Trabajos Originales

Melanosis bucal asociada a tabaquismo inhalado en un grupo de venezolanos: estudio clínico transversal

Recibido para Arbitraje: 27/02/2013
Aceptado para Publicación: 12/03/2013

    Villarroel-Dorrego, M., López-Labady, J., Facultad de Odontología, Universidad Central de Venezuela. Caracas-Venezuela. Sánchez Traslaviña, N.,, Orfali Azrak, C., Prieto Castro, K., Sandoval Márquez, A., Facultad de Odontología, Universidad Santa María. Caracas-Venezuela.

CORRESPONDENCIA:
[email protected]

MELANOSIS BUCAL ASOCIADA A TABAQUISMO INHALADO EN UN GRUPO DE VENEZOLANOS: ESTUDIO CLÍNICO TRANSVERSAL

RESUMEN
El objetivo del presente trabajo fue determinar la prevalencia de melanosis asociada a tabaquismo en un grupo de individuos venezolanos. Metodología: Fueron evaluados clínicamente 50 individuos fumadores (grupo fumadores) (GF) y 50 individuos no fumadores (grupo control) (GC) (n=100) que acudían a consulta odontológica de rutina. Después de firmado el correspondiente consentimiento informado, los datos epidemiológicos fueron recolectados así como la presencia de melanosis en la mucosa bucal. La prevalencia y el riesgo de melanosis por tabaquismo fueron determinados mediante SPSS versión 17.0 Resultados: El GF estuvo constituido por 18 mujeres (36%) y 32 hombres (64%) con una media de edad de 32.98±13.56 años. El GC fue conformado por 30 mujeres (60%) y 20 hombres (40%) con una media de edad de 34.4±13.88 años. 20 individuos del GF mostraron melanosis en la mucosa bucal (40%), principalmente localizadas en la encía y sólo 1 individuo (2%) del GC presentó pigmentaciones generalizadas. La presencia de melanosis fue estadísticamente mayor en el GF (p=0.0001), así como el riesgo a tener la entidad cuando se fuma (OR=32.67; 95%IC 26.36 a 38.97). Conclusiones: La melanosis o pigmentaciones bucales, principalmente de la encía, fueron una lesión frecuente observada en los individuos fumadores estudiados. Una persona con tabaquismo tiene un riesgo 30 veces mayor que una persona no fumadora de desarrollar melanosis de la mucosa bucal especialmente en la encía de la zona anterior.

PALABRAS CLAVE: Melanosis del fumador, tabaquismo, prevalencia.


ORAL MELANOSIS RELATED TO SMOKING IN A GROUP OF VENEZUELANS: CROSS-SECTIONAL CLINICAL STUDY

ABSTRACT
The aim of this study was to determine the prevalence of melanosis associated with smoking in a group of Venezuelans. Methodology: 50 smokers (smoking group) (GF) and 50 nonsmokers (control group) (GC) (n=100) were clinically evaluated during a routine dental appointment. After signing the corresponding informed consent, epidemiological data and the presence of melanosis in the oral mucosa were collected. The data were statistically analyzed by SPSS version 11.0. The prevalence and risk of melanosis by smoking were determined. Results: The GF was formed by 18 women (36%) and 32 men (64%) with a mean age of 32.98 ± 13.56 years. The GC was formed by 30 women (60%) and 20 men (40%) with a mean age of 34.4 ± 13.88 years. GF 20 individuals showed melanosis of the oral mucosa (40%), mainly located in the gums and only 1 patient had pigmentation GC (2%) of generalized type. The presence of melanosis was statistically higher in the GF (p = 0.0001), and the risk of getting that condition when smoked (OR = 32.67, 95% CI 26.36 to 38.97). Conclusions: The oral melanosis or pigmentation, especially the gum, was a common injury in smokers studied. A person who smokes has a risk 30 times greater than a nonsmoker to develop melanosis of the oral mucosa especially in the anterior gingiva.

KEY WORDS: Smoker´s melanosis, tobacco, prevalence.



INTRODUCCIÓN
El uso de tabaco ha sido asociado a una variedad de lesiones de la mucosa bucal, que comprenden desde lesiones de carácter benigno, desórdenes potencialmente malignos y finalmente cáncer bucal1,2.

La melanosis bucal es una consecuencia del tabaquismo y se caracteriza por ser una pigmentación focal benigna de la mucosa bucal2. Las pigmentaciones, principalmente de la encía, han sido asociadas al uso del tabaco, no solamente de forma inhalada sino también masticada e inclusive en fumadores secundarios3,4.

La patogenia se relaciona con algún componente del tabaco que estimula a los melanocitos a producir más melanina. Inclusive en individuos que genéticamente la producción de melanina está aumentada por su afinidad étnica, el tabaquismo es capaz de provocar un aumento en su producción de forma desproporcionada 5. Los melanocitos parecen producir melanina bajo la estimulación de nicotina y benzopirenos, componentes presentes en el tabaco que son altamente absorbidos por la mucosa bucal 5.

