Casos Clínicos

Granuloma piógeno. Reporte de un caso

Recibido para Arbitraje. 24/04/2009
Aceptado para publicación: 19/06/2009
  • Lisbeth Sosa (Prof. Instructor Cátedra de Periodoncia. Universidad de Los Andes)

  • Daniela Ramírez (Prof. Instructor Cátedra de Periodoncia. Universidad de Los Andes)

  • María Fernanda Palacios (Prof. Asistente Cátedra de Periodoncia. Universidad de Los Andes)

  • Susana Arteaga (Prof. Asociado Cátedra de Periodoncia. Universidad de Los Andes)

  • Lorena Dávila (Prof. Titular Cátedra de Periodoncia. Universidad de Los Andes)

    Cátedra de Periodoncia. Facultad de Odontología. Universidad de Los Andes. Calle 24 entre Av. 2 y 3. Edificio El Rectorado. Mérida-Venezuela Tlf. 0274-2402378
    Email: [email protected]
Resumen
El Granuloma Piógeno (Granuloma Telangiectásico) es un agrandamiento gingival de aspecto tumoral, se caracteriza por ser muy vascularizado, no purulento; puede producirse como respuesta a un trauma menor, su etiología no se relaciona con microorganismos infecciosos. Se localiza en cualquier área de la mucosa bucal, es más común en la encía marginal-vestibular de los dientes anteriores del maxilar. Objetivo: Aportar evidencias clínicas sobre la epidemiología y diagnóstico de ésta patología. Metodología: Se reporta el caso de un paciente masculino de 48 años de edad, procedente de El Vigía - Estado Mérida, que acude a la Cátedra de Periodoncia (F.O.U.L.A). Al examen clínico presentó una lesión en la encía marginal-vestibular del 21, de forma ovoide, con 5 mm de diámetro, consistencia blanda, textura rugosa, base sésil, color rojizo, crecimiento lento e indoloro, y de 18 meses de evolución. Radiográficamente no se evidenciaron alteraciones en el periodonto de inserción. Se realizó extirpación quirúrgica de la lesión y posterior análisis histopatológico de la muestra. Resultados: Las características histopatológicas de la muestra confirman la presencia de un Granuloma Piógeno; se reporta un postoperatorio satisfactorio sin recidiva. Conclusiones: La literatura señala que esta lesión es común en niños y mujeres embarazadas, sin embargo, el caso reportado se trata de un paciente masculino de 48 años, por lo tanto se puede decir que, el Granuloma Piógeno puede estar presente en personas de cualquier edad y genero, razón por la cual se deben conocer las características clínicas de ésta lesión y los diagnósticos diferenciales de la misma.

Palabras clave: Granuloma, Agrandamiento gingival tumoral, Neoplasia benigna.


Abstract:
Pyogenic Granuloma (Telangiecticum Granuloma) is an gingival tumour was characterised by highly vascularized, this is not purulent, may occur in response to minor trauma, its etiology is not related to infective microorganisms. Pyogenic Granuloma could be localised in any area of the oral mucosa is more common in the marginal gingiva, buccal maxillary anterior teeth. Objective: To provide clinical evidence on the epidemiology and diagnosis of this condition. Methods: We report a case of a male patient age 48, from El Vigia - Mérida State, attending the Department of Periodontics (Foula). At clinical examination he presented a lesion in the marginal gingiva of 21, an ovoid form, with 5 mm in diameter, soft, rough texture, sessile base, reddish, slow growth, painless and 18 months of evolution. Radiographically, showed not alterations in the periodontium of insertion. We performed surgical excision of the lesion and subsequent histological analysis of the sample. Results: The histopathological characteristics of the sample confirmed the presence of a Pyogenic Granuloma; we report a satisfactory postoperative without recurrence. Conclusions: The literature suggests that this injury is common in children and pregnant women, however, the reported case was a male patient of 48 years, therefore we can say that Pyogenic Granuloma can occur in people of any age and sex, For these reason is very important that the dentist knows about clinical characteristics the differential diagnosis of this lesión.


