Caso Clínico

Características histopatológicas de la mucosa bucal de pacientes lúpicos

Recibido para arbitraje: 27/06/2017
Aprobado para su publicación: 07/10/2017

Sparice Pulido Estefanía1, Tirado Wirman2, Villarroel Dorrego Mariana3

Resumen

Introducción: Las lesiones bucales son manifestaciones comunes del lupus eritematoso. La evaluación histopatológica e inmunofluorescencia directa son exámenes obligatorios para su diagnóstico, sin embargo, la mucosa oral pudiera estar afectada sin mostrar lesión clínicamente apreciable. Objetivo: El objetivo del presente estudio fue determinar las características histopatológicas de mucosa bucal clínicamente sana de pacientes con lupus eritematoso sistémico. Metodología: Se realizó un estudio observacional transversal. Fueron tomadas biopsias incisionales de la mucosa oral de 20 pacientes, 17 pacientes con diagnóstico de LES y 3 pacientes con diagnóstico de lupus eritematoso cutáneo crónico. Las muestras fueron procesadas para estudio histopatológico con tinciones de H&E y PAS. Las variables fueron analizadas mediante estadística descriptiva. Resultados: Todos los pacientes del estudio fueron del género femenino. El epitelio en el 100% de los pacientes fue paraqueratinizado y la arquitectura epitelial se observaba conservada, sin embargo, en 55% se evidenció acantosis. El engrosamiento de la membrana basal fue observado en 80% de las muestras, 15 de los cuales fueron LES. No se apreció un infiltrado inflamatorio intenso en ninguna de las muestras independientemente de su espectro. 10 pacientes del grupo con diagnóstico LES y 1 con LECC tuvieron un infiltrado inflamatorio leve. Conclusión: Paraqueratosis, acantosis, engrosamiento de la membrana basal y un leve a moderado infiltrado inflamatorio fueron las características observadas en mucosa oral clínicamente sana de pacientes lúpicos.

Palabras clave: lupus eritematoso sistémico, mucosa bucal, histopatología


Case Report

Histopathological characteristics of the oral mucosa in patients with lupus

Abstract

Introduction: Mouth lesions are common manifestations of lupus erythematosus. Histopathological evaluation and direct immunofluorescence are mandatory tests for their diagnosis, however the oral mucosa could be affected without showing clinically appreciable lesion. Objective: The aim of the present study was to determine the histopathological characteristics of clinically healthy oral mucosa in patients with systemic lupus erythematosus. Methodology: A cross-sectional observational study was performed. Incisional biopsies of the oral mucosa were taken from 20 patients, 17 patients diagnosed with SLE and 3 patients diagnosed with chronic cutaneous lupus erythematosus. Samples were processed for histopathological study with H & E and PAS staining. The variables were analyzed using descriptive statistics. Results: All patients in the study were female. The epithelium in 100% of the patients was parakeratinized and the epithelial architecture was observed conserved, however, in 55% acanthosis was evidenced. Basal membrane thickening was observed in 80% of the samples, 15 of which were SLE. No intense inflammatory infiltrate was seen in any of the samples regardless of their spectrum. 10 patients in the SLE diagnosis group and 1 in the SCLE group had a mild inflammatory infiltrate. Conclusion: Parakeratosis, acanthosis, thickening of the basement membrane and a mild to moderate inflammatory infiltrate were the characteristics observed in clinically healthy oral mucosa of lupic patients.

Key words: systemic lupus erythematosus, Oral mucosa, histopathology


  1. Profesor Instructor. Centro de Atención Al Paciente con Discapacidad. Facultad de Odontología. Universidad Central de Venezuela. Caracas, Venezuela
  2. Histotecnólogo. Laboratorio Central de Histopatología Bucal “Dr. Pedro Tinoco”. Facultad de Odontología. Universidad Central De Venezuela. Caracas, Venezuela.
  3. Profesor Titular del Instituto de Investigaciones Odontológicas “Dr. Raúl Vincentelli” Facultad de Odontología. Universidad Central De Venezuela. Caracas, Venezuela.
  4. Datos del autor de correspondencia:
    Sparice Pulido Estefanía. Dirección: Universidad Central de Venezuela. Facultad de Odontología, Centro de Atención al Paciente con Discapacidad. Correo electrónico: [email protected] Número telefónico: 0424-1966019

Introducción

El Lupus Eritematoso es una enfermedad autoinmune del tejido conectivo, multifactorial y de evolución crónica1. Dependiendo de sus características clínicas se puede ubicar en un espectro de enfermedad que va desde un polo cutáneo a un polo sistémico. Así el lupus eritematoso sistémico (LES) posee un potencial de afección sistémica que involucra múltiples órganos; como el sistema nervioso central, renal, músculo-esquelético, cardiovascular y el muco-cutáneo, mientras que el lupus eritematoso cutáneo (LEC) se limita a piel y mucosa (bucal, nasal, genital y conjuntiva)2.

