Casos Clínicos

Tratamiento de Maloclusión Clase II División 1 con el aparato de Herbst tipo férula, después del pico de crecimiento puberal

Recibido para arbitraje: 19/08/2009
Aceptado para publicación: 16/04/2010

  • Savana Alencar Maia*
  • Sandra Patricia Palomino-Gómez**
  • Luana Sampaio Dib*
  • Taisa Boamorte Raveli**
  • Dirceu Barnabé Raveli***

      * Alumnos de doctorado del programa de post grado en Ciencias Odontológicas, área Ortodoncia de la Facultad de Odontología de Araraquara - UNESP (Brasil).

      ** Alumnos de maestría del programa de post grado en Ciencias Odontológicas, área Ortodoncia de la Facultad de Odontología de Araraquara - UNESP (Brasil).

      *** Profesor Doctor - Libre Docente en Ortodoncia de la Facultad de Odontología de Araraquara - UNESP (Brasil).


    Correspondencia:
    Dirceu Barnabé Raveli. Departamento de Odontologia Infantil, Facultad de Odontologia de Araraquara
    Universidad Estadual Paulista - UNESP, Rua Humaitá, 1680 telefono: 3301-6328
    Araraquara - São Paulo - Brasil. CEP: 14801-903
    e-mail: [email protected]
Resumen:
La maloclusión clase II-1, es representada por una alta prevalencia en Brasil, siendo su presencia rutinaria en el consultorio ortodóntico. Una de las principales características de esta maloclusión es la retrusión mandibular, por lo que innumerables aparatos de avance mandibular son presentados en la literatura, siendo uno de ellos el aparato de Herbst; el cual es un aparato funcional fijo idealizado por Emil Herbst (1905) y actualizado por Hans Pancherz en la década del 80. Este aparato se caracteriza por: mantener el avance mandibular de manera continua, y presentar un tiempo menor de tratamiento activo, lo que propicia un impacto estético inmediato, además de no precisar la colaboración del paciente. Con el objetivo de mejorar el anclaje y evitar la rotura de este aparato, se creó la última versión modificada por el Dr Raveli; citado como aparato de Herbst tipo férula metálica. Recientes investigaciones indican el uso de este aparato después del pico de crecimiento puberal, creando una adecuada respuesta condilar. El objetivo de este trabajo es mostrar al ortodoncista una opción de cómo utilizar el aparato de Herbst en maloclusiones clase II-1.

Palabras Claves: Maloclusión de clase II, aparatos de ortodoncia, Cefalometria.


Abstract
Malocclusion class II-1, is represented by a high prevalence in Brazil, being something common in orthodontic practice. One of the main characteristics of this malocclusion is jaw retrusion , By what many devices of jaw advance are presented in the literature. Being one of them Herbst's device, which is a functional and fixed device created by Emil Herbst (1905) and updated by Hans Pancherz in the decade of 80s.This device is characterized by keeping the jaw advance in a continuous way, while presenting a less active treatment, leading to an immediate aesthetic impact, and the patient cooperation is not required. To improve the anchoring and prevent the collapse of the apparatus was set up last amended version of it by Dr Raveli quoted as Herbst splint. Recent research indicates the use of this device after the peak pubertal growth, creating an appropriate response condylar. The aim of this work is to show the orthodontist a choice of how to use the splint Herbst in Class malocclusions II-1

Keywords: Angle's Class II malocclusion; Orthopedic Appliances; cephalometry.


Introducción y revisión bibliográfica:

A través de los años la literatura aborda diferentes protocolos de tratamiento, relaciona la época de intervención de la deficiencia mandibular (antes o después del pico de crecimiento del paciente) con el aparato de Herbst. El pico de crecimiento puberal generalmente es considerado el mejor momento para el tratamiento ortodóncico en pacientes con maloclusión clase II (2,3), esto debido a mayor intensidad del crecimiento del cóndilo. Algunos estudios recientes encontraron respuesta tisular en individuos tratados con Herbst después del pico de crecimiento pubertal (10,21,24,25), además de remodelación de la fosa glenoidea, cóndilo y adaptación de la ATM (1,6,20,22).

