Reporte de caso

Hiperplasia adenomatoide en glándulas salivales menores

Recepción del trabajo: 13/02/2024
Inicio de arbitraje:12/05/2024
Aprobado: 17/01/2025

González Mac Donald, Mauricio 1##; Ansonnaud Carlos 2#; Mentz María Paula 3#, García Verónica 4#.

Resumen

Introducción: La hiperplasia adenomatoide (HA) es una entidad no neoplásica que ocurre principalmente en glándulas salivales menores. La causa de su aparición es desconocida, aunque se ha postulado que factores como trauma local, irritación crónica, uso de prótesis removible, efectos medicamentosos o el hábito de fumar podrían estar relacionados. Su localización más frecuente es en el paladar. Caso Clínico: Se presenta un caso de Hiperplasia Adenomatoide de glándulas salivales menores en una paciente femenina de 62 años que acudió al Servicio de Medicina Bucal de la Facultad de Odontología de la Universidad Nacional de Tucumán (UNT). Durante el examen estomatológico, se observaron dos lesiones tumorales de aspecto hiperplásico en el tercio posterior del paladar duro, a ambos lados de la línea media. Se realizó recesión quirúrgica y el resultado histopatológico confirmó la presencia de hiperplasia adenomatoide de glándulas salivales menores. Discusión: La etiología de la hiperplasia adenomatoide no es clara, y en este caso, la lesión estaba relacionada con una prótesis completa superior. La mayoría de los autores coinciden en que el paladar es el sitio de mayor frecuencia para esta patología. Dado que es una condición poco común (solo se han reportado 85 casos a nivel mundial), su diagnóstico clínico e histopatológico puede resultar complejo.Conclusión: Es fundamental realizar un diagnóstico clínico y anatomopatológico adecuado y eliminar los posibles factores traumáticos.

Palabras clave: Hiperplasia adenomatoide de las glándulas salivales menores, hiperplasia adenomatoide bucal.


Case report

Adenomatoid hyperplasia of minor mucous salivary glands

Abstract

Introduction: Adenomatoid hyperplasia (AH) is a non-neoplastic entity that occurs mainly in minor salivary glands. The cause of its appearance is unknown, although it has been postulated that factors such as local trauma, chronic irritation, use of removable prosthesis, medication effects or smoking could be related. Its most frequent location is on the palate. Case Report: A case of adenomatoid hyperplasia of minor salivary glands is presented in a 62-year-old female patient who attended the Oral Medicine Service of the Faculty of Dentistry of the National University of Tucumán (UNT). During the stomatological examination, two tumor lesions of hyperplastic appearance were observed in the posterior third of the hard palate, on both sides of the midline. Surgical recession was performed and the histopathological result confirmed the presence of adenomatoid hyperplasia of minor salivary glands. Discussion: The etiology of adenomatoid hyperplasia is not clear, and in this case, the lesion was related to an upper complete prosthesis. Most authors agree that the palate is the most frequent site for this pathology. Since it is a rare condition (only 85 cases have been reported worldwide), its clinical and histopathologic diagnosis can be complex. Conclusion: A proper clinical and histopathological diagnosis and elimination of possible traumatic factors are essential.

Key words: adenomatoid hyperplasia of the minor salivary glands, buccal adenomatoid hyperplasia.


    # Jefe de trabajos prácticos Catedra de Semiología y Clínica Estomatológica FOUNT

    ##Profesor Adjunto Catedra de Semiología y Clínica Estomatológica. FOUNT

  1. Odontólogo Especialista. Profesor Adjunto Cátedra de Semiología y Clínica Estomatológica Facultad de Odontología; UNT. Tucumán, Argentina. [email protected]. ORCID 0000-0001-6335-279X
  2. Odontólogo. Jefe de Trabajos Prácticos Cátedra de Semiología y Clínica Estomatológica Facultad de Odontología; UNT Tucumán, Argentina. [email protected]. ORCID 0009-0003-5799-4632.
  3. Odontóloga. Jefe de Trabajos Prácticos Cátedra de Semiología y Clínica Estomatológica Facultad de Odontología; UNT Tucumán, Argentina. [email protected]. Facultad de Odontología UNT. Tucumán, Argentina.
  4. Odontóloga Especialista. Jefe de Trabajos Prácticos Cátedra de Semiología y Clínica Estomatológica Facultad de Odontología; UNT Tucumán, Argentina. [email protected]. Facultad de Odontología UNT. Tucumán, Argentina. ORCID 0009-0000-7391-9155

