Casos Clínicos

Odontoma complejo fusionado a tercer molar superior. Reporte de caso

Recibido para Arbitraje: 25/10/2016
Aceptado para Publicación: 12/12/2016

Márquez-Gámez J.D.1, Soteldo G.1, Mujica R.1, González L.1, Albornoz E.2

Resumen

INTRODUCCIÓN: El término "odontoma" fue introducido en 1867 por Broca, es el tumor más común de los tumores odontogénicos, consiste en una anomalía de desarrollo resultante del crecimiento de epitelio completamente diferenciado y células mesenquimales, que se encuentran en el área del cuerpo donde se presenta su crecimiento, razón por la cual se les considera como hamartomas y no como neoplasias. La Organización Mundial de la Salud (OMS) plantea la clasificación en tipo compuesto y complejo. El odontoma complejo consiste en una masa conglomerada de esmalte, dentina, cemento y pulpa que no guarda relación con la anatomía de un diente. REPORTE DE CASO: El presente caso se trata de un paciente masculino de 22 años de edad, natural y procedente de caracas, que acude a consulta referido para evaluación y tratamiento de terceros molares. Al examen clínico intrabucal, presenta aumento de volumen en zona distal del segundo molar superior derecho. Al examen radiográfico, se presenta una imagen radiopaca compatible con estructura dentaria del tercer molar superior derecho, asociado a una imagen radiopaca de bordes definidos en cercanía con la cortical del seno maxilar. Se realizó tomografía computarizada con cortes axiales y coronales, donde se observó una imagen hiperdensa asociada al tercer molar superior derecho, en íntima relación con el seno maxilar. Se procede a realizar biopsia excisional de la lesión y odontectomia. DISCUSIÓN: Diversos autores reportan que el odontoma complejo se localiza en zona mandibular posterior, en el presente caso se ubica en zona maxilar posterior, siendo una ubicación poco usual, al igual que existen pocos casos que reportan la fusión con estructuras dentarias. CONCLUSIÓN: El odontoma complejo fusionado a un tercer molar superior es una variantes de este tumor poco frecuente, por lo que se pone en manifiesto la importancia de contar con un correcto estudio imagenológico previo antes de realizar cualquier tratamiento.

Palabras clave: Odontoma compuesto, tercer molar, maxilar.


Case Report

Complex odontoma fusioned to third superior molar.case report

Abstract

INTRODUCTION: The term "odontoma" was introduced in 1867 by Broca, is the most common tumor of odontogenic tumors, consisting of an abnormal development resulting from the fully differentiated growth of fully differentiated epithelial and mesenchymal cells found in the body area where they grow, reason why they are considered as hamartomas and not as neoplasms. The World Health Organization (WHO) raised the classification of compound type and complex. The complex odontoma is a conglomerate mass of enamel, dentin, cementum and pulp that is unrelated with the anatomy of a tooth. CASE REPORT: This case involves a male patient of 22 years old, born and raised in Caracas, who comes referred for third molar assessment and treatment. The intraoral clinical examination, presented increased volume in distal region of the second upper right molar. At the radiographic examination, there’s evidence of a compatible image with radiopaque tooth structure of the third upper right molar associated with a radiopaque edge image defined in proximity to the cortical sinus is presented. CT scan was performed with axial and coronal sections, where a hyperdense image associated with the third upper right molar, closely related to the maxillary sinus was observed. It proceeds to excisional biopsy of the lesion and odontectomy. DISCUSSION: Several authors report that the complex odontoma is located at mandibular posterior area, in this case it is located in posterior maxilla, with an unusual location, as there are few reported cases merging with dental structures. CONCLUSION: The complex odontoma fused to a third upper molar is a variant of this rare tumor, which increases the importance of the right imaging study before any treatment.

Key words: Odontoma compound, third molar, jaw.


