Trabajos Originales

Evaluación clínico-radiográfica del éxito y supervivencia de implantes dentales con tratamiento de superficie e implantes con superficie torneada

Recibido para Arbitraje: 20/05/2011
Aceptado para Publicación: 08/06/2012


  • Andreé Cáceres, Maestrando en Periodoncia. Facultad de Odontología, Universidad de San Martín de Porres, Lima - Perú.

  • Jorge Noriega, Profesor de Maestría en Periodoncia. Facultad de Odontología, Universidad de San Martín de Porres, Lima - Perú.

  • Miguel Coz, Profesor de Maestría en Periodoncia. Facultad de Odontología, Universidad de San Martín de Porres, Lima, Perú.
CORRESPONDENCIA:
E-mail: [email protected]

EVALUACION CLINICO-RADIOGRAFICA DEL ÉXITO Y SUPERVIVENCIA DE IMPLANTES DENTALES CON TRATAMIENTO DE SUPERFICIE E IMPLANTES CON SUPERFICIE TORNEADA

RESUMEN
El objetivo principal del estudio fue evaluar la influencia del tratamiento de superficie del implante en el éxito y supervivencia de estos. Se evaluaron 24 pacientes que presentaban un total de 74 implantes dentales oseointegrados, 19 con superficie torneada y 55 superficie RBM® (Lifecore® Biomedical, Chaska, Minn). Los resultados obtenidos fueron una tasa de supervivencia de 98.18% para los implantes de superficie RBM®, 100% para los de superficie lisa y para el total de implantes 98.65%. La tasa de éxito para los implantes de superficie lisa fue 63.16%, para los de superficie RBM® 70.91% y para el total de implantes 68.92%; sin encontrar diferencias estadísticamente significativas entre estas. La pérdida ósea fue 1.82mm para los implantes de superficie torneada y 1.34mm para los de superficie RBM®, encontrándose esta diferencia estadísticamente significativa. Los resultados obtenidos indican que los implantes con superficie RBM® a comparación de los implantes con superficie torneada, presentan ventajas con respecto a la pérdida ósea marginal. También se observó que la variable que mayor influencia ejerce sobre la pérdida ósea marginal y el éxito del implante es el momento de la carga.

Palabras clave: superficie de implantes, éxito de implantes, supervivencia de implantes, pérdida ósea peri-implantaria



CLINICAL-RADIOGRAPHIC SUCCESS AND SURVIVAL WITH IMPLANTS DENTAL IMPLANTS SURFACE TREATMENT AND SURFACE TURNED

ABSTRACT
The principal aim of our study was to evaluate the survival and success rate of implants with treated surface (RBM®) and machined surface implants. 24 patients treated with 74 dental implants were evaluated. 19 machined surface implants and 55 RBM® surface implants (Lifecore® Biomedical, Chaska, Minn). The results were a survival rate of 98.18 % for RBM® implants, 100% for machined or smooth surface and 98.65 % and for the whole of implants. The success rate for smooth implants was 63.16% for RBM® implants was 70.91% and for the whole of implants was 68.92%. These results were not significantly different. However, peri-implant bone loss was significantly different between smooth implants (1.82mm) and RBM® implants 1.34. The results indicate that implants RBM present advantages with regard to the marginal bone loss. Also was observed that the load time is the variable that major influence has on the marginal bone loss and the implant success.

Key words: implant surface, implant success, implant survival, peri-implant bone loss


INTRODUCCIÓN

En los últimos años, la utilización de implantes dentales oseointegrados es ampliamente difundida; y las tasas de éxito para tratamientos con implantes son altas, tal como viene siendo reportado por diversos autores desde hace muchos años.1,2,3,4,5,6,7 Las interrogantes actuales no cuestionan la supervivencia y éxito de los implantes sino pretenden evaluar otras características de los implantes y ver como estas influyen en el resultado final del tratamiento. En la actualidad la finalidad es evaluar nuevos diseños, características y/o tipos de diferentes superficies entre otros.2, Para esto, se utilizan parámetros clínicos y radiográficos que se basan en: presencia de dolor, parestesia, movilidad del implante, presencia de alguna infección relacionada al implante, radiolucidez y pérdida ósea marginal; los cuales son los criterios de éxito propuestos por Albrektsson en 1986, y que hasta hoy diversos autores consideran vigentes10,11,12,13

