Casos Clínicos

Granuloma piogénico de gran tamaño - Reporte de un caso

Recibido para Arbitraje: 25/04/2.011
Aceptado para Publicación: 17/10/2.011


  • Roberto Elias, Profesor Titular de la Cátedra de Cirurgía Maxilo-Facial de la Universidad UNIGRANRIO; UVA; UNIVERSO, Brasil.

  • Carmen Fereira Elias, Profesor del Máster de la Universidad de UNIGRANRIO; Universidad Estácio de Sá, Brasil.

  • Rômulo Elias, Estudiante de Odontología de la Universidad Veiga Almeida (Brasil)
CORRESPONDENCIA
Roberto Elias, Boulevard 28 Setembro 251 Apt: 704 Vila Isabel- Rio de Janeiro - Brasil CEP: 20551-030 [email protected]

GRANULOMA PIOGÉNICO DE GRAN TAMAÑO: REPORTE DE UN CASO

RESUMEN
El Granuloma Piogénico (GP) es una lesión no neoplásica de la cavidad bucal y de la piel relativamente poco frecuente y extremadamente rara en el tracto gastrointestinal. En la cavidad bucal donde es a menudo encontrada sobre tejido queratinizado. Se considera una hiperplasia inflamatoria. Clínicamente es una lesión uniforme o exofítica lobulada, pequeña, pápulas rojas eritematosas sobre una base pediculada o a veces sésil y que habitualmente sangra. El diámetro varía de pocos milímetros a varios centímetros. El propósito de este artículo es presentar un caso de Granuloma Piogénico, y valorar los factores que intervienen en su patogenia, así como la clínica, diagnóstico diferencial y tratamiento.

Palabras clave: Granuloma Piogénico, piogénico, vascularización del tumor, proliferación celular

Pyogenic Granuloma: Case Report

ABSTRAT
Pyogenic granuloma (PG) is a non-neoplastic tumor lesion of the bucal cavity and skin relatively rare and extremely rare in the gastrointestinal tract. In the bucal cavity where it is often found on keratinized tissue. It is considered an inflammatory hyperplasia. Clinically it is an uniform or lobulated exophytic lesion, small, red erythematous papules on a pedunculated or sometimes sessile base that usually bleed. The diameter varies from a few millimeters to several centimeters. The purpose of this paper is to present a case of pyogenic granuloma, and evaluate the factors involved in its pathogenesis and the clinical differential diagnosis and treatment.

Keys word: pyogenic granuloma, tumor vascularization, cellular proliferation


INTRODUCCIÓN

En nuestra práctica habitual, las lesiones reactivas se encuentran entre las más frecuentes. Sin embargo, esto no significa que las lesiones son triviales o sin importancia.

El Granuloma Piogénico (GP) es una lesión no neoplásica de la cavidad bucal y de la piel relativamente poco frecuente y extremadamente rara en el tracto gastrointestinal. En la cavidad bucal donde es a menudo encontrada sobre tejido queratinizado. Se considera una hiperplasia inflamatoria 2.

Este término es utilizado para describir un amplio rango de crecimientos nodulares de la mucosa bucal que histológicamente representa fibrosis inflamatoria y tejido de granulación. Aunque el GP puede ocurrir en todas las edades, es predominante en la 2 ª década de la vida en mujeres jóvenes adultas. Su localización más habitual es la encía (75%), seguida de lengua, labios y mucosa bucal. Más común en maxilar que en mandíbula 1,3.

Aproximadamente un tercio de las lesiones aparecen postraumáticas. También la pobre higiene bucal puede ser un factor precipitante en muchos de estos pacientes 6. Además algunos factores como el factor de crecimiento vascular endotelial, factor de crecimiento básico de fibroblastos o el factor de crecimiento de tejido conectivo, son conocidos por incidir en la angiogénesis y en el rápido crecimiento del GP 5,7.

Clínicamente es una lesión uniforme o exofítica lobulada, pequeña, pápulas rojas eritematosas sobre una base pediculada o a veces sésil y que habitualmente sangra. El diámetro varía de pocos milímetros a varios centímetros. Diagnóstico diferencial:
Puede realizarse con otras lesiones comunes de cavidad bucal como: Hemangioma, Fibroma Osificante Periférico. Pronóstico: Bueno, sin recidiva.

