Casos Clínicos
Adenoma Pleomórfico de paladar en un paciente joven - Reporte de caso
Recibido para Arbitraje: 21/04/2014
Aceptado para Publicación: 25/07/2014Albarrán, G., Profesora Instructora de la Cátedra de Anestesiología y Cirugía Estomatológica. Facultad de Odontología, Universidad de Los Andes, Venezuela. Felzani, R., Profesor Agregado de la Cátedra de Anestesiología y Cirugía Estomatológica, Universidad de Los Andes, Venezuela
CORRESPONDENCIA: [email protected]
ADENOMA PLEOMÓRFICO DE PALADAR EN UN PACIENTE JOVEN - REPORTE DE CASO
RESUMEN El Adenoma Pleomórfico (AP) es el tumor benigno más común de la glándula parótida, aunque se presenta frecuentemente en glándulas salivales mayores, puede encontrarse en glándulas salivales menores del paladar y del labio, siendo infrecuente en pacientes jóvenes; se detecta en muchos casos como un hallazgo casual durante el examen clínico odontológico, puede evaluarse a través de diferentes estudios imagenológicos y su diagnóstico definitivo se basa en el análisis histopatológico de la lesión. El tratamiento quirúrgico dependerá de la localización y del tamaño. En pocos casos presenta recidiva y la trasformación maligna es rara, pero es necesario realizar un seguimiento periódico a largo plazo después de su exéresis. A continuación se presenta el caso de un adenoma pleomórfico de glándula salival menor localizado en el paladar duro de una paciente de 16 años de edad, diagnosticado y tratado oportunamente mediante la resección completa con un margen adecuado de tejido sano, con un pronóstico favorable.
PALABRAS CLAVE: adenoma pleomórfico, glándulas salivales menores, paladar duro, paciente joven.
PLEOMORPHIC ADENOMA OF THE PALATE IN A YOUNG PATIENT. CASE REPORT
ABSTRACT The Pleomorphic Adenoma (PA) is the most common benign tumor of salivary glands, although frequently in major salivary glands can be found in minor salivary glands of the palate and lip, are uncommon in young patients; often detected as an incidental finding during dental clinical, examination can be assessed by different imaging studies and definitive diagnosis is based on histopathological analysis of the lesion. The surgical treatment depends on the location and size. In a few cases presented recurrence and malignant transformation is rare, but it is necessary to regularly monitor long term after excision. A case is reported of pleomorphic adenoma of minor salivary gland located in the hard palate in a 16 year old girl, diagnosed and treated by complete resection with an adequate margin of healthy tissue, with a favorable prognosis.
KEY WORDS: pleomorphic adenoma, minor salivary glands, hard palate, young patient. |
INTRODUCCIÓNLas neoplasias de las glándulas salivales representan aproximadamente el 3% de todos los tumores de cabeza y cuello en adultos, y el 8% en niños, siendo en su mayoría de origen benigno. Entre ellas, la más frecuente es el adenoma pleomórfico (entre el 40% y 70%), su principal localización es la glándula parótida; pero puede afectar también a las glándulas salivales menores un 6%, siendo en el paladar la ubicación de mayor frecuencia con el 50% de los casos, y en menor proporción en labios, lengua, faringe y zona retro molar. Esta lesión tumoral puede aparecer a cualquier edad teniendo mayor prevalencia entre la cuarta y sexta década de la vida, y es más frecuente en mujeres
1-6.
El adenoma pleomórfico se aprecia como una lesión tumoral única, redondeada, indolora y firme a la palpación, de crecimiento lento, sin alteraciones en la mucosa que lo recubre, generalmente bien delimitado, no infiltrante y encapsulado. Entre los signos sugestivos de malignización figuran: cambio en la velocidad de crecimiento, ulceración no atribuible a un trauma o procedimiento quirúrgico previo, adherencias a planos profundos, dolor y trastornos neurológicos; histológicamente se puede evidenciar entre otros cambios: hialinización, displasia, necrosis, calcificación e invasión
6,7.