La literatura es controversial en cuando a escoger la mejor época de actuación del Herbst. Algunos autores recomiendan el uso del Herbst en el inicio de la dentición mixta (28); otros autores sugieren la utilización de este aparato durante la dentadura mixta tardía y permanente joven (15,16,18), es decir, próximo al pico de crecimiento puberal; y otros después del pico de crecimiento puberal (10,21,24,25), y que exista algún tipo de crecimiento residual mandibular (21).

Paulsen (17) (1997) realizó un estudio de individuos tratados con Herbst, en radiografías y tomografías de cien pacientes, a largo plazo. Observó cambios en la morfología del cóndilo de adultos jóvenes, como un incremento óseo de la parte distal del cóndilo, el cual se mostro estable; no fueron observados problemas en la articulación de los pacientes.

Ruf, Pancherz (24) (2003) demostraron, por investigaciones que el tratamiento de Herbst en adultos jóvenes, tiene merecida atención en las últimas décadas. Concluyeron que la estimulación del crecimiento mandibular es posible en adultos jóvenes y es una alternativa para evitar cirugía ortognática en casos limítrofes.

McNamara et al (13). (2003) investigo la respuesta del cóndilo, de la cavidad glenoidea y de la parte posterior de la rama ascendente de la mandíbula de monos Rhesus adultos. Los resultados mostraron adaptación de la fosa glenoidea del cóndilo durante el tratamiento con Herbst en pacientes jóvenes.

El Herbst afecta el crecimiento maxilar y restringe el dislocamiento anterior (14,15,16). La mayoría de las investigaciones realizadas mostraron un aumento de la tasa de crecimiento sagital de la mandíbula, de individuos Clase II tratados con Herbst; en comparación al grupo control (8,14,15,16). Este hecho es atribuido al estimulo del crecimiento condilar, como respuesta al avance mandíbular. Con relación a la parte dental, la mayoría de las investigaciones demostraron que los molares superiores son distalizados y mantienen su posición vertical; o pueden tener de intrusión. En cuanto a los molares inferiores después del tratamiento presentan mesialización (14,15,16,18,19,27).

En 2003, Raveli et al.(23) propusieron la utilización de un aparato de Herbst tipo férula, confeccionado de cromo cobalto (figura 2). Este sistema es diferente del diseño original, en los siguientes aspectos: la estructura metálica superior fue incorporada una barra gruesa de conexión transpalatina; y la estructura inferior abarca un tercio inferior de los incisivos inferiores y parte de la mucosa, con el objetivo de distribuir mejor las fuerzas y el anclaje. Una gran ventaja de este sistema es el no usar bandas ni coronas en su diseño, lo que lo torna más resistente.


Reporte de un caso clínico:

Paciente del género masculino con 15 años de edad y 8 meses, de raza caucásica, portador de maloclusión clase II división 1 asociada a retrusión mandibular, efectuada en la facultad de odontología de UNESP-Araraquara. Al examen clínico intrabucal el paciente presentaba un ángulo naso labial agudo, longitud de la línea menton cuello corta, perfil convexo. En el examen clínico intrabucal, el paciente presentaba clase II división 1, dentición permanente con excepción de las terceros molares, ausencia de apiñamiento severo en la arcada dentaria inferior, ausencia de problemas transversales, overjet de 8,7 mm. En la radiografía de huesos de la mano el paciente se encuentra a final de la curva de pico de crecimiento, es decir unión total de la falange del dedo medio. Del análisis cefalométrico podemos observar: que el maxilar está bien posicionada (SNA=80,5º), la mandíbula esta retroposicionada (SNB=75º) y según el análisis Jarabak el paciente es mesocefálico.

El aparato de Herbst presento los siguientes componentes: sistema de anclaje superior e inferior dado por el Herbst tipo férula, adaptado por el Dr. Raveli ( figura 2); y estas estructuras son conectadas por el mecanismo telescópico (Flip Lock de la empresa americana Tp Orthodontics). El sistema telescópico está constituido por los siguientes accesorios: A Conectores o pivotes superiores ( presentan un formato esféricos); B Tubo (determina la cantidad del avance mandibular); C) Pistón ( adaptado a la longitud del tubo y paso por el medio del tubo) ; D Conectores o pivotes inferiores. Los conectores o pivotes son soldados a nivel de los primeros molares permanentes superiores, y en la región de los primeros premolares inferiores (figuras 1 y 2).

