Casos Clínicos

Rehabilitación oral sobre implantes instalados por medio de la técnica sin colgajo (Flapless) y carga inmediata

Recibido para Arbitraje: 15/04/2010
Aceptado para Publicación: 27/07/2011


  • Filipe de Oliveira Abi-Rached, Alumno de Maestría del Programa de Post-Grado en Rehabilitación Oral (Área de Prótesis), Facultad de Odontología de Araraquara, UNESP Univ. Estadual Paulista, Araraquara, São Paulo, Brasil.

  • Antonio Alves de Almeida-Júnior, Master y alumno de Doctorado del Programa de Post-Grado en Rehabilitación Oral (Área de Prótesis), Facultad de Odontología de Araraquara, UNESP Univ. Estadual Paulista, Araraquara, São Paulo, Brasil.

  • Rodrigo de Paula Pereira, Master y alumno de Doctorado del Programa de Post-Grado en Rehabilitación Oral (Área de Prótesis), Facultad de Odontología de Araraquara, UNESP Univ. Estadual Paulista, Araraquara, São Paulo, Brasil.

  • Gisselle M. Chávez-Andrade, Alumna de Maestría del Programa de Post-Grado en Odontología, Facultad de Odontología de Araraquara, UNESP Univ. Estadual Paulista, Araraquara, São Paulo, Brasil.

  • João Neudenir Arioli Filho, Profesor Adjunto del Departamento de Materiales Odontológicos y Prótesis, Facultad de Odontología de Araraquara, UNESP Univ. Estadual Paulista, Araraquara, São Paulo, Brasil.

  • João Neudenir Arioli Filho, Profesor Adjunto del Departamento de Materiales Odontológicos y Prótesis, Facultad de Odontología de Araraquara, UNESP Univ. Estadual Paulista, Araraquara, São Paulo, Brasil.
CORRESPONDENCIA:
Antonio Alves de Almeida Júnior, Rua Humaitá, 1740. Apto 81. Centro, Araraquara-SP-Brasil CEP 14801-385 E-mail: [email protected]


REHABILITACIÓN ORAL SOBRE IMPLANTES INSTALADOS POR MEDIO DE LA TÉCNICA SIN COLGAJO (FLAPLESS) Y CARGA INMEDIATA

Resumen
La rehabilitación oral con implantes osteointegrados es un tratamiento que está bien documentado y con un alto porcentaje de éxito. Sin embargo, exigencias relacionadas al tiempo de tratamiento y a la técnica quirúrgica fueron surgiendo. En ese contexto, el procedimiento de carga inmediata, en el cual la prótesis dental es instalada inmediatamente después del procedimiento quirúrgico se tornó una práctica constante. A pesar de que la carga inmediata ha sido un importante avance, procedimientos mínimamente invasivos, como la instalación de implantes con la técnica directa, sin desplazamiento del colgajo mucoperiostio (flapless) vienen siendo cada vez más realizados. La asociación de la carga inmediata con la técnica directa o de flapless mejora la aceptación de los pacientes y profesionales, pues no hay necesidad de sutura, además de reducir el edema, la hemorragia durante y después de la cirugía, el dolor post-operatorio, el tiempo quirúrgico, la incomodidad y hematoma, reduciendo también la necesidad de medicación post-operatoria. Esas características facilitan las etapas de rehabilitación inmediatamente después de la colocación de los implantes, colaborando con el trabajo del técnico protésico. De esa forma, la propuesta de este trabajo es presentar un caso clínico de rehabilitación oral con implantes osteointegrados y prótesis fijas en ambas arcadas, donde se realizó la técnica directa seguida por carga inmediata, relatando el diagnóstico, planificación, procedimientos quirúrgico/protésicos y seguimiento de 20 meses.

Palabras claves: implantación dental, carga inmediata, prótesis dental de soporte implantado, cirugía bucal.