  1. Residente de segundo año, Postgrado de Cirugía Bucal, Facultad de Odontología, Universidad Central de Venezuela, Caracas.
  2. Coordinadora Académica del Postgrado de Cirugía Bucal, Facultad de Odontología, Universidad Central de Venezuela, Caracas.
  3. Correspondencia: [email protected]

Introducción

El término "odontoma" fue introducido en 1867 por Broca1-3, es el tumor más común de los tumores odontogenicos1,4,5, de acuerdo con la Organización Mundial de la Salud (OMS)3,6,7, se clasifican histopatológicamente teniendo en cuenta la organización y el grado de alteración en la morfodiferenciación del tejido odontogénico en tipo compuesto y complejo4,7,8. El odontoma complejo consiste en una masa conglomerada de esmalte, dentina, cemento y pulpa dentaria que no guarda relación con la anatomía de un diente1,9,10. Se presenta en pacientes jóvenes entre la primera y segunda década de la vida4,11, existe una ligera predilección por la aparición en los hombres (59%)11,12 y suele presentarse con mayor frecuencia en la zona de segundo y terceros molares inferiores de ambos maxilares. La etiología de odontoma no es clara, sin embargo, se asocia a traumas durante la dentición primaria2,3,7,11,13, infecciones locales3,2 y anomalías hereditarias3,7,14. Clínicamente se presenta asintomático, los signos clínicos más frecuentes son erupción retardada, la persistencia del diente temporal, y la presencia de tumefaccion2,13, en los casos graves, la infección o linfoadenopatías regionales2,15.

Radiográficamente se observa como una zona radiopaca compatible con una masa calcificada de estructura dentaria rodeada de una zona radiolúcida estrecha1,5,7,16. Algunos odontomas se presentan en las raíces de dientes erupcionados1. Histopatológicamente se caracteriza por dentina tubular desorganizada, esmalte calcificado e hipocalcificado, cemento inmaduro y una cápsula de tejido conjuntivo, se dice presenta un desorden en las moléculas extracelulares de la matriz en el mesénquima5,7,17,18,19. El tratamiento consiste en escisión local simple1,7,9, incluyendo enucleación, eliminando la cápsula de tejido conjuntivo que lo rodea4, con pronóstico excelente1.

Reporte del caso

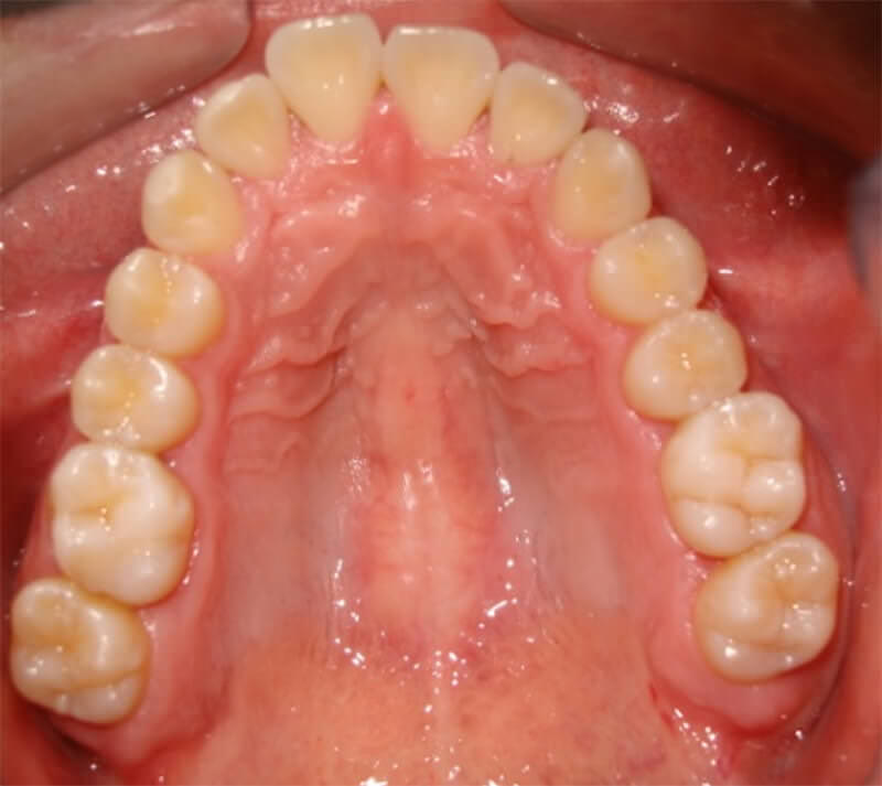
El presente caso se trata de un paciente masculino de 22 años de edad, natural y procedente de Caracas, que acude a consulta referido para evaluación y tratamiento terceros molares. Al examen clínico extrabucal (Figura Nº 1), se presenta sin lesión aparente. Al examen clínico intrabucal, presenta aumento de volumen en zona distal del segundo molar superior derecho (Figura Nº2). Al examen radiográfico, se presenta una imagen radiopaca compatible con estructura dentaria del tercer molar superior derecho, asociado a una imagen radiopaca de bordes definidos de 3 cm de diámetro en cercanía con la cortical del piso del seno maxilar (Figura Nº3). Se realizó tomografía computarizada con cortes axiales, coronales y sagitales, donde se observo una imagen hiperdensa asociada al tercer molar superior derecho, en íntima relación con la cortical del piso del seno maxilar (Figura Nº4). Se procede a realizar biopsia excisional de la lesión y odontectomia de los terceros molares, presentándose como complicación peri-operatoria una comunicación bucosinusal, donde se realiza cierre con colgajo de avance recto (Figura Nº 5, 6, 7). Se realiza un control post-operatorio a los 7 días para retiro de sutura, observándose evolución satisfactoria. Posteriormente, a los 6 meses se realiza un segundo control evidenciándose correcta cicatrización de los tejidos blandos y duros (Figura Nº 8 y 9)

