Casos Clínicos

Síndrome de Rubéola Congénita y manifestaciones bucales - Reporte de caso

Recibido para Arbitraje: 17/06/2012
  • Rosas, C., Odontopediatra. Postgrado de Odontología Infantil Facultad de Odontología. Universidad Central de Venezuela.

  • Da Silva de Carballo, L., Odontopediatra, Ortodoncista. Profesor Asociado. Universidad Central de Venezuela.

  • Jiménez, C., Máster en Medicina Bucal, Tesista del Doctorado individualizado Profesor Titular. Universidad Central de Venezuela.

CORRESPONDENCIA: Profa: Luzía Da Silva. Facultad de Odontología. Universidad Central de Venezuela. Piso 4, Postgrado de Odontopediatría. e-mail: [email protected]

SÍNDROME DE RUBÉOLA CONGENITA Y MANIFESTACIONES BUCALES. REPORTE DE CASO

RESUMEN
El Síndrome de la Rubéola Congénita (SRC), se caracteriza por presentar secuelas tempranas y tardías que afectan el sistema ocular, cardíaco y auditivo de manera simultánea acompañada de diferentes manifestaciones bucales. El objetivo de este reporte es dar a conocer las características bucales asociadas al Síndrome, como puede afectar al paciente desde temprana edad y guiar al odontólogo a identificar dicha entidad. Se presenta el caso de escolar de género femenino que acude al servicio de ortodoncia interceptiva del Postgrado de Odontología Infantil de la U.C.V., con el diagnóstico de S.R.C. se realizó el consentimiento informado y se cumplieron los protocolos de profilaxis antibiótica. Al examen clínico intraoral y extraoral y al análisis cefalométrico se diagnosticó Maloclusión dentaria Clase I tipo 3, Maloclusión esquelética Clase III, oligodoncias, microdoncias, además de ciertas características no reportadas asociadas al SRC como la queilitis descamativa y lesiones fibrosas. El SRC posee diferentes manifestaciones bucales que incluyen alteraciones en el desarrollo dental, maloclusiones. El tratamiento odontológico adecuado para estos pacientes debe realizarse en conjunto con un equipo multidisciplinario tomando en cuenta el estado sistémico del paciente.

Palabras Clave: Síndrome de rubeola congénita, profilaxis antibiótica, alteraciones bucales, oligodoncias, fibroma



THE CONGENITAL RUBELLA SYNDROME. CASE REPORT

SUMMARY
The Congenital Rubella Syndrome (CRS) is characterized by early and late sequelae that affect the eye, heart and ear simultaneously accompanied by various oral manifestations. The purpose of this report is to present oral characteristics associated with Syndrome, how it can affect the patient from an early age and guide the dentist to identify the syndrome. We report the case of a female pacient who attended school at the time in which she was treated at the Graduate interceptive orthodontic Pediatric Dentistry UCV, with the diagnosis of CRS. Informed consent was performed and antibiotic prophylaxis protocols were fulfilled. When intraoral and extraoral clinical examination and cephalometric analysis were diagnosed dental malocclusion Class I Type 3, Class III skeletal, oligodontics , microdontics, plus some unreported characteristics associated with the SRC as desquamative cheilitis and fibrous lesions. SRC has various oral manifestations that include disturbances in dental development, malocclusion. Appropriate dental treatment for these patients should be performed in conjunction with a multidisciplinary team taking into account the patient's clinical state.

KEY WORDS: congenital rubella syndrome, antibiotic prophylaxis, oral alterations, oligodoncias, fibroma


INTRODUCCIÓN:

El Síndrome Rubéola Congénita (SRC) es una infección viral adquirida por la madre durante primeras semanas de gestación. Es un trastorno compuesto por múltiples anomalías congénitas que se desarrollan en el recién nacido como resultado de la infección materna y fetal a causa del Togavirus de la rubéola, que actúa como agente teratógeno al invadir la placenta como consecuencia de la infección y de la viremia producida durante el primer mes de gestación. Este virus causa daño endotelial, citólisis y disrupción de la mitosis, lo cual conlleva a las diferentes malformaciones según la etapa de desarrollo fetal. Con la implementación de los programas de inmunización en todo el mundo, su incidencia se ha reducido drásticamente durante el último medio siglo. El diagnóstico es por serología y cultivo viral, no hay un tratamiento específico y su prevención es lograda por la vacunación de rutina 1-7.

La rubéola es una enfermedad exantemática, febril, de curso benigno, que ocurre predominantemente en la infancia, no obstante su importancia clínica radica en los efectos de la primoinfección rubeólica en la embarazada, produciendo consecuencias potencialmente nocivas para el feto cuando se infectan durante las primeras 16 semanas de gestación, específicamente entre las primeras 8 a 10 semanas1,2. La rubéola en una mujer embarazada puede ser asintomática o caracterizada por síntomas del tracto respiratorio superior, fiebre, linfadenopatía (especialmente en las áreas auriculares suboccipitales y posterior), y una erupción maculopapular, seguida o no por los síntomas articulares.