INTRODUCCIÓN

La hiperplasia adenomatoide (HA) es una entidad no neoplásica que ocurre principalmente en glándulas salivales menores y fue descripta por primera vez en 19711,2,3,4,5. Su causa es desconocida y no se ha encontrado asociación con condiciones sistémicas determinadas. Se ha postulado que el trauma local, la irritación crónica, el uso de prótesis removibles, los efectos medicamentosos o el hábito de fumar podrían estar relacionados2. La ubicación más frecuente es el paladar, con un 85 % de los casos, considerando paladar duro y blando, seguido por la mucosa yugal y la lengua1,3,5. Clínicamente, se describe como una lesión nodular, exofítica, menor de 3 centímetros de diámetro, indistinguible de una neoplasia de glándula salival, por lo cual se debe llevar a cabo la extirpación quirúrgica y realizar exámenes histopatológicos 6.

Histológicamente, se presenta con hiperplasia de acinos e hipertrofia focal glandular, con potencial de crecimiento limitado y escaso componente inflamatorio, sin atipias ni signos neoplásicos. 7 Generalmente, no se observa recurrencia posterior a su escisión.

CASO CLÍNICO

Se presenta a consulta en el servicio de Medicina Bucal de la Facultad de Odontología de San Miguel de Tucumán, una paciente de sexo femenino de 62 años, derivada por su odontólogo general por una lesión elevada en el paladar.

ANTECEDENTES MÉDICOS

  • Hipertensión (Enalapril 10 mg).
  • Hipotiroidea (T4).
  • Depresión (Quetiapina, Clonazepam, Sertralina).
  • Bipolaridad.

Durante la anamnesis, se reconoce que la lesión tiene 3 meses de evolución, con un aumento considerable de tamaño en el último mes. No presenta sintomatología dolorosa, pero la lesión impide la colocación normal de la prótesis superior.

Al examen intraoral, se observa que la paciente es portadora de prótesis completa bimaxilar y se identifican, en el tercio posterior del paladar duro a ambos lados de la línea media, dos lesiones de aspecto tumoral, de forma ahusada y dimensiones de 3 x 1.5 cm, recubiertas por mucosa de apariencia normal, de color rosa pálido, con límites netos, base no indurada, consistencia blanda e indoloras a la palpación. Fig. 1.

Figura 1. Imagen clínica del maxilar superior y dos lesiones de aspecto tumoral ubicadas en tercio posterior del paladar duro a ambos lados de la línea media.
Figura 1. Imagen clínica del maxilar superior y dos lesiones de aspecto tumoral ubicadas en tercio posterior del paladar duro a ambos lados de la línea media.

Al evaluar la relación de la lesión con la prótesis, se evidencia un estrecho contacto entre el aparato protésico y el borde anterior de una de las lesiónes. Fig. 2.

Figura 2. Imagen clínica maxilar superior y prótesis total superior en contacto directo con las lesiones de aspecto tumoral.
Figura 2. Imagen clínica maxilar superior y prótesis total superior en contacto directo con las lesiones de aspecto tumoral.

En base a la caracterización de los síntomas, se llega a un diagnóstico presuntivo de adenoma, solicitando exámenes de laboratorio para su extirpación quirúrgica. Se recomienda restringir el uso de la prótesis superior debido a su relación traumática con la lesión.

Se realiza una recesión quirúrgica, previa anestesia infiltrativa terminal, delimitando la lesión con bisturí frío, mango N°3 Hoja N° 15 C, y extirpando un fragmento superficial epitelial, dejando expuesto un tejido conectivo con elementos glandulares múltiples de aspecto sospechoso. Por ello, se decide realizar la eliminacion del tejido, dejando el hueso expuesto. Fig. 3. Se coloca Hemospon (esponja hemostática de colágeno hidrolisado, liofilizada) para inducir hemostasia y mejorar el proceso cicatrizal. Se envían dos fragmentos de tejido blando en un pote rotulado con formol al 20 % para su estudio anatomopatológico. Fig. 4.

