Casos Clínicos

Lesión central de células gigantes de los maxilares. Reporte de un caso. Revisión de literatura

Recibido para Arbitraje: 01/08/2013
Aceptado para Publicación: 27/08/2013

    Bornancini, C., Doctor en Odontología, Profesor Titular Cátedra de Cirugía I, Facultad de Odontología, Universidad Nacional de Córdoba. Viotto, J.O., Odontólogo, Profesor Asistente Cátedra de Anatomía Patológica A, Facultad de Odontología, Universidad Nacional de Córdoba, Argentina. Bachur, R.O., Doctor en Odontología, Profesor Titular Cátedra de Cirugía III, Facultad de Odontología, Universidad Nacional de Córdoba, Argentina. Baró, M.A., Doctora en Odontología, Profesora Asistente Cátedra de Anatomía Patológica A, Facultad de Odontología, Universidad Nacional de Córdoba, Argentina. Kaplan, R., Doctora en Medicina, Profesora Adjunta Cátedra de Patología III, Facultad de Ciencias Médicas, Universidad Nacional de Córdoba. Piccinni, D. J., Doctor en Medicina, Profesor Titular Cátedra de Patología III, Facultad de Ciencias Médicas, Universidad Nacional de Córdoba, Argentina. Ferreyra de Prato, R.S., Doctora en Odontología, Profesora Titular Cátedra de Anatomía Patológica A, Facultad de Odontología, Universidad Nacional de Córdoba, Argentina.
CORRESPONDENCIA:
Ferreyra de Prato Ruth [email protected]

LESIÓN CENTRAL DE CÉLULAS GIGANTES DE LOS MAXILARES. REPORTE DE UN CASO. REVISIÓN DE LITERATURA

RESUMEN
Lesión central de células gigantes (LCCG) es una patología osteolítica localizada generalmente en los maxilares. Su patogenia es controversial pero se cree se origina tras un traumatismo. Se manifiesta como un nódulo rojo-púrpura, de crecimiento lento y constituido por células gigantes multinucleadas inmersas en un estroma de células ovaladas y fusiformes, planteando diagnósticos diferenciales con otras lesiones a células gigantes de maxilares. A pesar de su histología benigna esta lesión suele ser agresiva localmente con tendencia a recidiva.

Nuestros objetivos fueron reflejar la frecuencia de LCCG en el Servicio de Anatomía Patológica de Facultad de Odontología en un período de 23 años, indicar la importancia clínico-patológica, plantear diagnósticos diferenciales y mostrar un caso clínico. El mismo está representado por un paciente masculino de 27 años, con una lesión única osteolítica en el maxilar superior, con antecedente de traumatismo. Clínicamente la lesión era multilobulada de color rojo vinoso en encía vestibular antero-superior. El diagnóstico por imágenes mostró un comportamiento invasivo. La histopatología evidenció células gigantes multinucleadas, estroma fibrocelular vascularizado con áreas hemorrágicas y hemosiderina, llegando al diagnóstico de Lesión Central de Células Gigantes.

En este caso la edad, localización e histopatología se correspondieron con la bibliografía consultada. En nuestro servicio la frecuencia de LCCG fue del 0,002% con una relación 3=1 mujer/ hombre y con una edad promedio de aparición a los 30 años.

Concluimos en la importancia del correcto diagnostico clínico-patológico de LCCG, que obliga a plantear diagnósticos diferenciales con patologías a células gigantes de maxilares para su adecuado tratamiento.

PALABRAS CLAVE: Células Gigantes, lesión osteolítica, traumatismo crónico, hueso, maxilares.



CENTRAL GIANT CELL LESION OF THE JAWS. A CASE REPORT AND REVIEW OF THE LITERATURE

ABSTRACT
Central giant cell lesion (CGCL) is an osteolytic lesion usually located on the jaws. Although its pathogenesis remains controversial, it is believed to be originated after a trauma. It clinically appears as slow growing red-purple nodule and histologically it is composed of multinucleated giant cells embedded in a stromal of spindle and oval cells, suggesting differential diagnosis with lesions to giant cell in the jaws. In spite of its benign histology, the behavior of these lesions is locally aggressive and they tend to relapse. The aims of this work were to reflect the frequency of CGCL in the Service of Pathological Anatomy of the Faculty of Odontology, in a period of 23 years, to indicate the clinical-pathological importance, to state the differential diagnoses and to show a clinical case. Such clinical case was represented by a 27 year-old male patient with a unique osteolytic lesion in the maxillary with an antecedent of local trauma. Clinically, the lesion was red wine colored and multilobed in the buccal denture flange. An invasive behavior was observed in the diagnostic imaging. The histopathological study showed multinucleated giant cell component, fibrocellular stroma vascular with hemorrhagic areas and hemosiderin pigment, which led to the diagnosis of CGCL after differential analysis and clinical pathology of giant cell lesions of the jaws. In this case, the age, location and pathological study of the lesion were consistent with the literature. We aim at indicating the importance of the correct diagnosis of CGCL which requires rising differential diagnosis for all lesions in this location have giant cells, taking into account both clinical and morphology. In our case the age, location and pathological study of the lesion were consistent with the literature. It is our objective to indicate the importance of the correct diagnosis, which requires rising the differential diagnosis for all lesions in this location have giant cells for the application of a suitable treatment.