Greeg 4, oftalmólogo australiano, ha sido el precursor de la tríada característica del Síndrome de la Rubéola Congénita, la cual incluye: cardiopatía congénita (persistencia del conducto arterioso y estenosis de la arteria pulmonar), alteraciones oculares (retinopatía) e hipoacusia (compromiso auditivo). Sin embargo también se pueden presentar diferentes signos como: ictericia, hepatoesplenomegalia, púrpura, discpacidad intelectual, alteraciones en el sistema endocrino (diabetes mellitus), restricción del crecimiento intrauterino, microcefalia, meningoencefalitis, y radiotransparencias óseas. Otros como trombocitopenia, púrpura, eritropoyesis dérmica dando lugar a lesiones cutáneas rojas azuladas, adenopatías, anemia hemolítica y neumonía intersticial. Los niños con infecciones de rubéola congénita pueden desarrollar deficiencias inmunológicas tales como hipogammaglobulinemia. Entre las manifestaciones bucales más comunes son hipoplasia del esmalte, múltiples lesiones cariosas, alteraciones de estructura, forma y número, paladar profundo o colapsado, maloclusiones entre otras3,6,7.

Se calcula que cada año nacen en el mundo más de 100. 000 niños con el Síndrome de la Rubéola Congénita. La organización mundial de la salud (OMS) estandarizó en 1998 las definiciones de casos para el control de nuevos casos y se espera que el número de pacientes aumente. La prevalencia actual del SRC es de 0.7 por cada mil nacidos vivos. Se estima que el número de embarazadas en riesgo es mayor en los países no desarrollados, en el que los esquemas de inmunizaciones no han logrado la meta establecida por la OMS 1,2,5.

Los índices de infección son mucho más elevados durante el primer trimestre (81% de todos los casos poseen un grado de infección del 100%) disminuyendo a un mínimo de 25% al final del segundo trimestre. El riesgo de malformación estimado es de 90% en aquellos casos de infección entre la semana 2 y 10 de gestación, un 34% de malformaciones se produciría entre la semana 11-18, y en menor grado en la semana 18 de gestación1,2,7. Tabla I

Tabla Nº 1
Riesgo de SRC Durante el Embarazo
Fuente: Síndrome de Rubeola Congénita: Primer Caso Clínico en Chile Post Programa de Vacunación 2008 1

ETIOLOGÍA

El virus de la rubéola pertenece a la familia Togavirus (Rubivirus), y se encuentra relacionado con los alfavirus, diferenciándose de estos en que no son transmitidos a través de vectores. El virus de la rubéola posee forma esférica, con un diámetro de 60 a 70 nm y está compuesto por un nucleocápside que contiene una cadena sencilla de genoma ARN, rodeado de una capa lipídica. Es un virus inestable, termolábil, inactivo por agentes químicos y a cambios de Ph, y sensible a la luz ultravioleta 2,4,8.

Es transmitido a través del fluido expulsado por una persona afectada al momento de hablar, estornudar, toser, o por contacto directo con las secreciones faríngeas. Se estima que del 25% al 50% de las infecciones son asintomáticas7. El virus se multiplica en el revestimiento epitelial del tracto respiratorio o en los nódulos linfáticos locales antes de pasar directamente al torrente sanguíneo y de difundirse a todo el resto del organismo 2-4.

Generalmente la infección por rubéola después del nacimiento es subclínica y ocurre de 14 a 21 días después de la exposición al virus. Los síntomas clínicos de infecciones adquiridas después del nacimiento son generalmente leves, y muchas de las infecciones son asintomáticas. La primera manifestación clínica de la rubéola suele ser la aparición de una erupción maculopapular 16 a 20 días después de la exposición. La erupción aparece primero en la cara y luego se extiende a nivel del tronco y luego en las extremidades .Otros síntomas suelen incluir fiebre de bajo grado y linfadenopatía 2-4,8.

La infección durante el embarazo por el virus de la rubéola hace que el virus se propague a través del torrente sanguíneo, antes de que el virus desencadene una respuesta inmune por parte de la madre y afecte a múltiples tejidos, incluyendo la placenta atravesándola hasta llegar al feto. Una vez dentro de ésta, el feto sufre cambios celulares causando disturbios en la organogénesis lo cual compromete las 12 semanas del desarrollo fetal 8.