Introducción:

Existe una variedad de agrandamientos o lesiones tumorales que afectan los tejidos gingivales y periodontales. Estas múltiples clases de lesiones presentan diversos factores etiológicos y cambios patológicos que permiten clasificarlos en agrandamientos inflamatorios (crónicos o agudos), agrandamientos gingivales inducidos por fármacos, agrandamientos relacionados con enfermedades sistémicas, agrandamientos condicionados inespecíficos y agrandamientos neoplásicos, entres otros (1).

Dentro de los agrandamientos condicionados inespecíficos, se encuentra el Granuloma Piógeno que es un agrandamiento gingival de aspecto tumoral (1). También se le denomina Granuloma Telangiectásico, el cual se caracteriza por ser muy vascularizado y no suele ser purulento (2). Esta lesión es descrita como el desarrollo reactivo focal de tejido fibrovascular o de granulación con proliferación endotelial importante (2,3); pudiendo considerarse una entidad vascular benigna, que se forma como una respuesta crónica ante los irritantes locales5.

El término piogénico es incorrecto puesto que la producción de pus no es precisamente una de las características típicas de estas lesiones6. Igualmente este término parece implicar lesiones que reaccionan ante una infección por microorganismos piógenos3, sin embargo, algunos autores afirman que no existe relación entre ninguna bacteria y la aparición de estas proliferaciones reactivas. El tejido está infiltrado por abundantes neutrófilos, lo que explica la errónea atribución de una etiología bacteriana.

También es definido como una formación pseudotumoral que aparece sobretodo en la encía queratinizada; se cree que se trata de una reacción local de la encía desproporcionada contra microtraumatismos (3). Además, es considerada una reacción hiperplásica del tejido de granulación originada en la mucosa bucal a consecuencia de agentes inflamatorios diversos y que evoluciona hacia la ulceración (3). Se le ha atribuido la denominación de hemangioma lobular capilar, debido a la gran vascularización que presenta (6,7).

Otra característica distinguible del Granuloma Piógeno es su larga evolución, en la cual existe producción de colágeno y cambios inflamatorios crónicos de larga data (6).

Debido a que muchos autores lo asocian con reacciones del tejido de granulación, el Granuloma Piógeno, puede resultar una alteración de la cicatrización donde hay una formación excesiva de vasos sanguíneos y abundantes capilares. Cuando ocurre el proceso de cicatrización, bien sea de heridas o de procedimientos quirúrgicos, hay reepitelización a partir de la capa de células germinativas y hay neoformación de vasos sanguíneos, los cuales van a llenar el defecto, es decir, tanto la reepitelización, como la neoformación de vasos forman la cicatriz.

No obstante, en el Granuloma Piógeno hay un predominio de sustancias difundibles que limitan la proliferación celular o inhiben la división y el crecimiento celular, lo cual provoca un exceso o aumento de vascularización. En la pubertad y en el embarazo los cambios hormonales pueden modificar la respuesta gingival reparadora de la lesión, esta alteración de la respuesta justifica su frecuencia en embarazadas.

Estas lesiones se presentan principalmente en la encía, aunque también pueden aparecer en otras áreas de la cavidad bucal, incluso en piel u otras membranas mucosas (8). Su origen aún no es claro pero se desarrollan después de un traumatismo o una irritación crónica que es ocasionada por higiene deficiente, rehabilitación protésica no ajustada, malposición dentaria, biopelícula, cálculo, extracción. También contribuyen factores hormonales, los cuales aceleran el crecimiento de dichas lesiones.

Esta lesión es una de las más comunes y frecuentes encontradas en cavidad bucal, como lo reporta un estudio retrospectivo entre los años 2002 al 2006 y en el cual se determinó la prevalencia del Granuloma Piógeno y de otras patologías de la cavidad bucal (8); la muestra empleada fue de 309 casos; en pacientes de 0 a 99 años de edad de ambos géneros. Se calculó porcentajes de prevalencia de las lesiones y su distribución de acuerdo a la edad, género y localización; de ellos, 182 casos (58.8%) fueron diagnosticados como granulomas piógenos, con una mayor prevalencia en la 2da y 5ta décadas de la vida con un 17.5%; el género femenino fue el más afectado, 120 (65.9%) casos, en comparación al masculino con 62 (34%). Las lesiones se ubicaron en el sector anterior, la extensión más frecuente fue en la mucosa masticatoria (8).

