Casos Clínicos

Quiste de erupción en dentición mixta: reporte de caso con nueve meses de seguimiento

González-Carfora1, A. Teixeira, V.1, Martínez, M. G.2

Resumen

El quiste de erupción es una forma de quiste benigno del tejido blando que acompaña la erupción de un diente primario o permanente, siendo un análogo del quiste dentígero pero reconocido como una entidad clínica diferente. Afecta, en la mayoría de los casos, a pacientes en la primera y segunda década de vida, con un rango de edad entre los 6 – 9 años. Generalmente, remite espontáneamente a menos que se encuentren signos y síntomas de infección, en donde se debe realizar la intervención quirúrgica. Se presenta un caso de paciente masculino, de 7 años de edad, con diagnóstico de quiste de erupción en maxilar, asociado a la retención prolongada del diente 5.1. El tratamiento consistió, en la exodoncia del diente primario y el drenaje de la lesión. En los nueve meses posteriores, se observó la emergencia del diente sucesor (1.1) a la cavidad bucal.

Palabras clave: quiste de erupción, quiste benigno, dentición mixta.


Case Report

Eruption cyst: case report. A nine months follow up

Abstract

The eruption cyst is a benign cyst form of soft tissue that accompanies the eruption of a primary or permanent tooth, being an analog of dentigerous cyst but recognized as a distinct clinical entity. Affects patients in the first and second decade of life, ranging in age from 6-9 years. Generally, self-limiting unless signs and symptoms of infection, where they must perform surgery. A case of male patient, 7 years old, diagnosed with maxillary eruption cyst associated with prolonged retention of 5.1 is presented. Treatment consisted in extraction of the primary tooth and the drainage of the lesion. In the following nine months, the emergence of successor tooth (1.1) to the oral cavity was observed.

Key words: eruption cyst, benign cyst, mixed dentition.


  1. Residentes del Postgrado de Odontopediatría de la Facultad de Odontología de la Universidad Central de Venezuela
  2. Profesor del Departamento de Odontopediatría y Ortodoncia Facultad de Odontología. Universidad Central de Venezuela
  3. Correspondencia: [email protected]

Introducción

El quiste de erupción es definido como un quiste odontogénico con características histológicas de quiste dentígero, que rodea la corona de un diente que ha erupcionado a través del hueso mas no a través del tejido blando. De hecho, el quiste de erupción es un quiste dentígero que ocurre en los tejidos blandos1, 2 y de acuerdo con la actual clasificación de la Organización Mundial de la Salud (OMS) de los quistes epiteliales, el quiste de erupción es una entidad separada3. Es decir, mientras el quiste dentígero se desarrolla alrededor de la corona de un diente no erupcionado (dentro de las tablas óseas), el quiste de erupción ocurre cuando está impedida la emergencia del diente dentro de los tejidos blandos que recubren al hueso4.

La etiología exacta del quiste de erupción aún no está bien definida. Según Aguiló y cols. 5 citado por Dhawan y cols.6, exponen que la caries temprana, el trauma, la infección y la falta de espacio para la emergencia, pueden ser posibles factores de riesgo. Está reportado que el efecto de ciertas drogas como la ciclosporina al momento de la erupción dentaria puede causar quiste de erupción3.

Existen múltiples teorías que tratan de explicar su fisiopatología concluyendo que surge a partir de la separación del epitelio del esmalte de la corona del diente debido a una acumulación de líquidos o sangre en el espacio folicular dilatado7.

Su prevalencia es bastante baja y esto puede deberse a que la mayoría remite de forma espontánea1. Usualmente, se evidencia entre la primera y segunda década, frecuentemente en el rango de edad de 6 a 9 años (primera fase de la dentición mixta). Se presenta con mayor frecuencia del lado derecho del maxilar, asociado a la erupción de incisivos y molares, siendo más predominante en hombres que en mujeres1, 3, 5. Según la literatura consultada, es más prevalente en la raza caucásica1, 7, 8.