Figura 1
Componentes del mecanismo telescópico de Herbst : (A) conector o pivote superior; (B) tubo; (C) pistón; (D) conector o pivote inferior.

Figura 2
Comparación del aparato Herbst; tipo férula y el sistema clásico.

A: Sistema de anclaje superior mostrando la modificación tipo férula,
con adición de una barra palatina
B: Sistema de anclaje inferior mostrando la modificación tipo férula,
con extensión en la región lingual.
C: Sistema de anclaje superior modelo clásico con bandas en molares
conectados por una barra palatina.
D: Sistema de anclaje inferior modelo clásico con banda en los
molares inferiores unidos por un arco lingual y cantiléver en la región de caninos.

Las etapas clínicas envuelven la toma de impresión superior e inferior, confección de los modelos en yeso especial, enceramiento, fundición de los sistemas de anclaje, enseguida pulimiento e instalación con cemento ionomero de vidrio fotopolimerizante de la 3M.

Después de 8 meses de tratamiento se obtuvo la corrección de la clase II, aumento de la longitud mandibular y mejora del perfil facial. Posteriormente de este periodo el paciente paso para una segunda etapa que es la corrección dentaria con aparato fijo.
Figura 3
Fotografías faciales al inicio de tratamiento: (A) fotografía vista de frente del paciente; (B) fotografía extrabucal del paciente sonriendo ; (C) Fotografía de perfil.

Figura 4
Fotografías intrabucales: (A) Lateral derecha, mostrando clase II molar y canina; (B) foto frontal, puede observar la sobremordida; (C) lateral izquierda, mostrando la clase II molar y canina.


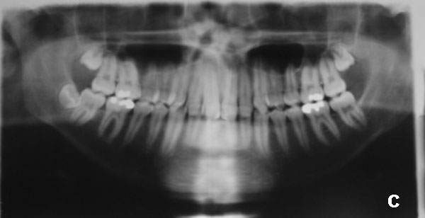
Figura 5
(A) Radiografía Carpal, mostrando que el paciente se encuentra pasando el pico de crecimiento puberal.

(B) Radiografía panorámica en T1 (tiempo 1).

(C) Telerradiografía en norma lateral T1.

Figura 6
Fotografías intrabucales con avance mandibular ocasionado por el Herbst modificado: (A) lado derecho; (B) lado izquierdo.

Figura 7
Fotos intrabucales después de 08 meses de tratamiento con Herbst modificado mostrando la corrección de clase II: (A) lado derecho sobrecorrección de la clase I; (B) foto frontal; (C) lado izquierdo sobrecorección de la clase II.

Figura 8
Fotos extrabucales: (A) foto de frente al termino de tratamiento con Herbst modificado, el paciente muestra musculatura labial mas armónica en reposo; (B) fotografía extrabucal del paciente sonriendo en tiempo 2 (T2), muestra mejoría del overbite del paciente; (C) foto de perfil mostrando la mejoría del perfil facial.

Figura 9
Superposición cefalométrica comparando el inicio del tratamiento con o final.

Discusión

El aparato de Herbst es un dispositivo eficiente en la corrección de la maloclusión Clase II de Angle, especialmente en la normalización de la relación molar y en la corrección del overjet. Algunos estudios encontrados en la literatura soportan esa afirmación (8,14,15,16,27).

El mecanismo telescópico utilizado (Flip-Lock - Tp Orthodontics) permitió que el paciente realizara movimientos de apertura y cierre; entretanto los movimientos de lateralidad fueron un poco limitados. Algunos síntomas de incomodidad muscular se presentaron después de la instalación del aparato de Herbst.

El sistema de anclaje metálico fundido presenta la ventaja de ser un anclaje preciso en los dientes, además de ser resistente a la ruptura e higiénico, lo cual ahorra tiempo en los subsecuentes controles. Algunas veces se presenta una dificultad para la higiene en el maxilar inferior, debido al volumen de la estructura de anclaje.