Durante el primer trimestre, el feto es incapaz de producir una respuesta inmune por sí mismo y en su lugar se produce la inmunoglobulina G materna (IgG), anticuerpos que son transferidos cerca de la barrera placentaria. Desafortunadamente, en esta etapa de desarrollo temprana la transferencia de IgG hacia la placenta suele ser ineficiente y los niveles en sangre fetal son de sólo un 5% a un 10%, es hasta después del primer trimestre que los niveles séricos de IgG aumentan y pudieran exceder los de la madre 2,3,8.

Durante el segundo trimestre existen cambios en la placenta que disminuyen el riesgo a la infección y a la malformación fetal significativamente. El feto crece y madura progresivamente y empieza a producir sus propios anticuerpos produciendo una respuesta inmune humeral y citotóxica contra el virus de la rubéola. Con la combinación de sus propios anticuerpos más la contínua transferencia de IgG materna el feto puede protegerse del daño viral durante el período restante de gestación sin afectarlo en su totalidad 2,3,8.


MANIFESTACIONES CLÍNICAS

El clásico SRC es caracterizado por presentar una combinación de defectos cardíacos, auditivos y visuales, sin embargo el virus puede atacar a diferentes órganos en forma progresiva. Más del 50% de los niños con SRC muestran características de normalidad en el momento del nacimiento, pero las alteraciones del sistema nervioso central pueden aparecer con el transcurso del tiempo 10-12.

Entre las principales manifestaciones clínicas del SRC tenemos:

Manifestaciones clínicas generales
  • Pérdida fetal (aborto espontáneo)
  • Bajo peso al nacer
  • Discapacidad intelectual
En el año 1992 la Asociación Americana sobre Discapacidad intelectual (AARM) hoy denominada Asociación Americana de Discapacidad Intelectual y Discapacidades del Desarrollo (AAIDD) propuso una definición del retardo mental (novena edición) que supuso un cambio radical del paradigma tradicional; a lo largo de los años transcurridos desde entonces se han producido avances significativos en esa concepción. Discapacidad intelectual es el término usado actualmente, se caracteriza por limitaciones significativas en el funcionamiento intelectual y en la conducta adaptativa, expresada en las habilidades adaptativas conceptuales, sociales y prácticas. La discapacidad se origina antes de los 18 años 12.

El término discapacidad intelectual incluye a la misma población de individuos que eran anteriormente diagnosticados con discapacidad intelectual en número, clase, nivel, tipo y duración de la discapacidad, y la necesidad de servicios y apoyos individualizados de las personas con esta discapacidad. El término discapacidad intelectual es mejor por varias razones (a) refleja los cambios en el concepto de discapacidad propuestos por la AAID y la OMS; (b) se ajusta más a las prácticas profesionales actuales que se centran en conductas funcionales y factores contextuales; (c) proporciona una base lógica para la provisión de apoyos individualizados debido a que está basado en un marco socioecológico; (d) es menos ofensivo para las personas con discapacidad; y (e) es más consistente con la terminología internacional 13.

Manifestaciones Neonatales Transitorias
  • Trombocitopenia con o sin púrpura
  • Hepatoesplenomegalia
  • Meningoencefalitis
  • Radiolucidencias óseas
Manifestaciones del Sistema Auditivo
  • Hipoacusia neurosensorial. (unilateral o bilateral)
  • Hipoacusia central
Manifestaciones del Sistema Ocular
  • Cataratas
A través del torrente sanguíneo el cristalino del embrión es el órgano más afectado por el virus, y debido a que no posee la defensa inmunológica mediada por células ni la inmunidad humoral hasta alrededor de las 20 semanas de gestación, el virus retrasa la división y maduración celular a nivel de este sistema. Las cataratas es la complicación ocular más común del SRC en la que se produce una degeneración de la zona central de las fibras del cristalino, donde existen fallas en la incorporación de aminoácidos en el proceso de síntesis de proteínas del tejido, deshidratándose y volviéndose normalmente opacas y blanquecinas 1,2,7. Para que se originen las cataratas, la madre debe haber contraído el virus antes de la semana 9 u 11 de gestación.1,2,8

Entre otras patologías oculares relacionadas con el síndrome tenemos las siguientes.
  • Retinopatía pigmentaria
  • Glaucoma
  • Microftalmia
  • Estrabismo8
Manifestaciones del Sistema Cardiovascular
  • Ducto arterioso persistente (DAP)15
  • Estenosis periférica pulmonar
  • Defectos septales ventriculares
  • Cardiopatía congénita compleja 11-15
Manifestaciones bucales del SRC
El SRC y la hipoplasia del esmalte fueron asociados por primera vez por Evans16 y Swan17 reportando 50% de niños evaluados afectados por el virus, presentando al examen clínico bucal un patrón simétrico y variable de hipoplasia del esmalte en dientes primarios, entre estos se encontraban: el esmalte moteado, esmalte hipoplásico y la aplasia parcial y total del tejido adamantino. La incidencia y la severidad de esta alteración se encuentran relacionadas con la edad fetal en el momento de la infección materna.