Características clínicas

La lesión aparece como un aumento de tamaño no doloroso, de forma circular y circunscrita, fluctuante a la palpación, localizado sobre el sitio de erupción. En aquellos casos donde el contenido del quiste es sangre, este adquiere una coloración que puede ir desde el transparente, azul o violáceo3, 9. El tamaño varía si se asocia con el diente primario o permanente y el número de dientes implicados. Por lo general miden 1 x 1 centímetro de diámetro y pueden estar presentes de forma bilateral o unilateral3

Características radiográficas

El diagnóstico radiográfico es complicado. Distinguir el espacio quístico del quiste es difícil ya que tanto el quiste como el diente están ubicados en el tejido blando de la cresta alveolar sin estar involucrado el hueso, lo que ocasiona una falta de contraste de las imágenes radiográficas1.

Histopatología

El quiste de erupción presenta las mismas características histopatológicas que el quiste dentígero1 en el cual, el tejido conectivo fibroso de la pared del quiste está cubierto por epitelio plano estratificado de pocas capas de células y sin queratinización. El estroma se compone de tejido conjuntivo fibroso formado por fibroblastos, fibrocitos, fibras colágenas, reticulares y elásticas, células inflamatorias crónicas tipo linfocitos y plasmocitos, así mismo se observan vasos sanguíneos delineados por células endoteliales, algunos de ellos se pueden ver pletóricos de eritrocitos10. Existen dificultades para realizar el estudio histopatológico de la lesión porque la gran mayoría involuciona espontáneamente y también, porque las características clínicas y radiográficas orientan, en la mayoría de los casos, en el diagnóstico definitivo11, 12.

Reporte de caso

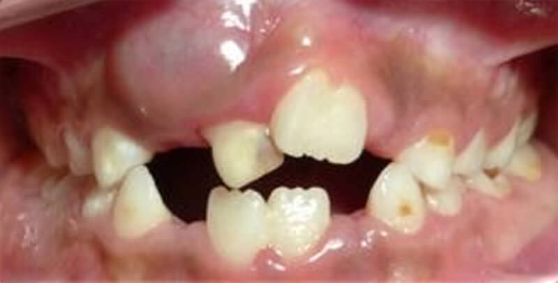
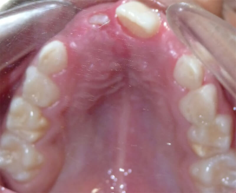
Se presenta a consulta paciente masculino de 7 años de edad, natural y procedente de Caracas, quien es referido al Postgrado de Odontopediatría de la Facultad de Odontología de la Universidad Central de Venezuela, Caracas, por comportamiento aprehensivo en las consultas odontológicas previas. Su representante refiere que el paciente presenta un aumento de volumen en la zona anterior desde hace tres meses aproximadamente. Al momento del interrogatorio, el paciente no presento historia de trauma o infección, siendo un paciente aparentemente sano a nivel sistémico. Al examen clínico intraoral se observa, lesión tumoral de aproximadamente 1 centímetro de diámetro, localizada en zona anterosuperior del maxilar, del lado derecho, asociada al diente 5.1, de superficie lisa y brillante, de coloración ligeramente violácea, con base de implantación sésil, fluctuante a la palpación, no dolorosa y sin exudado. De igual forma, se observan múltiples lesiones cariosas cavitadas activas,

presentando el diente 5.1 una lesión de caries activa cavitada en superficie proximal mesial con movilidad grado II. (Imagen 1,2,3). Por otra parte, el paciente presenta mordida abierta anterior y apiñamiento anteroinferior moderado.

Imagen 1: Fotografía intraoral frontal
Imagen 1: Fotografía intraoral frontal
Imagen 2: Fotografía intraoral oclusal superior
Imagen 2: Fotografía intraoral oclusal superior
Imagen 3: Fotografía intraoral lateral derecha
Imagen 3: Fotografía intraoral lateral derecha

Al examen radiográfico, se observa resorción fisiológica correspondiente del 5.1 de más de 2/3 de la raíz. Seguidamente, se observa la corona del incisivo sucesor (1.1) con un tercio de