Figura 3. Recesión quirúrgica de la lesión.
Figura 3. Recesión quirúrgica de la lesión.
Figura 4. Fragmentos de tejido blando.
Figura 4. Fragmentos de tejido blando.

En la cita de control, a los 15 días, se observa una correcta cicatrización del lecho quirúrgico, además de una notable involución de la lesión del lado opuesto a la línea media, dado que no se utilizó la prótesis durante este tiempo.

El resultado histopatológico informa:

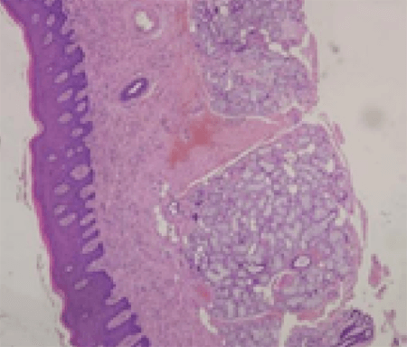
  1. Epitelio plano estratificado con hiperplasia epitelial. El tejido conectivo muestra numerosas glándulas mucosas. H&E x40. Fig. 5.
  2. Figura 5. Epitelio plano estratificado con hiperplasia epitelial. El tejido conectivo muestra numerosas glándulas mucosas. H&E x40.
    Figura 5. Epitelio plano estratificado con hiperplasia epitelial. El tejido conectivo muestra numerosas glándulas mucosas. H&E x40.
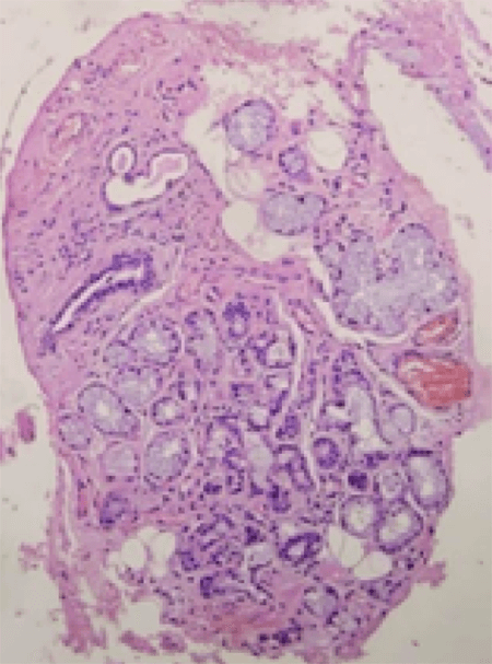
  3. Acinos mucosos y estructuras ductales. H&E x200. Fig. 6.
  4. Figura 6. Epitelio plano estratificado con hiperplasia epitelial. El tejido conectivo muestra numerosas glándulas mucosas. H&E x40.
    Figura 6. Epitelio plano estratificado con hiperplasia epitelial. El tejido conectivo muestra numerosas glándulas mucosas. H&E x40.
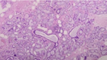
  5. Acinos mucosos. Presencia de ectasia ductal. H&E x100. Fig. 7.
  6. Figura 7. Acinos mucosos. Presencia de ectasia ductal. H&E x100.
    Figura 7. Acinos mucosos. Presencia de ectasia ductal. H&E x100.

DISCUSIÓN

La etiología de la hiperplasia adenomatoide no es clara. Algunos autores la consideran una entidad reactiva asociada a trauma como principal factor causal, presentándose con frecuencia en pacientes portadores de prótesis removibles, principalmente a nivel palatino. Otros han reconocido algunas aberraciones cromosómicas t (2;14)(q21;q22)8. En este caso, la lesión mostró íntima relación con la prótesis completa superior, evidenciándose una notable disminución de su tamaño al dejar de usarla durante 15 días.