ORAL REHABILITATION WITH FLAPLESS SURGICAL TECHNIQUE AND IMMEDIATE IMPLANT LOADING

Abstract
The oral rehabilitation with osseointegrated implants is a well-documented treatment with high rate of success. Nevertheless, demands related to treatment time and surgical technique began to appear. In this context, the procedure of immediate loading in which the dental prosthesis is placed right after implant surgery has become a constant practice. Although immediate loading has been an important advance, minimally invasive procedures, such as implant placement without raising a mucoperiosteal flap (flapless) are increasingly being performed. Association of immediate loading with the flapless technique improves acceptance by patients and professionals, because no suturing is required. Moreover, it reduces swelling, bleeding during and after surgery, postoperative pain, surgery time, discomfort and hematoma, as well as the need for postoperative medication. These characteristics ease the stages of rehabilitation soon after implant placement, cooperating with prosthodontist's work. Thus, the proposal of this study is to present a clinical case of oral rehabilitation with osseointegrated implants and fixed prosthesis in both arches, in which the flapless technique was applied, followed by immediate loading. It will discuss the diagnosis, prosthetic planning, surgical/prosthodontic procedures and follow-up for 20 months.

Keywords: dental implantation, immediate loading, implant-supported dental prosthesis, oral surgery


Introducción y Proposición

La rehabilitación oral con implantes osteointegrados es una realidad bien sedimentada en virtud de ser previsible y por su seguridad, presentando un alto porcentaje de éxito y mínimas complicaciones post-operatorias 1. Hace 40 años, Brånemark preconizó la rehabilitación en dos momentos distintos: 1- instalación de implantes en hueso sano y 2- rehabilitación protésica después de la osteointegración (6 a 8 meses) 2. Esa técnica llevó a la consagración de la Implantologia como una especialidad odontológica.

Sin embargo, exigencias relacionadas al tiempo de tratamiento y, posteriormente, a la técnica quirúrgica comenzaron a surgir. Con eso, la evolución y perfeccionamiento de la Implantologia posibilitaron disminuir el tiempo total del tratamiento y la incomodidad del paciente. El procedimiento de carga inmediata se tornó, entonces, práctica constante, consistiendo en la rehabilitación protésica sin que el período de osteointegración propuesto por Brånemark sea esperado 3.

La asociación de la carga inmediata a las cirugías sin colgajo mucoperiostio (flapless) ha sido cada vez más realizada, mejorando la aceptación y comodidad del paciente 1. Según Flanagan 4, cuando los implantes dentales son instalados por medio de un colgajo quirúrgico mucoperiostio, además de una pérdida ósea superficial en el local, la cicatrización y otras complicaciones se tornaron motivo de preocupación, pudiendo ser amenizadas por medio de la instalación de implantes con una incisión sin colgajo.

El objetivo de este artículo es presentar un caso clínico de rehabilitación oral con implantes osteointegrados y prótesis fijas en ambas arcadas, en el cual fue realizada la técnica de flapless seguida por carga inmediata, relatando el diagnóstico, planificación, procedimientos quirúrgico/protésicos y seguimiento de 20 meses.


Reporte del caso clínico

Paciente del género femenino, 52 años, fumando, asistió a la Clínica de Rehabilitación Oral de la Facultad de Odontología de Araraquara - UNESP, con el objetivo de sustituir sus prótesis totales removibles. Durante la anamnesis, la paciente relató insatisfacción con la estética, incomodidad funcional y uso de las prótesis durante 8 años. Las figuras 1 y 2 muestran el compromiso estético de las prótesis: decoloración, pigmentación nicotínica, diente reparado, discrepancia entre la línea media superior e inferior, planos oclusales invertidos y formato inadecuado de los dientes.

Fig 1
Sonrisa de la paciente con prótesis insatisfactoria

Fig 2
Vista frontal de las dentaduras insatisfactoria

Por medio del examen físico y tomografía digital computarizada (Figs. 3 y 4), fue observado que la paciente tenia cantidad suficiente de tejido óseo para la colocación de implantes. Fue propuesto la instalación de seis implantes en el maxilar y cuatro implantes en la mandíbula y confección de dos prótesis metaloplásticas del tipo protocolo. La paciente fue informada de todos los procedimientos clínicos, sus ventajas, desventajas y posibles limitaciones y, con su consentimiento, el tratamiento fue iniciado.