Clínicamente, la melanosis por tabaquismo suele mostrarse como áreas pigmentadas parduzcas independientes de factores genéticos, uso de medicamentos y desórdenes sistémicos. La región principalmente afectada es la encía adherida vestibular anterior, pero puede observarse en cualquier parte de la mucosa oral 6-9.

El objetivo del presente trabajo fue determinar la prevalencia de melanosis asociada a tabaquismo en un grupo de individuos venezolanos.


DISEÑO METODOLÓGICO

Población
Fue diseñado un estudio de investigación clínica observacional transversal. Fueron incluidos 100 individuos que asistieron a la Facultad de Odontología de la Universidad Santa María para tratamiento odontológico integral posterior a la lectura y firma del consentimiento informado para participar en el estudio. La población fue dividida en dos grupos: 50 individuos fueron diagnosticados con tabaquismo (grupo fumadores convencionales) (GF) y 50 individuos no fumadores fueron incluidos como grupo control (GC).

HISTORIA Y EVALUACIÓN CLÍNICA
Posterior a la firma del consentimiento informado, fue completada una historia clínica y sometido cada individuo a un examen exhaustivo de la cavidad bucal. Si el paciente mostraba lesiones maculares pigmentadas en la mucosa, sugestivas a melanosis por tabaquismo, se describían en la historia y se le explicaba detalladamente al paciente el origen de la lesión, su relación con el tabaquismo y se le ofrecían alternativas terapéuticas para la cesación del tabaquismo.

VARIABLES EVALUADAS
Género y edad de los casos, tabaquismo, presencia de melanosis asociada a tabaquismo, ubicación de la melanosis en la mucosa bucal.

ANÁLISIS ESTADÍSTICO
Los datos obtenidos fueron analizados estadísticamente mediante el uso del programa estadístico para las ciencias sociales (SPSS versión 17.0). Las variables numéricas fueron comparadas aplicando el test paramétrico t-Student. El riesgo fue calculado usando cociente de probabilidades ajustadas (odds ratio) con un intervalo de confianza del 95%. Se estableció un nivel de significancia de 5% (?= 0.05) y todos los valores p<0.05 fueron considerados estadísticamente significativos.


RESULTADOS

El GF estuvo constituido por 18 mujeres (36%) y 32 hombres (64%) con una media de edad de 32.98±13.56 años; mientras que el GC fue conformado por 30 mujeres (60%) y 20 hombres (40%) con una media de edad de 34.4±13.88 años.

Del GF evaluado, 20 individuos mostraron melanosis en la mucosa bucal (40%), sin mostrar predilección por género (50% femenino/50% masculino) y presentaron inclinación por la etnia mestiza (criolla). Lesiones maculares pigmentadas no fueron observadas en ninguno de los pacientes no fumadores. La presencia de melanosis fue estadísticamente mayor en el GF (p=0.0001), así como el riesgo a tener la entidad cuando se fuma (OR=32.67; 95% IC 26.36 a 38.97).

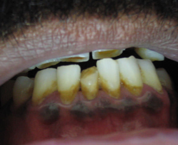
Las lesiones se encontraron principalmente localizadas en la encía (Figura 1) y sólo un individuo del GC presentó pigmentaciones (2%) de tipo generalizadas (Figura 2).

Figura 1
Melanosis asociada al tabaquismo.
Máculas parduzcas en encía adherida de zona antero-inferior.

Figura 2
Melanosis asociada al tabaquismo.
Máculas parduzcas generalizadas, detalle de carrillo.

El 75% de los individuos del GF refirió desconocer la asociación de la aparición de estas pigmentaciones con el consumo de cigarrillos. El 55% de ellos inició el tabaquismo entre los 16 y 20 años y el 50% de las personas encuestadas fumaban más de 10 cigarrillos al día.


DISCUSIÓN

La melanosis asociada al tabaquismo fue una lesión común en los individuos fumadores evaluados, la cual pareciera ser dependiente del tiempo y cantidad de consumo del tabaco o cigarrillo 5,9-12. La forma de consumo de tabaco que más se asocia a la melanosis bucal es la inhalada de manera convencional, sin embargo se ha descrito asociada a tabaco masticado4 e inclusive en niños fumadores secundarios de padres con tabaquismo 3,13.

Las lesiones pigmentadas fueron observadas principalmente en la zona gingival anterior, pero ha sido reportada en cualquier parte de la mucosa bucal 6-11. Su aspecto se caracteriza por ser máculas de color pardo o negro de forma irregular pero de límites bien definidos, que cursan completamente asintomáticas, sin hemorragia, ulceraciones o induraciones del tejido.