El LES está causado por la producción de auto anticuerpos y depósitos de complejos inmunes fijadores del complemento en vasos sanguíneos y tejido conectivo. Factores genéticos, inmunológicos, hormonales y ambientales están vinculados a su patogenia1-3. Tiene una amplia distribución geográfica y se manifiesta en todas las etnias, edades y género, sin embargo, su mayor ocurrencia es entre los 13 y los 30 años de edad y tiene marcada preponderancia para el género femenino y la etnia negra3.

En cuanto a la cavidad bucal, los sitios que suelen ser afectados son el paladar, labio inferior y lengua. Su diversidad clínica es amplia, aunque sólo son tomados como criterio diagnóstico de LES las lesiones ulcerativas. Se han descrito desde placas blancas hasta lesiones ulcerativas por lo que existe una complejidad en la evaluación clínica del lupus oral4,5.

La realización de la biopsia para el diagnóstico de las lesiones producidas por LES en cavidad oral y su posterior evaluación histopatológica e inmunofluorescencia directa son exámenes obligatorios que se deben realizar en estos pacientes, las principales características histopatológicas encontradas en las lesiones bucales son hiperqueratosis, un inflamatorio infiltrado y profundo, PASpositivos en la zona de la membrana basal6-8. Estos hallazgos han sido propuestos como criterios histopatológicos desde 1984 por Schiødt8 el cual describe las características histopatológicas orales de 66 pacientes lúpicos.

En el LES la circulación de inmunocomplejos por todo el organismo definen el espectro y el compromiso de cada paciente. A pesar de que muchos trabajos describen la relación del LES y la cavidad bucal, no existen reportes en donde se detalle cuáles son las características microscópicas de la mucosa oral clínicamente sana de estos pacientes y si existe alguna importancia en el diagnóstico y pronóstico de la enfermedad. El objetivo de este estudio fue determinar las características histopatológicas de la mucosa bucal de pacientes con diagnóstico de LES.

Metodología

Población

Fueron incluidas 17 mujeres con diagnóstico de LES según los criterios de la Asociación Americana de Reumatología1 de los cuales 7 tenían nefritis lúpica (NL), así como 3 pacientes con diagnóstico de lupus eritematoso cutáneo crónico (LECC) sin compromiso renal alguno.

Procedimiento clínico

Posterior a la firma del consentimiento informado, a todos los pacientes se les realizó una historia clínica detallada y un examen clínico intrabucal exhaustivo. No se encontró ninguna de las formas clásicas de lesiones orales relacionadas a LES por lo que las biopsias fueron tomadas de mucosa oral clínicamente sana de carrillo o labio. Se tomó bajo anestesia local una biopsia incisional de la mucosa oral sana de aproximadamente 0.8 mm de diámetro, dicha incisión fue realizada con una hoja de bisturí número 15 y posterior toma de 3 puntos de sutura, a los 8 días se realizó el postoperatorio.

Estudio histopatológico

Las muestras obtenidas fueron colocadas en formol al 10%. Posteriormente fueron embebidas en parafina y cortadas a 5 micras de espesor para ser coloreadas con hematoxilina y eosina y con ácido peryódico de Schiff (PAS) (kit de coloración MERCK). Se realizó finalmente una observación microscópica de las 20 muestras, con un microscopio marca Olympus a un aumento de 10X ,40X y 100X para la evaluación cualitativa de las características del epitelio, infiltrado inflamatorio y características de la membrana basal. Fue tomado registro digital fotográfico de todas las muestras.

Aspectos éticos

El presente trabajo fue desarrollado siguiendo las normas mundiales de investigación en salud dictadas por la Declaración de Helsinki en el cual se garantizó la no maleficencia de ningún paciente, así como su autonomía, respetando su completa y absoluta confidencialidad. Este trabajo fue aprobado por el Comité de Bioética de la Facultad de Odontología de la Universidad Central de Venezuela. Todos los pacientes que participaron fueron informados sobre la investigación, sus riesgos y aportes en la participación, aceptando y firmando el consentimiento informado aprobado por este comité.

Análisis estadístico

Las variables fueron analizadas mediante estadística descriptiva. Las variables cuantitativas fueron expresadas en media ±desviación estándar y las variables cualitativas en porcentajes.