Fig 3
Clínica aspecto del reborde alveolar

Fig 4
Tomografía computarizada de Haz Volumétrico (cone beam)

Fueron obtenidos modelos de yeso para la confección de cubetas de prueba superior e inferior (Fig. 5). Clínicamente, fueron realizados todos los procedimientos de confección de una prótesis total convencional: ajuste de los planos de cera, determinándose las curvas de Spee y Wilson y de acuerdo con los principios estéticos de soporte labial y corredor bucal; determinación de la dimensión vertical de oclusión y espacio funcional libre; trazado de las líneas de orientación (líneas alta de la sonrisa, de las comisuras labiales y mediana de la cara); registro del arco facial; montaje del modelo superior en articulador semiajustable; registro de la relación céntrica y montaje del modelo inferior.

Fig 5
Cubetas de prueba

Fue realizada la selección de los dientes artificiales (Premium, Heraeus Kulzer GmbH, Hanau, Hesse, Alemanha) con forma, tamaño y color (A2) compatibles con el caso. Después del montaje de los dientes artificiales fue realizada la prueba estética y funcional, observándose que no había necesidad de la porción gingival en la prótesis superior debido a la cantidad suficiente de reborde residual (Figs. 6 y 7). Utilizándose ese montaje, fueron confeccionados las guías multifuncionales que sirvieron para determinar la posición ideal de los implantes durante el acto quirúrgico y fueron utilizados como moldes para el modelo de transferencia, además de permitir el registro intermaxilar (Figs. 8 y 9).

Fig 6
Dientes artificiales mandibulares montados para prueba en cera

Fig 7
Dientes artificiales de maxilar. Observe que no hay necesidad de rehabilitar el tejido de las encías en la futura prótesis

Fig 8
Guías multifuncionales de la maxila

Fig 9
Guías multifuncionales de la mandíbula

Basándose en la guía quirúrgica, tomografía y anatomía topográfica, seis implantes osteointegrados Titamax Medular (Neodent Implantes Osseointegráveis, Curitiba, Paraná, Brasil) de plataforma regular y longitud compatible con la altura ósea disponible fueron instalados en el maxilar y cuatro implantes osteointegrados Titamax Cortical (Neodent Implantes Osseointegráveis, Curitiba, Paraná, Brasil) con las mismas características fueron instalados en la mandíbula siguiendo los principios de la técnica de flapless (Figs. 10, 11 y 12). Los implantes presentaron estabilidad primaria superior a 50 Ncm. Enseguida, los mini pilares cónicos SF (Neodent Implantes Osseointegráveis, Curitiba, Paraná, Brasil) con plataforma compatible con los implantes y cinta metálica de 1,0 mm fueron torqueados con 20 Ncm sobre los implantes. Los pilares instalados no eran angulados con excepción del pilar utilizado en el implante distal superior del lado derecho, que tenia una angulación de 17º (Figs. 13 y 14).

Fig 10
Técnica quirúrgica directa o flapless

Fig 11
Técnica quirúrgica directa o flapless

Fig 12
Uso de la guía mulfuncional y paralelómetro para comprobar la posición de los implantes

Fig 13
Los implantes colocados en la arcada superior y los pilares del tipo de mini pilares cónicos.

Fig 14
Los implantes colocados en la arcada inferior y los pilares del tipo de mini pilares cónicos

Para la transferencia de la posición de los implantes, transferentes de arrastre (Neodent Implantes Osseointegráveis, Curitiba, Paraná, Brasil) propios fueron atornillados sobre los mini pilares cónicos y unidos entre si con resina compuesta (Z100, 3M ESPE, St.Paul, MN, EUA), siendo que los tornillos utilizados en los transferentes fueron los del cilindro protésico para que no hubiese interferencia durante el registro oclusal. Las guías multifuncionales fueron posicionadas y unidas a los transferentes con resina acrílica roja (Duralay, Reliance Dental Mfg. Co., Worth, IL, EUA). Para el registro intermaxilar, la guía multifuncional inferior fue lubrificada con vaselina y resina acrílica color 66 (Duralay, Reliance Dental Mfg. Co., Worth, IL, EUA) fue aplicada en la guía superior. La relación céntrica fue reproducida por el método de retrusión de la lengua asociado al método guiado no forzado, buscándose una posición ortopédicamente estable (Figs. 15 y 16).