Igualmente otro estudio retrospectivo en una población de 3900 biopsias de las cuales 114 presentaban como diagnostico definitivo Granuloma Piógeno (GP), siendo el género femenino el más afectado, en cuanto a la edad en ese estudio se observó una mayor tendencia entre el rango de la segunda y tercera década de vida y en cuanto a la localización el cuadrante I y la línea media fueron los de mayor presentación (3). Por ser esta lesión frecuente en cavidad bucal el objetivo de este reporte de caso fue aportar evidencias clínicas sobre la epidemiología y diagnostico de ésta patología.

Epidemiología

El Granuloma Piógeno es una entidad que no tiene predilección en cuando edad ni genero. Sin embargo se ha reportado con mayor frecuencia en la segunda década de la vida, y predominantemente se ve afectado el genero femenino (3,4,5,6,7,8,9,10,11,12,13,14,15,16,17). (Tabla. 1)

Tabla 1
Prevalencia del Granuloma Piógeno según edad y genero

Etiología

Puede producirse como una reacción exagerada en respuesta a un trauma menor, sin que se haya podido demostrar un microorganismo infeccioso definido; también se debe a cambios hormonales durante la pubertad y embarazo (10), exodoncias traumáticas y prótesis mal adaptadas.

Igualmente puede resultar de injurias repetitivas, microtraumatismos e irritación local sobre piel y membranas mucosas (11). También ha sido asociado al consumo de ciertas drogas como la ciclosporina y a respuestas inflamatorias ante rechazos de procedimientos de regeneración tisular guiada (9).

Localización

Puede localizarse en todas las áreas de la mucosa, pero se encuentra con mayor frecuencia en la encía marginal. Se desarrolla más a menudo en las caras vestibulares de los dientes anteriores del maxilar superior.

Evolución

Esta lesión se caracteriza por ser de evolución rápida e indolora (7).

Manifestaciones Clínicas e histológicas

Es una lesión tumoral de tamaño variable de color rojizo o azulado, de forma esférica y a veces lobulada. Puede presentar una base sésil y a veces pediculada, consistencia friable o firme. Es indoloro aunque puede generar dolor si se ulcera, el sangrado de la lesión ulcerada es común. En algunas ocasiones los dientes pueden sufrir separaciones cuando se produce un crecimiento excesivo de la lesión a nivel interproximal.

Histológicamente se caracteriza por una proliferación vascular que se asemeja al tejido de granulación. Se pueden observar numerosos espacios vasculares y láminas sólidas de células endoteliales a veces organizadas en cúmulos lobulares (2). Microscopía: Ante cortes histológicos se puede observar una lesión circunscripta cubierta por epitelio plano estratificado no queratinizado, que a nivel del corion puede presentar proliferación de pequeñas luces capilares con endotelio prominente, algunos ectásicos, acompañados de edema del corion. El epitelio de revestimiento puede revelar un crecimiento descendente en la base de la lesión formando un "collar". En algunos preparados se observan sectores de epitelio ulcerado e infiltrado inflamatorio linfoplasmocitario.

Diagnóstico: Examen clínico e histopatológico.

Diagnóstico diferencial:

Puede realizarse con otras lesiones comunes de cavidad bucal como: Hemangioma, Fibroma Osificante Periférico y Granuloma Central de Células Gigantes (5).

Pronóstico: Bueno, sin recidiva.

Tratamiento:

Se recomienda la extirpación quirúrgica de la lesión y eliminación del agente etiológico. Además se sugieren aplicar otros protocolos de tratamientos que incluyen el uso de laser, criocirugía y la inyección intralesión de etanol o un corticoesteroide (9).


Presentación del caso

Paciente masculino de 48 años de edad que acude a la clínica de Periodoncia de la Facultad de Odontología de la Universidad de Los Andes (F.O.U.L.A) Mérida-Venezuela. Refiriendo como motivo de consulta "tengo una tumoración sobre uno de mis dientes desde hace varios meses, que sangra cuando me cepillo"

Historia Médica
  1. Antecedentes familiares: Hipertensión arterial y enfermedades cardiacas.

  2. Antecedentes personales: Padece de hipertensión arterial controlada, sufre de insomnio y de parestesias de miembros superiores e inferiores, sufrió accidente automovilístico durante la infancia que lo mantuvo inconsciente durante 2 semanas.