Se ha descrito que la presencia de las lesiones son dependientes directamente del consumo del tabaco y que una vez cesa el tabaquismo las pigmentaciones pueden desaparecer 14. A pesar de los factores genéticos de índole étnico que puedan estar asociados con la melanosis de la mucosa bucal, un paciente con tabaquismo muestra un incremento de la formación de melanina de forma local y el hecho de que las lesiones desaparezcan al cesar el tabaquismo pareciera demostrar la relación causa efecto entre esta entidad y el consumo de cigarrillos/tabaco.

El mecanismo por el cual el tabaquismo produce melanosis en la mucosa no es aun conocido. Pareciera tratarse de un fenómeno de protección que desarrolla la mucosa bucal como defensa a los productos del tabaco, como la nicotina e hidrocarburos policíclicos aromáticos potencialmente cancerígenos, aumentando la producción de melanina por parte de los melanocitos del epitelio bucal 5.

La presencia de melanosis bucales no solamente se ha asociado con protección contra la transformación maligna del epitelio bucal, sino con protección para otras enfermedades de índole neurológico. Hedin15 sugirió que los pacientes con melanosis bucales asociadas a tabaquismo tenían un incremento de la estimulación de los melanocitos, encontrado también en la cóclea y sustancia negra del cerebro, en donde pudiera igualmente actuar protegiendo al tejido nervioso de efectos tóxicos asociados a algunas enfermedades como la enfermedad de Parkinson. La melanina actúa entonces como una sustancia defensora contra sustancias tóxicas tanto en los tejidos bucales como en el tejido nervioso.


CONCLUSIONES

La melanosis es una entidad muy común en personas con tabaquismo. Un individuo que fuma tiene un riesgo 30 veces mayor que una persona no fumadora de desarrollar melanosis de la mucosa bucal especialmente en la encía de la zona anterior. La presencia de melanosis en un paciente fumador podría ser una señal de alerta que indica que la mucosa bucal ha aumentado la producción de melanina para proteger la misma contra el tabaco y sus productos.


REFERENCIAS BIBLIOGRÁFICAS
  1. Taybos G. Oral changes associated with tobacco use. Am J Med Sci. 2003; 326(4):179-82.

  2. Mirbod SM, Ahing SI. Tobacco-associated lesions of the oral cavity: Part I. Nonmalignant lesions. J Can Dent Assoc. 2000; 66(5):252-6.

  3. Sridharan S, Ganiger K, Satyanarayana A, Rahul A, Shetty S. Effect of environmental tobacco smoke from smoker parents on gingival pigmentation in children and young adults: a cross-sectional study. J Periodontol. 2011; 82(7):956-62

  4. Sarswathi TR, Kumar SN, Kavitha KM. Oral melanin pigmentation in smoked and smokeless tobacco users in India. Clinico-pathological study. Indian J Dent Res. 2003; 14(2):101-6.

  5. Araki S, Murata K, Ushio K, Sakai R. Dose-response relationship between tobacco consumption and melanin pigmentation in the attached gingiva. Arch Environ Health. 1983; 38(6):375-8.

  6. Hedin CA. Smokers' melanosis. Occurrence and localization in the attached gingiva. Arch Dermatol. 1977; 113(11):1533-8.

  7. Hedin CA, Axéll T. Oral melanin pigmentation in 467 Thai and Malaysian people with special emphasis on smoker's melanosis. J Oral Pathol Med. 1991; 20(1):8-12.

  8. Unsal E, Paksoy C, Soykan E, Elhan AH, Sahin M. Oral melanin pigmentation related to smoking in a Turkish population. Community Dent Oral Epidemiol. 2001; 29(4):272-7.

  9. Nwhator SO, Winfunke-Savage K, Ayanbadejo P, Jeboda SO. Smokers' melanosis in a Nigerian population: a preliminary study. J Contemp Dent Pract. 2007; 8(5):68-75.

  10. Marako?lu K, Gürsoy UK, Toker HC, Demirer S, Sezer RE, Marako?lu I. Smoking status and smoke-related gingival melanin pigmentation in army recruitments. Mil Med. 2007; 172(1):110-3.

  11. Sarswathi TR, Kumar SN, Kavitha KM. Oral melanin pigmentation in smoked and smokeless tobacco users in India. Clinico-pathological study. Indian J Dent Res. 2003; 14(2):101-6.

  12. Haresaku S, Hanioka T, Tsutsui A, Watanabe T. Association of lip pigmentation with smoking and gingival melanin pigmentation. Oral Dis. 2007; 13(1):71-6.

  13. Hanioka T, Tanaka K, Ojima M, Yuuki K. Association of melanin pigmentation in the gingiva of children with parents who smoke. Pediatrics. 2005; 116(2):e186-90.

  14. Hedin CA, Pindborg JJ, Axéll T. Disappearance of smoker's melanosis after reducing smoking. J Oral Pathol Med. 1993; 22(5):228-30.

  15. Hedin CA. Smoker's melanosis may explain the lower hearing loss and lower frequency of Parkinson's disease found among tobacco smokers--a new hypothesis. Med Hypotheses. 1991; 35(3):247-9.