Fig 15
Unión de los transferentes con resina y entre los transferentes y la guía multifuncional con resina autocurable

Fig 16
Inyección de silicona por condensación fluida para la transferencia de los implantes

Silicona de condensación de consistencia leve (Oranwash L, Zhermack SpA, Badia Polesine, Rovigo, Itália) fue inyectado para rellenar posibles espacios entre las guías y los transferentes, que fueron destornillados para la realización del arrastre (Fig. 17). Los análogos de los pilares fueron instalados y yeso tipo IV vertido en los moldes. Entonces, los modelos fueron montados en articulador semiajustable (Fig. 18).

Fig 17
Registro intermaxilar usando lo guia multifuncional

Fig 18
Los modelos montados en articulador semiajustable

En el laboratorio, la barra fue encerada sobre cilindros calcinables (Neodent Implantes Osseointegráveis, Curitiba, Paraná, Brasil) y fundida en monobloc de aleación de níquel-cromo. Los dientes artificiales fueron remontados en la posición previamente determinada por medio de una muralla de silicona de condensación de consistencia pesada (Zetalabor, Zhermack SpA, Badia Polesine, Rovigo, Itália). El conjunto barra-dientes artificiales fue probado en boca para verificación del padrón estético y oclusal, además del asentamiento pasivo de las barras, bien como su adaptación comprobada por radiografías periapicales (Fig. 19). Fue seleccionado el padrón de caracterización gingival de acuerdo con la escala del Sistema Tomaz-Gomes para la prótesis inferior, y las prótesis fueron entonces acrilisadas (Fig. 20, 21 y 22).

Fig 19
Prueba de la prótesis sobre implantes con dientes montados en cera

Fig 20
Vista frontal de la prótesis acrilizadas

Fig 21
Vista oclusal de la prótesis superior

Fig 22
Vista oclusal de la prótesis inferior

Las prótesis finales fueron instaladas tomándose el cuidado de verificar áreas de sobre compresión gingival y el ajuste oclusal fue realizado adoptándose los principios de oclusión ideal para pacientes dentados (oclusión mutuamente protegida). Después de los ajustes necesarios fue realizado el pulido y los tornillos de la prótesis (Neodent Implantes Osseointegráveis, Curitiba, Paraná, Brasil) fueron torqueados con 10 Ncm (Fig. 23 y 24). Los orificios de acceso al tornillo fueron tapados con algodón y restaurador temporario fotopolimerizable (Bioplic, Biodinâmica, Ibiporã, Paraná, Brasil).

Fig 23
Vista frontal de la prótesis sobre implantes

Fig 24
Sonrisa del paciente después de la rehabilitación

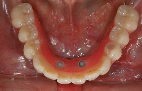
Recomendaciones de higiene y cuidado con las prótesis fueron entregadas por escrito a la paciente. Consultas de control fueron realizadas en 1 y 2 semanas, 6, 12 y 20 meses. En esta última, fue solicitada una radiografía panorámica y retiradas las prótesis para pulido debido a la presencia de manchas nicotínicas (Figs. 25, 26, 27 y 28). En el examen radiográfico, los implantes presentaban niveles óseos compatibles con normalidad y los componentes protésicos con adecuada adaptación (Fig. 29).

Fig 25
Vista oclusal de la prótesis superior a los 20 meses de uso

Fig 26
Vista oclusal de la prótesis inferior a los 20 meses de uso

Fig 27
Vista oclusal de la prótesis superior pulida y eliminadas las manchas nicotínicas

Fig 28
Vista oclusal de la prótesis inferior después de pulir para eliminar las manchas nicotínicas

Fig 29
Radiografía panorámica de 20 meses de seguimiento

Discusión

El advenimiento del concepto de la osteointegración y su consolidación convirtieron la Implantologia en una especialidad odontológica previsible, segura y con alto porcentaje de éxito 1,5, posibilitando planeamientos quirúrgicos y protésicos, con el objetivo de rehabilitar pacientes, parcial o totalmente edéntulos.