Antes del descubrimiento de la oseointegración, uno de los temas más polémicos y controversiales en implantología era el material de confección de los implantes dentales, seguido por el diseño del mismo, es así que a través de la historia se han visto implantes de cerámica, oro, plata y de diversas aleaciones ; con diseños laminares, en canasta y en forma de tornillo entre otros . Actualmente los diseños de los implantes de acuerdo a la tendencia científica del momento, suelen ser más o menos similares, pero las diferentes superficies o tratamientos de superficies, presentan grandes discrepancias entre ellas. Existen investigaciones que apuntan a que el tipo de superficie es una de las principales particularidades que podrían influir positivamente en el proceso de Oseointegración. Por ese motivo, cada sistema de implantes presenta o trata de presentar una superficie única, con un tratamiento característico, tales como las siguientes superficies: Lisa o torneada (Lifecore®), TiUnited (Nobel Biocare®), SLA (Straumann®), Osseotite (3i®), Frialit-2 y Cellplus (Dentsply/Friadent®), Tioblast y Osseospeed (Astra Tech®); las cuales vienen siendo algunas de las más utilizadas 8.

Estos tipos de superficies, han demostrado algunos beneficios tales como mayor contacto hueso-implante, cuando son comparadas con superficies torneadas 3, . Cabe resaltar que estas superficies torneadas o sin tratamiento han venido siendo utilizadas con éxito desde hace muchos años y a ellas se debe el éxito de los implantes óseointegrados 1,4. Por lo tanto, basándonos en la premisa de que las superficies torneadas son capaces de tener un contacto hueso-implante suficiente como para dar estabilidad y promover la Oseointegración; con el tratamiento de superficies, al incrementar el área de contacto hueso-implante, se podría obtener mayor estabilidad y menor tiempo para alcanzar la Oseointegración. Sin embargo, estos beneficios se basan principalmente en resultados obtenidos en estudios de tipo histológico y/o clínicos, con un periodo de seguimiento mucho menor, en comparación a la superficie torneada 3,8,16.

Adicionalmente los implantes con superficie torneada, no presentan las características de una superficie lisa finamente pulida, sino se ha observado que en su superficie se encuentran surcos producidos por los instrumentos utilizados en su fabricación, los cuales les dan cierta rugosidad a la superficie, lo que nos podría hacer pensar que no existen muchas diferencias entre estas y las superficies tratadas 3. La polémica se mantiene con respecto a este tema, sin embargo la tendencia actualmente apunta hacia la utilización de superficies tratadas.

Las ventajas de los diferentes tipos de tratamiento de superficies que en un inicio se basaba exclusivamente en características físicas, como la unión de tipo biomecánica que la superficie rugosa le brinda al implante. Hoy en día, incorpora propiedades físico-químicas propias de una superficie bioactiva, es decir, que produce una unión bioquímica mas rápida, que pueda entrar en función antes de que la unión biomecánica haya sido desarrollada, sin dejar de lado la estabilidad primaria inicial obligatoria que debe tener un implante 16. Esta bioactividad que presentan algunas superficies se podría producir debido a la utilización de materiales como la hidroxiapatita 8,16, entre otros.

La hidroxiapatita comenzó a ser utilizada como material de injerto para defectos óseos, siendo una de sus principales ventajas no generar reacción inflamatoria, ni de cuerpo extraño. Sin embargo, más adelante se fueron encontrando materiales que cumplían mejor o en menor tiempo los objetivos inicialmente planteados para la hidroxiapatita . Actualmente, la hidroxiapatita cumple una función importante en el tratamiento de superficies de algunos implantes, siendo así utilizada en el sistema Lifecore® Biomedical, Chaska, Minn; para crear la superficie RBM® (resorbable blast material o arenado con materiales resorbibles), en la cual se utilizan partículas de hidroxiapatita para realizar un arenado sobre el titanio comercialmente puro, asegurándonos de que si alguna de estas partículas permanecieran en la superficie del implante post manufactura, estas no serían nocivas para los tejidos peri implantares 3.

La influencia de esta superficie en los parámetros de éxito 9. viene siendo estudiada con resultados iniciales favorables; lo cual nos lleva a plantear el presente estudio, cuyo objetivo principal es determinar la influencia del tratamiento de superficies en el éxito y supervivencia de los implantes; y así mismo determinar la influencia de factores como edad y genero del paciente; momento de la carga, longitud, diámetro y ubicación del implante.


MATERIALES Y MÉTODOS

Población y Muestra
La población constaba de 82 pacientes tratados con 213 implantes dentales oseointegrados en la Maestría en Periodoncia de la Facultad de Odontología de la Universidad San Martín de Porres, en el periodo de Enero del 2001 a Julio del 2006. La muestra la conformaron aquellos pacientes que asistieron a las citas de control programadas entre los meses de Diciembre del 2006 a Marzo del 2007, quedando la muestra definitiva comprendida por un total de 24 pacientes de ambos sexos con edades comprendidas entre 41 y 77 años. Estos pacientes eran portadores de un total de 74 implantes dentales oseointegrados (Lifecore® Biomedical, Chaska, Minn, USA), 19 con superficie torneada y 55 con superficie tratada RBM® (Arenada con Medios Resorbibles); los mismos que tenían un periodo de entre 7 y 66 meses desde su colocación. Las restauraciones protésicas que portaban los pacientes estaban basadas en las necesidades de cada caso. Además los pacientes que conformaron la muestra cumplían con tener todos los datos registrados en las historias clínicas correspondientes.