Histológicamente muestra una amplia variedad de características, algunos son predominantemente mixoides con un componente epitelial escaso. Otros pueden ser muy celulares con escasas zonas de tejido mixo-condroide
1-13.
Para el estudio preciso de esta neoplasia, pueden ser útiles las siguientes técnicas: la ecografía (ecogenicidad mixta intratumoral), la biopsia por aspiración; la resonancia magnética (RM), esta es una técnica valiosa para determinar la ubicación y extensión de este tumor; la tomografía computarizada, que muestra posibles calcificaciones, evalúa la erosión ósea, el compromiso de estructuras vecinas, así como la localización exacta de la lesión
1-6,8,14,15. Por último, el procedimiento que dará el diagnóstico certero y definitivo será el estudio histopatológico
1-6,8,9,14.
Dependiendo del tamaño y de la localización del adenoma pleomórfico el paciente puede presentar: disnea, disfagia, obstrucción de la vía respiratoria, y apnea obstructiva del sueño. El diagnóstico diferencial es con el adenocarcinoma polimorfo de bajo grado, carcinoma mucoepidermoide, carcinoma quístico adenoideo, linfoma no Hodgkin, paraganglionoma, y neurofibroma
6,8.
El tratamiento de elección para este tumor es fundamentalmente quirúrgico, mediante la exéresis completa. En lesiones pequeñas, bien encapsuladas, la resección tumoral debe asegurar un margen de 1 cm. de tejido sano circundante para prevenir posibles recurrencias locales
1-3,5,10-12. La importancia del adenoma pleomórfico en glándulas salivales menores radica en el hecho de que es más propenso a sufrir una trasformación hacia la malignidad (50%), en tal caso recibe el término de carcinoma ex adenoma pleomórfico, el cual puede desarrollar metástasis
6,9,16. La radioterapia está indicada para los casos de recidivas, y como tratamiento coadyuvante en el postoperatorio para erradicar restos del tumor cuando existen márgenes positivos. También es útil en adenomas pleomórficos de gran tamaño que sean inoperables por su ubicación
9,10,17.
El presente artículo reporta el caso de un adenoma pleomórfico en una paciente joven, señalando los métodos para su identificación y diagnóstico, así como el manejo quirúrgico y pronóstico.
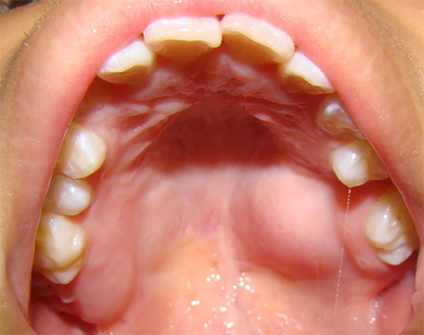
PRESENTACIÓN DEL CASOPaciente de sexo femenino de 16 años de edad, natural y procedente de Ejido, Estado Mérida, quien acudió a la clínica de Cirugía Bucal de la Facultad de Odontología de la Universidad de Los Andes, por presentar una lesión tumoral en el paladar de 3 años de evolución.
A la anamnesis no refirió antecedentes médicos personales ni familiares de importancia. Al examen clínico extraoral se apreció simetría facial, sin adenopatías cervicales palpables. En la exploración intraoral presentó una lesión en el lado izquierdo de la bóveda palatina, en la zona molar, de aproximadamente 2 cm. de diámetro, de consistencia firme, bordes definidos, del mismo color de la mucosa, con base amplia, superficie lisa, indolora a la palpación, asintomática, sin desplazamiento, ni hemorragia, la paciente no refirió disfagia, odinofagia ni disnea (Figura 1).
 |
Figura 1
Lesión única en paladar cubierta por mucosa sana. Fuente propia |
Ante estos hallazgos se decidió realizar una punción por aspiración con aguja fina (PAAF), siendo negativo para contenido liquido. Adicionalmente, se solicitó una tomografía computarizada con contraste del maxilar, que reportó a nivel de la bóveda palatina del lado izquierdo una zona hipodensa de 1.59 cm. por 1.56 cm. en sentido axial y de 1.24 cm. por 1.33 cm. en sentido sagital, compatible con una lesión tumoral que comprime y adelgaza el tejido óseo del maxilar en relación con la parte anterior de la apófisis pterigoides (Figura 2). Por lo tanto, se decide programar para una biopsia excisional.