El protocolo preconizado por Brånemark et al.2 recomendaba un tiempo de espera que posibilitase la cicatrización de la herida quirúrgica y la osteointegración de los implantes instalados, solo así entonces, la paciente podía ser protesicamente rehabilitada y las prótesis sometidas a cargas masticatorias.

Esta técnica consta de dos etapas quirúrgicas, lo que además de prolongar el tiempo total de tratamiento, acarrea en incomodidad debido a una segunda intervención quirúrgica (etapa de reabertura) y também en la ansiedad relacionada al tiempo de espera hasta que la prótesis final sea instalada 2,6. En ese período de cicatrización y osteointegración, el paciente debe usar una prótesis de transición o hasta permanecer sin prótesis, haciendo con que muchas veces no acepte someterse a ese tipo de procedimiento.

Así, la exigencia actual por tratamientos más rápidos, confortables y que preserven la estética inicial, asociada al perfeccionamiento de los planeamientos y procedimientos quirúrgicos y protésicos, posibilitó la aplicación del protocolo de carga inmediata con seguridad y éxito 6-8.

La rehabilitación de los maxilares y, principalmente, mandíbulas edéntulas, por medio de carga inmediata con fijaciones unidas es una alternativa viable y presenta resultados confiables 7,9,10, con porcentajes de éxito llegando a 98% de los casos en maxilares totalmente edéntulos 10,11.

La restauración, carga o función inmediata comprende una rehabilitación colocada en oclusión, dentro de un período de 72 horas después de la instalación de los implantes, con una respuesta de osteointegración clínicamente equivalente a aquella observada con el protocolo de dos etapas 8. Las ventajas de la carga inmediata incluyen la satisfacción del paciente tanto por la reducción del tiempo de tratamiento como por la utilización de una prótesis fija 12 y, como consecuencia, resultados estético, funcional, psicológico y social inmediatos.

Sin embrago, para el éxito del procedimiento de carga inmediata, los factores como calidad del tejido óseo, diseño y tratamiento de la superficie del implante, estabilidad inicial bicortical, óptima distribución de los implantes, asentamiento pasivo de la prótesis y esquema oclusal deben ser considerados para la longevidad del tratamiento 9,13.

La estabilidad primaria es un factor clínico importante que influenciará en la viabilidad del procedimiento de carga inmediata 3,6,14,15, una vez que para que se dé continuidad con la instalación de la prótesis se recomienda un torque de inserción de entre 35 Ncm 15 y 40 Ncm 16, y longitud mínima de 10 mm17,18. Eses factores son importantes para evitar micromovimientos del implante y, consecuentemente, pérdida ósea y ausencia de osteointegración 19. Ese micromovimiento debe ser de máximo 100 µm para obtención de un contacto funcional entre el hueso y el implante y la no formación de tejido fibroso periimplantar 20,21, lo que comprometería el éxito del tratamiento 19. En el caso relatado, el mínimo esfuerzo de torsión (torque) presentado fue de 50 Ncm lo que posibilitó el procedimiento de carga inmediata.

A pesar de que la carga inmediata ha sido un importante avance, principalmente en el contexto protésico de la Implantologia, nuevos procedimientos y técnicas que contribuyan con la mínima intervención quirúrgica y rapidez en la rehabilitación están siempre siendo estudiados. Así, surgió la técnica directa o flapless, que consiste en la instalación de implantes sin la abertura del colgajo mucoperiostio y está siendo aceptada como un protocolo alternativo de colocación de implantes dentales 22.

La cirugía con colgajo mucoperiostio de espesura total, utilizada en el protocolo original de la Implantologia, es frecuentemente acompañada de una potencial pérdida ósea marginal y/o recesión de tejido blando 23-25. Eso es crítico, particularmente para restauraciones unitarias implanto-soportadas en la región anterior del maxilar, donde la armonía del tejido blando y la arquitectura del tejido duro son de extrema importancia para el desarrollo de la estética natural y función 23.