El propósito de este artículo es presentar un caso de Granuloma Piogénico y valorar los factores que intervienen en su patogenia, así como la clínica, diagnóstico diferencial y tratamiento 1,4,9.


PRESENTACIÓN DEL CASO

Historia Médica:
  • Antecedentes familiares: Hipertensión arterial y enfermedades cardiacas.

  • Antecedentes personales: drogadicto y VIH positivo
Mujer joven de 16 años de edad, consumidora de alcohol. Buscó tratamiento debido a sangrado de las encías en la región de los incisivos inferiores, y también se quejó de halitosis. Tiempo de evolución de la lesión 18 semanas, crecimiento lento e indoloro, aunque la paciente no era capaz de especificar. En el examen clínico presentó una lesión de color rojizo lobulada, consistencia blanda, base sésil en la encía vestibular del 31,32,41,42 e 20mm de diámetro además acumulo de cálculo dentario a ese nivel. (Figura 1).

Radiográficamente no se obtuvo ningún otro dato más que nos orientara a un diagnóstico definitivo. Con todos los datos recogidos se llegó a un diagnóstico provisional de Granuloma Piogénico (GP). Diagnóstico diferencial: Puede realizarse con otras lesiones comunes de cavidad bucal como: Hemangioma, Fibroma Osificante Periférico y Lesión Periférica de Células Gigantes 3;9;10.

La biopsia es el método para el diagnóstico adecuado de lesiones bucales y la escisión quirúrgica es el tratamiento más común de GP. En este caso, una biopsia por excisión se llevó a cabo para el diagnóstico y tratamiento. Es un procedimiento clínico sencillo y esencial para el diagnóstico final, y permite un resultado rápido que satisfaga las expectativas del paciente.

El tratamiento fue extirpación total de la lesión y envío de la muestra al patólogo para su análisis histopatológico. Además se establecieron medidas para eliminar factores irritantes locales. El postoperatorio transcurrió sin incidencias. El resultado de la biopsia confirmó el diagnóstico provisional de Granuloma Piogénico 11,12.

Figura 1
Una tumoración de color rojizo un lobulada en la encía vestibular

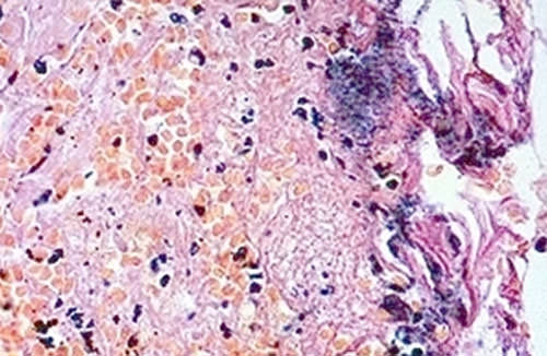
Figura 2
Infiltrado inflamatorio consistió en las células polimórficas, con la proliferación de fibroblastos y numerosos vasos sanguíneos. Mostraron los canales vasculares delgadas paredes cubiertas con tejido epitelial, con algunas zonas ulceradas cubiertas de fibrina.


DISCUSIÓN

Aproximadamente un tercio de las lesiones aparecen postraumáticas. También la pobre higiene bucal puede ser un factor precipitante en muchos de estos pacientes. Además algunos factores como el factor de crecimiento vascular endotelial, factor de crecimiento básico de fibroblastos o el factor de crecimiento de tejido conectivo, son conocidos por incidir en angiogénesis y en el rápido crecimiento del GP 2,3,8,10,12.