Resultados

Hallazgos en el epitelio

A nivel histopatológico el 100% de los pacientes tenían un epitelio plano estratificado paraqueratinizado y la arquitectura epitelial se observaba conservada, sin embargo, solo en 11 muestras (55%) se evidenció acantosis (aumento del espesor del epitelio) (figura 1).

Figura 1. Microfotografía de mucosa bucal teñida con H&E 40X, donde se observa un epitelio plano estratificado paraqueratinizado de espesor aumentado (acantosis).
Figura 1. Microfotografía de mucosa bucal teñida con H&E 40X, donde se observa un epitelio plano estratificado paraqueratinizado de espesor aumentado (acantosis).

A través del estudio de las muestras con PAS se evidenció que el 80% (correspondiente a 16 pacientes) de las muestras presentaban un engrosamiento de la membrana basal (figura 2). 15 casos (88.23%) de LES mostraron engrosamiento de la membrana basal, en cambio esta característica sólo pudo ser observada en 1 solo caso de LECC.

Figura 2. Microfotografía de mucosa bucal teñida con PAS a un aumento de 40X, donde se aprecia un engrosamiento moderado de la membrana basal.
Figura 2. Microfotografía de mucosa bucal teñida con PAS a un aumento de 40X, donde se aprecia un engrosamiento moderado de la membrana basal.

Interesantemente en 8 de los pacientes se observaron queratinocitos cargados de melanina a nivel de la capa basal, de los cuales 3 pacientes correspondían al grupo de individuos con diagnóstico de LECC, 5 correspondientes al grupo de LES (figura 3).

Figura 3. Presencia de melanina en queratinocitos basales, la cual se extiende hasta el corion. Se aprecian abundantes melanófagos. Microfotografía coloración H&E a 40X.
Figura 3. Presencia de melanina en queratinocitos basales, la cual se extiende hasta el corion. Se aprecian abundantes melanófagos. Microfotografía coloración H&E a 40X.

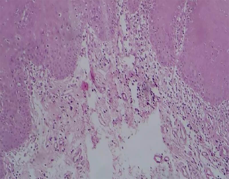
Infiltrado inflamatorio

La coloración de H&E mostró que en el 80% (correspondiente a 16 pacientes) de las muestras existía la presencia de infiltrado inflamatorio en banda por debajo del epitelio de leve a moderado (figura 4). No se apreció un infiltrado inflamatorio intenso en ninguna de las muestras independientemente de su espectro. 10 pacientes del grupo con diagnóstico LES y 1 con LECC tuvieron un infiltrado inflamatorio leve. La intensidad moderada de inflamación fue observada en 5 muestras de LES exclusivamente. La ausencia de infiltrado inflamatorio fue apreciada en 2 muestras de LECC y 1 de LES.

Figura 4. Microfotografía (H&E a 40X) que muestra moderado infiltrado inflamatorio crónico subepitelial.
Figura 4. Microfotografía (H&E a 40X) que muestra moderado infiltrado inflamatorio crónico subepitelial.

La tabla I resume todos los resultados de la presente investigación.

Tabla I. Resumen de resultados del estudio.
Tabla I. Resumen de resultados del estudio.

Discusión

Son evidentes los cambios histopatológicos de mucosa oral clínicamente sana de pacientes con lupus, independientemente de su compromiso sistémico, sin embargo, hay una marcada acentuación de dichos cambios cuando el compromiso es más grave.

Acantosis del epitelio, infiltrado inflamatorio en banda a nivel del corion y el engrosamiento de la membrana basal fueron las principales características histopatológicas de mucosa lesionada en el estudio de Schiodt et al8. Estas características, a pesar de no existir lesión oral clínicamente aparente, fueron observadas especialmente en pacientes con LES.

El engrosamiento de la membrana basal se debe a que el LES es una enfermedad causada por la producción de anticuerpos y depósitos de complejos inmunes fijadores del complemento en distintos tejidos del cuerpo como los vasos sanguíneos y tejido conectivo1, al depositarse las Ig en la unión dermo-epidérmica, se produce el engrosamiento de la membrana basal. Estos depósitos de Ig, junto con la membrana basal engrosada, en la piel lesionada de pacientes con LES se describieron por primera vez por Burnham et al9, 10. Posteriormente, el grupo de Cormane11 demostraron depósitos similares en piel clínicamente normal de LES, pero no en la de los sujetos con LECC.

En estudios como los de Reich et al12 y Zečević et al13, los autores mencionan que el engrosamiento de la membrana basal, debido a depósitos de Ig en la unión dermo-epidérmica positivos, en piel no lesionada protegida del sol, puede ser de valor predictivo para el pronóstico de los pacientes con LES. El depósito de IgG en la piel no lesionada se correlaciona con anti-dsDNA y con una mayor incidencia de la enfermedad renal.