Keywords: giant cell - osteolytic lesion - chronic trauma - bone - jaws.


INTRODUCCIÓN

Lesión Central de Células Gigantes (LCCG) es una patología osteolítica, localmente agresiva, que se origina a partir del tejido conjuntivo del periostio o de la membrana periodontal, a veces después de una irritación o un traumatismo crónico local1,2,3. Fue descripta por Jaffe en 19534 y por Pindborg y Kramer en 19715 en los huesos maxilares y por otros autores en huesos extramaxilares de manos y pies1,2,6,7. Se menciona que su origen en localizaciones periféricas, no maxilares, puede estar asociada a una translocación genética que involucra al cromosoma X y al cromosoma cuatro8.

Se presenta por lo general en niños y adultos jóvenes, predominando en el sexo femenino, con una relación mujer-hombre de 2:11,2,3,9,10,11. Ambos maxilares constituyen el sitio de localización más frecuente aunque se han reportado casos de localizaciones más raras, como el hueso escafoides, tarsiano, temporal y tibia 12,13,14.

La lesión se manifiesta generalmente en forma de nódulo circunscripto rojo-púrpura, de crecimiento lento 1,2,7,10,15, habitualmente es indolora, ocasiona asimetría facial o palatina, desplazamiento y pérdida de piezas dentarias. Histológicamente está constituida por células gigantes multinucleadas inmersas en un estroma de células ovaladas y fusiformes13, con áreas hemorrágicas y depósitos de hemosiderina; macrófagos, linfocitos y granulocitos 16. Existe otro gran número de lesiones benignas y destructivas de los maxilares que evidencian células gigantes multinucleadas entre sus componentes histológicos, pudiendo considerarse entre ellas el Tumor de células gigantes (Osteoclastoma), Querubismo, Tumor pardo del hiperparatiroidismo, Quiste óseo aneurismático y Granuloma de células gigantes periférico (épulis)1,2,11,17.

El tratamiento consiste en la exéresis quirúrgica de la lesión, con un amplio legrado de su base, ya que aunque la mayoría de estas lesiones son circunscriptas, de crecimiento lento, que responden bien al tratamiento quirúrgico, un significativo número de casos demuestran una conducta clínica localmente agresiva y con tendencia a la recidiva 7,15,18.


CASO CLÍNICO

Paciente sexo masculino de 27 años de edad, sin antecedentes de enfermedades clínicas de importancia, ni antecedentes familiares relevantes. Relata sobre la patología que hace aproximadamente dos meses, anteriores a la cirugía, se golpea en el labio superior lo cual le produjo un hematoma y bastante dolor; a partir de ese episodio comienza a notar aumento de tamaño en la zona de caninos y premolares superiores del lado izquierdo. El crecimiento fue rápido y produjo asimetría facial (Figura 1), por lo cual consulta a su odontólogo quien lo deriva a nuestro servicio. Clínicamente se observa una lesión nodular, multilobulada de color rojo vinoso sobre la encía vestibular de zona antero-superior, aparentando un épulis (Figura 2). En el diagnóstico por imágenes se observa una lesión osteolítica importante de 2x1x1 cm de diámetro, con límites imprecisos y destrucción del tejido óseo afectado (Figuras 3 y 4). Los análisis de laboratorio mostraron valores dentro de parámetros normales.

Figura 1

Figura 2

Figura 3

Figura 4

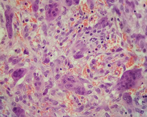
El paciente fue intervenido quirúrgicamente, las muestras tomadas se fijaron en formol al 10% y se procesaron en el Servicio de Anatomía Patológica, fueron incluidas en parafina y coloreadas con Hematoxilina/Eosina. En los distintos cortes obtenidos se observó epitelio plano estratificado hiperplásico, tejido conjuntivo fibroso con abundantes células gigantes multinucleadas, trayectos vasculares, extensas áreas hemorrágicas, zonas con depósitos de hemosiderina y trabéculas de hueso reactivas neoformadas, con áreas de resorción (Figuras 5 y 6). Luego de plantearse diagnósticos diferenciales con lesiones a células gigantes de los maxilares se arribó al diagnóstico de LESIÓN CENTRAL DE CÉLULAS GIGANTES.