Clínicamente, el Granuloma Piogénico (bucal) es un nódulo de color rosa o rojo que puede sangrar fácilmente con traumatismos menores. El examen microscópico reveló un infiltrado inflamatorio consistió en las células polimórficas, con la proliferación de fibroblastos y numerosos vasos sanguíneos 2,3,5,.Esta lesión es una de las más comunes y frecuentes encontradas en cavidad bucal, como lo reporta un estudio retrospectivo entre los años 2002 al 2006 y en el cual se determinó la prevalencia del Granuloma Piogénico y de otras patologías de la cavidad bucal 1, la muestra empleada fue de 309 casos; en pacientes de 0 a 99 años de edad de ambos géneros. Se calculó porcentajes de prevalencia de las lesiones y su distribución de acuerdo a la edad, género y localización; de ellos, 182 casos (58.8%) fueron diagnosticados como granulomas piogénicos, con una mayor prevalencia en la 2da y 5ta décadas de la vida con un 17.5%; el género femenino fue el más afectado, 120 (65.9%) casos, en comparación al masculino con 62 (34%). Las lesiones se ubicaron en el sector anterior, la extensión más frecuente fue en la mucosa masticatoria 1.

CONCLUSIONES
Se puede concluir que aunque el Granuloma Piogénico es una lesión benigna la importancia de su detección temprana radica en ayudar al confort del paciente eliminando la lesión tumoral así como los factores irritantes que la favorecen. Es pertinente hacer hincapié en la importancia de un diagnóstico correcto de esta lesión, lo que la distingue de otras entidades que tienen características clínicas similares para obtener el diagnóstico final correcto, con domicilio social un enfoque terapéutico correcto.


BIBLIOGRAFÍA
  1. Arcos M, Rojo N, Quezada D. Estudio retrospectivo del año 2002 al 2006 prevalencia Granuloma Piogénico, Granuloma Periférico de Células y Fibroma Cemento-osificante Periférico. Revista Odontológica Mexicana. 2008; 12(3): 137-141.

  2. Avelar, R. L; Antunes, A. A; Carvalho, R. W. F; Santos, T. S; Oliveira N. Bucal pyogenic granuloma: a epidemiologic study of 191 cases. RGO (Porto Alegre);56(2):131-136, abr.-jun. 2008

  3. Binamer Y. Rapidly growing nodule on the finger of a pregnant woman. Ann Saudi Med;30(6):499, 2010 Nov-Dec

  4. Campos V, Bittencourt L P, Maia L C, Andrade M, Mascarenhas A. Granuloma Piogênico - Descrição de Dois Casos Clínicos. JBP 2000; 3 (12):170-175.

  5. Ishijima K; Kase S; Noda M; Ishida S. Pyogenic granuloma developing rapidly after excision of corneal/conjunctival intraepithelial neoplasia. Nippon Ganka Gakkai Zasshi;114(12):1036-9, 2010

  6. Neville BW. Tumores dos tecidos moles. In: Neville BW, Damm DD, Allen CM, Bouquot JE. Patologia bucal & maxilofacial. 2ª ed. Rio de Janeiro: Editora Guanabara Koogan; 2004. p. 420-73.

  7. Perez D; Leibold D; Liddell A; Duraini M. Vascular lesions of the maxillofacial region: a case report and review of the literature. Tex Dent J; 127(10):1045-57, 2010 Oct

  8. Reza M, Chamani G, Amanpoor S.Reactive hyperplasia in the bucal cavity in
    Kerman province, Iran: A review of 172 cases. British Journal of Bucal and Maxillofacial surgery.2007; 45:288-292.

  9. Sanchez JG, Villaroel M, Lopes-Labady J, Mata de Henning M. Granuloma piogenico: reporte de los casos de aparición inusual y revisión de la literatura.
    Acta Odontol. Venez. 2000; 38(2): 36-40.

  10. Saravana GH. Bucal pyogenic granuloma: a review of 137 cases. Brit J Bucal Maxillofac Surg. 2009; 47:318-9.

  11. Shamin T, Varghese VI, Shameena PM, Sudha S. A retrospective analysis of gingival biopsied lesions in south Indian population: 2001-2006. Med Bucal Patol Bucal Cir Bucal. 2008 Jul 1; 13: E414-8.

  12. Sosa, L.; Ramirez, D.;Palacios,M.F.; Artega, S. et al. Granuloma Piogénico. Reporte de un caso. Acta Odontológica Venezolana. 2010; 48 (4):1-12.

  13. Tolentino, E. S. Recurrent intrabucal pyogenic granuloma: case report. Odontol. clín.cient; 8(3):263-267, jul.-set. 2009.