Figura Nº1. Examen clínico extrabucal
Figura Nº1. Examen clínico extrabucal
Cortesía del Ambulatorio Parque deportivo Miranda – Corposalud Miranda.
Figura Nº 2. Examen clínico intrabucal
Figura Nº 2. Examen clínico intrabucal
Cortesía del Ambulatorio Parque deportivo Miranda – Corposalud Miranda
Figura Nº3. Examen radiográfico. Radiografía panorámica
Figura Nº3. Examen radiográfico. Radiografía panorámica
Cortesía del Ambulatorio Parque deportivo Miranda – Corposalud Miranda
Figura Nº4. Tomografía computarizada, corte sagital
Figura Nº4. Tomografía computarizada, corte sagital
Cortesía del Ambulatorio Parque deportivo Miranda – Corposalud Miranda
Figura Nº5. Levantamiento de colgajo mucoperiostico
Figura Nº5. Levantamiento de colgajo mucoperiostico
Cortesía del Ambulatorio Parque deportivo Miranda – Corposalud Miranda
Figura Nº6. Imagen macroscópica de la lesión
Figura Nº6. Imagen macroscópica de la lesión
Cortesía del Ambulatorio Parque deportivo Miranda – Corposalud Miranda
Figura Nº7. Síntesis de los tejido
Figura Nº7. Síntesis de los tejido
Cortesía del Ambulatorio Parque deportivo Miranda – Corposalud Miranda
Figura Nº8. Control post-operatoria 6 meses. Vista oclusal
Figura Nº8. Control post-operatoria 6 meses. Vista oclusal
Cortesía del Ambulatorio Parque deportivo Miranda – Corposalud Miranda
Figura Nº9. Control post-operatoria 6 meses. Vista oclusal
Figura Nº9. Control post-operatoria 6 meses. Vista oclusal
Cortesía del Ambulatorio Parque deportivo Miranda – Corposalud Miranda

Discusión

La fase diagnostica para el odontoma complejo, según Verma et a.l20 es durante la segunda década de la vida, concordando en el presente caso, esto se debe a que la fase de crecimiento activo es durante la formación de la dentición.