Recolección de datos
Mediante análisis documental de las historias clínicas se obtuvieron los datos de los pacientes e información referente a la colocación del implante y características propias del implante.

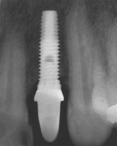
Seguidamente se realizó una entrevista al paciente con la finalidad de determinar si se presentó alguna complicación relacionada al implante. Después, se realizó una evaluación clínica con registro de la presencia o ausencia de alguna patología o complicación actual. El registro se realizó en una ficha en la que se incluyeron los siguientes parámetros clínicos propuestos por Albrektsson y colaboradores 9: ubicación del implante, ausencia de movilidad del implante determinada por la aplicación lateral de presión con dos instrumentos a ambos lados del implante, ausencia de dolor, parestesia y de alguna infección atribuible al implante. Figura 1. Además se tomaron radiografías periapicales utilizando la técnica paralela, debiendo aparecer nítidamente las roscas del implante de tal manera que permita examinar la unión con el tejido óseo en el fondo de la rosca. Además, se modificó un posicionador de películas radiográficas marca Maquira® (Maringá, Paraná, Brasil) con un dispositivo de acrílico individualizado para cada implante, de modo que posteriormente pueda repetirse la toma radiográfica en la misma posición, permitiendo realizar un seguimiento con mediciones más exactas de la pérdida ósea y que estas puedan ser comparadas a futuro. Figuras 2 y 3. Se utilizaron películas dentales para técnica periapical Insight® (Kodak Dental Systems, Rochester, New York, USA), tamaño 31x41mm y sensibilidad "D". El equipo radiográfico utilizado fue Elitys® (Trophy Radiologie, Beaubourg Marne La Vallee, Francia); y las tomas radiográficas fueron a 70Kv y 8mA. Además, se utilizó un procesador de películas automático GXP® (Gendex Dental Systems, Des Plaines, IL, USA); realizándose el procesado a 36º de temperatura y con un tiempo programado de 4 minutos. Una vez obtenida la placa con la imagen radiográfica deseada, se evaluó la presencia de alguna zona radiolúcida alrededor del implante, que nos pueda indicar alguna alteración del proceso de oseointegración, además de medir la pérdida ósea marginal tanto en el lado mesial como en distal. La pérdida ósea se determinó midiendo la distancia desde la base de la plataforma del implante hasta el primer punto de contacto hueso-implante. Figuras 4 y 5. Las mediciones en todos los casos fueron realizadas por un mismo examinador calibrado. Las mediciones se realizaron mediante la utilización de un Calibrador Pie de Rey Digital Ultra Tech®, Fraction+ (General Tools & Instruments, New York, USA), un negatoscopio con un lente de aumento de 1.5X y fueron realizadas en una habitación oscura. Se consideró como parámetro de éxito para los implantes, una pérdida ósea marginal de 1,5mm durante el primer año después de su colocación y en adelante 0,2mm por año 9.

El éxito de los implantes fue considerado cuando cumplían con los criterios clínicos y radiográficos propuestos por Albrektsson y colaboradores 9. El fracaso de un implante fue considerado cuando era indicado retirar el implante por presentar alguna complicación de carácter irreversible como movilidad y dolor persistente. Finalmente, todos los implantes que se encuentren funcionalmente estables, incluyendo a los considerados como éxito, fueron considerados dentro de los criterios de supervivencia. Figura 6.

Fig. 1
Evaluación clínica después de tres años de colocación de implante Restore® Lifecore® de superficie RBM® en zona de diente 22.

Fig. 2
Paralelizador radiográfico modificado mediante un posicionador de acrílico atornillado a su base e individualizado mediante un registro oclusal con acrílico.

Fig. 3
Paralelizador radiográfico modificado e individualizado en posición para toma radiográfica.

Fig. 4
Radiografía periapical de implante Restore® ubicado en zona de pieza 22.

RESULTADOS

Todos los datos recolectados fueron sometidos al análisis estadístico de acuerdo al tipo de variable. En primer lugar se evaluó la tasa de supervivencia de los implantes con tratamiento de superficie (RBM®) e implantes con superficie lisa o torneada, para lo cuál no se encontraron diferencias estadísticamente significativas (p 0.554). Tabla I.

