Casos Clínicos

Técnica TODO SOBRE -4 y carga inmediata para rehabilitación del maxilar superior. Reporte de caso clínico

Recibido para Arbitraje: 31/05/2013
Aceptado para Publicación: 24/06/2013

    GARCIA LOZADA, V.L., Odontólogo. Universidad Central de Venezuela. Caracas. Venezuela. Máster universitario en Cirugía bucal e implantología. Universitat de Lleida. Lleida. España. FEIJOO BELLO, A., Odontólogo. Universidad Central de Venezuela. Caracas. Venezuela. Especialista universitario en Endodoncia. Universidad de Santiago de Compostela. Santiago de Compostela. España.

    CORRESPONDENCIA: [email protected]

TÉCNICA TODO SOBRE -4 Y CARGA INMEDIATA PARA REHABILITACIÓN DEL MAXILAR SUPERIOR. REPORTE DE CASO CLÍNICO

RESUMEN
La Técnica TODO SOBRE -4 (All-on-4) desarrollada por el Dr. Paulo Maló, está basada en la rehabilitación completa de los maxilares con una prótesis fija de carga inmediata sobre 4 implantes adecuadamente distribuidos; 2 implantes angulados posteriores y 2 implantes axiales anteriores, sin la utilización de injertos óseos. En este trabajo presentamos un caso clínico de rehabilitación completa del maxilar superior con la técnica Todo Sobre -4.

PALABRAS CLAVE: Técnica Todo Sobre -4; rehabilitación completa; carga inmediata.



ALL-ON-4 TECHNIQUE AND IMMEDIATE LOADING FOR MAXILLA REHABILITATION A CLINICAL CASE REPORT

SUMMARY
The All-on-4 technique developed by Dr. Paulo Maló, is based on the full arch rehabilitation of the jaws with a fixed prostheses on four implants immediately loaded and adequately distributed; 2 tilted posterior implants and 2 axial anterior implants without the need of bone grafts. In this work we present a clinical case of full arch rehabilitation of the maxilla with the All-on-4 technique.

KEY WORDS: All-on-4 technique; full arch rehabilitation; immediate loading.


INTRODUCCIÓN

La carga o función inmediata sobre implantes para rehabilitaciones completas delos pacientes en maxilar o mandíbula ha sido documentada como un tratamiento predecible1,2.

En los casos de rehabilitaciones completas de carga inmediata maxilar o mandibular, han sido asociadas con altos niveles de satisfacción por parte de los pacientes en términos de estética, fonética y funcionalidad2,3,4.

Debe tenerse en cuenta que la formación de nuevo hueso y la remodelación activa puede ser observada cuando este último esté mecánicamente estimulado, por lo que la carga inmediata es un efectivo potencial para aumentar la formación del hueso alveolar alrededor de los implantes, al tiempo que facilita el proceso de oseointegración5,6,7.

La carga o función inmediata en implantología es una técnica adecuadamente documentada en sus vertientes clínica e histológica:
  • clínicamente, la mayoría de los trabajos han mostrado tasas de éxito elevadas, similares a las de la implantología convencional8,9,10.

  • un gran número de estudios histológicos hacen referencia incluso a mejor calidad de la osteointegración en los implantes cargados inmediatamente que en aquéllos en los que se realiza carga diferida o mediata 11,12,13.
La técnica Todo Sobre -4 (All-on-4), desarrollada por el Dr. Paulo Maló 3,4, es un sistema que permite la rehabilitación total fija con implantes del maxilar superior y/o inferior en el paciente desdentado total o en aquél abocado en breve al edentulismo total.

El tratamiento con Todo Sobre -4 proporciona a pacientes edentulos o pacientes con dientes por extraer, una prótesis fija con carga inmediata sobre 4 implantes: 2 implantes axiales en la región anterior y 2 implantes angulados en la región posterior3,4.

El principio de la técnica Todo Sobre -4 implica el uso 4 implantes restaurados con pilares protésicos multiunit rectos y angulados, que soportan una prótesis fija provisional de carga inmediata colocada el mismo día de la intervención quirúrgica. El tratamiento con Todo Sobre -4 fue desarrollado para maximizar la utilización del hueso disponible sin la necesidad de utilizar injertos óseos, permitiendo la función inmediata. La mayoría de los datos publicados sobre el concepto Todo Sobre -4 reportan tasas de supervivencia acumulada entre 92.2% y 100%14,15,16.

Este procedimiento permite proveer al paciente de dientes fijos de inmediato, con lo que evitamos períodos de transición con prótesis provisionales extraíbles.
Uno de los puntos más atractivos de la técnica es que se puede aplicar en un alto porcentaje de casos (los implantes inferiores serán interforaminales y en ese sector casi siempre es posible su inserción incluso en situaciones de resorción extrema; en el maxilar superior se colocarán entre los senos maxilares con lo que también se disminuye mucho la necesidad de regeneración que contraindicaría la técnica con tasas de éxito superiores al 95%3,4.