 |
Figura 2
Tomografía Computarizada con contraste. A. Corte axial: masa hipodensa en maxilar lado izquierdo. B. Corte sagital: adelgazamiento en zona posterior de bóveda palatina. C. Corte coronal: masa hipodensa en el lado izquierdo de la orofaringe. D. Reconstrucción 3D. |
Bajo anestesia local, se realizó una incisión lineal en sentido posteroanterior en la parte más prominente de la lesión, seguidamente se procedió a realizar la disección quirúrgica y de esta forma facilitar la exéresis total, de igual manera se eliminó el tejido mucoperióstico circundante compatible con la pseudocápsula de la lesión, posteriormente se realizó el curetaje de la cavidad ósea y la eliminación de los bordes quirúrgicos de la incisión, así como de la mucosa que recubría la lesión, por último se suturó con puntos separados y se colocó un apósito de cemento periodontal.
La pieza quirúrgica obtenida fue de 1.8 cm. de diámetro (Figura 3), de consistencia firme. La muestra tomada se envió para su análisis histopatológico, que reportó neoplasia benigna de origen mixto, epitelial y mesenquimático, compuesto por estructuras tubulares y acinares, revestidos por epitelio cúbico simple y células mioepiteliales, se identificaron zonas de franca diferenciación hacia cartílago hialino y trabéculas óseas, así como pequeñas estructuras de aspecto glandular (Figura 4), confirmando el diagnóstico clínico de adenoma pleomórfico o tumor mixto benigno de glándula salivar menor.
 |
Figura 3
A: Exéresis de la lesión. B: Muestra obtenida para su estudio histopatológico |
 |
Figura 4
Preparado histológico de la muestra |
En el período postoperatorio no hubo complicaciones, se realizaron controles a los 8 y 15 días, y a los 3 meses, donde se apreció una evolución favorable de la paciente (Figura 5).
 |
Figura 5
Posoperatorio a los tres meses |
DISCUSIÓNLos tumores de las glándulas salivales generalmente son detectados durante el examen clínico rutinario. Se presentan como una masa asintomática, pudiendo aumentar progresivamente de tamaño hasta provocar disfagia, molestias o asimetrías. La ubicación más frecuente de los adenomas pleomórficos en las glándulas salivales menores es en el paladar duro. En concordancia a lo reportado por varios autores, en este caso la neoplasia tuvo lugar en la bóveda palatina, caracterizándose por ser una lesión única, bien delimitada, circunscrita, indolora, firme y cubierta por mucosa intacta
1-6,8-11,18.
Según algunos autores, la edad en que se presenta el adenoma pleomórfico con mayor frecuencia es entre los 30 y 60 años
1-9,11-14,18,19. Pocos adenomas pleomórficos en pacientes adolecentes han sido reportados en la literatura, algunos autores han mencionado estos casos sin especificar la edad del paciente, la localización o detalles clínicos. Esta lesión se presentó en una paciente de 16 años, coincidiendo sólo con seis casos que reportan adenomas pleomórficos en pacientes menores de 18 años
5,10.
En cuanto al género, hay relación con lo citado en la literatura, donde se afirma que esta lesión es más común en mujeres, con un 60% de los casos
1-11,14,18.
Ciertas publicaciones coinciden en señalar que es esencial la evaluación preoperatoria del adenoma pleomórfico a través de estudios imagenológicos como la resonancia magnética y la tomografía computarizada simple, con medio de contraste y la tomografía computarizada por emisión de positrones
1-11,18. Para instancias de este caso se realizó la tomografía con contraste del maxilar con reconstrucción en tres dimensiones del área afectada (Figura 2), resultando de gran utilidad para establecer la localización y la extensión precisa de la neoplasia, identificar la relación con estructuras anatómicas, así como para determinar si existía erosión o perforación ósea, y de esta manera orientar el manejo quirúrgico.