TABLA I
Evaluación de la supervivencia de acuerdo a la superficie del implante
Test Chi cuadrada No estadísticamente significativo gl 1 P 0.554

Seguidamente se evaluó cada variable propuesta que podría influir en la tasa de éxito de los implantes. En esta evaluación no se encontraron diferencias estadísticamente significativas en las tasas de éxito de los implantes según su superficie (p 0.732), momento de la carga (p 0.269), ubicación del implante (p 0.617), longitud del implante (p 0.826), genero del paciente (p 0.492) y edad del paciente (p 0.11). Tabla II y III.

TABLA II
Evaluación de la tasa de éxito según la superficie, momento de la carga, ubicación, longitud y género del paciente.
P > 0.05 No estadísticamente significativo

TABLA Nº III
Evaluación del éxito del implante en relación a la edad del paciente.
Test U de Mann Whitney No estadísticamente significativo P 0.11

También se evaluó la pérdida ósea en relación a cada variable, encontrándose diferencias estadísticamente significativas a favor de los implantes con superficie RBM® (p 0.046) Grafico1. Al evaluar la pérdida ósea en relación al momento de carga, también se encontraron diferencias estadísticamente significativas (p 0.028). Esta diferencia fue favorable para los implantes que recibieron carga inmediata. Sin embargo, al evaluar la pérdida ósea en relación a la ubicación y longitud del implante, no se encontraron diferencias estadísticamente significativas (p 0.973 y p 0.263 respectivamente). Tabla IV.

TABLA IV
Evaluación de la pérdida ósea (mm) según la superficie, momento de la carga, ubicación y longitud del implante.
* P < 0.05 Diferencia estadísticamente significativa

Posteriormente, se realizó un análisis del comportamiento de todas las variables en conjunto mediante la prueba de regresión logística, tomando al éxito como variable dependiente, encontrándose que la longitud del implante (0.024), tipo de hueso (0.029) y carga recibida (0.022) presentan diferencias significativas en relación a las demás variables; luego por medio del test de Wald se obtuvo la magnitud con la que estas influyen en el éxito, siendo la carga (5.270), la que mayor influencia ejerce, seguido por la longitud del implante (5.074) y posteriormente la naturaleza del sitio receptor, es decir si este fue injertado o no previamente a la colocación del implante (4.749). Tabla V. De esta misma manera, se realizó el análisis de la variable pérdida ósea marginal mediante la aplicación del test de regresión lineal múltiple, encontrándose que únicamente la variable carga fue significativa en relación a las demás. (0.044). Tabla VI.

TABLA V
Modelo de regresión logística de todas las variables y el éxito como variable dependiente.

TABLA VI
Modelo de regresión lineal múltiple de todas las variables tomando en cuenta la pérdida ósea como variable dependiente.

DISCUSION

El análisis multivariado realizado en este estudio para evaluar el éxito y la pérdida ósea marginal en relación a diversos factores, tanto propios del paciente como del mismo implante, mostró que el momento de la carga recibida por los implantes es la variable más influyente en relación al éxito, seguido por la longitud del implante y la naturaleza del sitio receptor. Así mismo, se determinó que la variable más influyente sobre la pérdida ósea es la carga.