La distribución de estos defectos del esmalte de forma paralela se debe a la secuencia de desarrollo dental, ya que los órganos dentarios en ambos lados de la arcada poseen un patrón de formación simultánea, y al ser afectadas las células ameloblásticas por el virus disminuyen altamente su actividad mitótica produciéndose estas alteraciones 13,14.

Mientras que Guggeenimery cols 6. Señalan ciertas características de anormalidad en el paladar de los niños con SRC, mostrando un paladar anormal en cuanto a forma y tamaño. Es común encontrar en estos pacientes un paladar ojival, profundo, con anomalías confinadas a la línea media, acompañadas un puente fibroso lineal y sagital, rodeado por surco o hendiduras. Igualmente pueden presentarse en estos pacientes paladar pequeño y colapsado por falta de desarrollo transversal y sagital del maxilar. El 70% de los niños evaluados presentaron esta alteración predisponiéndolos a desarrollar una maloclusión6,7.

La falla de erupción de dientes primarios y permanentes y la retención prolongada de dientes primarios también han sido asociados al SRC, ocasionando la inclusión de dientes permanentes y la formación de una doble fila, en la que el permanente erupciona por lingual generando una maloclusión 13,14.

Posteriormente, Forrest7 identificó alteraciones dentarias de forma en dientes primarios en niños con el síndrome, siendo la alteración más común los dientes conoides o en clavija, en un 39%, lo cuales se definen como dientes de menor volumen que el diente normal donde la anchura del diente es mayor en el cuello que en su superficie cortante, dando lugar a una forma de cuña o de clavija, llamados también dientes de Hutchinson presentes en pacientes con sífilis congénita tardía.

La micrognactia es una característica reportada en SRC, y se refiere a la falta de desarrollo mandibular (hipoplasia mandibular) a causa de algún trastorno o síndrome hereditario, lo cual produce el alineamiento anormal de los dientes en la arcada, originando problemas de maloclusión esquelética. El 39% de los pacientes afectados por el virus mostraron esta característica6,7.

Según Young18, la disfunción de glándulas salivales mayores pudiera estar asociada al SRC, debido a que se identificaron cuatro síndromes entre 500 pacientes que presentaban un degaste dental severo, asociado a una marcada xerostomía, entre estos estaban el SRC, Síndrome de Sjögren, Síndrome de Prader-Willi y Síndrome de Disfunción de Glándulas Salivales Mayores. Entre los pacientes no existía una clara evidencia de consumo de alimentos cítricos, hábitos oclusales parafuncionales, una técnica de cepillado deficiente etc, que pudiera predisponer a este desgaste. Por tanto, la mayoría de los casos se debía a ciertas condiciones médicas, diferentes estilos de vida, práctica de deportes que producían la marcada disminución del flujo salival. Una adecuada salivación y adecuada capacidad amortiguadora de la saliva protege al esmalte de erosión, abrasión y atricción.

Algunos de los pacientes con SRC, presentan características faciales muy peculiares, llamadas Elfín Facies, llamada también "cara de duende" presentes en el Síndrome de Williams, el cual es de origen genético. La Elfín Facies se caracterizan por presentar: frente amplia, epicanto, puente nasal deprimido, ante versión de las fosas nasales, punta nasal ancha, boca entreabierta y resalte del labio inferior. Sólo 8 pacientes presentaron éstas características de un total de 41 niños y adolescentes afectados19,20. Un 39% de pacientes evaluados presentaron caries , acompañado de gingivitis generalizada1,2.


PROFILAXIS ANTIBIÓTICA

La Academia Americana de Odontología Pediátrica (AAPD) reconoce que existen múltiples condiciones médicas que predisponen al paciente a una bacteriemia, la cual puede inducir el riesgo a determinadas infecciones. Debido a que no es posible predecir el momento en que un paciente es susceptible a contraer una infección, los antibióticos profilácticos son indicados en pacientes de alto riesgo cardíaco, ante procedimientos que desencadenen una bacteriemia, la cual se produce luego de procedimientos que involucren el tracto genito urinario, tracto gastrointestinal y técnicas odontológicos invasivas, como por ejemplo la manipulación del tejido gingival, de la zona periapical del diente o cuando ocurra la perforación de la mucosa oral21,22.

Sólo un número limitado de especies bacterianas son comúnmente implicadas resultando la infección post operatoria. Un efectivo régimen antibiótico debe ser administrado puntualmente antes de realizar el procedimiento, y si se tratara de un tejido ya infectado su indicación es aun más necesaria21,22.