La longitud del maxilar permaneció estable, aunque algunos trabajos de la literatura mostraron que el aparato Herbst restringe el crecimiento y disloca el crecimiento anterior de la maxila (8,11,14,15,16,17,27)

El ángulo SNB, que indica la posición antero posterior da la mandíbula en relación a la base anterior del cráneo, exhibió un aumento de 2,35º y la longitud de la mandíbula (Co-Gn) presento un aumento de 4,05 mm. Estudios de individuos tratados con Herbst después del pico de crecimiento pubertario, mostraron u aumento del ángulo SNB (7,21,24,25) y un aumento en la tasa de crecimiento sagital de la mandíbula, cuando fue comparado con el grupo control. (5,8,11,15,25,27)

La medida linear de Witts (AOBO) mostró disminución significante de 5,25 mm en 08 meses de tratamiento. La medida inicial era de 6,25 mm pasando para 1,0 mm después del tratamiento. Lima (12) (1983) relato que el promedio de Witts (AOBO), en los jóvenes brasileños con oclusión normal, se aproxima de 0,0 mm. Observamos que la corrección de esta medida está próxima a valores normales.

El ángulo que determina la convexidad del perfil óseo presento un aumento de 1,6 º. Otros trabajos de individuos tratados después del pico de crecimiento mostraron un aumento de este ángulo (24,25).

Con relación a las alteraciones dentarias se observo que los incisivos superiores presentan un efecto extrusivo ocasionado por la retroinclinación de los incisivos superiores . Este resultado está de acuerdo con otros estudios (24,25).

Los molares superiores presentaron movimiento distal de 2,5 mm., la literatura mostro que la férula de acrílico 11,26 seguido de la férula, presenta un efecto de distalización menor que el anclaje con bandas (24,25).

Verificamos que hubo una vestibularización de 4,6 º de incisivo inferior. Otros trabajos también relatan este efecto (4,9). La vestibularización y el movimiento anterior de los incisivos inferiores no nos sorprenden, pues están asociadas a la fuerza del mecanismo telescópico en esta región.

Analizando la relación antero posterior de los molares inferiores se observo movimiento anterior de 4,1 mm. Este dato está de acuerdo con otros trabajos (11,15,26).


Conclusión

Se concluye que el aparato de Herbst fue eficaz en el tratamiento de la maloclusión Clase II después del pico de crecimiento puberal. Proporcionando mejor armonía facial.


Referencia bibliográfica
  1. Aidar LAA, Abrahão M, Yamashita HK, Dominguez GC. Herbst appliance therapy and temporomandibular joint disc position: a prospective longitudinal magnetic resonance imaging study. Am J Orthod Dentofacial Orthop 2006;129: 486-96.

  2. Björk A, Skieller V. Facial development and tooth eruption. An implant study at the age of pubertal. Am J Orthod. 1972;62:339-83.

  3. Bock N, Pancherz H. Herbst treatment of class II division 1 malocclusions in retrognathic and prognathic facial types a cephalometric long-term retrospective study. Angle Orthod. 2008;76:930-940.

  4. Bremen JV, Pancherz H, Ruf S. Reduced mandibular casts splints - an alternative in Herbst therapy? A prospective multicentre study. Eur J Orthod;2007. Disponible en: http://ejo.oxfordjournals.org/cgi/search?fulltext=herbst+cast+&x=14&y=11

  5. Flores-Mir C, Ayeh A, Goswani A, Charkhandeh S. Skeletal and dental changes in Class II division 1 malocclusions treated with splint-type Herbst appliances. A systematic Review. Angle Orthod. 2007 ;77:376-81.

  6. Foucart JM, Pajoni D, Carpentier P, Pharaboz C. MRI study of temporomandibular joint disk behavior in children with hyperpropulsion appliances. Orthod Fr. 1998;69:79-91.

  7. Hansen K, Pancherz H, Hägg U. Long-term effects of Herbst appliance in relation to the treatment growth period: a cephalometric study. EurJ Orthod 1991;13: 471-81.