Con respecto a la inflamación, trabajos han demostrado la presencia de un infiltrado crónico de carácter linfo-plasmocitario distribuido en forma de mucositis liquenoide o alrededor de los vasos sanguíneos14, 15,16, 17. Sin embargo, todos los trabajos han sido realizados en mucosa oral lesionada.

El presente trabajo conforma el primer reporte que describe las características histopatológicas de mucosa oral de apariencia sana. Estos hallazgos pudieran permitir usar la biopsia de mucosa oral como una herramienta de fácil acceso y poco riesgo para el diagnóstico de lupus eritematoso, así como la progresión de la enfermedad.

Referencias bibliográficas

  1. Guidelines for referral and management of systemic lupus erythematosus in adults. American College of Rheumatology Ad Hoc Committee on Systemic Lupus Erythematosus Guidelines. Arthritis Rheum. 1999;42(9):1785-96.
  2. Kuhn A, Bonsmann G, Hans-Joachim A, Herzer P, Tenbrock K, Schneider M, The Diagnosis and Treatment of Systemic Lupus Erythematosus. Dtsch Arztebl Int. 2015; 112(25): 423–432.
  3. Lisnevskaia L, Murphy G, Isenberg D. Systemic lupus erythematosus. Lancet. 2014; 384(9957): 1878-88.
  4. López Labady J, Moret Y, Villarroel Dorrego M, Mata de Henning M. Manifestaciones bucales de Lupus Eritematoso. Revisión de la literatura. Acta Odontol Venez. 2007; 45 (2): 316-320.
  5. Lopez-Labady J, Villarroel-Dorrego M, Gonzalez N, Perez R, Mata de Henning M. Oral manifestations of systemic and cutaneous lupus erythematosus in a Venezuelan population. J Oral Pathol Med 2007; 3: 524–527.
  6. Khatibi M, Shakoorpour A, Moosavian Z, Ahmadzadeh A. The prevalence of oral mucosal lesions and related factors in 188 patients with systemic lupus erythematosus. Lupus. 2012; 21: 1312–1315.
  7. Karjalainen TK, Tomich CE. A histopathologic study of oral mucosal lupus erythematosus. Oral Surg Oral Med Oral Pathol. 1989;67(5):547-54.
  8. Schiødt M. Oral discoid lupus erythematosus. III. A histopathologic study of sixty-six patients.OralSurg Oral Med Oral Pathol. 1984 Mar;57(3):281-93.
  9. Matiakis A, Xanthis A, Zaraboukas T, Ioannides D. Oral Findings of Systemic Lupus Erythematosus- A Grand Round Case. IJCCR. 2016; 6(10): 1-5.
  10. Burnham TK, Neblett TR, Fine G. The application of the fluorescent antibody technic to the investigation of lupus erythematosus and various dermatoses. J Invest Dermatol. 1963; 41 :451–456.
  11. Cormane RH, Lai A Fat RF, Van Furth R. An immunohistopathological study on the synthesis of immunoglobulins and complement in normal and pathological skin and the adjacent mucous membranes. Br J Dermatol. 1974;90(2):123-36.
  12. Reich A, Marcinow K, Bialynicky R. The lupus band test in systemic lupus erythematosus patients. Ther Clin Risk Manag. 2011; 7: 27-32.
  13. Zecević RD, Pavlović MD, Stefanović D. Lupus band test and disease activity in systemic lupus erythematosus: does it still matter. Clin Exp Dermatol. 2006; 31: 358–360.
  14. Shklar G, McCarthy PL. Histopathology of oral lesions of discoid lupus erythematosus. A review of 25 cases. Arch Dermatol. 1978;114(7):1031-5
  15. Lourenço SV, de Carvalho FR, Boggio P, Sotto MN, Vilela MA, Rivitti EA, Nico MM. Lupus erythematosus: clinical and histopathological study of oral manifestations and immunohistochemical profile of the inflammatory infiltrate. J Cutan Pathol. 2007;34(7):558-64.
  16. Heath K, Rogers R, Fazel N. Oral manifestations of connective tissue disease and novel therapeutic approaches. Dermato J. 2015; 21(10):10
  17. Lourenço SV, Nacagami Sotto M, ConstantinoVilela MA, Rodrigues Gonçalves de Carvalho F, Rivitti EA, MentaSimonsen Nico M. Lupus erythematosus: clinical and histopathological study of oral manifestations and immunohistochemical profile of epithelial maturation. J Cutan Pathol. 2006;33(10):657-62.