Muchos procedimientos rutinarios pueden causar una bacteriemia, y a su vez una infección, como lo son; el cepillado, el uso de hilo dental, uso de mondadientes (palillos), la masticación, entre otras actividades, la cual puede ser reducida con una adecuada higiene bucal disminuyendo altamente el riesgo a la infección siendo esto más importante que el uso de antibióticos profilácticos16,17.

El uso de aparatos fijos, en pacientes cardiópatas es permitido sólo en aquellos casos donde exista una buena higiene bucal, disminuyendo así el riesgo a desarrollar una endocarditis infecciosa, es importante indicar enjuagues de clorhexidina periódicos antes, durante y después del tratamiento ortodoncico. Sin embargo, estos aditamentos no dejan de ser un factor de riesgo en casos donde exista un elevado índice de irritantes locales que produzcan la gingivitis y por tanto una bacteriemia18,19.

Los pacientes con riesgo cardíaco deben ser educados y motivados a mantener su higiene bucal, a través de una efectiva técnica de cepillado, controles de placa, uso de hilo dental etc, debido a que poseen un alto riesgo a desarrollar una endocarditis infecciosa, teniendo de esta manera una menor necesidad de procedimientos odontológicos y de una cobertura antibiótica21-23.

El objetivo del presente reporte es describir las características clínicas generales y la evolución del SRC, se trata de un virus altamente teratógeno, capaz de generar alteraciones a nivel sistémico como a nivel bucal produciendo disturbios durante la organogénesis del feto y en la formación dentaria de forma irreversible.

Tabla Nº 2
Indicación de la Profilaxis Antibiótica
Fuente: Guideline on Antibiotic Prophylaxis
for Dental Patients at Risk for Infection 2010 21

Tabla Nº 3
Procedimientos Dentales que Ameritan Profilaxis Antibiótica
Fuente: Guideline on Antibiotic Prophylaxis
for Dental Patients at Risk for Infection 2010 1

Tabla Nº 4
Dosis para la Profilaxis Antibiótica
Fuente: Guideline on Antibiotic Prophylaxis
for Dental Patients at Risk for Infection 2010 1

REPORTE DE CASO

Se trata de paciente pediátrico femenino, de 12 años y 5 meses de edad, natural y procedente de Caracas, quien acude al servicio de ortodoncia interceptiva del Postgrado de Odontopediatría, por presentar maloclusiòn.

Al indagar con la madre sobre los antecedentes médicos, la misma refirió primera gesta de un embarazo no controlado, a término, y parto natural. Refiere el dato de rubéola durante el segundo trimestre de embarazo. Se desconoce la talla y el peso de la niña al momento de nacer. A los 2 años de edad presentó desnutrición avanzada, problemas gastrointestinales y la tríada clásica de la rubéola congénita con cardiopatía congénita, cataratas bilaterales e hipoacusia leve a los meses de nacida de alto riesgo debido a presentar placenta previa, sin embargo fue controlado. El paciente no presentó problemas neonatales y aparentemente es un niño sano quien tiene sus vacunas al día y ha mantenido sus controles médicos de rutina.

Se realiza un análisis genético realizado en el Centro Nacional de Genética Humana y Experimental del Instituto de Medicina Experimental de la Universidad Central de Venezuela revelando lo siguiente:

La niña fue producto de una primera gesta complicada con rubéola materna al comienzo del segundo trimestre de gestación. El parto fue normal con talla y peso al nacer y periodo neonatal normal, sin embargo a los cuatro meses se diagnosticaron cataratas bilaterales y fueron intervenidas tardíamente a los 4 años de edad, por lo que hay secuelas visuales actuales, presentado nigtamus bilaterales además de retardo psicomotor y del lenguaje; en ese mismo momento se diagnosticaron las cardiopatías congénitas como Ducto Arterioso Persistente y Comunicación Interauricular las cuales fueron corregidas hace 1 año y medio aproximadamente. El fenotipo muestra discapacidad intelectual moderado, la niña actualmente está en el primer nivel de educación especial, no lee ni escribe y existe microcefalia de 43 cm aproximadamente, aunque se trata de un síndrome malformativo clásico, la etiología es ambiental, y no existen factores genéticos involucrados en estos casos.


ANTECEDENTES ODONTOLÓGICOS

A la paciente se le realizaron los estudios necesarios a fin de establecer el diagnóstico. La erupción de los dientes primarios ocurrió al primer año de edad, y la erupción de los dientes permanente a los 6 años de edad respectivamente. Al examen clínico bucal la paciente no presentaba lesiones cariosas y aceptable higiene bucal. El tratamiento se llevó a cabo bajo la aprobación del consentimiento informado del Comité de Bioética de Facultad de Odontología UCV.

