

  2. Código de Deontología Odontológica. Instrumentos normativos reguladores del ejercicio de la Odontología en Venezuela. Facultad de Odontología UCV, Caracas, 1984.

  3. Ley del ejercicio de la Odontología. Instrumentos normativos reguladores del ejercicio de la Odontología en Venezuela. Facultad de Odontología UCV, Caracas, 1984.

  4. López, C.; Casanegra, RA.; Muñóz, AS. Ortodoncia-Periodoncia, Parte I. Revisión Bibliográfica. Rev. Chil. Periodont. Oseoint. Vol 1: 12-19; 2004.

  5. Elisabeth Guercio de Dinatale, Acta Odontológica Venezolana. ene. 2001, vol.39, no.1, p.61-65.