Figura 5

Figura 6

Cabe agregar que la frecuencia de casos de LCCG en nuestro Servicio de Anatomía Patológica de la Facultad de Odontología, UNC, en un período de 23 años (1990 - 2013) de nuestros casos de archivo, fue del 0,002% y se pueden ver los detalles expresados en la Tabla I.

Tabla I.

DISCUSIÓN

La LCCG fue clasificada por la Organización Mundial de la Salud en el año 2005 como una lesión rara, intraósea, benigna, de etiología idiopática, más frecuente en el sexo femenino y en adultos jóvenes que casi siempre se produce en los huesos maxilares16,18. En general se presenta como lesión única expansiva e invasiva19 y está constituida por células gigantes multinucleadas en una estroma fibrocelular sin elementos atípicos y con áreas hemorrágicas dispersas, concordando nuestros hallazgos con aquellos reportados en la publicaciones revisadas1,13,17.

Waldron 20, Shafer, Hine y Levy 21 describen la lesión como una respuesta reactiva del hueso ante un trauma repetitivo sin identificar, como podría ser la maloclusión de Clase II Subdivisión 2. También se ha sugerido que podría ser una reacción a alguna forma de trastorno hemodinámico en la matriz ósea, probablemente asociado con trauma y hemorragia22.

Histológicamente es muy importante diferenciar entidades con células gigantes de los maxilares debido a las grandes similitudes encontradas entre ellas y con frecuencia la LCCG es indistinguible de otras lesiones de este tipo como el Tumor pardo del Hiperparatiroidismo, que cursa con hipercalcemia junto a la presencia de áreas quísticas múltiples en los huesos afectados 1,12,15. El tumor de células gigantes, además de ser casi exclusivo de los huesos largos, no suele evidenciar depósitos de hemosiderina ni formación reactiva del hueso como ocurre en la LCCG, 12,13,17,23. La Lesión Ósea Aneurismática, si bien contiene células gigantes osteoclastoides, presenta distintivamente espacios sanguíneos revestidos por fibroblastos aplanados 1,12.

El Granuloma de Células Gigantes Periférico tiene como característica más distintiva, su crecimiento en la encía que raras veces se extiende en profundidad 1.

El tratamiento quirúrgico de este tipo de lesiones de crecimiento rápido y extensivo es lo más exitoso 24, también se han publicado casos tratados con dosis diarias de calcitonina, para inhibir a osteoclastos, e inyecciones intralesionales de corticoesteoides para disminuir la Angiogénesis 25,26.

En nuestro caso, desde el punto de vista epidemiológico, la edad de presentación y localización coincidieron con la bibliografía consultada. En cuanto a la evolución nuestro paciente no mostró recurrencia de su lesión hasta el momento de esta comunicación.

En conclusión esta patología infrecuente debe ser diagnosticada en forma correcta, diferenciándola de otras muy similares y de igual localización, para realizar un tratamiento adecuado del caso.


REFERENCIAS BIBLIOGRÁFICAS
  1. Grees S A, Besada A I, Keszler A, Navacchia D, Lanfranchi H, Paparella M L, Valle L E. Granuloma gigantocelular central del maxilar inferior. Presentación de un caso pediátrico. Revista Argentina de Dermatología 2006; 87:280-7.

  2. Sholapurkar Amar A, Keerthilatha M, Auswaf, Ahsan. Central giant cell granuloma of the anterior maxilla. Indian Journal of Dental research 2008; 19:78-82.

  3. Duarte Ruiz B, Riba García F, Navarro Cuéllar C, Bucci T, Cuesta Gil M, Navarro Vila C.Reparative giant cell granuloma in a pediatric patient.Med Oral Patol Oral Cir Bucal 2007; 12:1-5.

  4. Jaffe HL. Giant-cell reparative granuloma traumatic bone cvst and fibrous (fibro-osseous) dysplasia of the javv bones. Oral Surg1953:6:159-63

  5. Pindborg B, Kramer L. Tumores no odontogénicos y seudotumores de los maxilares. Bhaskar SN: Patología bucal 1977; 217-20.