PRESENTACIÓN DE CASO CLÍNICO

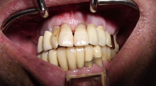
Paciente masculino, de 62 años de edad con diabetes tipo II pero debidamente controlado. Presentaba los dientes 14, 13, 12, 21, 23, 25, 26 del maxilar superior con marcada enfermedad periodontal y movilidad de los mismos. El paciente refirió problemas en la masticación por la movilidad que presentaba, además de halitosis continua y dolor en el 26, presentando una estética insatisfactoria (Fig.1).

Fig. 1
Foto clínica preoperatoria

El mismo acudió al Centro de Especialidades Odontológicas Titanium al servicio de Cirugía Bucal e Implantología Oral en Vigo para examen, diagnóstico y resolución de cuadro clínico.

Después del examen clínico, radiográfico y definición del plan de tratamiento a realizar, el paciente fue incorporado en la sala quirúrgica del centro para su tratamiento (fig.2).

Fig.2
Radiografía panorámica preoperatoria

Para este caso fue realizada una sedación consciente con midazolam, instalación de los campos quirúrgicos e infiltración con anestésico articaina para bloqueo nervioso del maxilar superior, continuando con las extracciones de todos los dientes superiores con su debido desbridamiento profundo.

Se procedió a realizar la incisión en el centro del reborde alveolar y levantamiento del colgajo, continuando con la respectiva regularización ósea para dejar una meseta ósea adecuada para la colocación de los implantes.

Se prosiguió a realizar las osteotomias distales o posteriores inclinadas en 45º con respecto a la pared anterior del seno maxilar de forma tangencial para no penetrar en el mismo siguiendo el protocolo quirúrgico de Nobelbiocare™, se continuó con las osteotomías mesiales o anteriores de manera axial, vertical o perpendiculares al plano oclusal (Fig.3).

Fig.3
Osteotomía para implantes

Se continuó con la insercion de los 2 implantes posteriores inclinados y los 2 implantes anteriores verticales, obteniendo una muy buena estabilidad primaria con un torque de insercion aproximado de 50N para todos los implantes, siendo totalmente aptos para la realización de carga inmediata (Fig.4).

Fig.4
Inserción de implantes

Fueron insertados 4 implantes RPx18mm Nobel speedy groovy del sistema Nobel Biocare™, en posición de los dientes 15,12,22 y 25 respectivamente, seguido de la colocación de 2 pilares protésicos Multiunit de 30º con un torque de 15N para los implantes posteriores y así corregir la inclinación de los mismos, luego se conectaron 2 Pilares protésicos Multiunit rectos con un torque de 30N para los implantes anteriores tambien del sistema Nobelbiocare™ (Fig.5).

Fig.5
Colocación de Pilares protésicos multiunit 30º

Se siguió con la sutura utilizándose seda 3-0 y toma de impresión con transfers para técnica de cubeta abierta, previamente ferulizados de manera rígida, se tomaron pruebas de registro de mordida y color de dientes para la confección de la prótesis provisional de carga inmediata superior Todo Sobre -4 a ser instaladas el mismo día de la intervención quirúrgica, acto seguido se colocaron los capuchones de cicatrización para así evitar la migración de los tejidos blandos sobre los implantes (Fig.6 y 7).

Fig.6
Implantes conPilares protésicos multiunit y sutura

Fig.7
Capuchones de cicatrización luego de toma de impresión.

Indicamos al paciente la medicación pertinente postoperatoria a seguir según su caso y a la explicación de los cuidados postquirúrgicos que debía aplicar para una mejor evolución postoperatoria.

Fabricada la prótesis provisional por el laboratorio en un período de cinco horas post-intervención quirúrgica, se instaló la misma y hacemos una radiografía panorámica postoperatoria para verificar los implantes, adaptado de pilares intermedios y de la prótesis (Fig.8 y 9).

Fig.8
Radiografía postoperatoria

Fig.9
Prótesis provisional de carga inmediata

El procedimiento quirúrgico se realizó sin complicaciones, logrando una buena estabilidad primaria de los implantes para poder colocar la prótesis provisional de carga inmediata y así el paciente reincorporarse a su vida social lo más pronto posible consiguiendo un confort y estética bastante agradable. El paciente acudió a la clínica a los 7 días para ajuste oclusal de las prótesis de carga inmediata y a la retirada de los puntos de sutura, sin presentar mayores signos de inflamación y con una recuperación bastante rápida.