Al examen clínico extraoral se observó, perfil convexo con protrusión labial superior e inferior. Angulo nasolabial disminuido, posiblemente por las características anatómicas de la nariz y por la posición del maxilar. Cara ovalada, simetría en reposo, quintos faciales proporcionales entre sí, siendo el quinto de la nariz un poco más ancho.El tercio inferior se encuentra notablemente disminuido con respecto a los otros dos tercios faciales, línea de la sonrisa que se extiende hasta los molares primarios. (Ilustración 1) (Fig. a-b-c)

Imagenes Nº 1
Fotos Extraorales Iniciales Frente (Fig a) Sonrisa (Fig b) y Perfil (Fig c). Nótese el biotipo dolicofacial, perfil ligeramente convexo e hipertelorismo intercantal

Al examen clínico intrabucal, se observan maxilar superior asimétrico, de forma ovalada y paladar ligeramente profundo, rotación de los dientes 11 y 21, protrusión del 12, retrusión de 11 y 21.

El maxilar inferior presenta forma triangular y apiñamiento anteroinferior. Entre las manifestaciones bucales presentes en tejidos blandos se encuentran queilitis descamativa en labio inferior, lesiones fibrosas a nivel de los carrillos, rugas palatinas prominentes.
(Ilustración 2) (Ilustraciòn 3)

Imágenes Nº 2
Fotos clínicas iniciales. Maloclusión Clase I tipo 3. Obsérvese arcos asimétricos y mordida cruzada anterior, retrusión de incisivos superiores e inferiores

Imágenes Nº 3
Lesiones asociadas al SRC Queilitis descamativa labial y lesiones fibrosas en los carrillos (pag 10)

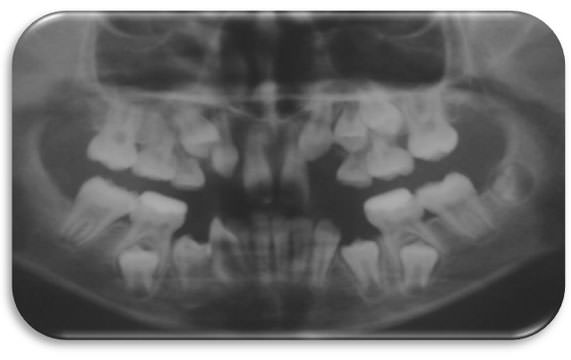
Al examen radiográfico se observa oligodoncias de 10 gérmenes dentarios, así como erupción ectópica mesial del 26. Retardo de erupción de 35 y 45. (Ilustración 4, 5, 6) En la radiografía cefálica Lateral observamos que la paciente presenta una maoloclusión Clase III esquelética, patrón de crecimiento dolicofacial, perfil óseo recto, retrusión de incisivos superiores y tejidos blandos poco armónicos. (Ilustración 7, 8)

Imagen Nº 4
Radiografía panorámica inicial. Nótese ologodoncias de 10 gérmenes dentarios, erupción ectópica mesial del 26 y áreas apicales medias y anteriores superiores comprimidas

Imagen Nº 5
Primer control radiográfico luego de exodoncias guiadas, expansión anterior y pistas planas

Imagen Nº 6
Radiografía panorámica actual. Erupción de caninos y premolares superiores y
pronta erupción de segundos premolares inferiores

Imagen Nº 7
Radiografía cefálica lateral inicial. Nótese morfología craneofacial

Imagen Nº 8
Radiografía cefálica lateral de controles anuales

Diagnóstico
  • Maloclusión dentaria Clase I tipo 3
  • Maloclusión esquelética Clase III
  • Biotipo dolicofacial
  • Retrusión de incisivos superiores y protusión de incisivos inferiores.
  • Dismorfia facial
Plan de Tratamiento
  • Se realizó un protocolo preventivo tomando en cuenta el riesgo de caries:
  • Cepillado dental con pasta fluorurada 3 veces al día
  • Enjuague bucal con fluoruro 0,05% 1 vez al día
  • Gel de fluoruro tópico 2 veces al año
Luego se monitoreó radiográficamente la erupción del 26. Se indicaron las exodoncias guiadas de 53 y 54 para favorecer la erupción del 13 y las exodoncias de 63 y 64 para favorecer la erupción del 23. Para esto se realizó la indicación de la profilaxis antibiótica de 50mg/Kg.p. de Amoxicilina por vía oral una hora antes del procedimiento odontológico.

Primera Fase
Lijado suave en distal del 65, exodoncias guiadas de 53 y 52 para favorecer la erupción del 13,
exodoncias guiadas de 63 y 64 para favorecer erupción del 23.

Segunda Fase
Pistas planas directas en 75 y 85 para levantar la mordida. Se confeccionó un aparato removible con las siguientes caracteristicas: placa acrílica con arco de Eschler, con ganchos Adams en 55 y 65, con expansión anterior y placa acrílica seccionada en mesial de 54 y 64. Se realizo control y guía de erupción.