El porcentaje de éxito de los implantes colocados usando una técnica sin colgajo, de una fase quirúrgica, después de un período de 10 años, varió de 74,1% para implantes instalados en 1990 para 100% en el 2000 26. A pesar del éxito, la instalación de implantes sin colgajo es generalmente una técnica quirúrgica "ciega", por causa de la dificultad en evaluar la forma y angulación ósea, aumentando el riesgo de perforación de las láminas corticales 1,5,22,26.

Así, la técnica convencional del procedimiento sin colgajo debe ser cuidadosamente ejecutada y fundamentada en la experiencia del cirujano en prevenir la forma del hueso alveolar en el lugar de la implantación, además de limitada a casos específicos en los cuales la anchura de la cresta ósea es favorable5,22,26. Por esta razón, en el caso clínico relatado destacamos el cuidado en la planificación quirúrgica con radiografías, tomografías y modelos de estudio con el objetivo de minimizar la posibilidad de accidentes durante la cirugía.

La técnica directa o flapless ha sido asociada a altos porcentajes de éxito22, ventajas para el cirujano y gran aceptación por parte de los pacientes 26. Eso se debe al mínimo trauma quirúrgico, pues la incisión circular es muy pequeña, entonces el dolor post-operatorio, el edema, y la incomodidad, relacionados al trauma del tejido blando son notablemente minimizados, bien como la hemorragia durante y después de la cirugía y el tiempo quirúrgico 26,27. Además de eso, no hay necesidad de sutura, la medicación post-operatoria es mínima y diferentemente del acceso quirúrgico convencional, en el cual no es raro observar hemorragia post-operatoria, en la técnica directa o flapless el hematoma es reducido 26.

Esas características post-operatorias de la técnica directa o flapless favorecen clínicamente el trabajo del protésico, facilitando las etapas de rehabilitación y haciendo con que la carga inmediata después del procedimiento de implantes sin colgajo pueda ser aplicada con éxito 28, además de permitir una adecuada adaptación del tejido blando a la prótesis, lo que propicia y disminuye el tiempo de cicatrización 27.


Conclusión

La rehabilitación utilizando implantes instalados por la técnica quirúrgica sin colgajo (flapless) seguida por los procedimientos de carga inmediata es un tratamiento previsible en cuanto que la selección del paciente y la habilidad del dentista sean apropiadas. Así como en toda técnica, hay algunas ventajas y desventajas, siendo su utilización dependiente de la experiencia del implantologista y de la cantidad y morfología del tejido blando y óseo que irá recibir los implantes. Además de eso, la técnica es extremamente confortable para el paciente, una vez que en poco tiempo él deja de utilizar prótesis totales convencionales para tener una rehabilitación fija implanto-soportada.


REFERENCIAS BIBLIOGRÁFICAS

  1. Elian N, Jalbout ZN, Classi AJ, Wexler A, Sarment D, Tarnow DP. Precision of flapless implant placement using real-time surgical navigation: a case series. Int J Oral Maxillofac Implants 2008;23(6):1123-7.

  2. Brånemark PI, Hansson BO, Adell R, Breine U, Lindström J, Hallén O, Ohman A.. Osseointegrated implants in the treatment of the edentulous jaw. Experience from a 10-year period. Scand J Plast Reconstr Surg 1977;16(Suppl):1-132.

  3. Romanos GE. Present status of immediate loading of oral implants. J Oral Implantol 2004;30(3):189-97.

  4. Flanagan D. Flapless dental implant placement. J Oral Implantol 2007;33(2):75-83.

  5. Azari A, Nikzad S. Flapless implant surgery: review of the literature and report of 2 cases with computer-guided surgical approach. J Oral Maxillofac Surg 2008;66(5):1015-21.

  6. Gapski R, Wang HL, Mascarenhas P, Lang NP. Critical review of immediate implant loading. Clin Oral Implants Res 2003;14(5):515-27.

  7. Concejo Cútoli C, Montesdeoca García N. Carga inmediata en implantes dentales. Rev Esp Cir Oral y Maxilofac 2005;27(5):255-69.

  8. Schaner PJ II, Kraut RA. Use of immediately loaded press-fit cylinder implants in oral reconstruction. Implant Dent 2000;9(1):76-82.