Historia Dental
  1. Examen clínico:
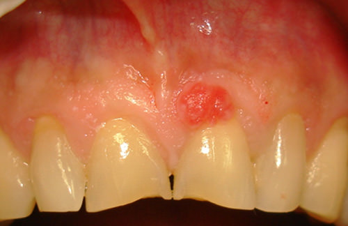
    El paciente presenta al examen clínico una lesión en la encía marginal, por vestibular del 21, de forma ovoide (figura. 1), con 5 mm de diámetro (figura. 2), consistencia blanda, textura rugosa, base sésil, color rojizo, crecimiento lento e indoloro, y de 18 meses de evolución.

    Fig. 1
    Granuloma Piógeno

    Fig. 2
    Granuloma Piógeno. Lesión de 5mm aproximadamente

  2. Diagnóstico y Pronóstico
    Gingivitis moderada generalizada inducida por irritantes locales (placa bacteriana) y agrandamiento gingival seudotumoral compatible con Granuloma Piógeno, localizado en encía marginal por vestibular del 21. Presenta hábitos parafuncionales (bruxismo) y anodoncias falsas quirúrgicas. El pronóstico del caso es bueno siguiendo el protocolo de tratamiento.

  3. Tratamiento
    Se realizó una fase inicial de preparación de los tejidos periodontales que consistió en tartrectomia manual con tartrectomos (hu-friedy®) y ultrasónica (Cavitron®), además de control de placa bacteriana y motivación del paciente. Se le indicó al paciente realizar enjuagues bucales con gluconato de clorhexidina (Peridont®) al 0.12 % (7ml de solución sin diluir) durante un minuto, dos veces al día, durante quince días; además se reforzó la técnica de cepillado y se indicaron exámenes radiográficos y exámenes de laboratorio: Hematología completa (Hemoglobina, hematocrito, leucocitos, linfocitos, eosinófilos, plaquetas), glicemia, tiempo de coagulación, tiempo de protrombina y tiempo de tromboplastina, cuyos resultados revelaron valores dentro de los parámetros de normalidad. Radiográficamente no se evidenciaron alteraciones en el periodonto de inserción (figura. 3).
Luego de dos semanas se realizó la extirpación quirúrgica de la lesión con una hoja de bisturí número 11, se efectuaron incisiones profundas que incluían tejido conectivo, eliminando por completo la base y los márgenes de la lesión, se envió al laboratorio para el análisis histopatológico de la muestra (figura. 4).

Fig. 3
Radiográficamente no se evidencia alteraciones en el periodonto de inserción

Fig. 4
Extirpación quirúrgica de la lesión

Resultados

El examen histopatológico reveló las características histológicas de la muestra confirmando la presencia de un Granuloma Piógeno, observándose fragmentos de tejido tapizado por un epitelio plano estratificado, con cambios reactivos severos en el epitelio de acantosis papilomatosis e hiperplasia de las células de la capa basal, en el corion se observa una proliferación de vasos sanguíneos de tipo capilar con hiperplasia de células endoteliales, y una gran proliferación de infiltrado inflamatorio de tipo mixto. La lesión es circunscrita se rodea de epitelio en forma de collar (figura. 5). Se reporta un postoperatorio satisfactorio sin recidiva (figura. 6).

Fig. 5
Corte histológico Hematoxilina-eosina (10x)

Fig. 6
Post operatorio satisfactorio a los 7 meses

Discusión

El Granuloma Piógeno es una lesión reactiva vascular benigna muy común, cuya etiología se debe a una respuesta crónica de los tejidos ante microtraumas, esta lesión puede estar presente en personas de cualquier edad y genero (20,21,22), razón por la cual se deben conocer sus características clínicas y los diagnósticos diferenciales de la misma; coincidiendo con un estudio de 38 casos de Granuloma en África del Este, en el cual los autores concluyeron que esta lesión afecta a personas de todas las edades y de ambos géneros (12,13).

Así mismo se ha señalado que ésta lesión es común en niños y mujeres embarazadas (14,15). Esta entidad no tiene predilección, en cuanto a la edad el rango oscila entre los 11 y 40 años, existiendo reportes de casos de niños de 6 días de nacido, como de ancianos de 74 años (16); el caso reportado en este articulo se trata de un paciente de 48 años de edad, lo que confirma que la edad no es un factor excluyente (16,17).