Para fines de nuestro estudio, estos resultados nos dan una orientación sobre aquellas variables a las que debemos considerar, además de la variable superficie del implante, sobre la cuál se ha enfocado esta investigación. De esta manera, fue evaluado el éxito y la pérdida ósea marginal del implante en relación a su superficie y a las demás variables en forma aislada; para ser seguidamente contrastada con los resultados reportados por diversos investigadores, los cuales han reportado en la literatura, altas tasas de supervivencia que varían entre 95% y 100%. Los resultados obtenidos en este estudio se encuentran dentro de estos rangos, al haber obtenido una tasa de supervivencia para el total de implantes de 98.65%; para los implantes de superficie torneada la tasa de supervivencia fue 100% y para los de superficie tratada (RBM®) se mantuvo al 98.18%. Cabe resaltar que solo se encontró un fracaso, al observar un implante que presentaba movilidad. Diversos autores, además de evaluar la supervivencia de los implantes oseointegrados, también se han enfocado en el éxito de estos. Éxito que considera que adicionalmente a la permanencia del implante (supervivencia), es indispensable que se encuentre libre de complicaciones durante el periodo de seguimiento, como lo definió Pjetursson 23. y a la vez que se cumplan otros criterios de éxito como los propuestos por Albrektsson 9,18. Con este mismo concepto, desde la aparición de los implantes Branemark®, los cuales presentan una superficie torneada, se evaluó el éxito de los mismos, obteniendo tasas de éxito que varían desde 80% hasta 100% 31. Así mismo con la aparición de implantes oseointegrados con diferentes superficies tratadas, se reportaron tasas de éxito comprendidas entre 92% y 100% 29. En el presente estudio, la tasa de éxito obtenida para los implantes de superficie torneada fue 63.16%, para los de superficie RBM® fue 70.91% y para el total de implantes la tasa de éxito fue 68.92%, sin encontrar diferencias significativas entre superficies. Estos resultados difieren de aquellos reportados por otros autores, sin embargo podrían explicarse que debido al diseño retrospectivo del estudio, no contamos con el dato de la pérdida ósea marginal durante el primer año, siendo este dato importante por formar parte de los criterios propuestos por Albrektsson 9,18. Por lo tanto, podríamos asumir que la mayor pérdida ósea se pudo haber presentado durante este primer año y que en adelante la pérdida ósea se ha mantenido estable, de esta manera en esta evaluación no se consideraron como éxito aquellos implantes que excedieron los parámetros de pérdida ósea (1.5mm durante el 1º año y después 0.2mm anualmente), pero sin ser estos implantes considerados como fracasos por encontrarse funcionalmente estables. Es decir, que al poder comparar los resultados obtenidos en esta evaluación con los de futuras evaluaciones, se espera que la pérdida ósea marginal se encuentre estable y dentro de los parámetros respectivos; por lo que podría originar como resultado tasas de éxito superiores. Además de esto, debemos tomar en cuenta que ha sido realizado el mantenimiento de los implantes y se han corregido complicaciones de tipo reversible durante este periodo de evaluación, contribuyendo a mejorar los resultados para las próximas evaluaciones.

Al ser evaluada la pérdida ósea marginal, se obtuvo un promedio de 1.82mm para los implantes de superficie torneada y 1.34mm para los de superficie RBM®, encontrándose esta diferencia estadísticamente significativa. Esta diferencia encontrada difiere con los resultados de un estudio comparativo reportado en el 2004 por Astrand 20. que encontraron pequeños cambios en el nivel óseo marginal después de 5 años, sin ninguna diferencia entre los sistemas de implantes Branemark® (Nobel BiocareTM, Göteborg, Sweden) de superficie lisa y los del sistema Astra Tech® (Astra Tech AB, Mölndal, Sweden) de superficie arenada con Titanio (Tioblast). La pérdida ósea promedio que obtuvieron fue 1.74mm en maxilar superior y 1.06mm en maxilar inferior para 184 implantes Astra®; y 1.98mm en maxilar superior y 1.38mm en maxilar inferior para 187 implantes Branemark®. Sin embargo, nuestros resultados se asemejan a los de otro estudio reportado por Watzak 24 en el 2006, los cuales evaluaron 124 implantes Branemark® (Nobel BiocareTM) durante 30 meses, encontrando diferencias significativas al comparar la pérdida ósea entre implantes de superficie torneada (1.42mm) y de superficie anodizada (1.17mm), obteniendo una tasa de supervivencia de 100% para los implantes de superficie torneada y 98.44% para los implantes de superficie anodizada, debido a un solo fracaso. Una explicación para esta diferencia entre superficies podría ser el comportamiento de las superficies tratadas y resultados obtenidos en estudios de tipo experimental acerca de estas, tales como mejor densidad ósea alrededor de los implantes, mayor torque requerido para removerlos, aumento de contacto hueso-implante y propiedad osteoconductiva -33 originando a su vez mejores resultados en condiciones de calidad ósea pobre 32 en maxilares con injertos . Así como en carga inmediata o temprana, y en la utilización de implantes de longitud menor a 10mm . Además, Buser en un estudio en 1991, después de evaluar la influencia de las características de las superficies sobre la oseointegración, concluyó que la extensión de la interfase hueso-implante esta positivamente correlacionada con el aumento de la rugosidad de la superficie del implante; y en el 2004, Albrektsson y Wennerberg 16 concluyeron que una superficie moderadamente rugosa puede tener algunas ventajas clínicas comparadas a las superficies torneadas. Por otro lado, existen estudios en los que indican que el microambiente que presentan las superficies tratadas es más propicio para el aumento de la adhesión y la colonización bacteriana, permitiendo que las bacterias se protejan mejor de las fuerzas biomecánicas y la auto limpieza del fluido crevicular .