En cuanto a su localización, la mayoría de los autores coinciden en que el paladar es el sitio de mayor frecuencia de aparición (85 %), seguido de mucosa yugal y lengua, características que coinciden con la experiencia presentada1,3,6.

Generalmente, el diagnóstico diferencial de la hiperplasia adenomatoide a nivel palatino o mucosa oral se realiza con neoplasias de glándulas salivales, como carcinoma mucoepidermoide y adenoma pleomorfo 9. En este caso, el diagnóstico clínico inicial fue el de un adenoma pleomorfo en paladar.

La existencia de un epitelio plano estratificado con hiperqueratinización, la hiperplasia adenomatoide, la atrofia acinar y la ectasia ductal, característi- cas encontradas en el paciente, son parámetros reconocidos como criterios histológicos para el diagnóstico de esta entidad2.

Al ser una patología poco frecuente (solo existen 85 casos reportados a nivel mundial), su diagnóstico clínico e histopatológico no es sencillo. El estudio histopatológico, realizado por un patólogo entrena- do en patología oral, resulta de vital importancia10.

CONCLUSIONES

Aunque la frecuencia de esta patología es menor, su diagnóstico clínico y anatomopatológico es fun- damental debido a la amplia variedad de lesiones benignas y malignas que pueden afectar las glán- dulas salivales menores. Además, es crucial eli- minar el posible trauma existente sobre la lesión, ya que es uno de los factores etiológicos descritos de esta entidad.

AGRADECIMIENTOS

A la Dra. Rosana González (Médica Patóloga) y la Dra. Silvia Cariño (Odontóloga Patóloga), Directo- ra del Servicio de Patología Oral (FOUNT), por su valioso aporte en la resolución de este caso.

Referencias Bibliográficas

  1. Altındag A, Bozkurt P, Bilecenoglu B, Orhan K. Adenomatoid Hyperplasia of the Oral Cavity: A Diagnostic Dilemma. EADS. 2021; 48(2):84-7.
  2. Ahumada- Ossandon, R. & Claveria-Jimenez, R. Adenomatoid hyperplasia in maxillary alveolar ridge: an unusual presentation. Int. J. Odontostomat. 2022; 16(2):185-188.
  3. Ahumada-Ossandón R, Clavería-Jiménez R. Hiperplasia Adenomatoide en Reborde Alveolar Maxilar: Una Presentación Inusual. Int. J. Odontostomat. 2022; 16(2): 185-188.
  4. Gunhan Ö, Kılınc M, Kahraman D, Aksoy S, Cicek AF, Celasun B. Parenchymal changes of salivary glands adjacent to a variety of salivary gland disorders. Int J Clin Exp Pathol. 2019; 12(4):1124-1133.
  5. Manor E, Sinelnikov I, Brennan PA, Bodner L. Chromosomal aberrations in adenomatoid hyperplasia of palatal minor salivary gland. Br J Oral Maxillofac Surg. 2013; 51(2):170-2.
  6. Aframian DJ, Keshet N, Nadler C, Zadik Y, Vered M. Minor salivary glands: Clinical, histological and immunohistochemical features of common and less common pathologies. Acta Histochem. 2019; 121(8): 151451.
  7. Patussi C, Benez Bixofis R, Zanferri FL, Zanicotti R, Moacir Sassi L, Schussel JL. Adenomatoid hyperplasia of minor salivary glands: a report of two cases. Stomatos. 2014; 20 (38): 5-11.
  8. Dereci O, Cimen E. Adenomatoid hyperplasia of the minor salivary glands on the buccal mucosa: A rare case report. Int J Surg Case Rep. 2014; 5(5):274-6.
  9. Sharma GK, Sharma M, Vanaki SS. Adenomatoid hyperplasia of lower lip. Dent Res J (Isfahan). 2011; 8(4):226-8.
  10. Buitrago-Osuna A, Montilla-Jurado M, Peña-Vega CP. Hiperplasia adenomatoide de glándulas salivales en el paladar: un reporte de caso. (2021). Revista Nacional De Odontología,. 2021; 17(1), 1-11.