  8. Hansen K, Pancherz H. Long-term effects of Herbst treatment in relation to normal growth development: a cephalometric study. EurJ Orthod 1992;14:285-95.

  9. Hansen K. Treatment and posttreatment effects of the Herbst appliance on the dental arches and arch relationships. Semin Orthod 2003;9:67-73.

  10. Konik M, Pancherz H, Hansen K. The mechanism of Class II correction in the late Herbst treatment. Am J Orthod Dentofac Orthop. 1997;112:87-91.

  11. Lai M , McNamara Jr JA. An Evaluation of two-phase treatment With the Herbst appliance and preadjusted edgewise therapy. Semin Orthod 1998;4:46-58.

  12. Lima, IO de. Estudo comparativo entre a medida Wits e o ângulo ANB, em jovens brasileiros leucodermas com oclusão normal e com Classe II, Div. 1. Ortodontia. 1983; 16: 35-46.

  13. Mcnamara Jr JA, Peterson JE, Pancherz H . Histologic changes associated with the Herbst appliance in adult Rhesus Monkeys (macaca mulatta) Semin in Orthod.2003;9:26-40.

  14. Pancherz H. Treatment of Class II malocclusion by jumping the bite with the Herbst appliance: a cephalometric investigation. Am J Orthod. 1979;76:423-42.

  15. Pancherz H. The mechanism of class II correction in Herbst appliance treatment: a cephalometric investigation. Am J Orthod Dentofacial Orthop.1982;82:104-13.

  16. Pancherz H. The Herbst Appliance - Its biologic effects and clinical uses. Am J Orthod. 1985;87: 1-20.

  17. Pancherz H. The effects, limitations, and long-term dentofacial adaptations to treatment with Herbst appliance. Semin Orthod. 1997;3:232-43.

  18. Pancherz H, Hägg U. Dentofacial orthopedics in relation to somatic maturation. An analysis of 70 consecutive cases with the Herbst appliance. Am J Orthod Dentofac Orthop. 1985;88:273-87.

  19. Pancherz H, Hansen K. Occlusal changes during and after Herbst treatment: cephalometric investigation. Eur J Orthod.1986; 8: 215-28.

  20. Paulsen HU, Karle A. Computer tomographic and radiographic changes in the temporomandibular joints of two young adults with occlusal asymmetry, treated with the Herbst appliance. Eur J Orthod 2000;22:649-56.

  21. Paulsen HU, Karle A, Bakke M, Hersink A. CT-scanning and radiographic analysis of temporomandibular joints and cephalometric analysis in a case of Herbst treatment in later puberty. Eur J Orthod. 1995;17:165-75.

  22. Paulsen HU, Rabol A, Sorensen SS. Bone sintigraphy of human temporomandibular joints during Herbst treatment: a case report. Eur J Orthod. 1998; 20:369-74.

  23. Raveli DB, Chiavini PCR, Sampaio LP. Herbst e metálico fundido modificado. Rev Assoc Paul Especial Ortod. 2003;1:48-55.

  24. Ruf S, Pancherz H. Orthognathic surgery and dentofacial orthopedics in adult class II division 1 treatment: mandibular sagittal split osteotomy versus Herbst appliance. Am J Orthod Dentofacial Orthop. 2004;126:140-52.

  25. Ruf S, Pancherz H. Herbst/multibracket appliance treatment of Class II division 1 malocclusions in early and late adulthood. A prospective cephalometric study of consecutively treated subjects. Eur J Orthod. 2006; 8:352-60.

  26. Ursi W, Mcnamara J, Martins DR. Alteração clínica da face em crescimento: Uma comparação cefalométrica entre os aparelhos extrabucal cervical, Fränkel e Herbst, no tratamento das classes II. R Dental Press Ortodon Ortop Fac. 1999;4:77-108.

  27. Valant JR, Sinclair PM. Treatment effects of the Herbst appliance. Am J Orthod Dentofac Orhop. 1989; 95:138-47.

  28. Weschler D, Pancherz H. Efficiency of three mandibular anchorage forms in Herbst treatment: a cephalometric investigation. Angle Orthod. 2005;75:23-7.