Tratamiento preventivo: aplicación de barniz con fluoruro, enseñanza de técnica de cepillado. (Ilustración 9 y 10)

Imagen Nº 9
Tratamiento realizado y resultados parciales del tratamiento . Cambios en la alineación incisiva superior e inferior y en el plano transaversal

Imgen Nº 10:
Fotos Extraorales Finales. Frente (Fig a) Sonrisa (Fig b) y Perfil (Fig c)

DISCUSIÓN

Autores como Valdés1, De Santis2, Greeg4 y Robertson5, definen el síndrome de rubéola congénita, como una embriopatía de etiología ambiental, caracterizada por la tríada clásica de Gregg4, que consta de cardiopatía congénita, alteraciones visuales y auditivas. En concordancia con lo antes expuesto, la paciente manifestó estas características pero de forma mucho más severa, ya que aparte de la hipoacusia manifestó dos tipos de cardiopatía congénita (ducto arterioso persistente y la comunicación interauricular) y dos tipos de alteraciones visuales (cataratas y nigtamus bilateral). De igual forma también presentó discacidad intelectual moderada y microcefalia. El síndrome de rubéola congénita puede manifestarse a través de un amplio espectro de complicaciones sistémicas.

Por otra parte, en cuanto a la etapa de gestación en que ocurrió la infección, la madre de la paciente refirió haber presentado la enfermedad viral en el segundo trimestre de gestación, lo que trajo como consecuencia malformaciones severas a nivel de los órganos diana comprometiendo al paciente sistémicamente. Esto difiere de lo planteado Valdés1, Santis2, Greeg4, y Robertson5, quienes afirman que los índices de malformaciones son mucho más elevados durante el primer trimestre (81% de todos los casos poseen un grado de infección del 100%) de embarazo disminuyendo a un mínimo de 25% al final del segundo trimestre. Este hecho demuestra al alta virulencia del este Togavirus (Rubivirus) en el segundo trimestre de gestación.

En cuanto a las alteraciones bucales se encontraron: falla de erupción de dientes primarios y permanentes, hipoplasia del esmalte, micrognatia, alteraciones en la estructura (tamaño y forma), paladar ojival, entre otros, coincidiendo con Guggenheimer y cols6., Forrest y cols7., Evans16 y Swan C17. Sin embargo las facies características, las lesiones cariosas no fueron evidenciadas clínicamente en la paciente, difiriendo de autores como Guggenheimer y cols.,6 Evans M16 y Swan C17. Es importante destacar que la paciente presenta oligodoncia de 10 gérmenes dentarios permanentes, lesiones fibrosas en los carrillos y queilitis descamativa, siendo estas alteraciones aún no reportada en la literatura investigada.

El tratamiento odontológico realizado incluyó medidas profilácticas, conformando por el Odontopediatra como parte del equipo interdisciplinario. Se realizaron las interconsultas pertinentes con el cardiólogo, para establecer el protocolo de antibioticoterapia profiláctica de la paciente, con patólogos bucales para diagnosticar las lesiones intrabucales más comunes en estos casos y con el médico genetista entre otros, para confirmar el diagnóstico de SRC.


CONCLUSIONES
  • El Síndrome de Rubéola Congénita es de origen ambiental, es un síndrome malformativo clásico, donde no se encuentran factores genéticos involucrados.

  • Entre las características bucales más comunes en estos pacientes se encuentra la hipoplasia o hipocalcificación del esmalte.

  • Debido a las complicaciones cardíacas de estos pacientes, es de gran relevancia aplicar la terapia profiláctica, evitando la endocarditis infecciosa.

  • Es importante tomar en cuenta el estado de salud bucal en todos los pacientes de riesgo a contraer una endocarditis infecciosa, ya que esto determina el uso o no de aditamentos de ortodoncia.

  • Por todo lo anteriormente expuesto, el Odontopediatra debe estar en capacidad de conocer la enfermedad e interpretar las características clínicas y los diagnósticos diferenciales de la misma, y ser el nexo entre el pediatra, la familia y el paciente, a fin de ser la clave para orientar a los padres en la integración del niño a su entorno y brindar un tratamiento integral.

REFERENCIAS BIBLIOGRÁFICAS
  1. Váldes E, Candia P, Muñoz H. Síndrome de Rubéola Congénita: Primer Caso Clínico en Chile Post Programa de Reevacunación. Revista Chilena de Obtetricia y Ginecología. 2008. 73(3): 205-208.

  2. De Santis M, Cavallieri AF, Straface G. Rubella Infection in Pregnancy. Journal Obstetricy. 2006.21 (4): 390-398

  3. Bhatia S, Goyal A, Dubey M, Kapur A, Ritwik P. Congenital Rubella Syndrome: dental manifestations and management in a 5 year old child. J Clin Pediatr Dent. 2012; 37(1): 71-5.