Hay estudios que sostienen que esta lesión puede presentarse en ambos géneros pero con mayor frecuencia en el femenino debido a los cambios hormonales (3,15). Hay mayor tendencia a desarrollarse entre la segunda y tercera década de vida en el género femenino y en el tercera y quinta década en el género masculino. Coincidiendo con el caso que aquí se reporta de un paciente adulto del género masculino.

El aspecto de esta lesión varía desde una masa circunscrita esférica, de aspecto tumoral con base pediculada, hasta un agrandamiento aplanado de aspecto queloideo de base ancha. Es rojo brillante o púrpura, friable o firme. Según el tiempo de evolución, presenta con frecuencia úlceras superficiales y sangramiento ante estímulos; estos sangramientos se deben a la alta concentración anormal de vasos sanguíneos (15).

El Granuloma Piógeno debe ser denominado Granuloma Telangiectásico, aunque en la literatura mundial, esta entidad ha sido conocida como Granuloma Piógeno. Sin embargo, este término es incorrecto, pues no es un Granuloma ya que no hay un componente histiocitario importante, ni es Piógeno porque no es un padecimiento microbiano. Por lo tanto, no hay una relación directa entre los microorganismos y la aparición de éstas lesiones reactivas (3,6).

La localización más frecuente encontrada en algunos estudios fue en el primer cuadrante superior y la línea media fue la mas predominante8, estos resultados coinciden con el nuestro, y con los hallados en otros casos clínicos reportados (3,5,11,15,18).

Para el tratamiento de éstas lesiones se recomienda de primera elección la extirpación quirúrgica, sin embargo, pueden emplearse otros procedimientos que resultan igualmente efectivos como la electrocirugía que incluye la terapia con laser y la terapia de laser de dióxido de carbono, así como también, el uso de crioterapia han dado resultados satisfactorios (3,16,19)


Conclusiones

El Granuloma Piógeno es una lesión benigna relativamente frecuente que puede aparecer en piel y mucosas, usualmente en la encía; con mayor predilección en la edad adulta y en el género femenino. Sin embargo la edad y el genero, no deben considerarse como únicos patrones que ayuden a definir el diagnostico, ya que existen lesiones como el Fibroma Osificante Periférico y Granuloma Central de Células Gigantes que presentan características clínicas y edad de aparición muy similares al Granuloma Piógeno, siendo difícil determinar si existe una tendencia que las diferencie, por tal razón es imprescindible, biopsiar todas las lesiones de cavidad bucal y realizar un estudio histopatológico, para obtener un diagnostico definitivo.

El tratamiento de estas lesiones debe fundamentarse en eliminar todos los agentes etiológicos causales e incluir la excisión quirúrgica de la entidad, además de un curetaje según sea el caso y de acuerdo al tamaño de la lesión y a la proximidad de los tejidos adyacentes afectados, para evitar una posible recidiva de la lesión.


Referencias Bibliográficas
  1. Carranza, F. Newman, M. Takei, H. Periodontología Clínica. 9na Edición. McGraw-hill Interamericana Editores S.A. México, D.F. 2004:306-307

  2. Lindhe, J. Karting, T. Lang, N. Periodontología Clinica e Implantología Odontológica. 4ta Edición. Madrid. McGraw-Hill-Interamericana de España. 2005:315-316

  3. Gómez J, Cutanda M, Cedeño J, Osorio Y. Prevalencia del Granuloma Piogénico en el laboratorio central de histopatología bucal Dr. Pedro José Tinoco de la Facultad de Odontología de la Universidad Central de Venezuela. Vitae Academia Biomédica Digital. 2007 Abril-Junio; (31)

  4. Sapp, P. Eversole, L. Wysocki, G. Patología Oral y Maxilofacial Contemporánea. Editorial Harcourt Brace. Madrid-España. 1998

  5. Aguilo, L. Pyogenic Granuloma subsequent to injury of a primary tooth. A case report. International Journal of Paediatric Dentistry. 2002; 12:438-441

  6. Gorlin, R. Goldman, H. Patología Oral. Salvat Editores S.A. Barcelona-España. 1973:512

  7. Hung, C. Kuo, H. Chiu, Y. Huang, P. Intravascular Pyogenic Granuloma Arising in an acquired arteriovenous malformation: Report of a case and review on the literatura. Dermatologic Surgery; 2004; 30:1050-1053

  8. Arcos M, Rojo N, Quezada D. Estudio retrospectivo del año 2002 al 2006 prevalencia Granuloma Piógeno, Granuloma Periférico de Células y Fibroma Cemento-osificante Periférico. Revista Odontológica Mexicana. 2008; 12(3):137-141.