Otro factor que además de la superficie del implante, puede influenciar en el resultado, es el momento de la carga. La literatura nos refiere que implantes inmediatamente cargados han demostrado un éxito clínico aceptable 37. Estudios comparativos como el de Degidi y Piattelli publicado en el 2005, obtuvieron durante un seguimiento de 24 meses una tasa de éxito de 99.2% y una pérdida ósea promedio de 0.7mm para 388 implantes con carga inmediata; y para 314 implantes cargados después del periodo convencional de cicatrización obtuvieron una tasa de éxito de 99.4% y una pérdida ósea promedio de 0.6mm; encontrando que la carga inmediata es una técnica que puede proveer resultados satisfactorios en casos selectos. Nuestras tasas de éxito obtenidas en implantes con carga diferida (70%), sin carga (60%) y carga inmediata (88.9%), difieren a las del estudio ya mencionado, pero con una tendencia favorable para la carga inmediata; de igual manera los resultados de pérdida ósea promedio difieren tanto en carga diferida (1.45mm) como sin carga (1.76mm), pero se asemejan a los de carga inmediata (0.67mm), encontrándose estadísticamente significativo. Este resultado puede ser explicado debido a una cuidadosa selección de los casos apropiados para la aplicación de carga inmediata, tomando en cuenta de que la zona receptora del implante presentaba condiciones de cantidad y calidad ósea favorables; además de que el total implantes que se utilizaron para ser inmediatamente cargados presentaban una longitud mínima de 11.5mm.

Toda técnica implantológica es dependiente de la zona receptora del implante, es decir de las condiciones de calidad y cantidad ósea, por lo tanto la ubicación del implante es un factor muy influyente en el éxito del mismo . Esto está comprobado por una gran variedad de estudios que han reportado mejores resultados en mandíbula que en el maxilar, a su vez los resultados encontrados son mejores en zonas anteriores 5,19,27. por lo tanto, es valido indicar que existe un mayor riesgo de fracaso en el maxilar superior que en mandíbula. La razón para esto, es la calidad ósea que predomina en el maxilar superior, lo cuál viene siendo reportado como una de las principales causas de fracaso en implantología. 11,22, . Estas diferencias, sin embargo no han sido encontradas significativas en el presente estudio, pero si una ligera tendencia a presentar menor éxito y mayor pérdida ósea en la zona posterior del maxilar superior; estos resultados podrían deberse a la utilización en su mayoría de implantes de superficie tratada adicionalmente a un protocolo de tratamiento adecuado para estos casos, este resultado se asemeja a los obtenidos por Weng31 en el 2003, y a los de Rosenberg en el 2004, que encontraron menor éxito en la zona posterior del maxilar superior.

Adicionalmente, la ubicación del implante se encuentra en relación directa con la cantidad ósea disponible, lo cuál determinará la longitud y diámetro del implante a utilizar. La literatura refiere que la longevidad de un implante es directamente dependiente a la relación entre su tamaño y la cantidad de pérdida ósea que puede experimentar, siendo esto más significativo en el caso de implantes cortos . Es decir, que aquellos implantes de menor longitud presentan mayor riesgo de fracaso 2,29. Por el contrario, algunos estudios no han encontrado diferencias significativas en relación al diámetro del implante cuando una adecuada estabilidad primaria es obtenida 13, . Por este motivo, se evaluaron estas dos variables, encontrándose que no existen diferencias estadísticamente significativas tanto en éxito como pérdida ósea, al comparar implantes de longitud menor a 10mm con aquellos de mayor a 10mm, pero con ligera tendencia favorable para los implantes de mayor longitud. Estos resultados podrían deberse a que la gran mayoría de implantes colocados variaron entre 10mm y 15mm de longitud.

CONCLUSIONES
Los resultados de este estudio no muestran diferencias estadísticamente significativas entre la tasa de éxito y supervivencia de implantes con superficie RBM® e implantes con superficie torneada, lo cuál demuestra que cuando se realiza una adecuada selección del caso, los resultados son predecibles, independientemente del tipo de superficie que sea utilizada. Sin embargo, los resultados obtenidos indican que con respecto a la pérdida ósea marginal, los implantes con superficie RBM®, presentan ventajas a comparación de los implantes con superficie torneada.

También se encontró que cuando las condiciones del paciente son favorables, los implantes con carga inmediata presentan ventajas con respecto a la pérdida ósea marginal, a comparación de los implantes cargados de manera diferida.

Finalmente, los resultados de la evaluación conjunta de las características del implante y del paciente, indicaron que la variable que mayor influencia ejerce sobre la pérdida ósea marginal y el éxito del implante es el momento de la carga.

REFERENCIAS BIBLIOGRÁFICAS

  1. Cox J.F, Zarb G.A. The Longitudinal Clinical Efficacy of Osseointegrated Dental Implants: A 3-Year Report. Int J Oral Maxillofac Implants 1987; 2(2): 91-100.

  2. Steigenga J, Shammari K, Nociti F, Misch C, Wang H. Dental implant design and its relationship to long-term implant success. Implant Dent 2003; 12(4):306-317.