  4. Gregg MN. Congenital Cataract Following German Measles in the Mother. Trans Ophthalmology Soc Aus.1941. 54 (7).115-1204. Robertson SE, Featherstone DA, Gacic-Dobo M, Hersh BS. Rubella and congenital rubella syndrome: global update.Rev Panam Salud Publica. 2003 Nov;14(5):306-15. http://www.ncbi.nlm.nih.gov/pubmed/14870758.2012/2/4

  5. Robertson SE, Featherstone DA, Gacic-Dobo M, Hersh BS. Robertson SE, Featherstone DA, Gacic-Dobo M, Hersh BS. Rev Panam Salud Publica. 2003 Nov;14(5):306-15

  6. Guggenheimer J, Nowak A, Michaels R, Pittsburg MD. Dental Manifestations of The Rubella Syndrome,Oral Surgery Magazzine,1970. 32 (4): 30-37.

  7. Forrest M, Menser M. Congenital Rubella in School children and Adolescents. Archives of Diseases in Chilhood. 1970. 45:63-69.

  8. Robert S, Duszak, OD. Congenital Rubella syndrome-major review. Optometry. 2009 80: 36-43.

  9. Avila-Agüero ML, Morice-Trejos A, Castillo-Solórzano C, Soriano-Fallas A, Ulloa-Gutiérrez R, Reef S. Congenital rubella syndrome in Costa Rica: importance of active surveillance. An Pediatr (Barc). 2005 Jan;62(1):43-7.

  10. Cutts FS, Robertson E, Díaz-Ortega D, Samuel R. Lucha contra la rubéola y el síndrome de Rubéola congénita en los países en desarrollo. Primera parte: la carga de morbilidad debida al SRC. Bull World Healt Org Suppl 1997. 75(1):55-68.

  11. Lee J, Bowden S. Rubella Virus Replication and Links to Teratogenicity. Clin Microbiol Rev. 2000 October; 13(4): 571-587

  12. Verdugo M. Análisis de la definición de discapacidad intelectual de la asociación americana sobre discapacidad intelectual de 2002. [Online]. [cited 2012/5/7. sitio web: http://inico.usal.es/publicaciones/pdf/AAMR_2002.pdf

  13. Schalock R, Luckasson R, Shogren K, Borthwick-Duff S, Bradley V, Buntix W, y cols. The renaming of mental retardation: Understanding the change to the term intellectual disability. Intellectual and Developmental Disabilities. 2007. 45:116-124.

  14. Evans, MW. Congenital Dental Defects in Infants Subsequent to Maternal Rubella during Pregnancy. I944. J. Austral., 31: 225-228.

  15. Swan C, Tostevin AL. Congenital abnormalities in infants following infectious diseases during pregnancy, with special reference to rubella; third series of cases. Med J Aust. 1946 May 11;1:645-5914. Forsey J, Elmasry O, Martin R. Patent arterial duct. Orphanet Journal of Rare Diseases, 2009. 17(4).4-17.

  16. Moake L, Ramaciotti C. Atrial Septal Defect Treatment Options. AACN Clin Issues. 2005 Apr-Jun;16(2):252-66

  17. Young W, Khan F, Brandt R, Savage N, Razek AA, Huang Q. Syndromes with salivary dysfunction predispose to tooth wear: Case reports of congenital dysfunction of major salivary glands, Prader-Willi, congenital rubella, and Sjögren's syndromes. Oral Surg Oral Med Oral Pathol Oral Radiol Endod. 2001 Jul;92(1):38-48.

  18. Duba HC, Doll A, Neyer M, Erdel M, Mann C. The elastin gene is disrupted in a family with a balanced translocation t(7;16)(q11.23;q13) associated with a variable expression of the Williams-Beuren syndrome. European Journal of Human Genetics. 2002 June; 10(6): p. 351-36117.

  19. Rudrappa S, Rajendra K, Kumar GS. Oculo-Facio-cardio-dental syndrome in a girl and her mother. 3, Indian Jouranal of Human Genetics.2010. 16(4). 44-46

  20. American Academy of Pediatric Dentistry. Guideline on Antibiotic Prophylaxis for Dental Patients at Risk for Infection.American Academy of Pediatric Dentistry. 2010. 31:228-4.

  21. Lockhart P, Loven BC, Brennan C. The evidence base for the efficacy of antibiotic prophylaxis in dental practice. J Am Dent Assoc.2007.187:4

  22. Planells-del Pozo P, Barra-Soto MJ, Santa Eulalia-Troisfontaines E. Antibiotic prophylaxis in pediatric odontology. An update. Med Oral Patol Oral Cir Bucal 2006;11:352-7.