El odontoma complejo según Blanco G et al.3, Harris R et al.5, Martínez A et al.9 y Ilief-Ala MA et al.11 se localiza frecuentemente en zona mandibular posterior, en el presente caso se ubica en zona maxilar posterior, siendo una ubicación inusual, sin embargo, clínicamente Verma et al20, Hammoudeh JA et al21 y Blanco G et al.22, establecen que suele presentarse asintomático, en el presente caso tuvo sintomatología y ligero aumento de volumen.

La mayoría de los odontomas complejos según Lehman H et al23 reporta que los descritos en la literatura presentan una medida media alrededor de 1-2 cm, sin embargo, Lee et al24 menciona que los odontomas localizados en el maxilar en región posterior pueden estar asociado o fusionado a un diente no erupcionado y pueden ir desde 1 cm hasta 3-4 cm de diámetro, coincidiendo con el presenta caso donde el tamaño de la lesión fue de 3 cm, Lehman H et al.23 afirma que es importante establecer un diagnostico mediante el examen radiográfico convencional, pero en el presente caso se indicó tomografía computarizada por el gran tamaño y la ubicación inusual de la lesión, debido a que puede ser confundido con otros tumores, como los tumores productores de cemento o algunas lesiones óseas.

El tratamiento consiste en la excisión local de la lesión según Neville BW et al.1, Sreedharan S et al.2, Tekkesin MS et al.7, Martínez A et al.9 y Dagıstan S et al.13, donde indican que se debe eliminar la cápsula de tejido conjuntivo que lo rodea, como se realizó en el presente caso, Talari et al.25 plantea que el odontoma puede estar fusionado a un diente, siendo una variante a considerar.

La presencia de odontomas en maxilar con cercanía al seno maxilar puede causar dolor, asimetría facial y sinusitis crónica, según Gupta M et al.26, aunque en el presente caso el paciente se presentaba asintomático al momento de la consulta, sin embargo, durante excisión de la lesión presento comunicación bucosinusal que fue tratada inmediatamente, esta complicación se reporta por Gupta M et a.l26 que se presenta durante la exposición de la lesión.

Conclusión

El odontoma complejo fusionado a un tercer molar superior es una variante de este tumor poco frecuente, por lo que se pone en manifiesto la importancia de contar con un correcto estudio imagenológico previo antes de realizar cualquier tratamiento, sin embargo el tratamiento es la excisión de la lesión y el pronóstico favorable con poca recidiva.