  9. Jafarzadeh, H. Sanatkahni, M y Mohtasham, N. Oral Pyogenic Granuloma: a review. Journal of oral science 2006; 48(4):167-175

  10. Huidobro, I. León, N. Rodríguez, L. Rosas, J. Sánchez, L. Valdés, A. Manifestaciones Patológicas Más Comunes En La Cavidad Oral Presentes En El Embarazo. Un Estudio Prospectivo De La Clínica 60 Delegación 16 Poniente Tlalnepantla. 2006; Obtenible en http://odontologia.iztacala.unam.mx/instrum_y_lab1/otros/ColoquioXVIII/contenido/
    oral/1303/Manifest_Emb.htm
    (Consulta: el 09 de Marzo de 2009)

  11. Sánchez Jg, Villarroel M, Lopez-Labady J, Mata, M. Granuloma Piogénico. Reporte de dos casos de aparición inusual y revisión de la literatura. 2000; Obtenible en http://www.scielo.org.ve/scielo.php?script=sci_arttext&pid=S0001-63652000000200008&lng=en&nrm=iso&tlng=es (Consulta: el 09 de Octubre de 2008)

  12. Vega, O. Mercadillo, P. Peniche, J. Andrade, R. Granuloma Telangiectásico. Aspectos clínicos e histopatológicos de 180 casos. Rev Med Hosp Gen Mex. 2002; 65 (3): 144-148.

  13. Lawoyin J. Oral Pyogenic Granuloma: a review of 38 cases from Ibadan, Nigeria. Br. J. Oral Maxillofac. Surg. 1997; 35 (3): 185 -189.

  14. Díaz, L. Castellanos, J. Lesiones de la mucosa bucal y comportamiento de la enfermedad periodontal en embarazadas. Medicina Oral, Patología Oral y Cirugía bucal. 2004; 9(5):430-7

  15. Castro, S. Granuloma Piógeno. Reporte de un caso clínico. 2006; Obtenible en http://odontologia-vital.ulatina.ac.cr/casoClinico.pdf. (Consulta: el 11 de febrero de 2009)

  16. Sánchez JG, Villarroel M, López-Labady J, Mata de Henning M. Granuloma piogénico. Reporte de dos casos de aparición inusual y revisión de la literatura. Acta Odontológica Venezolana 1999; 38(2):36-40

  17. Peacock, M. Hokett, S. Hellstein, J. Herold, R. Matzenbacher, S. Scales, D. Cuenin, M. Gingival Plasma Cell Granuloma. Journal of periodontoloy. 2001; 72(9):1287-1290

  18. Duarte, E. Vallejos, A. Briend, M. Rosende, V. Investigación retrospectiva de Granulomas Telangiectasicos. 2006; Obtenible en http://www.unne.edu.ar/Web/cyt/cyt2006/03-Medicas/2006-M-009.pdf (Consulta: el 11 de junio de 2008)

  19. Tamarit, M. Delgado, E. Bereni, L. Gay Escoda, C. Exéresis de las lesiones hiperplásicas de la cavidad bucal. Estudio retrospectivo de 128 casos. Med. Oral patol. Oral cir. Bucal. 2005; 10(2):151-162.

  20. Barrios, G. Odontología. Tomo 2. Nueva Edición. Editorial Ltda.. Colombia. 2004:551

  21. Genco, R. Goldman, H. Cohen, W. Periodoncia. 1era Edición. Editorial Interamericana McGraw-hill. México, DF. 1993:297

  22. Regezi,J. Sciubba, J. Patología Bucal. Correlaciones clinicopatológicas. 3era Ed. Editorial Mc Graw Hill. México DF. 2000