  9. Salama H, Rose LF, Salama M, Betts NJ. Immediate loading of bilaterally splinted titanium root-form implants in fixed prosthodontics - a technique reexamined: two case reports. Int J Periodontics Restorative Dent 1995;15(4):344-61.

  10. Bergkvist G, Sahlholm S, Karlsson U, Nilner K, Lindh C. Immediately loaded implants supporting fixed prostheses in the edentulous maxilla: a preliminary clinical and radiologic report. Int J Oral Maxillofac Implants 2005;20(3):399-405.

  11. Collaert B, De Bruyn H. Comparison of Brånemark fixture integration and short-term survival using one-stage or two-stage surgery in completely and partially edentulous mandibles. Clin Oral Implants Res 1998;9(2):131-5.

  12. Jaffin RA, Kumar A, Berman CL. Immediate loading of dental implants in the completely edentulous maxilla: a clinical report. Int J Oral Maxillofac Implants 2004;19(5):721-30.

  13. Kohavi D. Complications in the tissue integrated prostheses components: clinical and mechanical evaluation. J Oral Rehabil 1993;20(4):413-22.

  14. Degidi M, Piattelli A. 7-year follow-up of 93 immediately loaded titanium dental implants. J Oral Implantol 2005;31(1):25-31.

  15. Chiapasco M. Early and immediate restoration and loading of implants in completely edentulous patients. Int J Oral Maxillofac Implants 2004;19(Suppl):76-91.

  16. Lekholm U. Immediate/early loading of oral implants in compromised patients. Periodontol 2000 2003;33:194-203.

  17. Naert I, Koutsikakis G, Duyck J, Quirynen M, Jacobs R, van Steenberghe D. Biologic outcome of implant-supported restorations in the treatment of partial edentulism. part I: a longitudinal clinical evaluation. Clin Oral Implants Res 2002;13(4):381-9.

  18. Winkler S, Morris HF, Ochi S. Implant survival to 36 months as related to length and diameter. Ann Periodontol 2000;5(1):22-31.

  19. Romanos GE, Nentwig GH. Immediate functional loading in the maxilla using implants with platform switching: five-year results. Int J Oral Maxillofac Implants 2009;24(6):1106-12.

  20. Brunski JB. Avoid pitfalls of overloading and micromotion of intraosseous implants. Dent Implantol Update 1993;4(10):77-81.

  21. Szmukler-Moncler S, Salama H, Reingewirtz Y, Dubruille JH. Timing of loading and effect of micromotion on bone-dental implant interface: review of experimental literature. J Biomed Mater Res 1998;43(2):192-203.

  22. Casap N, Tarazi E, Wexler A, Sonnenfeld U, Lustmann J. Intraoperative computerized navigation for flapless implant surgery and immediate loading in the edentulous mandible. Int J Oral Maxillofac Implants 2005;20(1):92-8.

  23. Kan JY, Rungcharassaeng K, Ojano M, Goodacre CJ. Flapless anterior implant surgery: a surgical and prosthodontic rationale. Pract Periodontics Aesthet Dent 2000;12(5):467-74.

  24. Dula K, Mini R, van der Stelt PF, Buser D. The radiographic assessment of implant patients: decision-making criteria. Int J Oral Maxillofac Implants 2001;16(1):80-9.

  25. Jacobs R. Preoperative radiologic planning of implant surgery in compromised patients. Periodontol 2000 2003;33:12-25.

  26. Campelo LD, Camara JRD. Flapless implant surgery: a 10-year clinical retrospective analysis. Int J Oral Maxillofac Implants 2002;17(2):271-6.

  27. Rocci A, Martignoni M, Gottlow J. Immediate loading in the maxilla using flapless surgery, implants placed in predetermined positions, and prefabricated provisional restorations: a retrospective 3-year clinical study. Clin Implant Dent Relat Res 2003;5(Suppl 1):29-36.

  28. Cannizzaro G, Leone M, Esposito M. Immediate functional loading of implants placed with flapless surgery in the edentulous maxilla: 1-year follow-up of a single cohort study. Int J Oral Maxillofac Implants 2007;22(1):87-95