  3. Piattelli M, Scarano A, Paolantonio M, Iezzi G, Petrone G, Piattelli A. Bone response to Machined and Resorbable Blast Material Titanium Implants: an experimental study in Rabbits. J Oral Implantol 2002; 28(1): 2-8.

  4. Albrektsson T, Dahl E, Enbom L, Engevall S, Engquist B, Eriksson A.R et al. Osseointegrated Oral Implants-A Swedish Multicenter Study of 8139 Consecutively Inserted Nobelpharma Implants. J Periodontol 1988; 59(2): 287-296.

  5. Adell R, Eriksson B, Lekholm U, Branemark P, Jemt T. A Long-Term Follow-up Study of Osseointegrated Implants in the Treatment of Totally Edentulous Jaws. Int J Oral Maxillofac Implants 1990; 5(4): 347-359.

  6. Lekholm U, Sennerby L, Roos J, Becker W. Soft Tissue and Marginal Bone Conditions at Osseointegrated Implants That Have Exposed Threads: A 5-Year Retrospective Study. Int J Oral Maxillofac Implants 1996; 11(5): 599-604.

  7. Jemt T, Linden B, Lekholm U. Failures and Complications in 127 Consecutively Placed Fixed Partial Prostheses Supported by Branemark Implants: From Prosthetic Treatment to First Annual Checkup. Int J Oral Maxillofac Implants 1992; 7(1): 40-44

  8. Albrektsson T, Wennerberg A. Oral implant surfaces: Part 2 - Review focusing on clinical Knowledge of different surfaces. Int J Prosthodont 2004; 17(5): 544-564.

  9. Albrektsson T, Zarb G, Worthington P, Eriksson A.R. The Long-Term Efficacy of Currently Used Dental Implants: A Review and Proposed Criteria of Success. Int J Oral Maxillofac Implants 1986; 1(1): 11-25.

  10. Nevins M, Langer B. The Successful Application of Osseointegrated Implants to the Posterior Jaw: A Long-term Retrospective Study. Int J Oral Maxillofac Implants 1993; 8(4): 428-432.

  11. Fugazzotto P, Wheeler S, Lindsay J. Success and Failure Rates of Cylinder Implants in Type IV Bone. J Periodontol 1993; 64(11): 1085-1087.

  12. Melo M, Shafie H, Obeid G. Implants Survival Rates for Oral and Maxillofacial Surgery Residents: a retrospective clinical review with analysis of resident level of training on implant survival. J Oral Maxillofac Surg 2006; 64(8): 1185-1189.

  13. Romeo E, Lops D, Amorfini L, Chiapasco M, Ghisolfi M, Vogel G. Clinical and radiographic evaluation of small-diameter (3.3-mm) implants followed for 1-7 years: a longitudinal study. Clin Oral Implants Res 2006; 17(2): 139-148.

  14. Block MS, Kent JN. Factors associated with soft and hard tissue compromise of endosseous implants. J Oral Maxillofac Surg 1990; 48(11): 1153-1160.

  15. Linkow L. Clinical evaluation of various designed endosseous implants. J Oral Implant Transplant Surg 1966; 12: 35-46.

  16. Albrektsson T, Wennerberg A. Oral implant surfaces: Part 1 - Review focusing on topographic and chemical properties of different surfaces and in vivo responses to them. Int J Prosthodont 2004; 17(5): 536-543.

  17. Meffert RM,Thomas JR, Hamilton KM, Brownstein C. Hidroxylapatite as an alloplastic graft in the treatment of human periodontal osseous defects. J Periodontol 1985; 56(2): 63-73.

  18. Albrektsson T, Isidor F. Consensus report of session IV. In: Lang NP, Karring T, eds. Proceedings of the 1st European Workshop on Periodontology. London, UK: Quintessence; 1994: 365-369.

  19. Engquist B, Astrand P, Dahlgren S, Engquist E, Feldmann H, Grondahl K. Marginal bone reactions to oral implants: a prospective comparative study of Astra Tech and Branemark System implants. Clin Oral Implants Res 2002; 13(1): 30-37.

  20. Astrand P, Engquist B, Dahlgren S, Grondahl K, Engquist E, Feldmann H. Astra Tech and Branemark system implants: a 5-year prospective study of marginal bone reactions. Clin Oral Implants Res 2004; 15(4): 413-420.

  21. Jemt T, Lekholm U. Oral Implant Treatment in Posterior Partially Edentulous Jaws: A 5-Year Follow-up Report. Int J Oral Maxillofac Implants 1993; 8(6): 635-640.