Al examen radiográfico, se observa resorción fisiológica correspondiente del 5.1 de más de 2/3 de la raíz. Seguidamente, se observa la corona del incisivo sucesor (1.1) con un tercio deformación radicular. Es importante mencionar, que ni en la radiografía panorámica ni la radiografía intraoral oclusal total superior se observan evidencias de imágenes radiográficas presuntivas de quiste. (Imagen 4,5)

Imagen 4: :Radiografía Panorámica superior
Imagen 4: :Radiografía Panorámica superior
Imagen 5: Radiografía intraoral oclusal
Imagen 5: Radiografía intraoral oclusal

Posteriormente, se realiza interconsulta con el servicio de Medicina Estomatológica de la Facultad de Odontología de la U.C.V., confirmando el diagnóstico presuntivo de quiste de erupción y recomendando la exodoncia del 5.1 con el drenaje de la lesión. Se realizó la exodoncia simple, previa adaptación del paciente bajo la técnica decir-mostrar-hacer y utilizando, estabilización protectora (abrebocas). Para la realización del procedimiento quirúrgico se colocó anestesia intrapapilar con lidocaína al 2% y posterior a la exodoncia, se realizó presión digital sobre la lesión para realizar su drenaje, posteriormente se dieron las indicaciones postoperatorias (verbales y escritas) tanto al representante como al paciente. Una semana después, se realiza control clínico (Imagen 6,7) y radiográfico (Imagen 8), observando normalidad en el proceso de cicatrización.

Imagen 6: Fotografía intraoral frontal postoperatoria
Imagen 6: Fotografía intraoral frontal postoperatoria
Imagen 7: Fotografía intraoral oclusal superior postoperatoria
Imagen 7: Fotografía intraoral oclusal superior postoperatoria
Imagen 8: Radiografía intraoral oclusal total superior postoperatoria
Imagen 8: Radiografía intraoral oclusal total superior postoperatoria

A los tres meses del primer control postoperatorio, se comienza a observar la emergencia del ángulo inciso-mesial del 1.1 a la cavidad bucal, con evidencia de total normalidad en la encía adherida de la zona (Imagen 9,10, 11). Durante los 6 meses posteriores, se continúa trabajando en la adaptación del paciente mientras se realizan tratamientos preventivos, restauradores, quirúrgicos y ortodóncicos. En este momento se observa aproximadamente el 50% del borde incisal del 1.1 (Imagen 12, 13, 14). A los 9 meses, se observa la erupción del 1.1. (Imagen, 15,16)

Imagen 9: Fotografía intraoral frontal, a los tres meses
Imagen 9: Fotografía intraoral frontal, a los tres meses
Imagen 10: Fotografía radiografía intraoral oclusal superior, a los tres meses
Imagen 10: Fotografía radiografía intraoral oclusal superior, a los tres meses
Imagen 11: Radiografía intraoral oclusal total superior, a los tres meses
Imagen 11: Radiografía intraoral oclusal total superior, a los tres meses
Imagen 12: Fotografía intraoral frontal, a los seis meses
Imagen 12: Fotografía intraoral frontal, a los seis meses
Imagen 13: Fotografía intraoral oclusal superior, a los seis meses
Imagen 13: Fotografía intraoral oclusal superior, a los seis meses
Imagen 14: Fotografía intraoral lateral derecha, a los seis meses
Imagen 14: Fotografía intraoral lateral derecha, a los seis meses
Imagen 15: Fotografía intraoral frontal luego de 9 meses
Imagen 15: Fotografía intraoral frontal luego de 9 meses
Imagen 16: Fotografía intraoral oclusal superior luego de 9 meses
Imagen 16: Fotografía intraoral oclusal superior luego de 9 meses

Discusión

El quiste de erupción se produce cuando está impedida la emergencia de un diente dentro de los tejidos blandos que recubren al hueso3. Según Singh y cols.13 esta entidad afecta con mayor frecuencia a la raza caucásica, lo cual difiere con el caso presentando ya que el paciente es descendiente de la raza afro-venezolana. Este caso coincide con la epidemiología presentada por Singh y cols.13, Shah y cols.11 y Nagaveni y cols.12 donde afecta con mayor frecuencia al género masculino, con un rango de edad entre los 6 y 9 años, coincidiendo con la primera fase de la dentición mixta.