  6. Gil C, Badell C, Aponte C, Celis G, Gil C, Gómez T, Solbas A. Lesión de células gigantes de la maxila y antro maxilar izquierdo. Reporte de un Caso. Acta otorrinolaringológica 2001; 13:1.

  7. Baker J, Perera A, KielyP , Lui D, Stephens M. Giant cell tumour in the foot of a skeletally immature girl: a case report. Journal of Orthopaedic Surgery 2009;17(2):248-50

  8. Buresh CJ, Seemayer TA, Nelson M, Neff JR, Dorfman HD, Bridge J. t(X;4)(q22;31.3) in giant cell reparative granuloma. Cancer Genet Cytogenet. 1999; 115:80-81.

  9. Argüelles F, Fernández E, Fernández R, Muñoz J. Granuloma reparativo de células gigantes en el escafoides tarsiano. A propósito de 1 caso. Revista Española de Cirugía Osteoarticular 1996; 31: 203-205.

  10. Delgado-Azañero WA, Concha-Cusihuallpa H, Cabello-Morales E, Beltrán-Silva J, Guevara-Canales JO. Granuloma central de células gigantes en un niño tratado con corticoides intralesional. Rev Estomatol Herediana 2007; 17:76-83.

  11. Mohanty S, Jhamb A. Central giant cell lesion of mandible managed by intralesional triamcinolone injections. A report of two cases and literature review.Med Oral Patol Oral Cir Bucal2009; 14:98-102.

  12. Hori T, Kanamori M, Ohmori K, Nobukiyo M, Kimura T. Giant cell reparative granuloma of the proximal tibia: a case report. Journal of Orthopedic Surgery 2008; 16:364-7.

  13. Williams J, Thorell W, Treves J, Fidler M, Moore G, Leibrock L. Giant Cell Reparative Granuloma of the Petrous Temporal Bone: A Report and Literature Review. Skull Base Surgery 2000; 10:89-93.

  14. Wang EH, Arbatin JJ. Allograft reconstruction of a large giant cell tumor of the first metatarsal: a case report. FootAnkleInt2008;29:97-100.

  15. Plontke S, Adler C, Gawlowski J, Ernemann U, Friese S, Plinkert P. Recurrent Giant Cell Reparative Granuloma of the Skull Base and the Paranasal Sinuses. Presenting with Acute One-Sided Blindness. Skull Base An Interdisciplinary Approach. 2002; 12:9-17.

  16. Branes L, Everson JW, Reichart P, Sidransky D. (Eds.): World Health Organization. Classification of Tumours. Pathology and Genetics of Head and Neck Tumours. IARC Press: Lyon 2005; 10:324-325

  17. Murphey M,Nomikos J,FlemmingD,GannonF,Temple H, Kransdorf M. Imaging of Giant Cell Tumor and Giant Cell Reparative Granuloma of Bone: Radiologic-Pathologic Correlation. From the Archives of the AFIP 2001; 21:1283-309.

  18. Cossío I, Martínez de Fuentes R, Carranza Carranza A, Torres Lagares D, Gutiérrez Pérez J. Recurrent central giant cell granuloma in the mandible: Surgical treatment and dental implant restoration. Med Oral Patol Oral Cir Bucal 2007; 12:229-32.

  19. Uzbek UH, Mushtaq I. Giant Cell Granuloma of the Maxilla. J Ayub Med Coll Abbottabad 2007; 19(3)

  20. Waldron CA, Shafer WG: The central giant cell reparative granuloma of the jaws. Am J Clin Pathol. 1966; 45(4):437-447.

  21. Shafer WG, Hine MK, Levy BM, Editor. A Text Book of Oral pathology. Igaku-Shoin: WB Saunders Company. 1983; 146-149.

  22. Soames JV, Southam JC, Oral Pathology, 3rd edn, Oxford University Press. 1998; 312-131.

  23. Schajowicz F. Tumores y Lesiones Seudotumorales de Huesos y Articulaciones. Ed. Med. Panamericana. 1982; 215-252

  24. Cawson RA, Odell EW, Cawson's Essentials of Oral Medicine and Pathology, 7th ed, Churchill Livingstone. 2002; 135-136.

  25. Bataineh AB, Al-Khateeb T. Rawashdeh MA. The surgical treatment of central giant cell granuloma of the mandible, J Oral Maxillofac Surg. 2002; 60(7):756-61.

  26. Metgudmath RB, Metgudmath AR, Patil SY, Sinha M. Dilemma in the management of central giant cell granuloma of maxilla. J Sci Soc 2013; 40:41-43.