El tratamiento indicado para el adenoma pleomórfico es básicamente quirúrgico, tanto en pacientes jóvenes como en adultos
1-8,10-14. Se recomienda la escisión amplia, con la extirpación mucoperióstica y del hueso palatino si está involucrado, aunque algunos autores describen solamente el curetaje superficial del tejido óseo circundante a la lesión, por posible presencia de restos de adenoma pleomórfico en la superficie ósea, más no por la infiltración en el hueso
11,14. Por otra parte, se sugiere la resección tumoral con un margen de seguridad de tejido sano circundante de 2 a 3 mm. para prevenir posibles recurrencias locales
9,14. Sustentado en la literatura, en el procedimiento quirúrgico que se llevo a cabo, se realizó la exéresis de la lesión, con la eliminación de tejido mucoperióstico adyacente a la misma, con curetaje de la cavidad ósea y eliminación de la mucosa que recubría la tumoración. Por observarse una lesión bien delimitada, sin infiltración, no se eliminó tejido óseo circundante, ni se indicó radioterapia posterior a la cirugía.
En relación al componente histológico señalado en la literatura consultada, el adenoma pleomórfico se caracteriza por la proliferación de células ductales y mioepiteliales
1-9,13,19. Elementos que coinciden con el resultado develado en el análisis histopatológico de la muestra obtenida en este procedimiento, confirmando el diagnóstico inicial de neoplasia benigna de glándula salival.
Con respecto a la recurrencia de esta patología en la región palatina, se describe entre 2% y 50% de los casos. A pesar de ser una neoplasia benigna tiene un comportamiento localmente agresivo, con recidivas que pueden presentarse hasta 10 años posteriores al tratamiento quirúrgico
2,3,5. Existe en la literatura el reporte de un caso donde se muestra recurrencia de un adenoma pleomórfico 25 años después de su aparición inicial
12. Otros autores señalan que tienen una baja tasa de recidiva
14.
La trasformación maligna de esta neoplasia es mayor en lesiones que han presentado múltiples recurrencias locales, además el riesgo se incrementa según la duración del tumor, con 1,6% en lesiones de menos de 5 años, hasta un 9,5% después de los 15 años
20. El componente maligno involucra adenocarcinomas pobremente diferenciado, carcinomas indiferenciados, y en menor frecuencia osteosarcomas, fibrosarcomas y condrosarcomas
20. Existe una publicación que reporta 38 casos de carcinomas que fueron inicialmente adenomas pleomórficos de glándulas salivales, de los cuales sólo 2 casos correspondían a AP de glándulas salivales menores en el paladar, como se indicó previamente parece que la longevidad y la recurrencia de estas lesiones son factores de riesgos para la malignización
18. Tomando en cuenta que el presente caso tuvo lugar en una paciente de 16 años de edad, tratándose de una tumoración bien delimitada, de evolución lenta, y sin indicios clínicos, imagenológicos e histológicos de malignidad, se considera de pronóstico favorable con bajas probabilidades de recidivas y de transformaciones malignas. No obstante, es necesario el seguimiento postoperatorio a largo plazo para detectar recidivas y evitar su progresión.
En conclusión, la detección oportuna y el diagnóstico preciso de este tipo de lesión a través de un correcto examen clínico y pruebas paraclínicas, permitirá establecer el tratamiento quirúrgico oportuno para reducir las posibles complicaciones asociadas a esta neoplasia. Por lo tanto, el odontólogo general juega un papel fundamental en el reconocimiento precoz de esta patología, que generalmente se presenta como hallazgo casual en la consulta, y poder orientar al paciente para el adecuado manejo por parte del especialista.
REFERENCIAS BIBLIOGRÁFICAS
- Gallana S., Mayorga F., Herce J., Díaz M. Adenoma pleomórfico intraoral. Rev Esp Cirug Oral y Maxilofac. (2006); 28 (1): 63-66.
- Bouguacha L., Kermani M., Abdelkaf M., Hasni I., Khaireddine N., Zeglaoui I., Hariga I., Ben M., Belcadhi M., Bouzouita K. Adenome pleomorphe des glandes salivaires accessoires. J TUN ORL. (2010); 24: 35-39.