Referencias bibliográficas

  1. Neville BW, Damm DD, Allen CM, Bouquot JE. Oral and maxillofacial pathology. 2nd ed. Filadelfia: Saunders; 2002.
  2. Sreedharan S, Krishnan IS. Journal of Indian Society of Pedodontics and Preventive Dentistry. 2012; 30(3).
  3. Blanco G, Ballesteros, Goenaga BG, Lozano-Toro F, Pérez L. Chaverra MI. Odontoma compuesto maxilar, reporte de un caso y revisión de la literatura. Acta odontológica venezolana 2011; 49(2).
  4. Philipsen, Richart PA. Revision of the 1992 edition of the WHO histological typing of odontogenic tumors A suggestion. J Oral Pathol Med. 2002; 31: 253–8.
  5. Harris Ricardo J, Rebolledo Cobos M, Díaz Caballero A, Carbonell Muñoz Z. Odontoma serie de casos. Revisión de literatura. Av. Odontoestomatol 2011; 27 (1): 25-32.
  6. Praetorius F, Piatelli A: Odontoma, in Barnes L, Eveson JW, Reichart P, et al (eds): WHO Classification of Tumours. Pathology and Genetics of Head and Neck Tumour (ed 5). Lyon, IARC, 2005: 310.
  7. Tekkesin MS, Pehlivan S, Olgac V, Aksakallı N, Alatlı C. Clinical and Histopathological Investigation of Odontomas: Review of the Literature and Presentation of 160 Cases. American Association of Oral and Maxillofacial Surgeons J Oral Maxillofac Surg 2012; 70:1358-1361.
  8. Da Costa C, Torriani D, Torriani M, da Silva R. Central incisor impacted by an odontoma. J Contemp Dent Pract. 2008; 9(6):122-8.
  9. Martínez Martínez A, Gómez Arcila V, Luján Pardo MP, Flórez de Hoyos L, Díaz Caballero. Enucleación de odontoma compuesto maxilar con regeneración ósea guiada. Avances en odontoestomatología 2013; 29(6).
  10. Yadav M, Godge P,Meghana SM, Kulkarni S. Compound odontoma. Contemp Clin Dent. 2012; 3.
  11. Ilief-Ala MA, Eisenberg E, Mathieu G. Peripheral complex odontoma in a pediatric dental patient: a case report. J Mass Dent Soc 2008; 56(4):24-6.
  12. Syed MR, Meghana SM, Ahmedmujib BR. Bilateral complex odontomas in mandible. J Oral Maxillofac Pathol. 2006;10: 89–91.
  13. Dagıstan S, Goregen M, Miloglu Ö. Compound odontoma associated with maxillary impacted permanent central incisor tooth: A case report. Internet J Dental Sci 2007; 5.
  14. Hidalgo-Sánchez O, Leco-Berrocal MI, Martínez-González JM. Metaanalysis of the epidemiology and clinical manifestations of odontomas. Med Oral Patol Oral Cir Bucal 2008; 13.
  15. Delbem A, Cunha R, Bianco K, Afonso R, Gonçalves T. Odontomas in pediatric dentistry: report of two cases. J Clin Pediatr Dent 2005; 30(2): 157-60.
  16. Amailuk P, Grubor D. Erupted compound odontoma: case report of a 15-year-old Sudanese boy with a history of traditional dental mutilation. Br Dent J 2008 Jan 12; 204 (1):11-4.
  17. Kaplan I, Nicolaou Z, Hatuel D, Calderon S. Solitary central osteoma of the jaws: a diagnostic dilemma. Oral Surg Oral Med Oral Pathol Oral Radiol Endod 2008; 106 (3).
  18. Kannan KS, Ramachandra P, Saravanan R, Karthikeya, Rajvikram. Journal of Clinical and Diagnostic Research. 2013, 7(10): 2406-2407
  19. Da Silva LF, David L, Ribeiro D, Felino A. Odontomas: a clinicopathologic study in a Portuguese population. Quintessence Int 2009; 40(1): 61-72.
  20. Verma S, Arul K, Arul S, Chitra S. Erupted complex odontoma of the posterior maxilla: A rarity. Journal of Natural Science, Biology and Medicine 2015; 6 (1).
  21. Hammoudeh JA, Kleiber GM, Nazarian-Mobin SS, Urata MM. Bilateral complex odontomas: a rare complication of external mandibular distraction in the neonate. J Craniofac Surg. 2009; 20(3):973-976.
  22. Blanco G, Gneco B, Lozano F, Perez S, Chaverra MI. Odontoma compuesto maxilar, reporte de un caso y revision de la literatura. Acta Odontológica Venezolana 2011; 49(2).
  23. Lehman H, Lustmann J, Regev E. Removal of an extensive mandibular odontoma using an intraoral approach. Quintessence International 2013; 44 (6): 425–428.
  24. Lee CH, Park GJ. Complex and compound odontomas are clinico-pathological entities. Basic Appl Pathol 2008; 1(1):30–33.
  25. Talari B, Ananda D, Prince D, Annaporna C, Pranavadhyani. Fusion of complex odontome with permanent mandibular molar. J Pharm Bioallied Sci. 2012; 4(2).
  26. Gupta M, Das D. Extensive Complex Odontoma in the Maxillary Sinus Pushing 3rd Molar Near the Orbital Floor Causing Transient Diplopia and Chronic Sinusitis: A Rare Presentation and Surgical Management. J Maxillofac Oral Surg 2013.