Pasado 6 meses de la colocación de los implantes con la técnica Todo Sobre -4, se comprobó la correcta oseointegración de los mismos y se continuó con la fabricación de la prótesis definitiva sobre los implantes integrados y los tejidos blandos totalmente curados y adaptados siguiendo los procedimientos convencionales para su elaboración (Fig. 10).

Fig.10
Radiografía 6 meses después con prótesis definitiva.

CONCLUSIÓN

Los resultados obtenidos en el presente caso permiten concluir al igual que la literatura consultada que la técnica Todo Sobre -4 es un tratamiento viable, exitoso y predecible. Por otra parte es importante alcanzar la estabilidad inicial de los implantes.

La técnica Todo Sobre -4, reduce el número de visitas al consultorio y disminuye el tiempo de tratamiento, ofrece al paciente mejoría instantánea de la masticación, del habla, la estética y auto imagen, proporciona disminución en el coste del tratamiento por reducción en el número de implantes a colocar, únicamente 4 implantes bien distribuidos en el maxilar para una rehabilitación completa fija y sin utilización de injertos óseos.


REFERENCIAS BIBLIOGRÁFICAS
  1. Bellini CM, Romeo D, Galbusera F. Comparison of tilted versus non tilted implant-supported prosthetic designs for the restoration of the edentulous mandible: a biomechanical study. Int J Oral Maxillofac Implants. 2009;24:511-517.

  2. Attard NJ, Zarb GA. Immediate and early implant loading protocols: a literature review of clinical studies. J Prosthet Dent. 2005;3:242-258.

  3. Malo P, Rangert B, Nobre M. All-on-Four immediate-function concept with Brånemark System implants for completely edentulous mandibles: a retrospective clinical study. Clin Implant Dent Relat Res. 2003;5 (Suppl 1);2-9.

  4. Malo P, Rangert B, Nobre M. All-on-Four immediate-function concept with Brånemark System implants for completely edentulous maxillae: a 1-year retrospective clinical study. Clin Implant Dent Relat Res. 2005;7 (Suppl 1);88-94.

  5. Nuñez Cl, Pharoah. Sistema De Colado De Titanio. Rev Internac Protesis Estomatológica 2000; 3,2:213-9.

  6. Fuentes LF. Carga inmediata de los implantes dentales. Rev Esp Odontoestomatol Impl 2000; 8, 1: 26-31.

  7. Romanos G, Toh CG, Siar CH, Swaminathan D, Ong AH, Donath K, Yaacob H, Nentwig G-H.Peri-implant bone reactions to immediately loaded implants. An experimental study in monkeys. J Periodontol 2001; 72: 506-11.

  8. Ibanez JC, Tahhan MJ, Zamar JA, Menendez AB, Juaneda AM, Zamar NJ, Monqaut JL.Immediate occlusal loading of double acid-etched surface titanium implants in 41 consecutive full-arch cases in the mandible and maxilla: 6- to 74-months results. J Periodontol. 2005;76:1972-81.

  9. Chiapasco M, Gatti C, Rossi E, Haefliger W, Markwalder TH. Implant-retained mandibular overdenture with immediate loading. A retrospective multicenter on 226 consecutive cases. Clin Oral Impl Res. 1997;8:48-57.

  10. Ganeles J, Rosenberg MM, Holt RL, Reichman LH. Immediate loading of implants with fixed restorations in the completely edentulous mandible: report of 27 patients from a private practice. Int J Oral Maxillofac Implants. 2001;16:418-26.

  11. Romanos GE, Testori T, Degidi M, Piatelli A. Histologic and histomorphometric findings from retrieved, immediately occlusally loaded implants in humans. J Periodontol. 2005;76:1823-32.

  12. Degidi M, Scarano A, Piattelli M, Perrotti V, Piattelli A. Bone remodeling in immediately loaded and unloaded titanium dental implants: a histologic and histomorphometric study in humans. J Oral Implantol. 2005;31:18-24.

  13. Testori T, Szmukler-Moncler S, Francetti L. Immediate loading of Osseotite implants: a case report and histologic analysis after 4 months of occlusal loading. Int J Periodontics Restorative Dent. 2001;21:451-9.

  14. Malo P, Nobre M, Petersson U, Wigren S. A pilot study of complete edentulous rehabilitation with immediate function using a new implant design: case series. Clin Implant Dent Relat Res.2006;8:223-232

  15. Pomares C. A retrospective clinical study of edentulous patients rehabilitated according to the "all on four" or the "all on six" immediate function concept. Eur J Oral Implantol.2009;2,1:55-60.

  16. Testori T, Del Fabbro M, Capelli M, Zuffetti F, Francetti L, Weinstein RL. Immediate occlusal loading and tilted implants for the rehabilitation of the atrophic edentulous maxilla: 1 year interim result of a multicenter prospective study. Clin Oral Implants Res.2008;19:227-232.