- Verneta C., García F., Ramírez J., Orts M., Morant A., Algarra J. Giant pleomorphic adenoma of minor salivary gland. Transoral resection. Rev Esp Cir Oral y Maxilofac. (2008); 30 (3): 201-04.
- Gassab E., Berkaoui A., Kedous S., Korbi A., Khaireddine N., Harrathi K., Moussa A., El Kadhi F., Koubaa J., Gassab A. Adenome pleomorphe a localisation extra parotidienne. J TUN ORL. (2009); 22: 36-39.
- Jorge J., Pires F., Alves F., Perez D., Kowalski L., López M., Almeida O. Juvenile intraoral pleomorphic adenoma: report of five cases and review of the literature. Int. J. Oral Maxillofac. Surg. (2002); 31: 273-75.
- Marx, Robert E: Oral and Maxillofacial Pathology. USA, Quintessence Publishing. 2003.
- Raspall G: Cirugía Maxilofacial. España, Editorial Médica Panamericana. 2002.
- Ravi K., Lingama B., Ahmed A., Daghir B., Ezra Nigar C., Syeda A., Abbas D., Mahesh K. Pleomorphic adenoma (benign mixed tumour) of the salivary glands: its diverse clinical, radiological, and histopathological presentation. British Journal of Oral and Maxillofacial Surgery. (2011); 49: 14-20.
- Sakaki H., Satoh H., Kobayashi W., Narita K., Asano T., Kimura H. Pleomorphic Adenoma of the Palate Detected by Positron Emission Tomography/Computed Tomography Screening Case Report. Asian J Oral Maxillofac Surg. (2008); 20: 97-101.
- Sánchez E., Revelles H., Vedia J. Adenoma Pleomórfico gigante del paladar. Hospital de Antequera. Málaga. (2008) [citado: 2014 Ene 15]. Disponible en: www.orl.biofonia.com
- De Courten A., Lombardi T., Samson J. Pleomorphic adenoma of the palate in a child: 9-year follow-up. Int. J. Oral Maxillofac. Surg. (1996); 25: 293-95.
- Parkins G., Owusu M. Tumours of the Salivary Gland in Ghana. Asian J Oral Maxillofac Surg. (2009); 21: 96-100.
- Pérez L., Yoris O., Molina C., Castro B. Adenoma pleomorfo benigno contralateral en glándulas parotida y submandibular. Reporte de un caso. Acta odontol. venez v. (2007); 45 (1).
- Pedemonte C., Basili A., Montero S. Adenoma Pleomórfico de Glándulas Salivales Menores. Revista Dental de Chile. (2003); 94 (3): 18-21.
- Sasaki T., Imai Y., Iwase H., Takimoto T. Case report. Massive tumour arising from the hard palate after excision of a pleomorphic adenoma. British Journal of Oral and Maxillofacial Surgery. (2003); 41: 360-62.
- Sahoo N., Rangan M., Gadad R. Pleomorphic adenoma palate: Major tumor in a minor gland. Annals of Maxillofacial Surgery. (2013); 3 (2): 195-97.
- Chen H., 1, Lee L., Chin S., Chen I., Liao C., Huang S. Case report Carcinoma ex pleomorphic adenoma of soft palate with cavernous sinus invasion. Chen et al. World Journal of Surgical Oncology. (2010); 8: 24.
- Mariano F., Noronha A., Gondak R., Altemani M., de Almeida O., Koealski L. Carcinoma ex pleomorphic adenoma in a Brazilian population: clinico-pathological analysis of 38 cases. Int. J. Oral Maxillofac. Surg. (2013); 42: 685-92.
- Garcia L., Chamorro M. Adenoma pleomórfico en espacio parafaríngeo. Extirpación a través de abordaje transoral. Rev Esp Cir Oral y Maxilofac. (2005); 27 (1): 43-6.
- Fung k., Diaz E., El-Naggar A., MD, Luna, M. Malignant Rhabdoid Tumor Arising From a Pleomorphic Adenoma. Ann Diagn Pathol (2004); 8: 156-161.
|