Nagaveni y cols.12 sugieren que la mayoría de los quistes de erupción aparecen en el área incisiva y molar, seguida del área canina y premolar. Sin embargo, la preferencia por el área incisal sobre el área molar es de 2:1, pudiendo ser explicado por el mayor grado de visibilidad del área incisal, lo que puede conllevar a la visita al Odontopediatra.

Como la mayoría de los quistes de erupción están expuestos al trauma ocasionado por la masticación, el quiste se rompe espontáneamente permitiendo la erupción del diente. Generalmente, son indoloros a menos que se infecte13. Por otra parte, como la mayoría de los quistes son benignos, solo se han publicado pocos estudios donde los autores han realizado biopsias para la obtención del diagnóstico definitivo12.

Los diagnósticos diferenciales de esta entidad pueden ser comparados con el tatuaje de amalgama, el hematoma de erupción, granuloma piogénico12, 13. En relación al tratamiento de los quistes de erupción, se tiene que la mayoría se resuelve de forma espontánea. Se indica su intervención quirúrgica cuando se lesionan por trauma, cuando presentan exudado hemorrágico o purulento1, 8. En la actualidad, existe un novedoso tratamiento sugerido por Boj y cols.7 quienes proponen el uso del láser de Er, Cr-YSGG como una excelente herramienta, ya que elimina el uso de la anestesia local gracias al bloqueo de la bomba sodio/potasio en la conducción del impulso nervioso.

En el presente reporte de caso, el tratamiento del quiste de erupción fue la exodoncia del diente primario al cual se encontraba asociada la lesión y el drenaje de la misma, a través de presión digital.

Conclusiones

  • El quiste de erupción es una lesión benigna que aparece en la mucosa bucal previo a la erupción de un diente primario o permanente.
  • El quiste de erupción puede alterar la erupción de los dientes permanentes sobre todo en aquellos pacientes en la primera fase de la dentición mixta.
  • El diagnóstico temprano y el adecuado tratamiento permite devolverle al paciente pediátrico la salud bucal, su función y la estética.

Referencias bibliográficas

  1. RA A. Eruption cyst: A retrograde study. J Dent Child. 1900; 57.
  2. Neville DAB. Oral and Maxillofacial Pathology. Tercera ed. Elsevier S, editor. St. Louis, Missouri; 2009.
  3. Chandan G,SG,PS,BN. Bilateral eruption cyst associated with primary molars in both the jaws. BMJ Casa Reports. 2014.
  4. Shafer HL. Shafer's Textbook of Oral Pathology. Sexta ed. Nodia: Elsevier; 2009.
  5. Aguilo L,CR,BJ,GJ. Eruption cysts: Retrospective clinical study of 36 cases. J Dent Child. 1998; 65.
  6. Dhawan p,GK,SC,SA. Eruption cyst: A series of two cases. Dent Res J. 2012; 9(5).
  7. Boj J,CGF. Multiple erupcion cyst: Report of case. J Dent Child. 2000; 67.
  8. Bodner L. Cystic lesions of the jaws in children. Int J Pediatr Otorhinolaryngol. 2002; 62.
  9. Mc Donald R,AD,DJ. Dentistry for child and adolescent. 8th ed. St Louis, Missouri: Elsevier; 2004.
  10. Bhriti D,BD,TY. Erupting eith an Era: A case Report. Sch J Med Case Rep. 2014; 2(10).
  11. Nagaveni N,UK,RN,MT. Eruption cyst: A literature review and four case reports. Indian Journal of Dental Research. 2011; 22(1).
  12. Baljeet S,PB,GS. Presentation of two simultaneous eruption cysts haematomas in relation with two adjacent permanent teeth, causing tomout scare. Indian journal of Dental Sciences. 2011; 3(3).
  13. L B. Cystic lesions of the jaws in children. Int J Pediatr Otorhinolaryngol. 2002; 62.
  14. Vinod C,GK. Eruption Cyst: Can be treated with diode lasers. Journal of Dental Lasers. 2012; 6(2).
  15. Shear. Cyst of the oral regions. Tercera ed.: Blackwell; 2007.