  22. Tawil G, Mawla M, Gottlow J. Clinical and radiographic evaluation of the 5-mm diameter regular-platform Branemark fixture: 2- to 5-year follow-up. Clin Implant Dent Relat Res 2002; 4(1): 16-26.

  23. Pjetursson B, Tan K, Lang N, Bragger U, Egger M, Zwahlen M. A systematic review of the survival and complication rates of fixed partial dentures (FPDs) after an observation period of at least 5 years. Implantsupported FPDs. Clin Oral Implants Res 2004; 15(6): 625-642.

  24. Watzak G, Zechner W, Busenlechner D, Arnhart Ch, Gruber R, Watzek G. Radiological and clinical follow-up of machined and anodized surface implants after mean functional loading for 33 months. Clin Oral Implants Res 2006; 17(1): 1-7.

  25. Andersson B, Ödman P, Lindvall A, Lithner B. Single-Tooth Restorations Supported by Osseointegrated Implants: Results and Experiences From a Prospective Study After 2 to 3 Years. Int J Oral Maxillofac Implants 1995; 10(6): 702-711.

  26. Khang W, Feldman S, Hawley C.E, Gunsolley J. A multi-center study comparing dual acid-etched and machined-surfaced implants in various bone qualities. J Periodontol 2001; 72(10): 1384-1390.

  27. Taba M, Novaes A, Souza S, Grisi M, Palioto D, Pardini L. Radiographic evaluation of dental implants with different surface treatments: An experimental study in dogs. Implant Dent 2003; 12(3): 252-258.

  28. Carlsson L, Röstlund T, Albrektsson B, Albrektsson T. Removal Torques for Polished and Rough Titanium Implants. Int J Oral Maxillofac Implants 1988; 3(1): 21-24.

  29. Wennerberg A, Ektessabi A, Albrektsson T, Johansson C, Andersson B. A 1-Year Follow-up of Implants of Differing Surface Roughness Placed in Rabbit Bone. Int J Oral Maxillofac Implants 1997; 12(4): 486-494.

  30. Trisi P, Lazzara R, Rao W, Rebaudi A. Bone-implant contact and bone quality: Evaluation of expected and actual bone contact on machined and Osseotite implant surfaces. Int J Periodontics Restorative Dent 2002; 22(6): 535-545.

  31. Pinholt EM. Branemark and ITI dental implants in the human bone-grafted maxilla: a comparative evaluation. Clin Oral Implants Res 2003; 14(5): 584-592.

  32. Meffert R. Ceramic-coated implant systems. Adv Dent Res 1999; 13(1): 170-172.

  33. Buser D, Schenk RK, Steinemann S, Fiorellini JP, Fox CH, Stich H. Influence of surface characteristics on bone integration of titanium implants. A histomorphometric study in miniature pigs. J Biomed Mater Res 1991; 25(7): 889-902.

  34. Quirynen M, De Soete M, Van Steenberghe. Intra-oral plaque formation on artificial surfaces. En Lang NP, Karring T, Lindhe J, eds. Proceedings of the 3rd European workshop on periodontology. Implant dentistry. Berlin: Quintessence, 1999; p. 102-29.

  35. Schnitman PA, Wöhrle PS, Rubenstein JE, DaSilva JD, Wang NH. Ten-year results for Branemark implants immediately loaded with fixed prostheses at implant placement. Int J Oral Maxillofac Implants 1997; 12(4): 495-503.

  36. Degidi M, Piattelli A. Comarative analysis study of 702 dental implants subjected to immediate functional loading and immediate nonfunctional loading to traditional healing periods with a follow-up of up to 24 months. Int J Oral Maxillofac Implants 2005; 20(1): 99-107.

  37. Orenstein I, Synan W, Truhlar R, Morris H, Ochi S. Calidad de huesos en pacientes que reciben implante dental éndoóseo: reporte interino 1 del DICIRG. Implant Dent 1995; 1(2): 21-26.

  38. Jaffin R, Berman Ch. The Excessive Loss of- Branemark Fixtures in Type IV Bone: A 5-Year Analysis. J Periodontol 1991; 62(1): 2-4.

  39. Rosenberg E, Dent H, Cho S, Elian N, Jalbaut Z, Froum S et al. A comparison of characteristics of implant failure and survival in periodontally compromised and periodontally healthy patients: A clinical report. Int J Oral Maxillofac Implants 2004; 19(6): 873-879.

  40. Nasr H, Meffert R. A Proposed Radiographic Index for Assessment of the Current Status of Osseointegration. Int J Oral Maxillofac Implants 1993; 8(3): 323-328.

  41. Friberg B, Ekestubbe A, Sennerby L. Clinical outcome of Branemark system implants of various diameters: A retrospective study. Int J Oral Maxillofac Implants 2002; 17(5): 671-677.